波科支架怎么样径技-弓上病例大赏|第210期·右侧颈内动脉球囊扩张术+支架植入术

新闻资讯2026-04-21 16:47:37

波科支架怎么样径技-弓上病例大赏|第210期·右侧颈内动脉球囊扩张术+支架植入术_https://www.jmylbn.com_新闻资讯_第1张

导语

卒中是我国第一大死因,约15%的缺血性卒中由颈动脉狭窄或闭塞引起。根据目前的指南,颈动脉支架植入术(CAS)是一种有效替代颈动脉内膜切除术的方法,可由经验丰富的术者进行,不但手术成功率高,且并发症率极低


科室简介

波科支架怎么样径技-弓上病例大赏|第210期·右侧颈内动脉球囊扩张术+支架植入术_https://www.jmylbn.com_新闻资讯_第2张山西医科大学第一医院神经内科成立于1959年,是山西省神经病学成立最早的科室,是山西医科大学第一批硕士、博士学位授予点。是山西省首家高级卒中中心及五星高级卒中中心。拥有先进的神经科专用导管室,全年脑血管造影、取栓及支架例数居于全省前列。


专家简介

波科支架怎么样径技-弓上病例大赏|第210期·右侧颈内动脉球囊扩张术+支架植入术_https://www.jmylbn.com_新闻资讯_第3张

张金

山西医科大学第一医院

  • 山西医科大学第一医院神经内科科副主任,主任医师、副教授、硕士生导师

  • 美国Emory大学神经科学访问学者。主要从事缺血性脑血管病的介入治疗

  • 入选2018年山西省三晋英才支持计划“拔尖骨干人才”

  • 中国医师协会神经介入专业委员会第二届委员

  • 中国卒中学会静脉窦分会委员

  • 山西省医学会神经病学分会常委

  • 山西省健康协会神经病学分会主任委员

  • 山西省老年学会脑血管病分会主任委员

  • 山西省老年学会神经病学分会副会长

波科支架怎么样径技-弓上病例大赏|第210期·右侧颈内动脉球囊扩张术+支架植入术_https://www.jmylbn.com_新闻资讯_第4张

王天栋

山西医科大学第一医院

  • 山西医科大学第一医院神经内科副主任医师

  • 2018年3月—2019年3月在北京宣武医院师从焦力群教授进修学习缺血性脑血管病介入治疗,并在神经内科重症监护病房工作多年

  • 擅长缺血性脑血管病介入治疗以及危重症患者的治疗管理

  • 目前担任山西省神经重症专业委员会委员及山西省医学会脑血管病专委会青年委员

波科支架怎么样径技-弓上病例大赏|第210期·右侧颈内动脉球囊扩张术+支架植入术_https://www.jmylbn.com_新闻资讯_第5张

麻春林

山西医科大学第一医院

  • 山西医科大学第一医院,神经内科脑血管病组,副主任医师

  • 山西省老年医学会心脑血管专业委员会委员

  • 山西省健康协会脑血管专业委员会委员,干事

  • 曾于2020年在宣武医院学习神经介入1年,擅长缺血性脑血管病介入治疗

  • 已发表SCI、脑血管病相关论文10余篇,出版医学专著2部


=

本期病例


简要病史

患者:男性,62岁。

主因:发现右侧颈内动脉狭窄10余天入院。

既往史:既往有高血压病、2型糖尿病病史。吸烟30余年,平均20支/日,无饮酒史。 

从心内科转入时查体:NIHSS评分0分,MRS评分0分。

术前造影

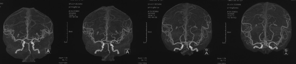
辅助检查(颈部血管彩超、CTA)

波科支架怎么样径技-弓上病例大赏|第210期·右侧颈内动脉球囊扩张术+支架植入术_https://www.jmylbn.com_新闻资讯_第6张

超声印象:
  • 双侧颈动脉内膜增伴斑块形成

  • 右侧颈内动脉中段狭窄

波科支架怎么样径技-弓上病例大赏|第210期·右侧颈内动脉球囊扩张术+支架植入术_https://www.jmylbn.com_新闻资讯_第7张

波科支架怎么样径技-弓上病例大赏|第210期·右侧颈内动脉球囊扩张术+支架植入术_https://www.jmylbn.com_新闻资讯_第8张

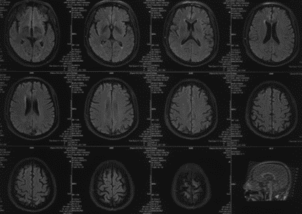
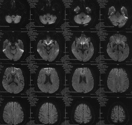
辅助检查(头颅核磁)

波科支架怎么样径技-弓上病例大赏|第210期·右侧颈内动脉球囊扩张术+支架植入术_https://www.jmylbn.com_新闻资讯_第9张

波科支架怎么样径技-弓上病例大赏|第210期·右侧颈内动脉球囊扩张术+支架植入术_https://www.jmylbn.com_新闻资讯_第10张

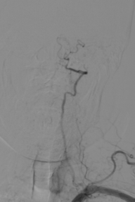
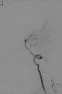
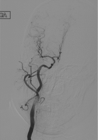
辅助检查(DSA)

主动脉弓+L-CA

波科支架怎么样径技-弓上病例大赏|第210期·右侧颈内动脉球囊扩张术+支架植入术_https://www.jmylbn.com_新闻资讯_第11张

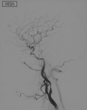
R-CA

波科支架怎么样径技-弓上病例大赏|第210期·右侧颈内动脉球囊扩张术+支架植入术_https://www.jmylbn.com_新闻资讯_第12张

VA

波科支架怎么样径技-弓上病例大赏|第210期·右侧颈内动脉球囊扩张术+支架植入术_https://www.jmylbn.com_新闻资讯_第13张

波科支架怎么样径技-弓上病例大赏|第210期·右侧颈内动脉球囊扩张术+支架植入术_https://www.jmylbn.com_新闻资讯_第14张

波科支架怎么样径技-弓上病例大赏|第210期·右侧颈内动脉球囊扩张术+支架植入术_https://www.jmylbn.com_新闻资讯_第15张

波科支架怎么样径技-弓上病例大赏|第210期·右侧颈内动脉球囊扩张术+支架植入术_https://www.jmylbn.com_新闻资讯_第16张

手术预案

  • 病例特点:右侧颈内动脉C1段重度狭窄,致远端供血区域脑梗死,手术指征明确;

  • 拟局麻下行右侧颈内动脉血管成形术;

  • 患者因胸憋、心悸入住我院心内科,于我院心内科行冠脉支架植入术。本次转入我科后,不到一周,行颈内动脉球囊扩张术及支架植入术。考虑患者非极重度狭窄,预先通过Wallstent支架后扩可行,后扩支架贴壁性更好。考虑到患者虽无明显神经系统症状,但在核磁上却有颈内动脉狭窄侧的多发梗死病灶,发病机制动脉到动脉栓塞可能性大,故选用网眼最小,同时通过性最好的Filterwire保护伞Wallstent闭环支架,预防栓塞事件。

手术器材

  • 088 6F(长鞘)

  • 125cmCordis 单弯导管

  • 1.5m 泰尔茂泥鳅导丝

  • 3.5-5.5mm Filterwire(波科)保护伞

  • 9mm×40mm Wallstent (波科)颈动脉支架

  • 5mm×30mm LitePAC (巴德)快速交换球囊

手术过程

在路图指引下将Filterwire保护装小心通过狭窄段,送入右侧颈内动脉岩段释放,顺保护装置微导丝将Wallstent 9.0*40mm支架于狭窄段,准确对位后于病变处释放。

波科支架怎么样径技-弓上病例大赏|第210期·右侧颈内动脉球囊扩张术+支架植入术_https://www.jmylbn.com_新闻资讯_第17张

波科支架怎么样径技-弓上病例大赏|第210期·右侧颈内动脉球囊扩张术+支架植入术_https://www.jmylbn.com_新闻资讯_第18张

顺保护装置微导丝将LitePAC5.0*30mm球囊小心通过狭窄段,准确对位后以10atm压力扩张球囊。

波科支架怎么样径技-弓上病例大赏|第210期·右侧颈内动脉球囊扩张术+支架植入术_https://www.jmylbn.com_新闻资讯_第19张

波科支架怎么样径技-弓上病例大赏|第210期·右侧颈内动脉球囊扩张术+支架植入术_https://www.jmylbn.com_新闻资讯_第20张

撤回保护装置及导引导管,封堵器封堵血管鞘,自然中和肝素,术后患者病情平稳,安全返回神经内科病房。

波科支架怎么样径技-弓上病例大赏|第210期·右侧颈内动脉球囊扩张术+支架植入术_https://www.jmylbn.com_新闻资讯_第21张

波科支架怎么样径技-弓上病例大赏|第210期·右侧颈内动脉球囊扩张术+支架植入术_https://www.jmylbn.com_新闻资讯_第22张

波科支架怎么样径技-弓上病例大赏|第210期·右侧颈内动脉球囊扩张术+支架植入术_https://www.jmylbn.com_新闻资讯_第23张

术后情况

术前、术后对比

波科支架怎么样径技-弓上病例大赏|第210期·右侧颈内动脉球囊扩张术+支架植入术_https://www.jmylbn.com_新闻资讯_第24张

波科支架怎么样径技-弓上病例大赏|第210期·右侧颈内动脉球囊扩张术+支架植入术_https://www.jmylbn.com_新闻资讯_第25张

波科支架怎么样径技-弓上病例大赏|第210期·右侧颈内动脉球囊扩张术+支架植入术_https://www.jmylbn.com_新闻资讯_第26张

波科支架怎么样径技-弓上病例大赏|第210期·右侧颈内动脉球囊扩张术+支架植入术_https://www.jmylbn.com_新闻资讯_第27张

总结

  • 本患者血管相对迂曲,斑块不稳定,选用Filterwire保护伞+Wallstent支架,既保证了通过性,也能减少栓塞事件的发生;

  • 选用Wallstent支架,同时可以让系统通过变得容易,便于球囊、长鞘或导引导管的通过,便于后扩张及避免收伞困难;

  • 球囊后扩可改善支架贴壁情况,同时可以缩短手术操作时间,但也要注意可能带来的支架短缩的问题。

波科支架怎么样径技-弓上病例大赏|第210期·右侧颈内动脉球囊扩张术+支架植入术_https://www.jmylbn.com_新闻资讯_第28张

特别说明:本页面所载的内容、信息、评论仅供参考,与公司的立场无关。如果您是一位医疗卫生专业人士,您应该通过自己的专业判断评估本页面提供的所有信息。如任何个人或其他媒体、网站欲转载使用本页面所载内容,请与著作权人联系,并自负法律责任。




波科支架怎么样径技-弓上病例大赏|第210期·右侧颈内动脉球囊扩张术+支架植入术_https://www.jmylbn.com_新闻资讯_第29张

扫码关注神经介入在线

 神经介入在线投稿:

     sjjrzx@hh-medic.com      




波科支架怎么样径技-弓上病例大赏|第210期·右侧颈内动脉球囊扩张术+支架植入术_https://www.jmylbn.com_新闻资讯_第30张

进入和缓学术” 全方位学习神经介入课程


说明:文页面的所有文字、图片、音视频等素材,均受版权保护,归神经介入在线及其主办方、原作者等相关权利人所有。未经允许和授权,禁止任何形式的转载、摘录、复制或使用。如果需要使用相关内容,请事先与相关权利人取得联系,并按照许可协议规定使用,同时注明来源。