气腹管怎么接肠梗阻、肠套叠、气腹、肝挫伤、脾挫伤、肾挫伤、胰腺损伤、食管癌、胃肠肿瘤

新闻资讯2026-04-21 16:15:39
气腹管怎么接肠梗阻、肠套叠、气腹、肝挫伤、脾挫伤、肾挫伤、胰腺损伤、食管癌、胃肠肿瘤_https://www.jmylbn.com_新闻资讯_第1张
气腹管怎么接肠梗阻、肠套叠、气腹、肝挫伤、脾挫伤、肾挫伤、胰腺损伤、食管癌、胃肠肿瘤_https://www.jmylbn.com_新闻资讯_第2张

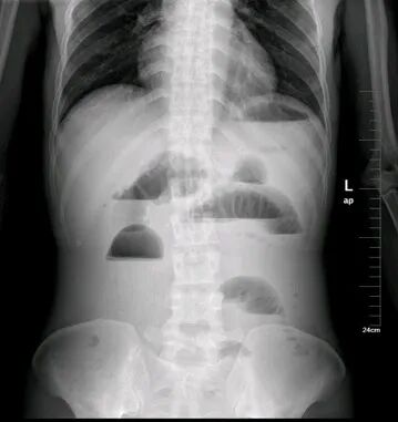
       任何原因引起的肠内容物通过障碍统称肠梗阻。它是常见的外科急腹症之一。有时急性肠梗阻诊断困难,病情发展快,常致患者死亡。目前的死亡率一般为5%~10%,有绞窄性肠梗阻者为10%~20%。水、电解质与酸碱平衡失调,以及患者年龄大合并心肺功能不全等常为死亡原因。

气腹管怎么接肠梗阻、肠套叠、气腹、肝挫伤、脾挫伤、肾挫伤、胰腺损伤、食管癌、胃肠肿瘤_https://www.jmylbn.com_新闻资讯_第3张
气腹管怎么接肠梗阻、肠套叠、气腹、肝挫伤、脾挫伤、肾挫伤、胰腺损伤、食管癌、胃肠肿瘤_https://www.jmylbn.com_新闻资讯_第4张

弹簧征、液气平面、拱形肠管扩张

气腹管怎么接肠梗阻、肠套叠、气腹、肝挫伤、脾挫伤、肾挫伤、胰腺损伤、食管癌、胃肠肿瘤_https://www.jmylbn.com_新闻资讯_第5张

气腹管怎么接肠梗阻、肠套叠、气腹、肝挫伤、脾挫伤、肾挫伤、胰腺损伤、食管癌、胃肠肿瘤_https://www.jmylbn.com_新闻资讯_第6张

气腹管怎么接肠梗阻、肠套叠、气腹、肝挫伤、脾挫伤、肾挫伤、胰腺损伤、食管癌、胃肠肿瘤_https://www.jmylbn.com_新闻资讯_第7张
气腹管怎么接肠梗阻、肠套叠、气腹、肝挫伤、脾挫伤、肾挫伤、胰腺损伤、食管癌、胃肠肿瘤_https://www.jmylbn.com_新闻资讯_第8张

癌性梗阻


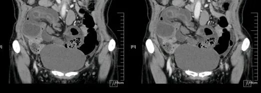
肠套叠

        肠套叠是指一段肠管套入与其相连的肠腔内,并导致肠内容物通过障碍。肠套叠占肠梗阻的15%~20%。有原发性和继发性两类。原发性肠套叠多发生于婴幼儿,继发性肠套叠则多见于成人。绝大数肠套叠是近端肠管向远端肠管内套入,逆性套叠较罕见,不及总例数的10%。

气腹管怎么接肠梗阻、肠套叠、气腹、肝挫伤、脾挫伤、肾挫伤、胰腺损伤、食管癌、胃肠肿瘤_https://www.jmylbn.com_新闻资讯_第9张
气腹管怎么接肠梗阻、肠套叠、气腹、肝挫伤、脾挫伤、肾挫伤、胰腺损伤、食管癌、胃肠肿瘤_https://www.jmylbn.com_新闻资讯_第10张

气腹管怎么接肠梗阻、肠套叠、气腹、肝挫伤、脾挫伤、肾挫伤、胰腺损伤、食管癌、胃肠肿瘤_https://www.jmylbn.com_新闻资讯_第11张
气腹管怎么接肠梗阻、肠套叠、气腹、肝挫伤、脾挫伤、肾挫伤、胰腺损伤、食管癌、胃肠肿瘤_https://www.jmylbn.com_新闻资讯_第12张


肠套叠

气腹管怎么接肠梗阻、肠套叠、气腹、肝挫伤、脾挫伤、肾挫伤、胰腺损伤、食管癌、胃肠肿瘤_https://www.jmylbn.com_新闻资讯_第13张
气腹管怎么接肠梗阻、肠套叠、气腹、肝挫伤、脾挫伤、肾挫伤、胰腺损伤、食管癌、胃肠肿瘤_https://www.jmylbn.com_新闻资讯_第14张

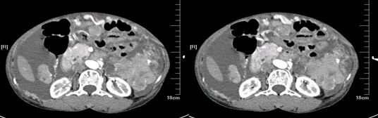
降结肠癌并肠套叠



气腹

       腹腔内存在游离气体的现象。多由胃肠道穿孔等所致,表现为腹部叩诊肝浊音区消失,病人站立作X线检查时,可见膈下有游离气体,如因消化性溃疡或伤寒等并发急性胃或肠穿孔时,须立即手术治疗。因诊断和治疗上需要将气体注入腹腔内所致的气腹,称人工气腹。

气腹管怎么接肠梗阻、肠套叠、气腹、肝挫伤、脾挫伤、肾挫伤、胰腺损伤、食管癌、胃肠肿瘤_https://www.jmylbn.com_新闻资讯_第15张
气腹管怎么接肠梗阻、肠套叠、气腹、肝挫伤、脾挫伤、肾挫伤、胰腺损伤、食管癌、胃肠肿瘤_https://www.jmylbn.com_新闻资讯_第16张
气腹管怎么接肠梗阻、肠套叠、气腹、肝挫伤、脾挫伤、肾挫伤、胰腺损伤、食管癌、胃肠肿瘤_https://www.jmylbn.com_新闻资讯_第17张



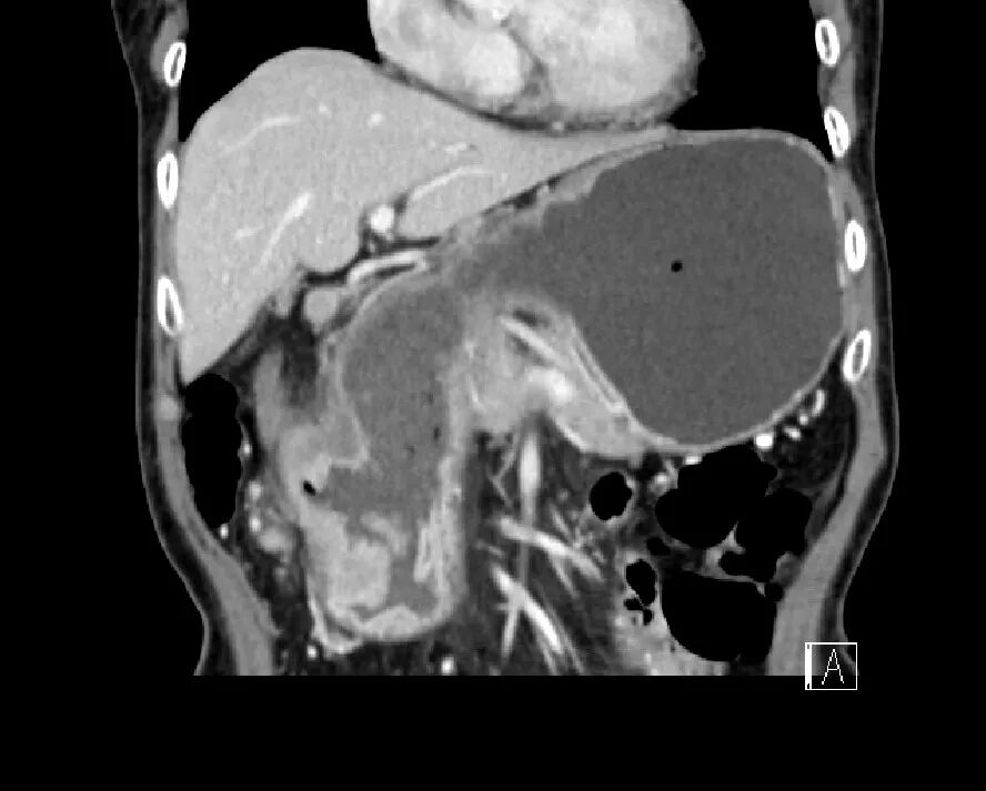
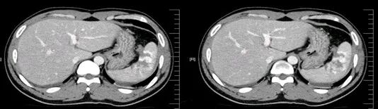
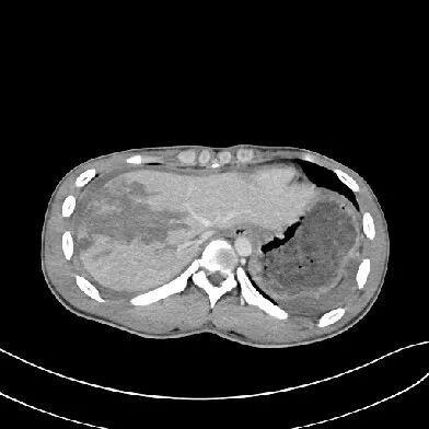
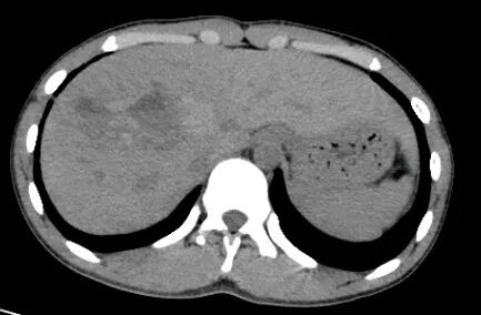
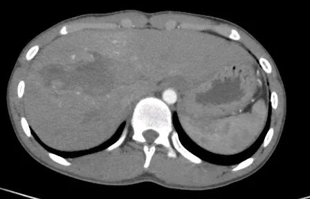
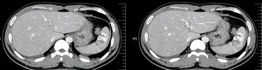
肝挫裂伤

[病因病理]

      肝挫裂伤主要是指腹部受到外在力量的撞击而产生的闭合性损伤,是常见的腹部严重创伤,多由高处坠落、交通意外等引起。

[临床表现]

     患者可有患部疼痛,但严重者多以失血性休克、腹部膨隆为首发症状。

气腹管怎么接肠梗阻、肠套叠、气腹、肝挫伤、脾挫伤、肾挫伤、胰腺损伤、食管癌、胃肠肿瘤_https://www.jmylbn.com_新闻资讯_第18张
气腹管怎么接肠梗阻、肠套叠、气腹、肝挫伤、脾挫伤、肾挫伤、胰腺损伤、食管癌、胃肠肿瘤_https://www.jmylbn.com_新闻资讯_第19张
气腹管怎么接肠梗阻、肠套叠、气腹、肝挫伤、脾挫伤、肾挫伤、胰腺损伤、食管癌、胃肠肿瘤_https://www.jmylbn.com_新闻资讯_第20张

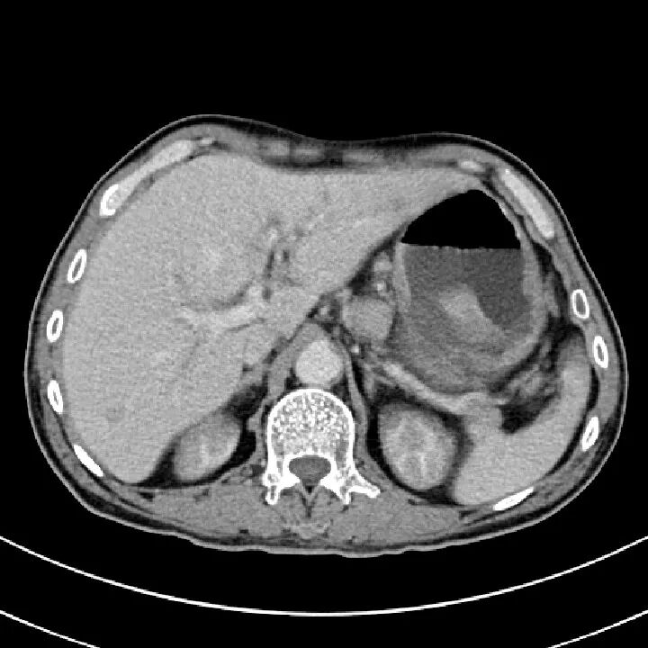
CT表现:

        对于肝损伤CT能确定其存在及范围,且有非常高的特异性。肝包膜下血肿会形成新月形或半月形的低密度或等密度区,相应的肝实质会受压变平而显示肝表面的边界失去正常的弧形而变平,尤其血肿新鲜时其CT值与肝实质类似,此时注意肝表面周缘的改变亦就显得重要。

      一般来讲,血肿的CT值随时间的推移而减低。在肝实质的血肿则常常显示圆形、卵圆形或星状低密度影。肝撕裂会见到单一或多发的线样低密度,边缘模糊。

气腹管怎么接肠梗阻、肠套叠、气腹、肝挫伤、脾挫伤、肾挫伤、胰腺损伤、食管癌、胃肠肿瘤_https://www.jmylbn.com_新闻资讯_第21张
气腹管怎么接肠梗阻、肠套叠、气腹、肝挫伤、脾挫伤、肾挫伤、胰腺损伤、食管癌、胃肠肿瘤_https://www.jmylbn.com_新闻资讯_第22张
气腹管怎么接肠梗阻、肠套叠、气腹、肝挫伤、脾挫伤、肾挫伤、胰腺损伤、食管癌、胃肠肿瘤_https://www.jmylbn.com_新闻资讯_第23张

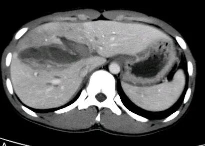
[鉴别诊断]

      肝包膜下血肿形成的新月形或半月形的低密度或等密度区,需与腹水围绕肝周围鉴别。通过外伤病史及密度测量不难鉴别。


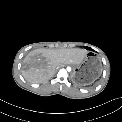
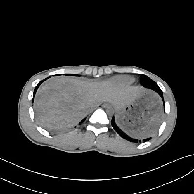
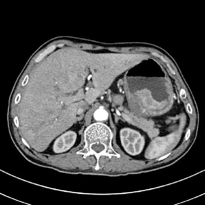
脾挫裂伤

病因病理

      脾挫裂伤主要是指腹部受到外在力量的撞击而产生的闭合性损伤,是常见的腹部严重创伤,多由高处坠落、交通意外等引起。

临床表现

     患者可有患部疼痛,但严重者多以失血性休克、腹部膨隆为首发症状。

气腹管怎么接肠梗阻、肠套叠、气腹、肝挫伤、脾挫伤、肾挫伤、胰腺损伤、食管癌、胃肠肿瘤_https://www.jmylbn.com_新闻资讯_第24张
气腹管怎么接肠梗阻、肠套叠、气腹、肝挫伤、脾挫伤、肾挫伤、胰腺损伤、食管癌、胃肠肿瘤_https://www.jmylbn.com_新闻资讯_第25张

气腹管怎么接肠梗阻、肠套叠、气腹、肝挫伤、脾挫伤、肾挫伤、胰腺损伤、食管癌、胃肠肿瘤_https://www.jmylbn.com_新闻资讯_第26张
气腹管怎么接肠梗阻、肠套叠、气腹、肝挫伤、脾挫伤、肾挫伤、胰腺损伤、食管癌、胃肠肿瘤_https://www.jmylbn.com_新闻资讯_第27张


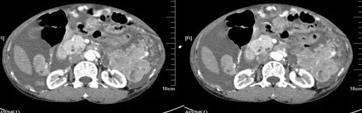
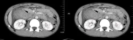
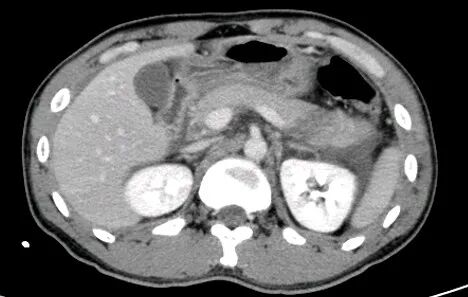
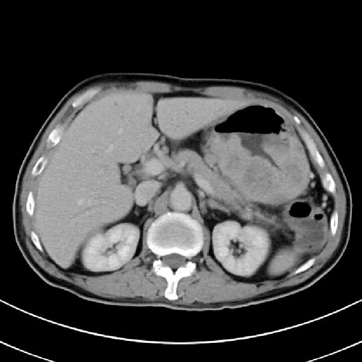
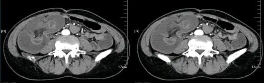
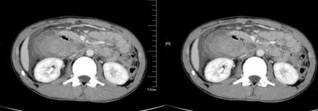
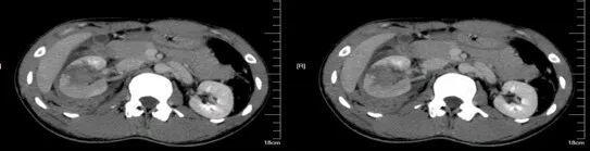
肾挫伤

      肾挫伤是一种比较多见的肾损伤,肾组织损伤较轻,肾包膜和肾盂大多保持完整,肾实质内产生瘀血或血肿,并有少量血液流入肾盂导致血尿。肾挫伤在X线造影片上可不显示形态上的改变。一般均能自行愈合而不造成严重后果。

气腹管怎么接肠梗阻、肠套叠、气腹、肝挫伤、脾挫伤、肾挫伤、胰腺损伤、食管癌、胃肠肿瘤_https://www.jmylbn.com_新闻资讯_第28张
气腹管怎么接肠梗阻、肠套叠、气腹、肝挫伤、脾挫伤、肾挫伤、胰腺损伤、食管癌、胃肠肿瘤_https://www.jmylbn.com_新闻资讯_第29张
气腹管怎么接肠梗阻、肠套叠、气腹、肝挫伤、脾挫伤、肾挫伤、胰腺损伤、食管癌、胃肠肿瘤_https://www.jmylbn.com_新闻资讯_第30张
气腹管怎么接肠梗阻、肠套叠、气腹、肝挫伤、脾挫伤、肾挫伤、胰腺损伤、食管癌、胃肠肿瘤_https://www.jmylbn.com_新闻资讯_第31张


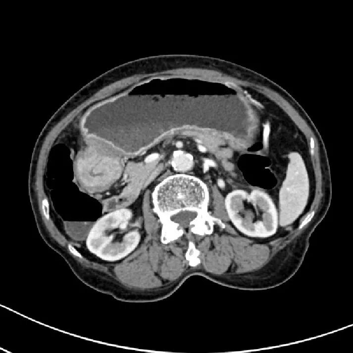
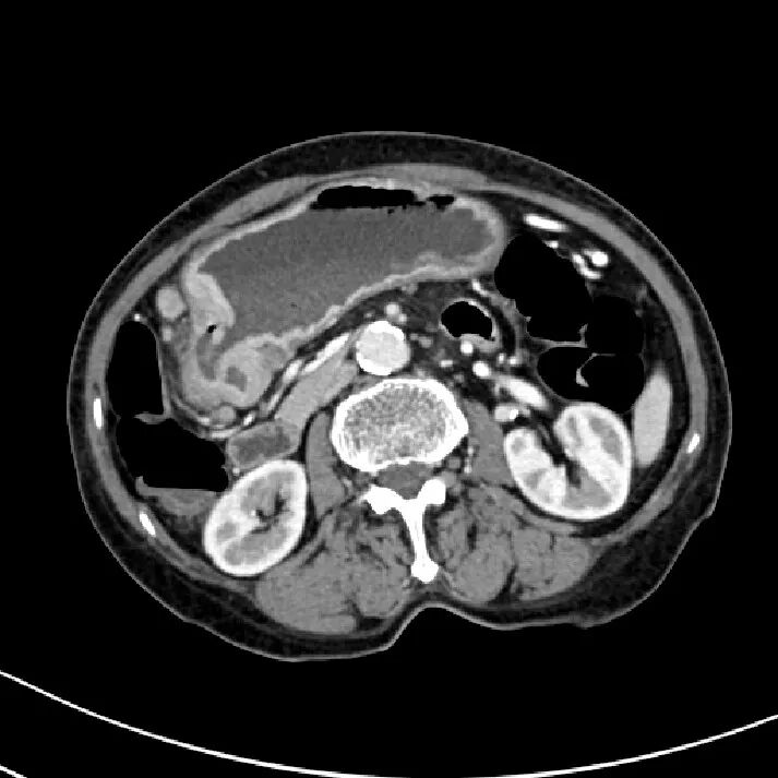
胰腺损伤

       在交通意外中,尤其是汽车驾驶人员当汽车高速行驶中,汽车骤然撞于物体上,其强大的惯性使驾驶者的上腹部撞击于汽车方向盘上,导致胰腺受伤。有时当人体自高处坠落,腰部呈过度层曲,同时双侧肋弓极度内收,瞬间一个暴发力,挤压于胰腺上,造成胰腺不同程度的损伤。

       胰腺损伤的部位,随外力的方向而异,以胰腺头、体部常见。当外力作用于右上腹或脊柱右侧方,则胰头部易被挤压,同时常合并有十二指肠、胆道、肝脏损伤,此类损伤后果严重,死亡率甚高可达70%~80%;当外力直接作用于上腹中部,则损伤多为胰颈、体部的部分或完全断裂,并合并有肠系膜上动脉损伤;外力作用于脊柱左侧方,胰尾常易受伤,此时多伴有脾破裂。

气腹管怎么接肠梗阻、肠套叠、气腹、肝挫伤、脾挫伤、肾挫伤、胰腺损伤、食管癌、胃肠肿瘤_https://www.jmylbn.com_新闻资讯_第32张
气腹管怎么接肠梗阻、肠套叠、气腹、肝挫伤、脾挫伤、肾挫伤、胰腺损伤、食管癌、胃肠肿瘤_https://www.jmylbn.com_新闻资讯_第33张
气腹管怎么接肠梗阻、肠套叠、气腹、肝挫伤、脾挫伤、肾挫伤、胰腺损伤、食管癌、胃肠肿瘤_https://www.jmylbn.com_新闻资讯_第34张




气腹管怎么接肠梗阻、肠套叠、气腹、肝挫伤、脾挫伤、肾挫伤、胰腺损伤、食管癌、胃肠肿瘤_https://www.jmylbn.com_新闻资讯_第35张
气腹管怎么接肠梗阻、肠套叠、气腹、肝挫伤、脾挫伤、肾挫伤、胰腺损伤、食管癌、胃肠肿瘤_https://www.jmylbn.com_新闻资讯_第36张

食管癌(增生型)

食管钡剂造影显示食管上段管腔内椭圆形充盈缺损,粘膜皱襞消失,管腔狭窄

气腹管怎么接肠梗阻、肠套叠、气腹、肝挫伤、脾挫伤、肾挫伤、胰腺损伤、食管癌、胃肠肿瘤_https://www.jmylbn.com_新闻资讯_第37张
气腹管怎么接肠梗阻、肠套叠、气腹、肝挫伤、脾挫伤、肾挫伤、胰腺损伤、食管癌、胃肠肿瘤_https://www.jmylbn.com_新闻资讯_第38张
气腹管怎么接肠梗阻、肠套叠、气腹、肝挫伤、脾挫伤、肾挫伤、胰腺损伤、食管癌、胃肠肿瘤_https://www.jmylbn.com_新闻资讯_第39张

食管癌



胃癌
        进展期胃癌CT检查有利于观察病变的侵犯范围和淋巴结转移情况

       早期胃癌多数病人无明显症状,少数人有恶心、呕吐或是类似溃疡病的上消化道症状。疼痛与体重减轻是进展期胃癌最常见的临床症状。病人常有较为明确的上消化道症状,如上腹不适、进食后饱胀,随着病情进展上腹疼痛加重,食欲下降、乏力。 

       根据肿瘤的部位不同,也有其特殊表现。

       贲门胃底癌可有胸骨后疼痛和进行性吞咽困难;幽门附近的胃癌有幽门梗阻表现;肿瘤破坏血管后可有呕血、黑便等消化道出血症状。

      腹部持续疼痛常提示肿瘤扩展超出胃壁,如锁骨上淋巴结肿大、腹水、黄疸、腹部包块、直肠前凹扪及肿块等。

        晚期胃癌病人常可出现贫血、消瘦、营养不良甚至恶病质等表现。

胃癌的扩散和转移有以下途径:

1.直接浸润

2.血行转移

3.腹膜种植转移:女性病人胃癌可发生卵巢转移性肿瘤。 

4.淋巴转移

气腹管怎么接肠梗阻、肠套叠、气腹、肝挫伤、脾挫伤、肾挫伤、胰腺损伤、食管癌、胃肠肿瘤_https://www.jmylbn.com_新闻资讯_第40张
气腹管怎么接肠梗阻、肠套叠、气腹、肝挫伤、脾挫伤、肾挫伤、胰腺损伤、食管癌、胃肠肿瘤_https://www.jmylbn.com_新闻资讯_第41张
气腹管怎么接肠梗阻、肠套叠、气腹、肝挫伤、脾挫伤、肾挫伤、胰腺损伤、食管癌、胃肠肿瘤_https://www.jmylbn.com_新闻资讯_第42张




幽门癌
       幽门管癌为胃癌的一种,癌肿发生在幽门管部。此段实际上相当于胃镜检查时的胃窦远端或称幽门前区,而X线影像分析则认为由幽门口通向十二指肠球部间形成的较细管道称为幽门管,长约5-6cm。

       幽门管癌的类型分为隆起溃疡型、溃疡型、隆起型三种,其发生率依次降低。

      幽门管癌的癌肿的肿块直径大于2cm的占小多数,小于2cm的比较少见。

      根据细胞类型,幽门管癌腺癌的类型又可分为:低分化腺癌、腺癌、印戒细胞癌、管状腺癌、黏液腺癌。

       总的来说,幽门管癌患者中隆起溃疡型发生率最高,多为低分化腺癌,直径大于2cm病灶多见,较少受到Hp的感染。

气腹管怎么接肠梗阻、肠套叠、气腹、肝挫伤、脾挫伤、肾挫伤、胰腺损伤、食管癌、胃肠肿瘤_https://www.jmylbn.com_新闻资讯_第43张
气腹管怎么接肠梗阻、肠套叠、气腹、肝挫伤、脾挫伤、肾挫伤、胰腺损伤、食管癌、胃肠肿瘤_https://www.jmylbn.com_新闻资讯_第44张
气腹管怎么接肠梗阻、肠套叠、气腹、肝挫伤、脾挫伤、肾挫伤、胰腺损伤、食管癌、胃肠肿瘤_https://www.jmylbn.com_新闻资讯_第45张



大肠癌
        大肠癌是常见的恶性肿瘤,包括结肠癌和直肠癌。大肠癌的发病率从高到低依次为直肠、乙状结肠、盲肠、升结肠、降结肠及横结肠,近年有向近端(右半结肠)发展的趋势。其发病与生活方式、遗传、大肠腺瘤等关系密切。发病年龄趋老年化,男女之比为1.65:1。

气腹管怎么接肠梗阻、肠套叠、气腹、肝挫伤、脾挫伤、肾挫伤、胰腺损伤、食管癌、胃肠肿瘤_https://www.jmylbn.com_新闻资讯_第46张
乙状结肠癌


气腹管怎么接肠梗阻、肠套叠、气腹、肝挫伤、脾挫伤、肾挫伤、胰腺损伤、食管癌、胃肠肿瘤_https://www.jmylbn.com_新闻资讯_第47张
气腹管怎么接肠梗阻、肠套叠、气腹、肝挫伤、脾挫伤、肾挫伤、胰腺损伤、食管癌、胃肠肿瘤_https://www.jmylbn.com_新闻资讯_第48张
升结肠癌并广泛转移


气腹管怎么接肠梗阻、肠套叠、气腹、肝挫伤、脾挫伤、肾挫伤、胰腺损伤、食管癌、胃肠肿瘤_https://www.jmylbn.com_新闻资讯_第49张
气腹管怎么接肠梗阻、肠套叠、气腹、肝挫伤、脾挫伤、肾挫伤、胰腺损伤、食管癌、胃肠肿瘤_https://www.jmylbn.com_新闻资讯_第50张
升结肠癌


气腹管怎么接肠梗阻、肠套叠、气腹、肝挫伤、脾挫伤、肾挫伤、胰腺损伤、食管癌、胃肠肿瘤_https://www.jmylbn.com_新闻资讯_第51张
气腹管怎么接肠梗阻、肠套叠、气腹、肝挫伤、脾挫伤、肾挫伤、胰腺损伤、食管癌、胃肠肿瘤_https://www.jmylbn.com_新闻资讯_第52张

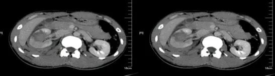
升结肠癌并肝转移

来源于网络
气腹管怎么接肠梗阻、肠套叠、气腹、肝挫伤、脾挫伤、肾挫伤、胰腺损伤、食管癌、胃肠肿瘤_https://www.jmylbn.com_新闻资讯_第53张