波科支架怎么样​径技·第165期|7F经桡入路下的颈动脉狭窄支架成形术一例

新闻资讯2026-04-21 16:47:22
波科支架怎么样​径技·第165期|7F经桡入路下的颈动脉狭窄支架成形术一例_https://www.jmylbn.com_新闻资讯_第1张

波科支架怎么样​径技·第165期|7F经桡入路下的颈动脉狭窄支架成形术一例_https://www.jmylbn.com_新闻资讯_第2张


7F经桡入路下的颈动脉狭窄支架成形术一例


病史信息

患者信息:男性,68岁,一过性右侧上肢无力10天

现病史:患者10天前无明显诱因出现一过性右手无力,表现为持物不稳,物品掉落,无视物模糊、旋转,无恶心、呕吐等,持续约1分钟后完全缓解,至我院门诊行头颈冠脉联合CTA提示“双侧颈内动脉起始部狭窄,左侧较重”,“冠脉多发狭窄”为求进一步手术治疗入来我院。

既往史:“高血压”病史10余年,最高血压210/100mmHg,平素口服“缬沙坦” 治疗,血压控制尚可;“冠心病”10余年,活动后有心悸;37年前因“阑尾炎”行手术治疗(具体不详),无糖尿病病史,无肝炎、结核病史,无食物、药物过敏史。

个人史:吸烟20年,平均10支/日,已戒烟19年;偶尔少量饮酒。

婚育史及家族史:24岁结婚,有1子,1女,均体健。有1哥均体健,无家族遗传病史。

专科查体:神志清楚,言语流利,双侧瞳孔等大等圆,直径3mm,对光反射灵敏,四肢肌力肌张力正常,双侧病理征阴性。


详细内容



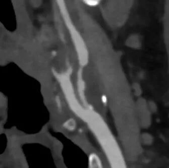
头颈联合CTA

波科支架怎么样​径技·第165期|7F经桡入路下的颈动脉狭窄支架成形术一例_https://www.jmylbn.com_新闻资讯_第3张

波科支架怎么样​径技·第165期|7F经桡入路下的颈动脉狭窄支架成形术一例_https://www.jmylbn.com_新闻资讯_第4张

波科支架怎么样​径技·第165期|7F经桡入路下的颈动脉狭窄支架成形术一例_https://www.jmylbn.com_新闻资讯_第5张

-- 左侧颈内起始部重度狭窄,低密度斑块;右侧颈内及右侧椎动脉起始部中度狭窄;冠脉多发狭窄


超声及超声造影

波科支架怎么样​径技·第165期|7F经桡入路下的颈动脉狭窄支架成形术一例_https://www.jmylbn.com_新闻资讯_第6张

波科支架怎么样​径技·第165期|7F经桡入路下的颈动脉狭窄支架成形术一例_https://www.jmylbn.com_新闻资讯_第7张

-- 左侧颈内不规则低回声,新生血管分级:IV级,提示为易损斑块

-- 右侧颈内不规则混合回声,表面钙化为主,新生血管分级:III级


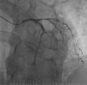
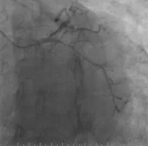
心脑联合造影

波科支架怎么样​径技·第165期|7F经桡入路下的颈动脉狭窄支架成形术一例_https://www.jmylbn.com_新闻资讯_第8张

波科支架怎么样​径技·第165期|7F经桡入路下的颈动脉狭窄支架成形术一例_https://www.jmylbn.com_新闻资讯_第9张

波科支架怎么样​径技·第165期|7F经桡入路下的颈动脉狭窄支架成形术一例_https://www.jmylbn.com_新闻资讯_第10张

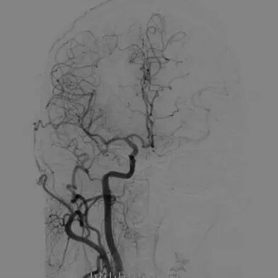
-- 右侧颈内起始部中度狭窄,经前交通向左侧代偿

波科支架怎么样​径技·第165期|7F经桡入路下的颈动脉狭窄支架成形术一例_https://www.jmylbn.com_新闻资讯_第11张

波科支架怎么样​径技·第165期|7F经桡入路下的颈动脉狭窄支架成形术一例_https://www.jmylbn.com_新闻资讯_第12张

波科支架怎么样​径技·第165期|7F经桡入路下的颈动脉狭窄支架成形术一例_https://www.jmylbn.com_新闻资讯_第13张

-- 左侧颈内起始部重度狭窄

波科支架怎么样​径技·第165期|7F经桡入路下的颈动脉狭窄支架成形术一例_https://www.jmylbn.com_新闻资讯_第14张

波科支架怎么样​径技·第165期|7F经桡入路下的颈动脉狭窄支架成形术一例_https://www.jmylbn.com_新闻资讯_第15张

波科支架怎么样​径技·第165期|7F经桡入路下的颈动脉狭窄支架成形术一例_https://www.jmylbn.com_新闻资讯_第16张

波科支架怎么样​径技·第165期|7F经桡入路下的颈动脉狭窄支架成形术一例_https://www.jmylbn.com_新闻资讯_第17张

-- 右侧椎动脉起始部中度狭窄

-- 左侧椎基底动脉无明显异常

波科支架怎么样​径技·第165期|7F经桡入路下的颈动脉狭窄支架成形术一例_https://www.jmylbn.com_新闻资讯_第18张

波科支架怎么样​径技·第165期|7F经桡入路下的颈动脉狭窄支架成形术一例_https://www.jmylbn.com_新闻资讯_第19张

波科支架怎么样​径技·第165期|7F经桡入路下的颈动脉狭窄支架成形术一例_https://www.jmylbn.com_新闻资讯_第20张

-- 冠脉多发狭窄


术前诊断

--左侧颈内动脉起始部症状性重度狭窄

--右侧颈内动脉起始部中度狭窄

--右侧椎动脉起始部中度狭窄

--冠脉多发狭窄

--高血压病3级(很高危)


术前讨论及手术策略

手术指征:左侧颈内动脉起始部症状性重度狭窄,超声造影提示不稳定斑块,手术指征明确 

手术策略:CAS还是CEA?CTA示左侧颈内起始部极低密度斑块,超声提示不规则低回声,考虑大脂质核心斑块,CAS远端栓塞风险高,建议CEA首选;但患者合并冠脉狭窄,已一期心脑联合造影后行冠脉支架成形术,术后一周,目前替格瑞洛联合拜阿司匹林肠溶片药物治疗,CEA需要全麻外科切开,术中出血多,止血困难,患者及家属倾向CAS,综合考虑拟经右侧桡动脉行左侧颈内动脉保护伞下球囊扩张并支架成形术。


器械准备

--7F 泰尔茂薄壁鞘

--波科7F 0.081导引导管,5F 125cm SimmonsII导管,0.035超滑导丝

--波科FilterWire EZ 保护伞

--波科Sterling 4mm*30mm球囊

--波科Wallstent 9mm*40mm支架

--Y阀,三通,压力泵


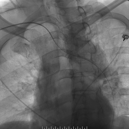
手术过程

波科支架怎么样​径技·第165期|7F经桡入路下的颈动脉狭窄支架成形术一例_https://www.jmylbn.com_新闻资讯_第21张

波科支架怎么样​径技·第165期|7F经桡入路下的颈动脉狭窄支架成形术一例_https://www.jmylbn.com_新闻资讯_第22张

波科支架怎么样​径技·第165期|7F经桡入路下的颈动脉狭窄支架成形术一例_https://www.jmylbn.com_新闻资讯_第23张

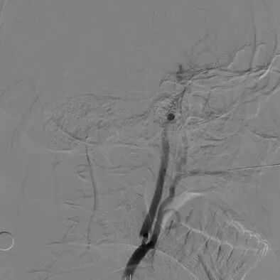
-- 右侧桡动脉穿刺置入7F 泰尔茂薄壁鞘,波科7F0.081导引导管同轴5F 125cm SimmonsII导管在0.035导丝引导下引至左侧颈总动脉。

波科支架怎么样​径技·第165期|7F经桡入路下的颈动脉狭窄支架成形术一例_https://www.jmylbn.com_新闻资讯_第24张

波科支架怎么样​径技·第165期|7F经桡入路下的颈动脉狭窄支架成形术一例_https://www.jmylbn.com_新闻资讯_第25张

波科支架怎么样​径技·第165期|7F经桡入路下的颈动脉狭窄支架成形术一例_https://www.jmylbn.com_新闻资讯_第26张

-- 路途引导下,FilterWire EZ保护伞顺利通过狭窄段至左侧颈内动脉岩骨水平段,顺利释放保护伞

波科支架怎么样​径技·第165期|7F经桡入路下的颈动脉狭窄支架成形术一例_https://www.jmylbn.com_新闻资讯_第27张

波科支架怎么样​径技·第165期|7F经桡入路下的颈动脉狭窄支架成形术一例_https://www.jmylbn.com_新闻资讯_第28张

波科支架怎么样​径技·第165期|7F经桡入路下的颈动脉狭窄支架成形术一例_https://www.jmylbn.com_新闻资讯_第29张

--沿保护伞导丝引入波科4mm*30mm-Sterling球囊跨狭窄段扩张后,交换9mm*40mm-Wallstent支架经波科7F导引导管顺利到达狭窄段,跨狭窄段缓慢平稳释放。

波科支架怎么样​径技·第165期|7F经桡入路下的颈动脉狭窄支架成形术一例_https://www.jmylbn.com_新闻资讯_第30张

波科支架怎么样​径技·第165期|7F经桡入路下的颈动脉狭窄支架成形术一例_https://www.jmylbn.com_新闻资讯_第31张

波科支架怎么样​径技·第165期|7F经桡入路下的颈动脉狭窄支架成形术一例_https://www.jmylbn.com_新闻资讯_第32张

-- 支架释放后残余狭窄稍高,再次交换引入波科4mm*30mm-Sterling球囊行支架内后扩张,使用5F 125cm多功能回收保护伞,复查造影示狭窄明显改善,前向血流通畅。

波科支架怎么样​径技·第165期|7F经桡入路下的颈动脉狭窄支架成形术一例_https://www.jmylbn.com_新闻资讯_第33张

波科支架怎么样​径技·第165期|7F经桡入路下的颈动脉狭窄支架成形术一例_https://www.jmylbn.com_新闻资讯_第34张

波科支架怎么样​径技·第165期|7F经桡入路下的颈动脉狭窄支架成形术一例_https://www.jmylbn.com_新闻资讯_第35张

-- 术后即刻正侧位造影示左侧颈内起始部狭窄明显改善,支架内血流通畅,远端分支显影正常。

总结



波科7mm系列Wallstent支架能够通过6F导引导管,是我们经桡行颈动脉支架的常用选择,以往经桡释放9mm系列Wallstent支架往往需要6F长鞘,这是首例经7F导引导管释放9mmWallstent支架的报道。 

•7F亲水薄壁鞘与6F长鞘直径相当,全长亲水涂层(而目前常用的长鞘仅有20cm的亲水涂层),对桡动脉损伤更小,术后的闭塞率更低,而且7F薄壁鞘+波科7F导引导管使用省去长鞘交换过程,操作上更方便。

•Wallstent支架闭合编织设计,网孔最小,对于类似于该病例大脂质核心斑块覆盖更好,减少斑块疝出;整体柔顺性极佳,经桡到位率更高。

•FilterWire EZ保护伞,110μm微孔聚胺脂膜设计既允许血流持续通过,又可有效捕捉栓子;悬浮式镍钛合金过滤环可在平直或迂曲组织中提供良好贴壁。 

•经桡动脉入路颈动脉支架,创伤更小,减少术后卧床时间,波科提供的6F导引导管+7mm-Wallstent支架,及7F导引导管+9mm-Wallstent支架解决方案,拓宽了经桡颈动脉支架的适应症,有利经桡颈动脉支架技术的推广和应用。


术者简介

波科支架怎么样​径技·第165期|7F经桡入路下的颈动脉狭窄支架成形术一例_https://www.jmylbn.com_新闻资讯_第36张
波科支架怎么样​径技·第165期|7F经桡入路下的颈动脉狭窄支架成形术一例_https://www.jmylbn.com_新闻资讯_第37张


波科支架怎么样​径技·第165期|7F经桡入路下的颈动脉狭窄支架成形术一例_https://www.jmylbn.com_新闻资讯_第38张

袁永杰


郑州大学第一附属医院


郑州大学第一附属医院神经介入科副主任医师,神经外科学博士。

河南省卒中学会神经介入分会委员,河南省医学会介入治疗学会神经学组委员,河南省医师协会神经介入委员会取栓学组委员,中国研究型医院学会介入神经病学专委会经桡动脉入路神经介入协作组副组长。

2016年毕业于吉林大学白求恩医学部,同年加入郑大一附院管生教授团队,主要方向为脑血管疾病的外科及介入治疗,擅长经桡动脉入路脑动脉瘤,蛛网膜下腔出血,脑血管狭窄,脑血管畸形,静脉窦血栓,特发性颅高压等脑血管疾病的诊治及介入治疗。



波科支架怎么样​径技·第165期|7F经桡入路下的颈动脉狭窄支架成形术一例_https://www.jmylbn.com_新闻资讯_第39张

付晓杰


郑州大学第一附属医院


医学博士,主治医师。

擅长脑梗死、脑血管狭窄或闭塞、脑静脉窦血栓、脑动脉瘤、脑动静脉畸形等脑血管疾病的介入微创治疗。

主持河南省医学科技攻关计划联合共建项目、参与多项省级科研项目,获得河南省“医学科学技术进步一等奖”、“科学技术进步二等奖”、“医院先进个人”等荣誉称号。



手术指导

波科支架怎么样​径技·第165期|7F经桡入路下的颈动脉狭窄支架成形术一例_https://www.jmylbn.com_新闻资讯_第40张
波科支架怎么样​径技·第165期|7F经桡入路下的颈动脉狭窄支架成形术一例_https://www.jmylbn.com_新闻资讯_第41张



波科支架怎么样​径技·第165期|7F经桡入路下的颈动脉狭窄支架成形术一例_https://www.jmylbn.com_新闻资讯_第42张

管生


郑州大学第一附属医院


医学博士,主任医师,教授,硕士生导师。

郑州大学第一附属医院神经介入科主任。

现任国家卫健委神经疾病质控神经介入专家委员会委员,中国医师协会神经介入分会、介入分会委员,中国卒中学会神经介入分会常委,中华医学会放射学分会介入学组神经介入专业委员会主任委员,河南省卒中学会副主任委员、河南省卒中学会神经介入分会主任委员,河南省介入治疗专业委员会主任委员、河南省放射学会常务委员等学术兼职。

发表论文174篇,其中SCI收录29篇。获省级科技进步奖2项。担任中华放射学杂志、介入放射学杂志编委,中华介入放射学杂志电子版、中华脑血管病杂志电子版、JVIR、CVIR、ER等国际知名专业杂志 Reviewer。


波科支架怎么样​径技·第165期|7F经桡入路下的颈动脉狭窄支架成形术一例_https://www.jmylbn.com_新闻资讯_第43张

推荐阅读

Recommended reading

波科支架怎么样​径技·第165期|7F经桡入路下的颈动脉狭窄支架成形术一例_https://www.jmylbn.com_新闻资讯_第44张





往期合集

长按下方二维码进入

波科支架怎么样​径技·第165期|7F经桡入路下的颈动脉狭窄支架成形术一例_https://www.jmylbn.com_新闻资讯_第45张




波科支架怎么样​径技·第165期|7F经桡入路下的颈动脉狭窄支架成形术一例_https://www.jmylbn.com_新闻资讯_第46张
波科支架怎么样​径技·第165期|7F经桡入路下的颈动脉狭窄支架成形术一例_https://www.jmylbn.com_新闻资讯_第47张

神经介入在线作为中国卒中学会神经介入分会的官方公众号,现已成立六年。作为最早创建的神经介入专业的学术交流平台,由缪中荣教授团队倾力打造,秉承合作、创新、交流的宗旨,为医务工作者提供国内外神经介入领域最新资讯、指南,聚焦难点深度评论,引领学术前沿。2022年致力搭建神经介入领域国内外最新医学资讯、研究进展、病例讨论、趣味科普等各项学术交流互动共享平台,整合医疗资源,发挥联盟优势,风雨共济,守候健康,我们在这里等你!




波科支架怎么样​径技·第165期|7F经桡入路下的颈动脉狭窄支架成形术一例_https://www.jmylbn.com_新闻资讯_第48张


波科支架怎么样​径技·第165期|7F经桡入路下的颈动脉狭窄支架成形术一例_https://www.jmylbn.com_新闻资讯_第49张
神经介入在线投稿:sjjrzx@hh-medic.com
波科支架怎么样​径技·第165期|7F经桡入路下的颈动脉狭窄支架成形术一例_https://www.jmylbn.com_新闻资讯_第50张