泥鳅导丝怎么用一招制敌

新闻资讯2026-04-21 16:48:16
泥鳅导丝怎么用一招制敌_https://www.jmylbn.com_新闻资讯_第1张
泥鳅导丝怎么用一招制敌_https://www.jmylbn.com_新闻资讯_第2张

主刀医生:田伟、杨章超、马文群

本期病例

患者基本信息

患者女性,29岁。

主诉:现病史:既往史:查体:
术前影像入院前头颅CTA提示:左侧颈内动脉C7段末端动脉瘤。

泥鳅导丝怎么用一招制敌_https://www.jmylbn.com_新闻资讯_第3张

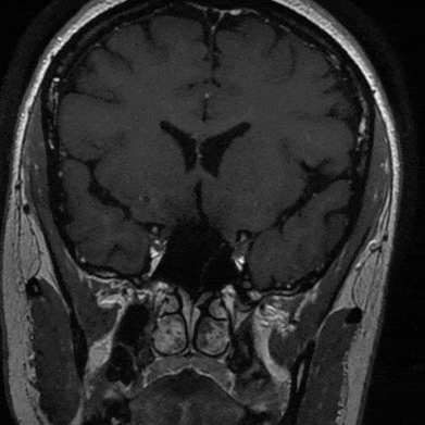
入院后查高分辨核磁显示:左侧颈内动脉交通段、左侧大脑前动脉A1段及左侧大脑中动脉M1段管壁明显强化,左侧颈内动脉交通段及左侧大脑中动脉M1段管腔内可见强化内膜片影,考虑左侧颈内动脉交通段夹层动脉瘤累及M1、A1段(左侧颈内动脉交通段及左侧大脑中动脉M1段管腔扩张,左侧大脑前动脉A1管腔明显狭窄)。

泥鳅导丝怎么用一招制敌_https://www.jmylbn.com_新闻资讯_第4张
泥鳅导丝怎么用一招制敌_https://www.jmylbn.com_新闻资讯_第5张


术前评估:术前诊断:手术指征:术前药物准备:
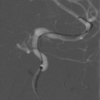
术前造影

造影显示:左侧A1段血流纤细,左侧前循环供血通过右侧A1段及前交通代偿。

泥鳅导丝怎么用一招制敌_https://www.jmylbn.com_新闻资讯_第6张
泥鳅导丝怎么用一招制敌_https://www.jmylbn.com_新闻资讯_第7张

左侧颈内动脉末端梭形夹层动脉瘤,2.9mm*3.5mm。

泥鳅导丝怎么用一招制敌_https://www.jmylbn.com_新闻资讯_第8张
泥鳅导丝怎么用一招制敌_https://www.jmylbn.com_新闻资讯_第9张


诊疗分析Pipeline™ Flex血流导向密网支架Pipeline™ Flex血流导向密网支架Pipeline™ Flex血流导向密网支架相关风险&困难:

夹层长,呈梭形,术后可能出现支架贴壁不良,导致术后血栓形成。

夹层波及大脑中动脉M1段近端,可能导致部分穿支闭塞,出现相应症状。

颈内动脉末端与大脑中动脉成角支架打开不充分,可能需要“甩”动,以保证支架充分打开。


术中耗材

8F 导引导管

5F 单弯导管

0.035" 150cm超滑泥鳅导丝

6F 125cm 中间导管

Marksman™ 导管0.014" 200cm 微导丝Pipeline™ Flex血流导向密网支架 PED-325-25
手术过程微导管到位:

泥鳅导丝怎么用一招制敌_https://www.jmylbn.com_新闻资讯_第10张
泥鳅导丝怎么用一招制敌_https://www.jmylbn.com_新闻资讯_第11张
泥鳅导丝怎么用一招制敌_https://www.jmylbn.com_新闻资讯_第12张


Pipeline™ Flex 血流导向密网支架

泥鳅导丝怎么用一招制敌_https://www.jmylbn.com_新闻资讯_第13张


Pipeline™ Flex 血流导向密网支架

泥鳅导丝怎么用一招制敌_https://www.jmylbn.com_新闻资讯_第14张


Pipeline™ Flex 血流导向密网支架

泥鳅导丝怎么用一招制敌_https://www.jmylbn.com_新闻资讯_第15张

Pipeline™ Flex 血流导向密网支架于密网支架充分打开,所以从外缘向内缘回拉,让密网支架位于血管中轴。

泥鳅导丝怎么用一招制敌_https://www.jmylbn.com_新闻资讯_第16张
泥鳅导丝怎么用一招制敌_https://www.jmylbn.com_新闻资讯_第17张
泥鳅导丝怎么用一招制敌_https://www.jmylbn.com_新闻资讯_第18张

Pipeline™ Flex 血流导向密网支架密网支架充分打开。
Pipeline™ Flex 血流导向密网支架

泥鳅导丝怎么用一招制敌_https://www.jmylbn.com_新闻资讯_第19张


泥鳅导丝怎么用一招制敌_https://www.jmylbn.com_新闻资讯_第20张

Pipeline™ Flex 血流导向密网支架
Pipeline™ Flex 血流导向密网支架Marksman™ 导管

泥鳅导丝怎么用一招制敌_https://www.jmylbn.com_新闻资讯_第21张

支架内按摩。

泥鳅导丝怎么用一招制敌_https://www.jmylbn.com_新闻资讯_第22张

术后图像显示支架打开及贴壁良好。

泥鳅导丝怎么用一招制敌_https://www.jmylbn.com_新闻资讯_第23张

术后工作位造影

泥鳅导丝怎么用一招制敌_https://www.jmylbn.com_新闻资讯_第24张


泥鳅导丝怎么用一招制敌_https://www.jmylbn.com_新闻资讯_第25张

术后侧位造影

泥鳅导丝怎么用一招制敌_https://www.jmylbn.com_新闻资讯_第26张

术后正位造影

术后患者一般情况可,诉头疼,给予对症处理。神经查体:无阳性定位体征。给低分子肝素4100U皮下注射一次。继续口服阿司匹林100mg 1次/日,替格瑞洛90mg 2次/日。


术后讨论

1

颅内夹层动脉瘤

颅内夹层动脉瘤(intracranial dissecting aneurysm,IDA)是指颅内动脉的内膜和中膜之间或中膜和外膜之间发生病理性夹层,导致动脉壁膨出,发生动脉瘤样扩张的病变。IDA可发生于各个年龄段,但以青年和中年为高发期,是卒中发生的重要原因之一。IDA好发于椎动脉,其次是基底动脉和颈内动脉。该疾病的临床表现多样,与病变血管壁的病理损伤模式和管腔构型密切相关,可有头痛、蛛网膜下腔出血(subarachnoid hemorrhage,SAH)、脑梗死和神经压迫症状等临床表现。

2016年,《颅内动脉夹层的影像学诊断中国专家共识》将IDA分为4种亚型:

经典型(Ⅰ型)

节段扩张型(Ⅱ型)

延长扩张型(Ⅲ型)

局部巨大占位型(Ⅳ型)

泥鳅导丝怎么用一招制敌_https://www.jmylbn.com_新闻资讯_第27张

2

血管内治疗IDA

目前血管内治疗已成为IDA的首选治疗方式,目的是减少或阻断IDA内的血流,修复破损的内膜,避免IDA继续进展或破裂引起SAH或脑出血,减少缺血性事件的发生以及减轻对周围脑组织或脑神经等的压迫症状。具有创伤小、恢复快、并发症少、病死率和致残率低等优点。

泥鳅导丝怎么用一招制敌_https://www.jmylbn.com_新闻资讯_第28张

3

Pipeline™ Flex 血流导向密网支架治疗IDA
Pipeline™ Flex 血流导向密网支架Pipeline™ Flex 血流导向密网支架

4

相关文献

——李航,贺迎坤,白卫星,等.Pipeline血流导向装置治疗复杂颅内动脉瘤的安全性及中期疗效[J].中华神经外科杂志,2018,34
最大的一项 PED治疗后循环动脉瘤的研究来自于美国Griessenauer等的研究,共纳入8个中心的129例患者的131个后循环动脉瘤,其中包括29例夹层动脉瘤、53例梭形动脉瘤及49例囊状动脉瘤,平均随访时间为11个月,完全闭塞率和近全闭塞率达到78.1%;该研究发现夹层动脉瘤的完全闭塞率最高且并发症率最低,而梭形动脉瘤的完全闭塞率最低且并发症率最高。——Griessenauer CJ, Ogilvy CS, Adeeb N, et al Pipeline embolization of posterior circulation aneurysms: a multicenter study of 131 aneurysms[J]. J Neurosurg. 2018 May 4;130(3):923-935. doi:10.3171/2017.9.JNS171376. 

5

总结

虽然血流导向装置治疗夹层动脉瘤不少,但前循环夹层动脉瘤相对少见,尽管血流导向装置在IDA的治疗中取得了比较好的效果,但是血流导向装置相比于其他介入材料起步较晚,在临床治疗中病例数还不足,术中重要穿支闭塞以及术后动脉瘤复发、再破裂等并发症仍不可忽视,对于IAD的安全性及有效性仍亟待进一步探究。


专家介绍

泥鳅导丝怎么用一招制敌_https://www.jmylbn.com_新闻资讯_第29张

田伟邯郸市中心医院

邯郸市中心医院神经外一科工作,副主任医师。

河北省血管健康与技术协会脑血管介入专业委员会委员河北省医学会神经病学分会神经介入组委员河北省医师学会神经外科医师分会神经重症学组委员。毕业于河北医科大学硕士研究生毕业。2014年获邯郸市五一劳动奖章、技能大赛状元、2021获得医院杰出青年奖。2016天坛进修血管内介入治疗,可独立完成颈动脉支架成形术,急性脑梗塞机械取栓术,颅内血管狭窄成形术,颅内动脉瘤介入栓塞术。参与河北省卫生厅厅级立项1项,荣获三等奖。

泥鳅导丝怎么用一招制敌_https://www.jmylbn.com_新闻资讯_第30张

杨章超邯郸市中心医院

邯郸市中心医院神经外一科主治医师。

四川大学华西临床医学院硕士研究生毕业,长期从事脑血管病介入治疗的临床及科研工作,2021年在福建医科大学附属漳州市医院进修。擅长急性缺血性脑卒中、颅内外血管狭窄、颅内动脉瘤等疾病的诊断及治疗。


泥鳅导丝怎么用一招制敌_https://www.jmylbn.com_新闻资讯_第31张

马文群邯郸市中心医院邯郸市中心医院神经外一科主任,主任医师,医学学士。

河北省老年医学会神经外科专业委员会常务委员

河北省老年医学会神经肿瘤专业委员会

河北省血管健康与技术协会脑血管介入专业委员会委员

河北省卒中学会缺血性卒中外科分会委员

中国医药教育协会医疗器械管理专业委员会委员

神经外科器械学组委员

河北省医学会神经外科分会脊髓脊柱学组委员

邯郸市抗癫痫协会第一届理事

毕业于河北医科大学医学系,同年9月到邯郸市中心医院工作至今,2004年、2011年先后到海军总医院、北京天坛医院进修学习。

业务专长:能熟练运用头颅CT和MRI对颅内肿瘤作出诊断,能熟练运用脑血管造影对脑血管包括:动脉瘤、脑血管畸形,烟雾病等作出正确的诊断。掌握显微手术操作技术,能准确地定位开颅,独立完成较复杂的手术。如大脑半球肿瘤的手术、后颅凹肿瘤手术、复杂颅脑损伤手术、先天性神经系统疾病的外科处理;能够完成颅底肿瘤手术,如鞍区肿瘤、桥小脑角区肿瘤;能独立完成椎管肿瘤的手术治疗。

科研教学:参与翻译了《Rhoton神经外科解剖与手术入路》,发表论文十几篇,完成科研课题《人脑胶质瘤中Cx43基因检测及其与细胞增殖关系的研究》、《血管生成素—2、血管内皮生因子与大肠癌血管生成关系的研究》,分别获河北省医学科技进步一等奖。邯郸市科技进步一等奖。在教学方面多次被评为优秀带教老师。被评为院“十佳医生”,三次荣立三等功。



特别说明:本信息仅供医疗卫生专业人士阅读和参考,不构成对任何诊疗方式的推荐。

泥鳅导丝怎么用一招制敌_https://www.jmylbn.com_新闻资讯_第32张