桡动脉鞘怎么读【REPLAY·周三全桡日】王鹏:双侧桡动脉入路 锁骨下支架

新闻资讯2026-04-21 16:00:19

桡动脉鞘怎么读【REPLAY·周三全桡日】王鹏:双侧桡动脉入路 锁骨下支架_https://www.jmylbn.com_新闻资讯_第1张


桡动脉鞘怎么读【REPLAY·周三全桡日】王鹏:双侧桡动脉入路 锁骨下支架_https://www.jmylbn.com_新闻资讯_第2张

术前手术入路预案及材料学分析

▪股动脉入路,患者卧床,难以耐受;

▪桡动脉入路,锁骨下动脉支架基本要求6F鞘管系统;

Omnilink 6F鞘管系统

Express SD 6F鞘管系统

桡动脉鞘怎么读【REPLAY·周三全桡日】王鹏:双侧桡动脉入路 锁骨下支架_https://www.jmylbn.com_新闻资讯_第3张
桡动脉鞘怎么读【REPLAY·周三全桡日】王鹏:双侧桡动脉入路 锁骨下支架_https://www.jmylbn.com_新闻资讯_第4张


桡动脉鞘怎么读【REPLAY·周三全桡日】王鹏:双侧桡动脉入路 锁骨下支架_https://www.jmylbn.com_新闻资讯_第5张

桡动脉植入6F鞘管系统支架可行性

▪6F高性能长鞘,如NeuronMax,但外径2.7-2.8mm,不够友好;

▪6F桡动脉短鞘,冠脉长期、大量入路经验,安全有效;

▪7F薄壁鞘,6F普通鞘的外径,优势更大;

▪双侧桡动脉入路

一侧送入支架

一侧造影定位

桡动脉鞘怎么读【REPLAY·周三全桡日】王鹏:双侧桡动脉入路 锁骨下支架_https://www.jmylbn.com_新闻资讯_第6张




Case Sharing

桡动脉鞘怎么读【REPLAY·周三全桡日】王鹏:双侧桡动脉入路 锁骨下支架_https://www.jmylbn.com_新闻资讯_第7张

病例一



· 病例介绍

▪男,76岁。

▪“腰背部手术”50余年,长久平卧腰痛。

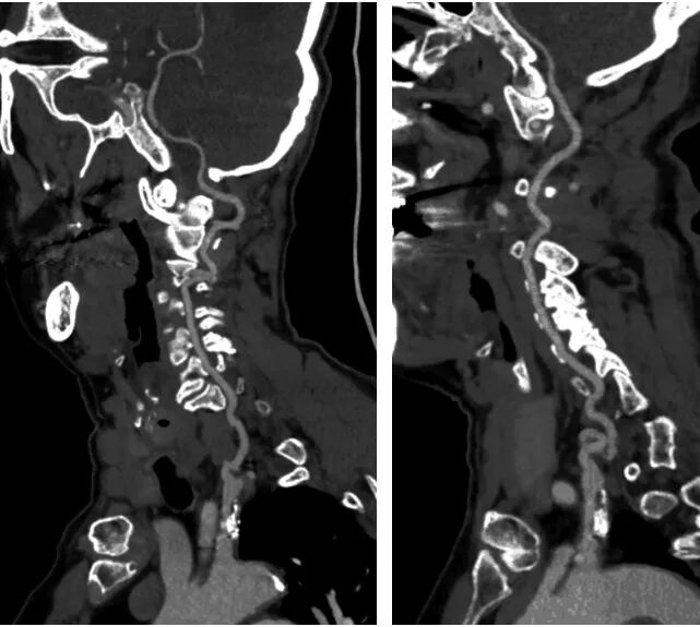
▪本次CTA发现右侧锁骨下动脉起始部狭窄伴盗血。

桡动脉鞘怎么读【REPLAY·周三全桡日】王鹏:双侧桡动脉入路 锁骨下支架_https://www.jmylbn.com_新闻资讯_第8张


· 左侧桡动脉入路造影

明确右侧锁骨下动脉起始部重度狭窄及盗血

桡动脉鞘怎么读【REPLAY·周三全桡日】王鹏:双侧桡动脉入路 锁骨下支架_https://www.jmylbn.com_新闻资讯_第9张


· 动脉鞘连接压力传感器,支架前双侧动脉压对比(左/右)


桡动脉鞘怎么读【REPLAY·周三全桡日】王鹏:双侧桡动脉入路 锁骨下支架_https://www.jmylbn.com_新闻资讯_第10张
桡动脉鞘怎么读【REPLAY·周三全桡日】王鹏:双侧桡动脉入路 锁骨下支架_https://www.jmylbn.com_新闻资讯_第11张


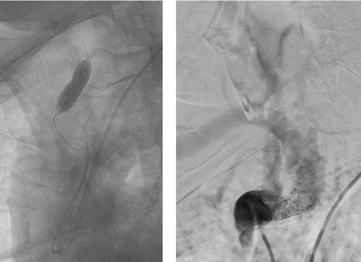
· 10-29mmOminiLink支架


▪18导丝送入18系统球囊预扩;

▪送入10-29mmOminiLink支架;

▪支架植入及植入后造影

支架覆盖理想,狭窄解除。

桡动脉鞘怎么读【REPLAY·周三全桡日】王鹏:双侧桡动脉入路 锁骨下支架_https://www.jmylbn.com_新闻资讯_第12张


· 术后造影确认盗血消失,动脉压测量双侧对比(左/右)


桡动脉鞘怎么读【REPLAY·周三全桡日】王鹏:双侧桡动脉入路 锁骨下支架_https://www.jmylbn.com_新闻资讯_第13张
桡动脉鞘怎么读【REPLAY·周三全桡日】王鹏:双侧桡动脉入路 锁骨下支架_https://www.jmylbn.com_新闻资讯_第14张





Case Sharing

桡动脉鞘怎么读【REPLAY·周三全桡日】王鹏:双侧桡动脉入路 锁骨下支架_https://www.jmylbn.com_新闻资讯_第15张

病例二



· 病例介绍

▪患者,女,71岁;

▪“反复头晕2月余”入院; 

▪CTA:左侧锁骨下动脉起始部重度狭窄;

▪TCD:锁过下动脉盗血。

桡动脉鞘怎么读【REPLAY·周三全桡日】王鹏:双侧桡动脉入路 锁骨下支架_https://www.jmylbn.com_新闻资讯_第16张


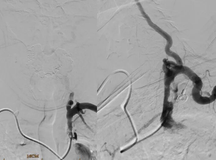
·右侧桡动脉入路造影


明确左侧锁骨下动脉起始部重度狭窄;

同时发现起始部斑块为溃疡斑块。

桡动脉鞘怎么读【REPLAY·周三全桡日】王鹏:双侧桡动脉入路 锁骨下支架_https://www.jmylbn.com_新闻资讯_第17张


·球扩后植入9-30自膨颈动脉支架


桡动脉鞘怎么读【REPLAY·周三全桡日】王鹏:双侧桡动脉入路 锁骨下支架_https://www.jmylbn.com_新闻资讯_第18张


桡动脉鞘怎么读【REPLAY·周三全桡日】王鹏:双侧桡动脉入路 锁骨下支架_https://www.jmylbn.com_新闻资讯_第19张

文献报道

双侧桡动脉入路和冠脉术中处理锁骨下狭窄

桡动脉鞘怎么读【REPLAY·周三全桡日】王鹏:双侧桡动脉入路 锁骨下支架_https://www.jmylbn.com_新闻资讯_第20张
桡动脉鞘怎么读【REPLAY·周三全桡日】王鹏:双侧桡动脉入路 锁骨下支架_https://www.jmylbn.com_新闻资讯_第21张

Tao, Qiu,Sheng-Qi, Fu,Xiao-Yong, Deng et al. Subclavian artery stenting via bilateral radial artery access: Four case reports.[J] .World J Clin Cases, 2022, 10: 0.

Ahmed Mahmoud, El Amrawy,Santiago, Camacho-Freire,Antonio, Gomez-Menchero et al. Subclavian angioplasty during coronary interventions using radial approach.[J] .Kardiol Pol, 2022, 80: 0.





Summary

桡动脉鞘怎么读【REPLAY·周三全桡日】王鹏:双侧桡动脉入路 锁骨下支架_https://www.jmylbn.com_新闻资讯_第22张

总 结



▪双侧桡动脉入路实现了6F常规桡动脉鞘或7F薄壁鞘进行锁骨下支架植入;

▪避免卧床,同时避免了6F高性能鞘的外径大尺寸弊端;

▪术中体验较高,支架系统没有鞘管支撑,但因锁骨下动脉的走行与上肢动脉同轴同路径,推送容易,没有主动脉弓的搏动影响支架定位更准确;

▪右侧锁骨下动脉或迂曲的锁骨下动脉导丝通过后支撑可能改变形态,支架到位后可回撤导丝恢复一定的生理性迂曲,更有利于支架的有效定位。


桡动脉鞘怎么读【REPLAY·周三全桡日】王鹏:双侧桡动脉入路 锁骨下支架_https://www.jmylbn.com_新闻资讯_第23张

专家介绍

桡动脉鞘怎么读【REPLAY·周三全桡日】王鹏:双侧桡动脉入路 锁骨下支架_https://www.jmylbn.com_新闻资讯_第24张

王鹏教授

浙江省人民医院神经内科

副主任医师

中国卒中学会第一届、第二届青年理事

中国老年医学学会院校教育分会脑血管病专业委员会委员

浙江省卒中学会预防与控制分会常务委员

浙江省医师协会神经介入专委会委员

浙江省医学会神经病学分会神经介入学组委员

中国研究型医院学会介入神经病学专业委员会经桡动脉介入协作组副组长

中国卒中学会讲师

Captain中国卒中中心联盟领航者工程讲师

中国卒中学会BI卒中综合培训中心讲师

2017年“介入之音”全国病例比赛总决赛冠军

2019年中国卒中学会天海论坛辩论赛最佳辩手

主攻方向:急性缺血性卒中再灌注诊疗,尤其擅长急性缺血性卒中血管内治疗


桡动脉鞘怎么读【REPLAY·周三全桡日】王鹏:双侧桡动脉入路 锁骨下支架_https://www.jmylbn.com_新闻资讯_第25张

Race Club主理人

桡动脉鞘怎么读【REPLAY·周三全桡日】王鹏:双侧桡动脉入路 锁骨下支架_https://www.jmylbn.com_新闻资讯_第26张

刘锐教授

东部战区总医院(南京大学附属金陵医院)神经内科 神经病学研究所







欢迎神经介入领域同仁共同参与RACE CLUB!一起营造平等互助、医工融合、医企共进的交流新模式!更好地为广大患者服务!


神经介入新生代RACE CLUB

微信群持续招募中


联系人员:医千在线-陶千柳(RACE CLUB运营)

联系方式:18510008678(电话及微信同号)

投稿邮箱:RACECLUB@yeah.net


声明:本文来源于神经介入新生代(RACE CLUB)成员及其版权所有,转载请注明出处(专家姓名+神经介入新生代(RACE CLUB))。文内观点针对特定病例,不具备广泛临床指导意义,请勿简单模仿,以免对患者带来负面影响。对于盲目模仿文中方法带来的不良后果, 神经介入新生代(RACE CLUB)不负任何责任。