今天分享由宁波市第二医院郎德海教授团队带来的仅用0.035″泥鳅导丝软头进行弓上分支原位重建TEVAR手术。患者Standford B型主动脉夹层,夹层逆撕累及左锁骨下动脉(LSA)根部,近端锚定区明显不足,需向近端扩展锚定区,并重建LSA。由于左颈总动脉(LCCA)与LSA距离较短,如何选择最佳手术方案成为治疗的关键。这不仅需要有效封闭病变,还要高效重建LSA,同时确保患者的远期预后。
郎德海教授团队凭借丰富的临床经验,采用华脉泰科胸主动脉覆膜支架,成功封闭了胸主动脉病变。同时,团队创新性地运用0.035″泥鳅导丝软头,通过原位开窗技术高效完成了对LSA的重建。术后患者恢复良好,充分展示了该手术方案的优越性和团队的高超技艺。
性别:男性
年龄:57岁
主诉:胸背胀痛8小时。
查体:神清,精神软,脉搏88次/分,呼吸15次/分,血压160/89mmHg,腹软,无压痛及反跳痛,双侧股动脉、腘动脉、胫后及足背动脉搏动可及。
既往史:平素身体健康。
诊断:主动脉夹层(Standford B型),腹腔干夹层动脉瘤,高血压病。
主动脉CTA详解:Standford B型主动脉夹层,破口位于胸降主动脉,破口直径7mm,假腔位于真腔前缘;主动脉管壁周围少许渗出影,可见壁内血肿、血栓、溃疡突起,近端血肿已累及LSA根部,LSA与LCCA距离仅8.5mm,左椎动脉优势;弓上三分支血流显影可,内脏区腹腔干动脉、肠系膜上动脉及右肾动脉起自假腔,左肾动脉起自真腔。
Stanford B型主动脉夹层,破口大,位于降主动脉,真腔小,假腔大,对输送系统的稳定性、通过性和柔韧性,要求均较高。
主动脉管壁壁内血肿已累及LSA根部,近端锚定区明显不足, 且LCCA距离LSA不足10mm,需向近端扩展锚定区,重建LSA。
LSA与主动脉弓成锐角,且开口处粗大,呈“火山口”形态,为术中原位开窗角度控制带来难点,且市面常见覆膜支架,开窗难度较大。
直接覆盖左锁骨下动脉的胸主动脉覆膜支架腔内修复术:操作简单,效果明确,但覆盖左锁骨下动脉可能会给患者带来后循环缺血和上肢缺血的临床表现。
胸主动脉覆膜支架腔内修复术+左侧锁骨下动脉烟囱技术:手术操作相对简单,但左锁骨下动脉迂曲狭窄,内漏及闭塞风险较大,中远期效果欠佳。
体外开窗下的胸主动脉覆膜支架腔内修复术:病变封闭效果好,可以保留原有血流动力学特征,但操作复杂,术前需要根据测量结果改装支架,耗时较长;术中需要精准对位超选窗口,风险较高。
胸主动脉覆膜支架腔内修复术+原位开窗:病变封闭效果好,不需要术前改装支架。但传统主动脉覆膜支架的原位开窗对于介入器械的要求较高,需要原位开窗针、激光、活检针等特殊破膜器械。
华脉胸主动脉覆膜支架使用0.035″泥鳅导丝软头就可破膜进行原位开窗,考虑中远期治疗效果及术中操作的简便性,综合评估,郎德海教授团队选择华脉•天医®胸主动脉覆膜支架进行腔内修复,并通过原位开窗技术重建左锁骨下动脉。
治疗方案
拟全麻下行胸主动脉夹层覆膜支架腔内隔绝+左锁骨下动脉原位开窗术(选择0.035″系统泥鳅导丝软头破膜)。
01. 全麻下,右侧股动脉穿刺预埋缝合器,预置11F短鞘,引入黄金标记导管,造影腹主动脉显示左肾动脉真腔显影明显,余内脏区血管假腔显影可见。
02. 沿左肱动脉穿刺并引入标记导管于升主动脉造影,见左椎动脉优势明显,LSA与LCCA距离小于10mm。
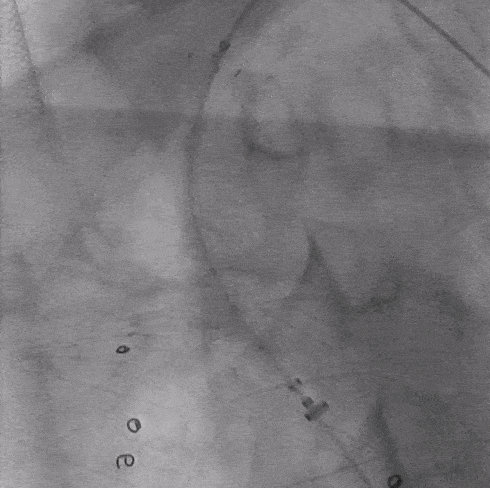
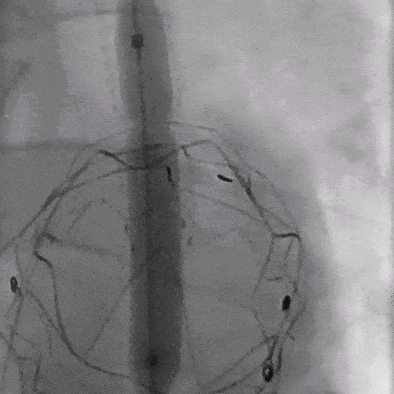
03. 控制性降压至90/55mmHg左右,沿右股动脉入路引入超硬导丝及华脉泰科胸主支架PTBS3430180,术中沿LCCA后缘处缓慢释放1-2节,再次造影确认定位精准后继续释放主体支架,造影示覆膜支架未覆盖LCCA,覆盖LSA。
04. 沿左肱动脉引入5F Ver导管,头端垂直抵住主体支架覆膜,引入0.035″长泥鳅导丝配合导管顺利破膜,进入主动脉。
05. 0.035″长泥鳅导丝进一步超选进入降主动脉段,并沿右股动脉引入抓捕器抓取泥鳅导丝建立导丝路径,依次逐级使用4*40mm、6*40mm、8*40mm Amanda球囊扩张破膜处。期间可见明显受压切迹影。
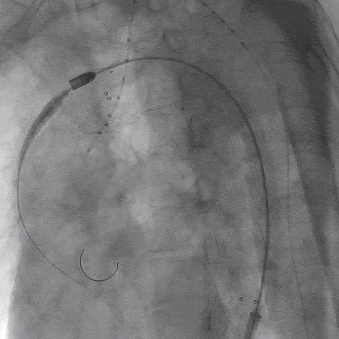
06. 沿右股动脉引入8F长鞘,置入8*50mm Viabahn覆膜支架于开窗处,远端避开左椎动脉,近端超过覆膜支架1cm并完成释放。
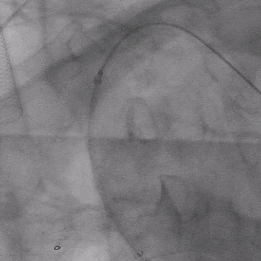
07. 最后行全主动脉造影示LSA开窗支架重建良好,近端主体支架定位显影良好,腹主动脉右肾动脉、腹腔干动脉及肠系膜上动脉显影较支架植入前明显改善。
08. 撤出各导丝、导管、鞘管,收紧预埋缝合线,加压包扎各穿刺点。术毕。术后无相关不良并发症。
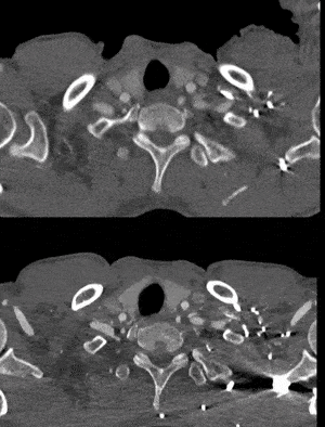
术后1周复查主动脉CTA显示胸主动脉血管重塑良好,开窗支架形态正常。远端内脏区显影良好。
本次分享病例,患者B型主动脉夹层,假腔部分累及LSA根部,近端锚定区明显不足,需向近端扩张锚定区并重建LSA。且患者术前要求尽量上肢不切开皮肤。
郎德海教授团队在本案例中优先选用华脉胸主支架进行治疗,左肱动脉仅穿刺并引入0.035″长泥鳅导丝配合Ver导管轻松完成破膜操作,并采用牵张导丝,沿股动脉入路引入LSA开窗支架完成对LSA的重建,避免了常规开窗左肱动脉切开的操作。华脉泰科胸主动脉覆膜支架展现了精准的近端定位能力,其开窗处覆膜设计兼具易穿透性和易扩张性,结合0.035″泥鳅导丝软头可快速完成破膜,球囊扩张开口过程简便且安全可靠。支架植入后形态理想,病变封闭效果显著,无膜漏发生,治疗效果明确,患者预后良好。
学术任职:现为中国医师协会血管外科分会委员,国家心血管病专家委员会血管外科专业委员会第一届全国委员,浙江省医学会血管外科分会副主任委员,浙江省医师协会血管外科分会副会长,浙江省中西医结合学会周围血管专业委员会主任委员,宁波市医学会血管外科分会主任委员。
专家简介:现为宁波市第二医院血管外科主任、主任医师,硕士研究生导师。多年来一直从事血管外科临床工作,在微创腔内治疗胸主动脉夹层动脉瘤和腹主动脉瘤颇有心得。在省内较早开展下肢动脉硬化闭塞症的手术及介入治疗,其手术成功率及远期通畅率在省内领先。此外较早开展颈动脉支架和内膜剥脱预防颈动脉狭窄引起的脑梗塞,在肾动脉狭窄,锁骨下动脉狭窄,四肢动脉瘤,内脏动脉瘤以及引起下肢肿胀、溃疡的下肢静脉曲张,下肢深静脉血栓形成的手术和介入治疗有丰富的临床经验。
学术任职:中国糖尿病足联盟青年委员、浙江省医师协会血管外科分会委员、浙江省中西医结合学会血管外科学分会委员、浙江省医学会血管外科分会青年委员会副主任委员、宁波市医学会血管外科分会委员兼秘书。
专家简介:从事血管外科工作近20年,熟练掌握血管外科各类疾病的常规诊疗和微创介入技术。擅长下肢动脉硬化闭塞症、下肢深静脉血栓形成、下肢静脉曲张、颈动脉狭窄、内脏动脉疾病以及胸腹主动脉瘤、主动脉夹层等疾病的诊疗,在颈动脉狭窄外科治疗方面具有丰富的临床经验。每年完成手术操作1000余台,接诊近1800余例门诊病人。参与省市级课题4项,发表国内外论文10余篇。承担宁波大学医学院本科生教学工作。
专家简介:主治医师,硕士学历,擅长周围血管病的诊治,包括下肢动脉硬化闭塞,颈动脉狭窄,胸腹主动脉瘤,下肢静脉曲张、下肢深静脉血栓等。曾至复旦大学附属中山医院进修,以第一作者发表中文核心期刊1篇。
学术任职:现为浙江省中西医结合学会周围血管疾病专业委员会青委副主任委员兼秘书。
专家简介:现为宁波市卫生健康技术骨干人才,主持及参研省市级课题6项,以第一作者发表论文20篇,收录SCI 6篇,获国家专利10项。曾赴中国人民解放军总院(301医院)血管外科进修学习。擅长外周血管疾病如下肢静脉曲张、深静脉血栓形成、髂静脉压迫综合征、下肢动脉粥样硬化闭塞症、胸腹主动脉瘤及动脉夹层等血管外科疾病的诊治,对下肢动脉硬化闭塞症、下肢深静脉血栓形成等的微创介入和开放手术治疗,以及杂交手术技术经验丰富,熟练掌握主动脉疾病的微创介入治疗,对血管病急、危重症的救治具有较好的临床经验。
宁波市第二医院血管外科
宁波市第二医院血管外科起步于本世纪初,2011年独立设科,成为宁波地区最早成立的血管外科专科。近年来,在医院的大力支持以及郎德海主任的带领下,专科队伍不断壮大,技术实力快速提升。
科室现有床位70张,专科医生22人,其中主任医师3人,硕士及以上学历21人,已经成为省内规模最大的的血管外科专科科室之一。
科室仅2024年一年共完成手术量四千余例,其中介入手术量1500余例,包括胸主动脉夹层、胸腹主髂动脉瘤200余例,下肢动脉硬化闭塞症400余例,颈动脉狭窄行内膜剥脱及支架置入百余例,同时为市内各家医院提供血管外科疾病的各种会诊技术支持。
血管外科在市内率先常规开展颈动脉内膜剥脱,年手术近90例;同时,常规开展主动脉夹层及胸腹主动脉瘤的开窗手术,包括左颈总、左锁骨下及肾动脉的体外预开窗和体内原位开窗,以及双开窗等,均取得了良好的效果,处于国内先进、市内领跑地位。
版权声明:本平台旨在帮助医疗卫生专业人士更好地了解相关疾病领域最新进展。本平台对发布的资讯内容,并不代表同意其描述和观点,仅为提供更多信息。若涉及版权问题,烦请权利人与我们联系,我们将尽快处理。仅供医疗卫生专业人士为了解资讯使用,该等信息不能以任何方式取代专业的医疗指导,也不应被视为诊疗建议。如该等信息被用于了解资讯以外的目的,本平台及作者不承担相关责任。合作联系邮箱:vascular@edoctor.work。
