胃造影用的是什么机子超声诊断科新技术|胃肠超声造影检查,让您舒舒服服做完肠胃筛查!

新闻资讯2026-04-24 07:19:08

胃造影用的是什么机子超声诊断科新技术|胃肠超声造影检查,让您舒舒服服做完肠胃筛查!_https://www.jmylbn.com_新闻资讯_第1张

在人们的认识中,胃是空腔脏器,不能做超声检查,通常诊断以胃镜为主,辅以放射钡餐检查,但是做胃镜很难受,做钡餐要吃射线,如何是好呢?我院超声诊断科医生也在不断的探索,如何能解决超声对胃的检查呢?

现在,好消息来了!

    我院超声诊断科在王能副主任带领下顺利开展胃肠超声造影,让您舒舒服服做完肠胃检查,有胃肠不适者及想给胃肠体检者,赶紧预约起来吧!预约咨询热线:0771-6217961。

胃造影用的是什么机子超声诊断科新技术|胃肠超声造影检查,让您舒舒服服做完肠胃筛查!_https://www.jmylbn.com_新闻资讯_第2张

什么是胃肠充盈超声造影检查?

01

 该项目负责人王能副主任介绍:胃肠超声造影检查是一种无创、准确、方便、可重复的胃肠疾病检查新技术,病人在空腹状态喝下一杯食品型造影剂充盈胃肠腔,充盈后的胃肠腔在声像图上显示类似于实质性组织的回声,消除了胃腔内的气体及粘液干扰,和胃肠壁及肝、胆、脾、胰之间产生明显的对比效应,使胃肠壁的层次结构显示更加清晰,能筛查出胃肠肿瘤、炎症、粘膜病变、功能紊乱性等疾病,做到早发现、早诊断、早治疗。

胃造影用的是什么机子超声诊断科新技术|胃肠超声造影检查,让您舒舒服服做完肠胃筛查!_https://www.jmylbn.com_新闻资讯_第3张

什么是造影剂?用不用打针?会有什么不良反应?

02

胃肠超声造影剂是一种通过口服或灌肠充盈胃肠腔的造影剂,消除胃肠腔内气体等对超声波的干扰,而本身又不影响超声波的穿透,改善了胃肠超声成像的内环境,使声束能顺利穿透,从而达到使胃肠壁结构及其病变能更加清晰显示的一种方法。

胃窗声学造影剂是由玉米、大豆、薏苡仁等经熟化配置而成的粉末状固体。用水冲泡易溶解,口感好,无毒副作用且有健胃功效,即冲即服,简单方便。它能快速充填胃肠,而不与胃肠壁相粘连,并随着胃肠的蠕动而蠕动。

胃造影用的是什么机子超声诊断科新技术|胃肠超声造影检查,让您舒舒服服做完肠胃筛查!_https://www.jmylbn.com_新闻资讯_第4张


胃造影用的是什么机子超声诊断科新技术|胃肠超声造影检查,让您舒舒服服做完肠胃筛查!_https://www.jmylbn.com_新闻资讯_第5张


什么病灶在超声造影下能表现出来?

03

     1.肿瘤

良性肿瘤:胃息肉,平滑肌瘤,其他间叶组织良性肿瘤(如纤维瘤、血管瘤、脂肪瘤等)。

恶性肿瘤:胃癌,胃平滑肌肉瘤,胃恶性淋巴瘤,胃转移癌等。

2.炎症:急、慢性胃炎,胃溃疡,胃内炎性肉芽肿,胃壁内脓肿

3.胃粘膜病变:胃粘膜脱垂症巨大胃粘膜肥厚症等。

4.先天性病变:先天性肥厚性幽门狭窄、胃囊肿、胃壁胰腺异位症、胃反位等。

5.梗阻性疾病:贲门失驰缓症,各种原因(如肿瘤、炎症等)引起的幽门、贲门梗阻。

6.其他疾病:胃石症、胃内异物症、胃内蛔虫症、胃底静脉曲张、胃下垂。

7.胃十二指肠周围脏器病变:总胆管下段结石、肿瘤,壶腹部肿瘤,胰腺肿瘤,左肾及肾上腺肿瘤,腹膜后淋巴结,腹膜后大血管病变等。

胃造影用的是什么机子超声诊断科新技术|胃肠超声造影检查,让您舒舒服服做完肠胃筛查!_https://www.jmylbn.com_新闻资讯_第6张

胃炎

胃造影用的是什么机子超声诊断科新技术|胃肠超声造影检查,让您舒舒服服做完肠胃筛查!_https://www.jmylbn.com_新闻资讯_第7张

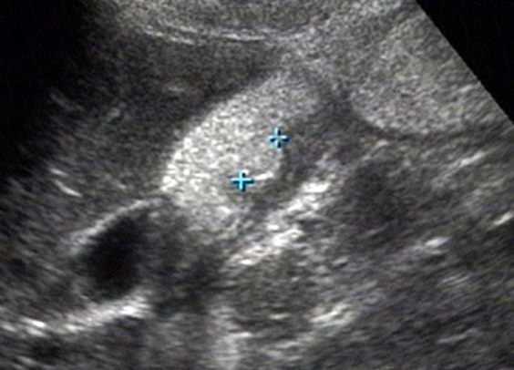
胃间质瘤


胃造影用的是什么机子超声诊断科新技术|胃肠超声造影检查,让您舒舒服服做完肠胃筛查!_https://www.jmylbn.com_新闻资讯_第8张

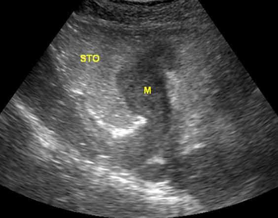
十二指肠球壁溃疡


胃造影用的是什么机子超声诊断科新技术|胃肠超声造影检查,让您舒舒服服做完肠胃筛查!_https://www.jmylbn.com_新闻资讯_第9张

胃癌


什么情况下不能做超声造影呢?

04

急性胃扩张、上消化道穿孔、上消化道活动性大出血等。

做胃肠超声造影需要做什么准备吗?

05

1.胃超声检查前一日晚餐应进清淡饮食,不宜食易产气、不易消化的食物;查前一般禁食8小时,禁饮4小时以上。  

2.一般将胃超声检查安排在X线钡餐检查之前。若患者已行钡餐检查,可延迟至次日进行超声检查。幽门梗阻患者须等钡剂排空后才能超声检查。

3.对急症胃超声如疑胃肠穿孔、急性胃扩张等和幽门梗阻患者首先空腹行腹部常规探查,以了解是否有胃肠穿孔或急性胃扩张,如有则禁忌服造影剂;对幽门梗阻则了解有无胃潴留及梗阻状况等,以确定是否需要服造影剂以进一步明确诊断。一般病人则常规服造影剂后按胃十二指肠标准切面进行扫查。

做胃肠超声造影相比于做胃镜和钡餐有什么优势呢?

05

 1.与胃镜比较的优势

 无创、无痛苦、操作简单、便宜,易被检查者接受;超声检查能够探查胃肠腔内、胃肠壁内、胃肠壁外的病变及其胃肠周围器官、组织的关系。    

 2.与钡餐比较的优势

无辐射、胃肠助显剂口感好、无明显不良反应,能为肠道吸收。 

胃肠超声造影在胃肠道炎性、占位性及功能性病变中有较高的诊断价值。尤其是观察恶性病变的浸润转移程度,具有独特的优势。是X线钡剂造影和胃镜检查不可缺少的补充。胃肠超声检查新技术的开展,可用于胃肠道疾病的早期筛查,填补了胃肠道不便于做体检的空白。

-END-


文章来源:超声诊断科

审核:医务科

编辑:陆芳荫


温馨提示

胃造影用的是什么机子超声诊断科新技术|胃肠超声造影检查,让您舒舒服服做完肠胃筛查!_https://www.jmylbn.com_新闻资讯_第10张

我院有微信公众服务号和订阅号:

服务号:广西医科大附属武鸣医院服务号——可预约、挂号、门诊缴费、查询检查结果等。

订阅号:广西医科大学附属武鸣医院——可更多了解医院、科室动态及健康知识。胃造影用的是什么机子超声诊断科新技术|胃肠超声造影检查,让您舒舒服服做完肠胃筛查!_https://www.jmylbn.com_新闻资讯_第11张

胃造影用的是什么机子超声诊断科新技术|胃肠超声造影检查,让您舒舒服服做完肠胃筛查!_https://www.jmylbn.com_新闻资讯_第12张