波科支架怎么样五分钟解决胰腺假性囊肿,波科AXIOS支架和电灼增强输送系统 | 盖伦奖提名医械详解Ⅹ

新闻资讯2026-04-21 16:47:24

点击蓝字关注↑,回复【早报每天领取医疗行业前沿报告

波科支架怎么样五分钟解决胰腺假性囊肿,波科AXIOS支架和电灼增强输送系统 | 盖伦奖提名医械详解Ⅹ_https://www.jmylbn.com_新闻资讯_第1张

波科支架怎么样五分钟解决胰腺假性囊肿,波科AXIOS支架和电灼增强输送系统 | 盖伦奖提名医械详解Ⅹ_https://www.jmylbn.com_新闻资讯_第2张

作者:刘稷轩  编辑:王卓逸  排版:墨非


盖伦奖(Prix Galien Award)被公认为制药和生物医疗行业的最高荣誉,旨在褒奖医疗、科学在研究与创新领域所取得的卓越贡献,被誉为“医药界的诺贝尔奖”。为了帮助大家更加深入的了解这些优秀的医疗器械产品,思宇特别推出“盖伦奖提名医械详解专题”,从临床、技术、市场等多个角度深入拆解获得盖伦奖提名的创新医械。


 波科支架怎么样五分钟解决胰腺假性囊肿,波科AXIOS支架和电灼增强输送系统 | 盖伦奖提名医械详解Ⅹ_https://www.jmylbn.com_新闻资讯_第3张


本篇介绍的是波士顿科学的AXIOS支架和电灼增强输送系统。AXIOS是目前唯一的应用于经胃或十二指肠内镜引流症状性胰腺假性囊肿的支架。该系统为胰腺炎导致的胰腺假性囊肿患者提供内镜治疗的方法,根据内镜超声检查(EUS)成像引导,能够从胃肠道进入,利用电刀切开胰腺囊肿,并通过支架引流胰腺积液。AXIOS系统已在美国获批用于胰腺假性囊肿和某些囊性胰腺坏死的内镜管理。

 

波科支架怎么样五分钟解决胰腺假性囊肿,波科AXIOS支架和电灼增强输送系统 | 盖伦奖提名医械详解Ⅹ_https://www.jmylbn.com_新闻资讯_第4张


一、胰腺炎与胰腺假性囊肿


胰腺炎,在日常生活中是一种常见的疾病。急慢性胰腺炎和胰腺损伤多会导致胰腺假性囊肿(pancreatic pseudocyst,PPC),发生率为15% ~25% 。PPC约占胰腺囊性疾病的80%,是由血液、胰液外渗以及胰腺自身消化导致局部组织坏死崩解物等的聚积,不能吸收而形成,囊壁由炎性纤维结缔组织构成,囊内无胰腺上皮层衬垫,因此称为胰腺假性囊肿。

 

当PCC直径≥6cm或短期内迅速增大,出现临床症状,如腹痛,或合并出血、感染、压迫其他脏器引起黄疸、胃肠道梗阻等时,必须及时治疗。受到感染的假性囊肿几乎一直让人疼痛不已,并可导致危及生命的血液感染。PPC的治疗方法有经皮穿刺引流术、外科手术治疗、内镜下引流术等。外科手术引流曾经是PPC和胰腺脓肿唯一的治疗手段,但因其创伤大、并发症多、死亡率高,逐渐被一些微创的非手术治疗方法取代。

 

随着内镜技术日趋成熟,超声内镜引导下经胃穿刺置管引流术以及经十二指肠乳头胰管内置管引流已成为治疗PPC的主要方法之一。与传统内镜囊肿引流术相比,超声内镜可以准确判定囊壁与胃壁的距离、其间是否存在较大血管,确定最佳穿刺点,清楚显示穿刺及置管的全过程,避免意外发生。


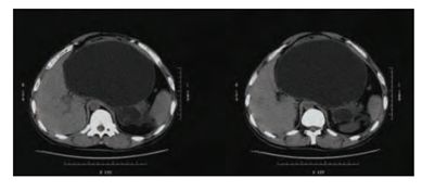
波科支架怎么样五分钟解决胰腺假性囊肿,波科AXIOS支架和电灼增强输送系统 | 盖伦奖提名医械详解Ⅹ_https://www.jmylbn.com_新闻资讯_第5张

腹部CT提示胰腺巨大假性囊肿压迫胃部


其治疗方法先经内镜逆行胰胆管造影(endoscopic retrograde cholangio-pancreatography,ERCP)及磁共振胰胆管造影(magnetic resonance cholangio-pancreatography,MRCP)明确胆胰管是否梗阻、狭窄或扩张,PPC 与胰管是否交通,以决定经胃或经十二指肠乳头引流。若囊肿与主胰管不相通,且PPC压迫胃形成明显隆起,可考虑行经胃引流术。如PPC与主胰管交通,可经十二指肠乳头引流。


1. 经胃穿刺置管引流术


线阵扫描型超声内镜进入胃腔后,经超声内镜明确囊肿的大小、位置及囊肿与胃壁的距离及有无较大血管后,选择合适的穿刺点。采用针刀电凝、电切胃壁,液体流出后放入导丝,用弓形刀扩大胃壁切口直径至1.0 cm,沿导丝放入至少2枚长5cm的10F双猪尾塑料支架。


波科支架怎么样五分钟解决胰腺假性囊肿,波科AXIOS支架和电灼增强输送系统 | 盖伦奖提名医械详解Ⅹ_https://www.jmylbn.com_新闻资讯_第6张

通过胃壁穿破假性囊肿,放入2枚双猪尾塑料支架


2. 经十二指肠乳头引流

 

超声内镜下经十二指肠乳头引流治疗PPC:超声内镜进入十二指肠降段后,行胰管选择性插管造影,明确胰管狭窄部位、程度及长度,若囊腔与主胰管相通,且胰管、胆管无狭窄及扩张,可直接将导丝经主胰管插至囊腔内,沿导丝置入10F双猪尾塑料支架(Cook 公司)。若囊肿继发出血、感染或囊液黏稠含有较多坏死物质,可同时置入鼻胰管,通过反复冲洗、吸引,减少支架堵塞。


二、AXIOS——5分钟完成穿刺引流


此前,超声内镜引导下置入支架进行引流是治疗胰腺假性囊肿常用的支架为双猪尾塑料支架,有支架易阻塞、引流不畅、操作步骤复杂等缺点。波士顿科学的AXIOS支架和电灼增强输送系统在支架、穿刺导管等多方面进行了创新、改进,使得整个手术过程从穿刺至支架释放操作仅用5分钟即可完成,从而减少胰腺假性囊肿内镜下治疗的步骤、缩短治疗时间、减少内镜及麻醉相关风险。


波科支架怎么样五分钟解决胰腺假性囊肿,波科AXIOS支架和电灼增强输送系统 | 盖伦奖提名医械详解Ⅹ_https://www.jmylbn.com_新闻资讯_第7张

AXIOS支架和电灼增强系统


AXIOS支架和电灼增强递送系统内窥镜和超声内镜检查组合引导下使用,使医生能够通过经胃或十二指肠方法在胰腺假性囊肿部位放置支架。 其电灼增强的输送系统旨在促进平稳、高效地进入目标结构。


1. 支架


AXIOS支架为镍钛合金编织支架,外覆硅胶膜。支架两侧均为蘑菇头样,分别固定于胰腺假性囊肿壁及胃壁内,防止支架滑脱移位。支架可通过超声内镜工作通道压缩至10.8 Fr支架推送装置内。


波科支架怎么样五分钟解决胰腺假性囊肿,波科AXIOS支架和电灼增强输送系统 | 盖伦奖提名医械详解Ⅹ_https://www.jmylbn.com_新闻资讯_第8张

波科支架怎么样五分钟解决胰腺假性囊肿,波科AXIOS支架和电灼增强输送系统 | 盖伦奖提名医械详解Ⅹ_https://www.jmylbn.com_新闻资讯_第9张


波士顿科学提供两种不同型号的AXIOS支架,以应对不同的临床需求。相关参数如下表。


波科支架怎么样五分钟解决胰腺假性囊肿,波科AXIOS支架和电灼增强输送系统 | 盖伦奖提名医械详解Ⅹ_https://www.jmylbn.com_新闻资讯_第10张

波科支架怎么样五分钟解决胰腺假性囊肿,波科AXIOS支架和电灼增强输送系统 | 盖伦奖提名医械详解Ⅹ_https://www.jmylbn.com_新闻资讯_第11张


2. 电切装置


支架推送器前端为电切装置,通电后可电切进入囊肿腔内。AXIOS可以轻松进入目标结构,省去之前的用弓形刀扩张胃壁的步骤。


波科支架怎么样五分钟解决胰腺假性囊肿,波科AXIOS支架和电灼增强输送系统 | 盖伦奖提名医械详解Ⅹ_https://www.jmylbn.com_新闻资讯_第12张

前端电切装置

波科支架怎么样五分钟解决胰腺假性囊肿,波科AXIOS支架和电灼增强输送系统 | 盖伦奖提名医械详解Ⅹ_https://www.jmylbn.com_新闻资讯_第13张

超声内镜下可见支架推送装置


3. AXIOS的优势


AXIOS的电推送系统可减少手术时间,减少患者暴露于X射线的次数,提高手术效率。AXIOS系统的电推送导管到达囊肿部位,通过释放AXIOS支架在囊肿和胃肠道间形成临时性通道,以实现胰腺积液的引流。支架的两个膨出端可降低渗漏和移位的风险。AXIOS自膨式全覆膜的支架还能兼容MRI(核磁共振成像),是美国市场上唯一适用于胰腺积液引流的可移除性金属支架。


AXIOS支架展开后其直径能超过0.5英寸。相比目前市场上直径较小的塑料支架,AXIOS支架因其直径较大而不易被假性囊肿中的固体物阻塞。较大直径的AXIOS支架也可以允许医师将内窥镜工具进入假性囊肿内清除内容物或移除支架。假性囊肿内容物排泄之后尺寸变小,医师可借助标准内窥镜工具移除AXIOS支架


波科支架怎么样五分钟解决胰腺假性囊肿,波科AXIOS支架和电灼增强输送系统 | 盖伦奖提名医械详解Ⅹ_https://www.jmylbn.com_新闻资讯_第14张

支架释放效果

波科支架怎么样五分钟解决胰腺假性囊肿,波科AXIOS支架和电灼增强输送系统 | 盖伦奖提名医械详解Ⅹ_https://www.jmylbn.com_新闻资讯_第15张

支架推送装置手柄

 

三、波科重金收购换来AXIOS


其实,AXIOS并非波士顿科学自己研发的产品,而是在2015年花费6250万美元收购Xlumena公司得到的(FDA批准Xlumena的HOT AXIOS产品后,额外支付1250万美元)。Xlumena公司是一家风险投资支持的医疗器械公司,致力于研发、生产和销售微创医疗器械,主要应用于超声内镜引导下的消化道腔内引流。Xlumena公司的产品包括AXIOS和HOT AXIOS支架系统,当时两款产品均已获得CE认证并在一些欧盟国家开始销售,但是并为通过FDA的批准。而HOT AXIOS即是搭载了电灼增强系统的AXIOS支架,也就是本次获奖产品的前身。


收购Xlumena公司及其微创产品,结合波士顿科学既有的丰富产品线,大大推动波士顿科学在EUS介入治疗领域的发展,双方的技术结合可以为医生提供诊断和治疗胆胰系统疾病的微创介入解决方案。波科强大的销售网络也能促进AXIOS支架系统在全球范围的覆盖,并在这一快速成长的领域处于领先地位。


AXIOS的技术平台扩充了波士顿科学公司通过微创方法治疗可能由急慢性胰腺炎、胰管梗阻或损伤引起的胰腺假性囊肿的产品线。这次收购实现了Expect EUS活检针与治疗性EUS前沿技术的联姻,加快了波士顿科学公司成为EUS领域领导者的步伐。对于波科和Xlumena公司来说,此次收购皆大欢喜。


四、AXIOS的启示


从波科收购Xlumena公司获得AXIOS的历史中我们不难看出,大型医疗器械公司收购小型公司,结合自己的技术平台优势,完善自己产品线,小公司也得以顺利销售其创新产品,这在美国是十分常见的行业生态,而且愈发成为趋势。由于美国医疗器械企业的集中度已经较高,头部公司几乎覆盖了所有的产品线,并构建了覆盖全球的销售网络,小公司想要正面与之抗衡几乎是不可能的,因此,在风险资本的支持下做一些小而美的产品,通过并购实现退出,也是双赢的战略。当然,创业公司也需要仔细研究大公司的产品布局,合理设计自己的研发方向,从而让自己有更大被并购的可能。


附:2018盖伦奖提名创新医械产品

波科支架怎么样五分钟解决胰腺假性囊肿,波科AXIOS支架和电灼增强输送系统 | 盖伦奖提名医械详解Ⅹ_https://www.jmylbn.com_新闻资讯_第16张

●●●

Suribot医疗机器人社群

学习知识、自我提升、拓展资源

直接添加管理员微信:koi_518

请注明:单位名称-职业-技术方向

详情链接:医疗机器人社群招募



波科支架怎么样五分钟解决胰腺假性囊肿,波科AXIOS支架和电灼增强输送系统 | 盖伦奖提名医械详解Ⅹ_https://www.jmylbn.com_新闻资讯_第17张

 



往期精彩回顾

投融资

上周大健康投融资速读

行业政策

【最全】医疗器械行业政策类文章98篇

热门行研

康复外骨骼  |  微流控  |  医药冷链  |  临床质谱  |  基因测序  |  康复机器人  |  医生集团  |  听力辅具  |  心电监护仪  |  信息化医疗  |  数字PCR  |  家用医械  |  智慧医疗  |  激光美容  |  人工智能  |  液体活检  |  医疗器械融资租赁  |  医院管理集团  |  宠物医疗  |  眼病诊疗  |  骨内植入物螺钉   |   儿童医疗器械  |  记忆合金   |   康复医疗机构  |  心脏瓣膜(上)  |  心脏瓣膜(下)  |  儿童口腔门诊(上)  |  儿童口腔门诊(下)  |  血糖监测  |  肺癌(上)  |  肺癌(下)  |  再生医学  |  血液透析(上)  |  血液透析(下)

医械前沿

思宇印象

♢思宇沙龙    康复机器人  |  医械技术转化  |  专利挖掘与布局   |   股权实战

♢思宇访谈    泰格捷通  |  致众科技  |  迈迪思创  |  北航生医  |  波士顿大学  |  天智航张送根  |  医用机器人创新中心  |  郑诚功教授  |  汇通医疗  |  术锐机器人

♢会议实录    北航医工交叉  |  医工整合高峰论坛  |  骨科精准医疗  |  超快激光  |  机器人大会   |   诺奖大会