胃造影用的是什么机子超声丨如果你实在害怕胃镜,可以试试胃部彩超检查

新闻资讯2026-04-24 07:19:05
胃造影用的是什么机子超声丨如果你实在害怕胃镜,可以试试胃部彩超检查_https://www.jmylbn.com_新闻资讯_第1张


您的生活作息和饮食规律吗?您喜欢吃腌制食品吗?您平常饮食口味过咸吗?您有没有幽门螺旋杆菌?您有没有吸烟喝酒的习惯?您是否长期不爱运动?您有没有胃肠道肿瘤家族史?

假如以上问题您有多条中招,那么您可以给自己的胃做个检查了。传统印象中,胃病是必须用胃镜、钡餐或者CT进行检查的。提起做胃镜,大多数做过的人都感觉“怕怕的”!那有没有一种胃肠检查不用受苦呢?



有!胃肠超声

了解一下吧 ~

胃造影用的是什么机子超声丨如果你实在害怕胃镜,可以试试胃部彩超检查_https://www.jmylbn.com_新闻资讯_第2张

还有一种检查可供选择,胃肠超声彩超!!

大家肯定觉得这种无痛苦无创伤的彩超能检查出胃病?

胃造影用的是什么机子超声丨如果你实在害怕胃镜,可以试试胃部彩超检查_https://www.jmylbn.com_新闻资讯_第3张

近年来国内外专家学者,不断的加强对胃肠超声检查的研究,使其该技术在临床诊疗中得到进化发展,为部分患有胃病又惧怕做胃镜的患者开辟了一条新路。

胃肠超声如何做到无痛苦无创伤





患者在进行空腹胃肠超声检查后,医生会根据实际情况再行胃肠超声造影检查。胃肠超声造影检查又称胃肠充盈检查法,它是利用胃充盈的一种超声检查法,通过口服一种专用胃肠显影剂对胃腔进行充盈,消除胃肠腔内气体、内容物等对超声的干扰,而显影剂本身又不影响超声波的穿透,从而改善了胃肠超声成像的环境,提高胃肠结构的超声显像效果同时还能显示胃肠后方结构和病变。

显影剂主要有无回声型有回声型两种,无回声型就是一些水剂类,有回声型多是粉剂,用水冲调后就像“麦片”样,而粉剂是常用的一类显影剂。






胃肠彩超检查能看到什么?




胃壁自内向外由粘膜层、粘膜下层、肌层、浆膜层组成,超声可观察胃壁各层组织的连续性,胃大小弯最低界限的体表定位,胃壁有无增厚、隆起、凹陷,侵犯层次及胃壁柔软度等情况;胃腔内有无潴留物,管腔是否狭窄、变形及移位。胃蠕动波的蠕动方向、幅度、节律,有无逆蠕动征象,胃肿瘤有无直接浸润周围脏器,寻找胃周围肿大的淋巴结,观察有无腹水,以及有无盆腔脏器等转移病灶。




胃造影用的是什么机子超声丨如果你实在害怕胃镜,可以试试胃部彩超检查_https://www.jmylbn.com_新闻资讯_第4张


胃部超声及造影有什么优势呢?

胃部超声具有全、无痛、无创、实时动态、操作简便、可重复性强价格低廉等特点,其最大优势是声束能穿透胃壁,显示胃壁的层次结构,测量胃壁的厚度,观察黏膜下病变、胃壁病变以及各病灶与周围组织毗邻关系,用于诊断上消化道溃疡性病变、梗阻性病变,以及胃动力观察。这一非创伤性诊断方法,可以给临床提供胃壁肿瘤的个数、位置、大小和形态,估计病变侵犯胃壁的程度,弥补胃镜和X线检查的不足。因此,结合胃部超声造影,大大提高了胃部疾病患者检查结果的准确率,对胃部疾病有很好的诊断价值。

胃造影用的是什么机子超声丨如果你实在害怕胃镜,可以试试胃部彩超检查_https://www.jmylbn.com_新闻资讯_第5张


哪些人适合做胃部超声及造影呢?

胃部超声及造影适用于儿童、孕妇、年迈体弱及患有慢性支气管炎等一系列对胃镜不耐受的患者。另外,对于一些慢性胃病患者,在接受第一个疗程的药物治疗后,临床医生可以通过胃部超声及造影观察胃肠功能的恢复情况,对下一个疗程进行评估。胃肠超声还可以对胃部肿瘤进行分级,观察肿瘤侵犯到胃壁的具体层次及周围淋巴结的转移情况,为临床手术治疗进行评估和提供治疗方案。

胃造影用的是什么机子超声丨如果你实在害怕胃镜,可以试试胃部彩超检查_https://www.jmylbn.com_新闻资讯_第6张


做胃部超声及造影检查前需做什么准备?

超声检查一般安排在每天上午空腹状态下进行。检查前一日晚餐应清淡饮食,不宜食易产气、难消化的食物;检查前一般禁食8小时,禁饮4小时以上。

胃造影用的是什么机子超声丨如果你实在害怕胃镜,可以试试胃部彩超检查_https://www.jmylbn.com_新闻资讯_第7张

对某些急症胃超声,如疑似胃肠穿孔、急性胃扩张等患者,首先宜空腹行腹部常规探查,了解是否有胃肠穿孔或急性胃扩张,如有,则禁忌服造影剂;对幽门梗阻患者,则应了解有无胃潴留及梗阻状况等,以确定是否需要服造影剂以进一步明确诊断。对于一般患者,则可常规服造影剂后按胃、十二指肠标准切面进行扫查。



胃造影用的是什么机子超声丨如果你实在害怕胃镜,可以试试胃部彩超检查_https://www.jmylbn.com_新闻资讯_第8张


检查方法简便易行

      胃肠超声造影技术,无痛、无创、无辐射,可用于胃肠疾病的早期筛查和常规检查,让患者轻松检查出胃肠疾病。


      检查时患者仅需喝500ml速溶胃肠超声助显剂,此助显剂味道可口、无痛苦、无糖,无任何副作用。

  

    

胃肠超声究竟能筛查出哪些疾病,适应哪类人群呢?


胃造影用的是什么机子超声丨如果你实在害怕胃镜,可以试试胃部彩超检查_https://www.jmylbn.com_新闻资讯_第9张

 


胃造影用的是什么机子超声丨如果你实在害怕胃镜,可以试试胃部彩超检查_https://www.jmylbn.com_新闻资讯_第10张


适应症

胃造影用的是什么机子超声丨如果你实在害怕胃镜,可以试试胃部彩超检查_https://www.jmylbn.com_新闻资讯_第11张


胃肠超声检查适应病症有哪些呢?


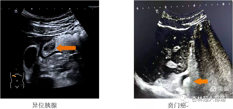
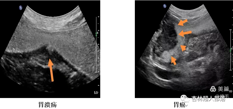
肿瘤:胃息肉(大于3mm)、平滑肌瘤、间质瘤、胃癌、胃恶性淋巴瘤、胃转移瘤等;

炎症:急慢性胃炎、胃溃疡、胃壁旁脓肿;

胃粘膜病度:胃粘膜脱垂、重大胃粘膜肥厚症;

先天性疾病:幽门狭窄、囊肿、胃壁胰腺异位等;

梗阻性疾病:幽门梗阻、贲门梗阻;

其他疾病:胃石症、胃内异物、食管下段及胃底静脉曲张、胃下垂等。



胃造影用的是什么机子超声丨如果你实在害怕胃镜,可以试试胃部彩超检查_https://www.jmylbn.com_新闻资讯_第12张

   

胃肠超声检查能发现哪些问题呢?


1)观察胃的形态、张力、胃肠壁蠕动柔度及胃排空功能;
2)发现溃疡凹陷,诊断溃疡性病变;
3)胃肠肿瘤的诊断及鉴别,显示肿瘤病变的形态、大小、范围、内部结构,确定病变位置;
4)发现胃内异物及食管下段贲门病变;
5)有利于发现胃腔以外的病灶,鉴别病变(肿瘤等)的来源;
6)提高对胃周围器官(如胰腺、下胆道、左肾及肾上腺等)、腹膜后血管及其病变诊断准确率。



胃造影用的是什么机子超声丨如果你实在害怕胃镜,可以试试胃部彩超检查_https://www.jmylbn.com_新闻资讯_第10张


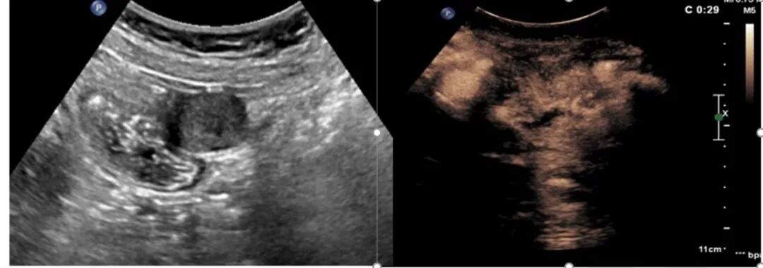
下面我们看看胃肠超声扫描出来的


这些典型病例图像吧。


胃造影用的是什么机子超声丨如果你实在害怕胃镜,可以试试胃部彩超检查_https://www.jmylbn.com_新闻资讯_第14张

胃造影用的是什么机子超声丨如果你实在害怕胃镜,可以试试胃部彩超检查_https://www.jmylbn.com_新闻资讯_第15张

胃造影用的是什么机子超声丨如果你实在害怕胃镜,可以试试胃部彩超检查_https://www.jmylbn.com_新闻资讯_第16张

胃造影用的是什么机子超声丨如果你实在害怕胃镜,可以试试胃部彩超检查_https://www.jmylbn.com_新闻资讯_第17张

胃造影用的是什么机子超声丨如果你实在害怕胃镜,可以试试胃部彩超检查_https://www.jmylbn.com_新闻资讯_第18张



胃造影用的是什么机子超声丨如果你实在害怕胃镜,可以试试胃部彩超检查_https://www.jmylbn.com_新闻资讯_第10张

禁忌症


      但是也不是所有人都适合做胃肠超声检查的,检查的禁忌症有急性胃扩张消化道穿孔消化道活动性出血完全性幽门梗阻等



胃造影用的是什么机子超声丨如果你实在害怕胃镜,可以试试胃部彩超检查_https://www.jmylbn.com_新闻资讯_第20张

彩超和胃镜有什么区别呢?


       胃镜和胃肠超声究竟有哪些区别呢?胃镜确实在胃部疾病诊断中的地位举足轻重,但是有一些病人并不适合胃镜检查。比如年龄很大的患者,比如咽反射强烈又不宜或者不愿麻醉的患者,比如严重心脏病患者,比如高度脊柱畸形、严重出血倾向及高血压患者等。这时候,超声就成为很好的替代检查。


       对于无法耐受胃镜检查(如体弱的老人和难以配合检查的儿童、孕妇)及对胃镜检查极度恐惧者,可以先做胃肠超声造影检查,但若发现可疑病变,如早期胃癌、胃黏膜病变等,仍然有必要做进一步的胃镜检查确诊。


      胃肠超声最大的特点是无痛苦,无创伤,可重复性好,故较胃镜、X线钡餐检查更易被接受。




胃造影用的是什么机子超声丨如果你实在害怕胃镜,可以试试胃部彩超检查_https://www.jmylbn.com_新闻资讯_第21张


我们岳嵘堂中医馆引进彩超仪器-迈瑞Resona8彩超仪迈瑞Resona8彩超仪,由行业专家与迈瑞共同研发而成.

 胃造影用的是什么机子超声丨如果你实在害怕胃镜,可以试试胃部彩超检查_https://www.jmylbn.com_新闻资讯_第22张


岳嵘堂中医馆超声科由多名经验丰富的资深超声医师组成,所有在职医师均持证上岗,均为主治/中级以上职称,在三级以上大型综合医院 工作多年。擅长四维彩超/胎儿畸形筛查、腹部彩超、心脏彩超等,旨在为潮汕地区广大朋友提供高质量、高效率的便民诊疗检查。


医生简介

胃造影用的是什么机子超声丨如果你实在害怕胃镜,可以试试胃部彩超检查_https://www.jmylbn.com_新闻资讯_第23张




胃造影用的是什么机子超声丨如果你实在害怕胃镜,可以试试胃部彩超检查_https://www.jmylbn.com_新闻资讯_第24张



胃造影用的是什么机子超声丨如果你实在害怕胃镜,可以试试胃部彩超检查_https://www.jmylbn.com_新闻资讯_第25张




岳嵘堂中医馆





名医伴我行,健康送万家




     两英岳嵘堂中医馆是经汕头市卫生局批准成立的正规医疗机构,医馆座落于汕头市潮南区两英镇中心地段。

     医馆环境优雅,古香古色,让人一进门就感受到中医独特的韵味,内设名老中医专家诊室针灸推拿理疗室中药调剂,理疗康复,五维彩超,胎心监护,生化检验,CT扫描,X光检查,心电图检查,经颅多普勒检查,中医研究,健康咨询为一体的现代化中医馆。



胃造影用的是什么机子超声丨如果你实在害怕胃镜,可以试试胃部彩超检查_https://www.jmylbn.com_新闻资讯_第26张



▲舒适温馨的就医环境






胃造影用的是什么机子超声丨如果你实在害怕胃镜,可以试试胃部彩超检查_https://www.jmylbn.com_新闻资讯_第27张

胃造影用的是什么机子超声丨如果你实在害怕胃镜,可以试试胃部彩超检查_https://www.jmylbn.com_新闻资讯_第28张


      岳嵘堂中医馆聘请来自全国各地临床经验最为丰富、医术最为精湛的中医师,都具有临床疗效确切、预防保健作用独特、治疗方式灵活,以治本为主,治标为辅的理念为广大顾客健康保驾护航。



胃造影用的是什么机子超声丨如果你实在害怕胃镜,可以试试胃部彩超检查_https://www.jmylbn.com_新闻资讯_第29张




胃造影用的是什么机子超声丨如果你实在害怕胃镜,可以试试胃部彩超检查_https://www.jmylbn.com_新闻资讯_第30张



胃造影用的是什么机子超声丨如果你实在害怕胃镜,可以试试胃部彩超检查_https://www.jmylbn.com_新闻资讯_第31张




胃造影用的是什么机子超声丨如果你实在害怕胃镜,可以试试胃部彩超检查_https://www.jmylbn.com_新闻资讯_第32张



胃造影用的是什么机子超声丨如果你实在害怕胃镜,可以试试胃部彩超检查_https://www.jmylbn.com_新闻资讯_第33张


胃造影用的是什么机子超声丨如果你实在害怕胃镜,可以试试胃部彩超检查_https://www.jmylbn.com_新闻资讯_第34张


胃造影用的是什么机子超声丨如果你实在害怕胃镜,可以试试胃部彩超检查_https://www.jmylbn.com_新闻资讯_第35张


胃造影用的是什么机子超声丨如果你实在害怕胃镜,可以试试胃部彩超检查_https://www.jmylbn.com_新闻资讯_第36张


胃造影用的是什么机子超声丨如果你实在害怕胃镜,可以试试胃部彩超检查_https://www.jmylbn.com_新闻资讯_第37张




胃造影用的是什么机子超声丨如果你实在害怕胃镜,可以试试胃部彩超检查_https://www.jmylbn.com_新闻资讯_第38张




全自动生化分析仪


胃造影用的是什么机子超声丨如果你实在害怕胃镜,可以试试胃部彩超检查_https://www.jmylbn.com_新闻资讯_第39张

血液分析仪


胃造影用的是什么机子超声丨如果你实在害怕胃镜,可以试试胃部彩超检查_https://www.jmylbn.com_新闻资讯_第40张


五维彩超:



胃造影用的是什么机子超声丨如果你实在害怕胃镜,可以试试胃部彩超检查_https://www.jmylbn.com_新闻资讯_第41张




远程心电图仪:



胃造影用的是什么机子超声丨如果你实在害怕胃镜,可以试试胃部彩超检查_https://www.jmylbn.com_新闻资讯_第42张


数字能谱CT机:



胃造影用的是什么机子超声丨如果你实在害怕胃镜,可以试试胃部彩超检查_https://www.jmylbn.com_新闻资讯_第43张


北斗830DR机:


胃造影用的是什么机子超声丨如果你实在害怕胃镜,可以试试胃部彩超检查_https://www.jmylbn.com_新闻资讯_第44张




胃造影用的是什么机子超声丨如果你实在害怕胃镜,可以试试胃部彩超检查_https://www.jmylbn.com_新闻资讯_第45张

快点击下方公众号预约吧!

↓↓↓↓↓↓↓↓↓↓↓↓↓