泥鳅导丝怎么用符伟国/王利新教授团队:0.035"普通泥鳅导丝进行胸主动脉弓上分支原位开窗的病例分享

新闻资讯2026-04-21 16:49:01

泥鳅导丝怎么用符伟国/王利新教授团队:0.035"普通泥鳅导丝进行胸主动脉弓上分支原位开窗的病例分享_https://www.jmylbn.com_新闻资讯_第1张


今天为大家介绍一例复旦大学附属中山医院符伟国/王利新教授团队带来0.035"普通泥鳅导丝进行胸主动脉弓上分支原位开窗的病例分享。



泥鳅导丝怎么用符伟国/王利新教授团队:0.035"普通泥鳅导丝进行胸主动脉弓上分支原位开窗的病例分享_https://www.jmylbn.com_新闻资讯_第2张


病情介绍

年龄:70岁
性别:男
主诉:体检发现主动脉弓动脉瘤3年余。
现病史:患者于三年半前在外院体检发现主动脉弓动脉瘤,每年规律随访中;今年3月再次随访主动脉弓动脉瘤较前明显增大。外院考虑手术风险较大,建议至上级医院就诊。
既往病史:高血压病史数年,血压最高150/90mmHg,平日服用美托洛尔、诺欣妥降压,血压控制良好。
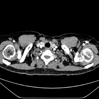
术前CTA详解:
主动脉弓部动脉瘤,紧贴左锁骨下动脉开口,主动脉弓部大量附壁血栓。左颈总后缘处主动脉直径35mm,左锁骨下动脉前缘主动脉直径37mm,左锁骨下动脉后缘主动脉直径38mm,颈动脉后缘到瘤体中心线长度18mm,左颈总动脉距离左锁骨下动脉9mm。锁骨下动脉粗大,根部直径14mm*17mm。
泥鳅导丝怎么用符伟国/王利新教授团队:0.035"普通泥鳅导丝进行胸主动脉弓上分支原位开窗的病例分享_https://www.jmylbn.com_新闻资讯_第3张
泥鳅导丝怎么用符伟国/王利新教授团队:0.035"普通泥鳅导丝进行胸主动脉弓上分支原位开窗的病例分享_https://www.jmylbn.com_新闻资讯_第4张

术前三维重建/CTA




泥鳅导丝怎么用符伟国/王利新教授团队:0.035"普通泥鳅导丝进行胸主动脉弓上分支原位开窗的病例分享_https://www.jmylbn.com_新闻资讯_第5张


手术难点



01

主动脉弓部动脉瘤,紧贴左锁骨下动脉,近端锚定区不足。

02

左锁骨下动脉开口处粗大,呈“火山口”形,为术中原位开窗角度控制带来难点。

03

主动脉弓部多发附壁血栓,手术过程中避免暴力操作,谨防血栓脱落造成脑梗等靶器官栓塞。

04

主动脉弓型和左锁骨下的解剖角度为锐角,市面常见覆膜支架,开窗难度较大



泥鳅导丝怎么用符伟国/王利新教授团队:0.035"普通泥鳅导丝进行胸主动脉弓上分支原位开窗的病例分享_https://www.jmylbn.com_新闻资讯_第6张


手术方案设计


方案一

直接覆盖左锁骨下动脉的胸主动脉覆膜支架腔内修复术:最为简单直接,但覆盖左锁骨下动脉可能会给患者带来后循环缺血和上肢缺血的临床表现。


方案二

胸主动脉覆膜支架腔内修复术+烟囱技术:手术操作相对简单,但内漏可能较大,弓部动脉瘤隔绝效果不理想,中远期效果欠佳。


方案三

体外开窗下的胸主动脉覆膜支架腔内修复术:瘤体隔绝效果好,可以最大限度地保留原有血流动力学特征,但是操作复杂,术前需要根据测量结果改装支架,术中对于术者的手术技巧有一定考验。


方案四

胸主动脉覆膜支架腔内修复术+原位开窗:瘤体隔绝效果好,不需要术前改装支架。但是传统主动脉覆膜支架的原位开窗对于介入器械的要求较高,需要原位开窗针、激光等破膜器械,以及Fustar、Fusmart、Futhrough等器械的配合使用,对于术者术中操作及研判能力有较高的要求。华脉泰科针对原位开窗技术的覆膜支架,局部区域术中仅用0.035"导丝即可轻松破膜,开窗处覆膜易穿透、易扩张,在保证隔绝效果的同时减少术中操作及介入器械要求。

考虑中远期治疗效果及术中操作的简便性,综合评估,选择华脉泰科胸主动脉覆膜支架进行腔内修复,并进行原位开窗技术重建左锁骨下动脉。


泥鳅导丝怎么用符伟国/王利新教授团队:0.035"普通泥鳅导丝进行胸主动脉弓上分支原位开窗的病例分享_https://www.jmylbn.com_新闻资讯_第7张


手术过程

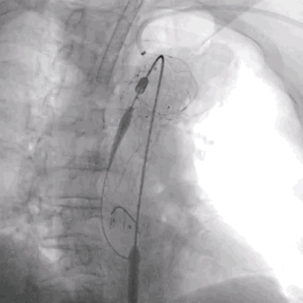
1. 双侧股动脉穿刺,预置Proglide。左肘部切口,暴露左肱动脉,穿刺预扩张后交换8F Fustar长鞘。

泥鳅导丝怎么用符伟国/王利新教授团队:0.035"普通泥鳅导丝进行胸主动脉弓上分支原位开窗的病例分享_https://www.jmylbn.com_新闻资讯_第8张

术前造影LAO

泥鳅导丝怎么用符伟国/王利新教授团队:0.035"普通泥鳅导丝进行胸主动脉弓上分支原位开窗的病例分享_https://www.jmylbn.com_新闻资讯_第9张

术前造影RAO


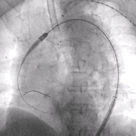
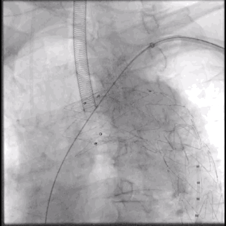
2.右股动脉置鞘交换Lunderquist导丝后,经右侧股动脉上华脉泰科PTBS3834180胸主动脉覆膜支架至左颈总动脉后缘位置,完全覆盖病变段,释放支架。

泥鳅导丝怎么用符伟国/王利新教授团队:0.035"普通泥鳅导丝进行胸主动脉弓上分支原位开窗的病例分享_https://www.jmylbn.com_新闻资讯_第10张

近端定位LCCA根部后缘

泥鳅导丝怎么用符伟国/王利新教授团队:0.035"普通泥鳅导丝进行胸主动脉弓上分支原位开窗的病例分享_https://www.jmylbn.com_新闻资讯_第11张

释放大支架

泥鳅导丝怎么用符伟国/王利新教授团队:0.035"普通泥鳅导丝进行胸主动脉弓上分支原位开窗的病例分享_https://www.jmylbn.com_新闻资讯_第12张

释放近端裸支架


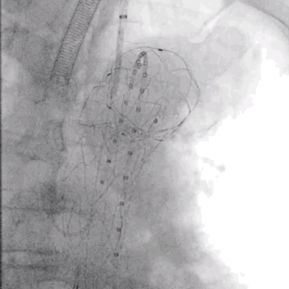
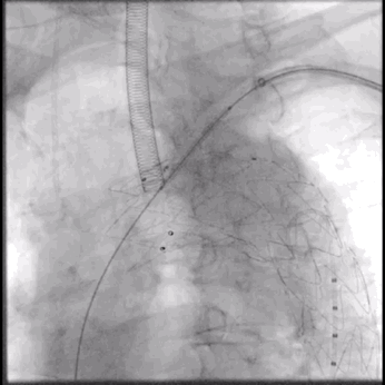
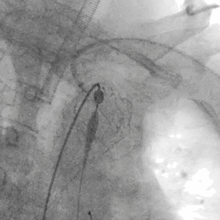
3. 沿左侧肱动脉Fustar内导入Fusmart可调弯导管及0.035"Terumo普通泥鳅导丝尾端,到达主动脉弓覆膜支架上方,调整角度,以尽量垂直角度透视下配合破膜,选入主体支架内,LSA导管内造影,多角度确认导丝头穿过主动脉支架覆膜。

泥鳅导丝怎么用符伟国/王利新教授团队:0.035"普通泥鳅导丝进行胸主动脉弓上分支原位开窗的病例分享_https://www.jmylbn.com_新闻资讯_第13张

LSA可调弯鞘内进可调弯导管

泥鳅导丝怎么用符伟国/王利新教授团队:0.035"普通泥鳅导丝进行胸主动脉弓上分支原位开窗的病例分享_https://www.jmylbn.com_新闻资讯_第14张

RAO方向确认导管

与大支架覆膜垂直

泥鳅导丝怎么用符伟国/王利新教授团队:0.035"普通泥鳅导丝进行胸主动脉弓上分支原位开窗的病例分享_https://www.jmylbn.com_新闻资讯_第15张

破膜成功

泥鳅导丝怎么用符伟国/王利新教授团队:0.035"普通泥鳅导丝进行胸主动脉弓上分支原位开窗的病例分享_https://www.jmylbn.com_新闻资讯_第16张

LSA导管内造影,确认破膜成功


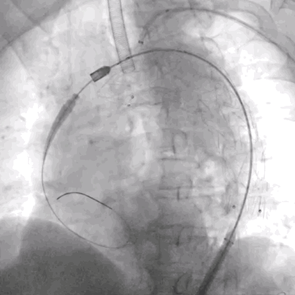
4. 依次导入球囊3mm*30mm、6mm*40mm至开窗口行扩张并再次确认导丝头穿过主动脉支架覆膜。



泥鳅导丝怎么用符伟国/王利新教授团队:0.035"普通泥鳅导丝进行胸主动脉弓上分支原位开窗的病例分享_https://www.jmylbn.com_新闻资讯_第17张

使用3mm*30mm球囊扩张窗口,改变DSA角度证实破膜成功

泥鳅导丝怎么用符伟国/王利新教授团队:0.035"普通泥鳅导丝进行胸主动脉弓上分支原位开窗的病例分享_https://www.jmylbn.com_新闻资讯_第18张

进一步使用6mm*40mm球囊扩张开窗口





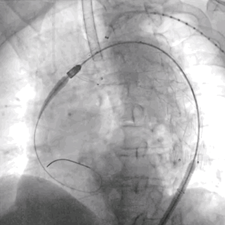
5. 经左肱动脉导入VBX(10mm*39mm)至开窗口释放,并使用10mm*20mm Mustang球囊行支架内扩张。

泥鳅导丝怎么用符伟国/王利新教授团队:0.035"普通泥鳅导丝进行胸主动脉弓上分支原位开窗的病例分享_https://www.jmylbn.com_新闻资讯_第19张

确认LSA及椎动脉开口位置

泥鳅导丝怎么用符伟国/王利新教授团队:0.035"普通泥鳅导丝进行胸主动脉弓上分支原位开窗的病例分享_https://www.jmylbn.com_新闻资讯_第20张

释放10mm*39mm VBX球扩支架

泥鳅导丝怎么用符伟国/王利新教授团队:0.035"普通泥鳅导丝进行胸主动脉弓上分支原位开窗的病例分享_https://www.jmylbn.com_新闻资讯_第21张

使用10mm*20mm球囊扩张分支支架

泥鳅导丝怎么用符伟国/王利新教授团队:0.035"普通泥鳅导丝进行胸主动脉弓上分支原位开窗的病例分享_https://www.jmylbn.com_新闻资讯_第22张

RAO位置造影大支架封闭良好,无内漏

泥鳅导丝怎么用符伟国/王利新教授团队:0.035"普通泥鳅导丝进行胸主动脉弓上分支原位开窗的病例分享_https://www.jmylbn.com_新闻资讯_第23张

LAO位置造影左锥动脉血流良好


6. 最终造影:主动脉弓部瘤病变显影消失,主体支架形态良好,分支支架通畅,左椎动脉显影良好。

泥鳅导丝怎么用符伟国/王利新教授团队:0.035"普通泥鳅导丝进行胸主动脉弓上分支原位开窗的病例分享_https://www.jmylbn.com_新闻资讯_第24张

LAO位置最后造影

泥鳅导丝怎么用符伟国/王利新教授团队:0.035"普通泥鳅导丝进行胸主动脉弓上分支原位开窗的病例分享_https://www.jmylbn.com_新闻资讯_第25张

头向血流良好




泥鳅导丝怎么用符伟国/王利新教授团队:0.035"普通泥鳅导丝进行胸主动脉弓上分支原位开窗的病例分享_https://www.jmylbn.com_新闻资讯_第26张

泥鳅导丝怎么用符伟国/王利新教授团队:0.035"普通泥鳅导丝进行胸主动脉弓上分支原位开窗的病例分享_https://www.jmylbn.com_新闻资讯_第27张

术中操作


泥鳅导丝怎么用符伟国/王利新教授团队:0.035"普通泥鳅导丝进行胸主动脉弓上分支原位开窗的病例分享_https://www.jmylbn.com_新闻资讯_第28张


术后随访


患者于出院前行CTA检查,结果显示,动脉瘤隔绝良好,无内漏;分支支架通畅,形态良好;椎动脉供血良好。

泥鳅导丝怎么用符伟国/王利新教授团队:0.035"普通泥鳅导丝进行胸主动脉弓上分支原位开窗的病例分享_https://www.jmylbn.com_新闻资讯_第29张
泥鳅导丝怎么用符伟国/王利新教授团队:0.035"普通泥鳅导丝进行胸主动脉弓上分支原位开窗的病例分享_https://www.jmylbn.com_新闻资讯_第30张

术后三维重建/CTA



泥鳅导丝怎么用符伟国/王利新教授团队:0.035"普通泥鳅导丝进行胸主动脉弓上分支原位开窗的病例分享_https://www.jmylbn.com_新闻资讯_第31张


— 病例经验小结—   



对于主动脉弓部病变累及或紧贴左锁骨下动脉导致近端锚定区不足的病例,在扩展锚定区、保障患者中远期治疗效果的同时,为了避免患者出现后循环缺血或上肢缺血等症状,我们选择通过原位开窗技术进行左锁骨下动脉重建,最终达到确保对弓部动脉瘤的封闭效果的同时保证左锁骨下动脉血流的灌注。本病例我们选择华脉泰科胸主动脉覆膜支架进行腔内修复,该支架在原位开窗过程中表现优异,覆膜支架近端定位精准,无内漏,术中仅用0.035"普通泥鳅导丝即可轻松破膜,开窗处覆膜易穿透、易扩张,球囊扩张开口过程操作简单,植入支架后形态好,无膜漏,即时效果好。华脉泰科胸主支架原位开窗,手术操作过程简易,降低了对腔内器材的选择要求,最终本案例左锁骨下动脉重建效果符合术前规划预期。

本病例关键器械:Fustar可调弯鞘,Fusmart可调弯导管,华脉泰科胸主动脉覆膜支架。



泥鳅导丝怎么用符伟国/王利新教授团队:0.035"普通泥鳅导丝进行胸主动脉弓上分支原位开窗的病例分享_https://www.jmylbn.com_新闻资讯_第32张


专家介绍


泥鳅导丝怎么用符伟国/王利新教授团队:0.035"普通泥鳅导丝进行胸主动脉弓上分支原位开窗的病例分享_https://www.jmylbn.com_新闻资讯_第33张

符伟国 教授




二级教授,博士生导师,中国第一位血管外科博士,卫生部有突出贡献中青年专家,上海工匠,上海领军人才,上海市优秀学科带头人,入选上海市卫生系统百人计划。现任:国家放射与治疗临床医学研究中心副主任;复旦大学附属中山医院血管外科主任;复旦大学血管外科研究所所长。中华医学会外科学分会血管外科学组副组长、中国医师协会血管外科医师分会副会长、海峡两岸医药卫生交流协会血管外科分会会长、中国医师协会血管外科医师分会胸主动脉学组组长、上海市医师协会血管外科医师分会会长、上海市医学会血管外科专科分会前任主任委员、中国医师协会腔内血管学专业委员会副主任委员、中国医师协会腔内血管学专业委员会主动脉夹层专家委员会主任委员、中国医师协会老年学分会血管外科专业委员会副主任委员、中国医疗保健国际交流促进会血管外科专业委员会副主任委员。中华医学杂志(英文版)、中华外科杂志、中国实用外科杂志、中国普通外科杂志等学术期刊编委。



泥鳅导丝怎么用符伟国/王利新教授团队:0.035"普通泥鳅导丝进行胸主动脉弓上分支原位开窗的病例分享_https://www.jmylbn.com_新闻资讯_第34张

王利新 教授




主任医师、教授、博士生导师、复旦大学附属中山医院副院长、血管外科副主任、复旦大学血管外科研究所副所长。担任中国医师协会血管外科分会青委 副主委、中国医疗促进会血管外科分会副主任委员、中国心胸血管麻醉学会血管分会副主任委员、亚太血管学学术联盟青年分会 会长、IUA中国分会青委会副主席等学术职务。
主持包括863子课题、国家自然科学基金(4项)等在内的20余项课题。在Cell Discovery、PNAS、ATVB、Nature communication、Journal of vascular surgery、European Journal of vascular and Endovascular Surgery等杂志发表SCI文章40余篇,单篇最高38分,总IF 290.73分。获得上海市杰出青年医学人才计划、上海市卫生系统优秀学科带头人、上海市卫健委“青年百人计划”(青年学科带头人)、福建省“突出贡献中青年专家”等人才称号。获得福建省科技进步一等奖、厦门市科技进步三等奖、上海医学科技奖青年奖、上海市创新成果奖二等奖、上海市星光计划一等奖等学术奖项多项。获得“白求恩式好大夫”、 “国之名医—青年新锐”和上海市五一劳动奖章等荣誉。
发表国内核心期刊30余篇,参编和主编专著6部,获得专利31项,转化3项。担任国家自然基金一审专家和多家SCI杂志通讯编委。



泥鳅导丝怎么用符伟国/王利新教授团队:0.035"普通泥鳅导丝进行胸主动脉弓上分支原位开窗的病例分享_https://www.jmylbn.com_新闻资讯_第35张

原通




博士,2021年毕业于复旦大学附属中山医院血管外科,2021-2023年于复旦大学附属中山医院外科基地规范化培训,2023年8月起进入复旦大学附属中山医院血管外科工作。自博士起从事腹主动脉瘤及主动脉夹层相关基础及临床研究,发表中英文论文数篇,并先后参与国家自然科学基金、科技部国家重点研发计划课题等项目的研究工作。


泥鳅导丝怎么用符伟国/王利新教授团队:0.035"普通泥鳅导丝进行胸主动脉弓上分支原位开窗的病例分享_https://www.jmylbn.com_新闻资讯_第36张



科室介绍

复旦大学附属中山医院血管外科,暨复旦大学血管外科研究所,是集医、教、研于一体的血管疾病诊治中心。科室成立于1988年,是全中国最早成立的独立血管外科临床专科和研究中心。经过半个多世纪的发展,中山医院血管外科目前已成为中国最大的血管外科和腔内血管外科诊疗中心之一。

科室针对各类常见和疑难的血管疾病,开展手术的种类、难度和规模在国内外均处于领先地位。尤其2000年以来,血管外科在全国最先开始探索微创腔内血管外科技术,并在国内建立了第一个腔内血管外科复合手术室。近10余年,科室已开展主动脉夹层、胸/腹主动脉瘤、颈动脉狭窄、下肢动脉硬化闭塞症、静脉微创外科、透析用血管通路等周围血管疾病的开放手术及微创腔内修复术数万例次。所诊治疾病中疑难危重病例占比超55%,三四级手术比例高达80%以上。

半个世纪以来,中山医院血管外科培养了全中国近一半的血管外科专科医生和学科带头人,被誉为“中国血管外科的摇篮”。同时,近30年来培养了硕士、博士及博士后百余名。

2001年,科室入选复旦大学985工程“重中之重”学科项目;2002年,被评为国家教育部重点学科;2020年,成为国家放射与治疗临床医学中心核心单位和副主任委员单位。血管外科及研究所,先后承担国家863计划、国家自然科学基金、科技部攻关项目以及教育部、卫生部、上海市科委、市卫计委、市教委、复旦大学等等各类科研项目、科研计划百余项。并先后获得科技部华夏医学科技一等奖、教育部科技进步二等奖、上海市科技进步二等、三等奖等等诸多奖项。

泥鳅导丝怎么用符伟国/王利新教授团队:0.035"普通泥鳅导丝进行胸主动脉弓上分支原位开窗的病例分享_https://www.jmylbn.com_新闻资讯_第37张



泥鳅导丝怎么用符伟国/王利新教授团队:0.035"普通泥鳅导丝进行胸主动脉弓上分支原位开窗的病例分享_https://www.jmylbn.com_新闻资讯_第38张

END






点击蓝字 | 进入Med Wiki器械百科


版权声明:本平台旨在帮助医疗卫生专业人士更好地了解相关疾病领域最新进展。本平台对发布的资讯内容,并不代表同意其描述和观点,仅为提供更多信息。若涉及版权问题,烦请权利人与我们联系,我们将尽快处理。仅供医疗卫生专业人士为了解资讯使用,该等信息不能以任何方式取代专业的医疗指导,也不应被视为诊疗建议。如该等信息被用于了解资讯以外的目的,本平台及作者不承担相关责任。合作联系邮箱:vascular@edoctor.work。

泥鳅导丝怎么用符伟国/王利新教授团队:0.035"普通泥鳅导丝进行胸主动脉弓上分支原位开窗的病例分享_https://www.jmylbn.com_新闻资讯_第39张