波科支架怎么样径技-弓上病例大赏|第205期·放疗后症状性颈动脉狭窄支架置入治疗一例

新闻资讯2026-04-21 16:47:36

波科支架怎么样径技-弓上病例大赏|第205期·放疗后症状性颈动脉狭窄支架置入治疗一例_https://www.jmylbn.com_新闻资讯_第1张

导语

卒中是我国第一大死因,约15%的缺血性卒中由颈动脉狭窄或闭塞引起。根据目前的指南,颈动脉支架植入术(CAS)是一种有效替代颈动脉内膜切除术的方法,可由经验丰富的术者进行,不但手术成功率高,且并发症率极低


专家简介

波科支架怎么样径技-弓上病例大赏|第205期·放疗后症状性颈动脉狭窄支架置入治疗一例_https://www.jmylbn.com_新闻资讯_第2张

姜绪涛

青岛阜外心血管病医院

  • 神经科主任助理,脑卒中中心急诊救治组副组长,脑血管病介入治疗组组长

  • 山东省脑血管病防治协会基层医院神经介入专业委员会副主任委员

    山东省脑血管病防治协会基层医院脑卒中专业委员会常务委

  • 山东省卒中学会质量管理与促进分会委员

  • 山东省卒中专科联盟委员

  • 青岛市老年医学会神经介入专业委员会常务委员等

  • 目前主要从事缺血及出血性脑血管病的诊断及介入治疗和颅脑损伤、脑肿瘤的外科手术治疗

=

本期病例


简要病史

患者:男,53岁

主诉:发作性右侧肢体麻木伴言语不利1天余。

既往史:2013年10月25日下咽部恶性肿瘤累及食管行手术及放化疗治疗,遗留声音嘶哑症状。血压偏高,未药物治疗。甲状腺结节手术治疗史。追问病史,患者近一个多月多次出现短暂性右侧肢体麻木无力感,均未处置。

神经系统查体:神清,精神欠佳,查体合作,问答切题,声音嘶哑,头颅无畸形,颈软,双侧瞳孔等大等圆,直径约3.0mm,直接间接光反射灵敏,眼球活动可,未见眼震;双侧额纹及鼻唇沟对称,口角无歪斜,伸舌居中,颈前部皮肤术后改变,颈部活动正常,四肢活动正常,肌力肌张力正常,生理反射正常存在,病理反射未引出。

入院化验:血尿常规、肝肾功能、甲状腺功能、血糖、血脂、凝血功能、同型半胱氨酸、乙型肝炎表面抗原、丙型肝炎抗体、抗HIV抗体等均正常。

入院检查:颅脑CT检查未见明显异常。

入院初步诊断:

  • 短暂性脑缺血发作(TIA)

  • 咽及食管恶性肿瘤术后

  • 甲状腺功能减退

入院治疗方案:  

1.积极予以改善循环、双联抗血小板聚集(阿司匹林100mg  口服 1/日;波立维75mg 口服 1/日)、降脂(瑞舒伐他汀钙片10mg 口服1/晚)等对症治疗。

2.完善心电图、颅脑MRIMRA、颈部血管及心脏超声、头颈部CTA等相关检查。

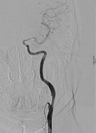
术前造影

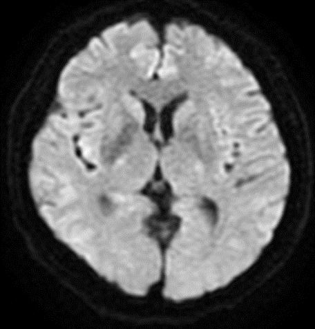
颅脑MRI               
   

波科支架怎么样径技-弓上病例大赏|第205期·放疗后症状性颈动脉狭窄支架置入治疗一例_https://www.jmylbn.com_新闻资讯_第3张

波科支架怎么样径技-弓上病例大赏|第205期·放疗后症状性颈动脉狭窄支架置入治疗一例_https://www.jmylbn.com_新闻资讯_第4张

颅脑MRA

波科支架怎么样径技-弓上病例大赏|第205期·放疗后症状性颈动脉狭窄支架置入治疗一例_https://www.jmylbn.com_新闻资讯_第5张

波科支架怎么样径技-弓上病例大赏|第205期·放疗后症状性颈动脉狭窄支架置入治疗一例_https://www.jmylbn.com_新闻资讯_第6张

颈部血管超声

波科支架怎么样径技-弓上病例大赏|第205期·放疗后症状性颈动脉狭窄支架置入治疗一例_https://www.jmylbn.com_新闻资讯_第7张

波科支架怎么样径技-弓上病例大赏|第205期·放疗后症状性颈动脉狭窄支架置入治疗一例_https://www.jmylbn.com_新闻资讯_第8张

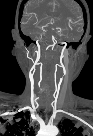
头颈部CTA

波科支架怎么样径技-弓上病例大赏|第205期·放疗后症状性颈动脉狭窄支架置入治疗一例_https://www.jmylbn.com_新闻资讯_第9张

波科支架怎么样径技-弓上病例大赏|第205期·放疗后症状性颈动脉狭窄支架置入治疗一例_https://www.jmylbn.com_新闻资讯_第10张

波科支架怎么样径技-弓上病例大赏|第205期·放疗后症状性颈动脉狭窄支架置入治疗一例_https://www.jmylbn.com_新闻资讯_第11张

术前准备

结合相关检验检查结果补充诊断:

颈动脉狭窄(左侧,重度)结合该患者病史资料,颈部狭窄原因考虑与放射性血管损伤有关。

制定下一步治疗方案:

患者颈动脉重度狭窄诊断明确,频繁TIA发作,手术指征明确,拟规范双联抗血小板聚集治疗后择期CAS治疗。(患者因多次手术病史,拒绝颈动脉内膜剥脱治疗。)

手术预案:

脑保护伞下行左侧颈内动脉起始部球囊扩张成型+支架置入术。

术前器械准备

  • 8F股动脉鞘 Y阀,三通,压力泵 

  • 泥鳅导丝

  • 8F MPA

  • 5F单弯造影管及多功能造影管

  • 波科FilterWire EZ 血栓保护系统

  • 波科Sterling 4mm*30mm球囊

  • 波科 Wallstent 颈动脉支架

手术过程

左侧颈内动脉起始段重度狭窄。

波科支架怎么样径技-弓上病例大赏|第205期·放疗后症状性颈动脉狭窄支架置入治疗一例_https://www.jmylbn.com_新闻资讯_第12张

波科支架怎么样径技-弓上病例大赏|第205期·放疗后症状性颈动脉狭窄支架置入治疗一例_https://www.jmylbn.com_新闻资讯_第13张

波科支架怎么样径技-弓上病例大赏|第205期·放疗后症状性颈动脉狭窄支架置入治疗一例_https://www.jmylbn.com_新闻资讯_第14张

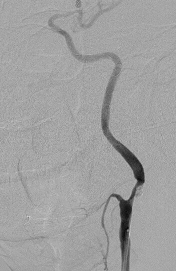
球囊扩张并造影。

波科支架怎么样径技-弓上病例大赏|第205期·放疗后症状性颈动脉狭窄支架置入治疗一例_https://www.jmylbn.com_新闻资讯_第15张

波科支架怎么样径技-弓上病例大赏|第205期·放疗后症状性颈动脉狭窄支架置入治疗一例_https://www.jmylbn.com_新闻资讯_第16张

Wallstent 7-40mm颈动脉支架支架置入。

波科支架怎么样径技-弓上病例大赏|第205期·放疗后症状性颈动脉狭窄支架置入治疗一例_https://www.jmylbn.com_新闻资讯_第17张

波科支架怎么样径技-弓上病例大赏|第205期·放疗后症状性颈动脉狭窄支架置入治疗一例_https://www.jmylbn.com_新闻资讯_第18张

波科支架怎么样径技-弓上病例大赏|第205期·放疗后症状性颈动脉狭窄支架置入治疗一例_https://www.jmylbn.com_新闻资讯_第19张

总结

➢ 本例患者应用的波科保护伞(FilterWire EZ3.5mm-5.5mm)具有高捕获率及可靠的贴壁性能同时有良好的输送性,不用微导丝导引,操作过程中内膜损伤及产生夹层风险小并且回收简单。该患者术后保护伞回收后可见捕获的脱落斑块 

➢ Wallstent颈动脉支架为闭环编织设计,具有高度的柔顺性,贴壁性更好,网眼密,斑块覆盖率高,术中显影好,半释放后仍可回收,便于定位,非常适合本病例血管不稳定斑块及术中夹层病变的血管治疗。

波科支架怎么样径技-弓上病例大赏|第205期·放疗后症状性颈动脉狭窄支架置入治疗一例_https://www.jmylbn.com_新闻资讯_第20张

波科支架怎么样径技-弓上病例大赏|第205期·放疗后症状性颈动脉狭窄支架置入治疗一例_https://www.jmylbn.com_新闻资讯_第21张

特别说明:本页面所载的内容、信息、评论仅供参考,与公司的立场无关。如果您是一位医疗卫生专业人士,您应该通过自己的专业判断评估本页面提供的所有信息。如任何个人或其他媒体、网站欲转载使用本页面所载内容,请与著作权人联系,并自负法律责任。




波科支架怎么样径技-弓上病例大赏|第205期·放疗后症状性颈动脉狭窄支架置入治疗一例_https://www.jmylbn.com_新闻资讯_第22张

扫码关注神经介入在线

 神经介入在线投稿:

     sjjrzx@hh-medic.com      




波科支架怎么样径技-弓上病例大赏|第205期·放疗后症状性颈动脉狭窄支架置入治疗一例_https://www.jmylbn.com_新闻资讯_第23张

进入和缓学术” 全方位学习神经介入课程