桡动脉鞘怎么读【CNIT专栏】经桡动脉脑血管造影中减少桡动脉闭塞:来自543例患者的单中心研究的关键预测因素和预防措施

新闻资讯2026-04-21 16:00:17

桡动脉鞘怎么读【CNIT专栏】经桡动脉脑血管造影中减少桡动脉闭塞:来自543例患者的单中心研究的关键预测因素和预防措施_https://www.jmylbn.com_新闻资讯_第1张





Brief Introduce

近年来,经桡动脉入路(TRA)在脑血管造影和神经介入治疗中的临床应用日益增加。然而,由于桡动脉的直径较小且脉动较弱,初次穿刺的成功率低于股动脉穿刺。此外,反复穿刺可能导致痉挛,从而降低手术中成功穿刺的机会。


此外,TRA的并发症包括桡动脉闭塞(RAO);尽管通常无症状,但它可能降低再次进行桡动脉介入的可能性,并增加股动脉穿刺的发生率。因此,本项单中心的回顾性研究旨在评估543名接受桡动脉脑血管造影的患者中桡动脉闭塞的发生率及相关因素。

材料与方法


1

道德声明

本项单中心回顾性研究纳入了543名患者,这些患者于2021年7月至2024年2月在我院接受了经桡动脉入路(TRA)进行脑血管造影。该研究已获得我院伦理委员会的批准(批准号:B2023119)。所有患者均已被告知TRA进行脑血管造影的风险及手术中使用的药物(例如,肝素的使用),并签署了知情同意书。


2

研究组设计

我们纳入了543名接受经桡动脉入路(TRA)进行脑血管造影的患者。受试者分为两组—桡动脉闭塞(RAO)组32人和无桡动脉闭塞(No-RAO)组511人。男性与女性的比例为280:263,平均年龄为54.5±15岁(范围:12-78岁)。


纳入标准为:(1)穿刺前进行超声评估,桡动脉直径≥1.5mm;(2)首次接受TRA进行脑血管造影,且无TRA的既往史;(3)提供知情同意书。


排除标准为:(1)2周内发生急性缺血性卒中;(2)手术禁忌症,如肝肾功能不全;(3)有桡动脉手术史(如尿毒症透析血管内瘘);(4)TRA失败并改为股动脉入路(TFA)。


3

手术技巧

桡动脉穿刺和置管


所有患者均采用仰卧位,前臂旋前,手腕抬高。桡动脉穿刺部位经过消毒,并用0.5毫升1%利多卡因进行浸润麻醉。


为了探讨不同穿刺针和桡动脉鞘对桡动脉闭塞(RAO)发生率的影响,随机使用Cordis(Cordis, America)或Terumo(Terumo, Japan)的20-G穿刺针进行桡动脉穿刺。


在成功穿刺桡动脉后,患者被随机分配接受11cm或16cm的桡动脉鞘(Terumo, Japan)用于数字减影血管造影(DSA)。


是否加肝素或不加肝素


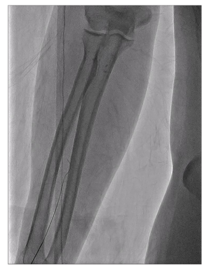
一般而言,桡动脉容易发生痉挛(见图1、图2),因此在确认鞘管放置成功后,立即向鞘管中注入抗痉挛药物混合液(通常由0.2毫升硝酸甘油和2.5毫克维拉帕米组成)以防止桡动脉痉挛。为了探讨肝素对桡动脉闭塞(RAO)发生率的影响,我们建立了两个组:肝素组,其中肝素(2500U)被添加到抗痉挛药物中;非肝素组,其中未添加肝素。


桡动脉鞘怎么读【CNIT专栏】经桡动脉脑血管造影中减少桡动脉闭塞:来自543例患者的单中心研究的关键预测因素和预防措施_https://www.jmylbn.com_新闻资讯_第2张

图1:x射线显示桡动脉痉挛(导丝穿过时阻力增加)


桡动脉鞘怎么读【CNIT专栏】经桡动脉脑血管造影中减少桡动脉闭塞:来自543例患者的单中心研究的关键预测因素和预防措施_https://www.jmylbn.com_新闻资讯_第3张

图2:路图中可见桡动脉痉挛(导丝穿过时阻力显著增加)


术后止血技术


在完成经桡动脉入路(TRA)进行脑血管造影后,使用TR-Bands进行止血,常规充气12毫升,并每2小时逐渐放气2毫升,共进行3次。在6小时后移除TR-Bands。


4

超声对早期RAO的评估

早期桡动脉闭塞(RAO)被定义为在24小时内发生的桡动脉闭塞。在移除TR-Bands后进行24小时的超声检查。如果通过多普勒超声无法检查到桡动脉血流,则视为早期桡动脉闭塞,并注意患者是否有前臂疼痛或血肿(见图3、图4)。


桡动脉鞘怎么读【CNIT专栏】经桡动脉脑血管造影中减少桡动脉闭塞:来自543例患者的单中心研究的关键预测因素和预防措施_https://www.jmylbn.com_新闻资讯_第4张

图3:多普勒超声无法检出桡动脉血流,考虑为早期RAO


桡动脉鞘怎么读【CNIT专栏】经桡动脉脑血管造影中减少桡动脉闭塞:来自543例患者的单中心研究的关键预测因素和预防措施_https://www.jmylbn.com_新闻资讯_第5张

图4:多普勒超声可以检出桡动脉血流,考虑为非RAO


5

数据收集

我们收集了患者的人口统计数据(如年龄、性别)、临床数据(如桡动脉闭塞的发生率)、抗痉挛药物中是否添加肝素、桡动脉穿刺尝试次数、桡动脉鞘长度、桡动脉直径和使用的穿刺针类型等信息。


6

统计分析

统计分析使用IBM SPSS-25.0 for Windows(IBM, USA)进行。通过卡方(χ²)检验和t检验对两个属性的独立性假设进行检验。


使用logistic回归分析对并发症和转换情况进行单变量和多变量分析。治疗组之间特征的差异在P<0.05时被认为具有统计学意义。






结果


共有543名接受经桡动脉入路(TRA)的患者纳入本研究(见表1)。在数字减影血管造影(DSA)后,共有32名患者发生了桡动脉闭塞(RAO)。


其中,男性患者280名,女性患者263名,年龄范围为12至77岁。在这些患者中,319名有高血压,342名有糖尿病,320名有高脂血症。两组在高血压、糖尿病或高脂血症的存在方面没有统计学显著差异。


RAO患者与非RAO患者的临床数据分析结果见表2。


桡动脉鞘怎么读【CNIT专栏】经桡动脉脑血管造影中减少桡动脉闭塞:来自543例患者的单中心研究的关键预测因素和预防措施_https://www.jmylbn.com_新闻资讯_第6张

表1:患者特征


桡动脉鞘怎么读【CNIT专栏】经桡动脉脑血管造影中减少桡动脉闭塞:来自543例患者的单中心研究的关键预测因素和预防措施_https://www.jmylbn.com_新闻资讯_第7张

表2:RAO患者与非RAO患者的临床数据分析结果


1

关于肝素的使用

在302名添加肝素到抗痉挛药物中的患者中,有2名发生了桡动脉闭塞(RAO)。而在241名未添加肝素的患者中,有30名发生了RAO。肝素组的RAO发生率显著低于非肝素组(χ²=20.031,P<0.0001)。


2

关于穿刺尝试次数

在323名穿刺尝试次数少于3次的患者中,有9名发生了桡动脉闭塞(RAO)。而在220名穿刺尝试次数超过3次的患者中,有23名发生了RAO。穿刺尝试次数少于3次的患者的RAO发生率显著低于穿刺尝试次数超过3次的患者(χ²=13.8751,P<0.0002)。


3

关于不同长度的桡动脉鞘

在220名使用16厘米鞘管的患者中,有4名发生了桡动脉闭塞(RAO)。而在323名使用11厘米鞘管的患者中,有28名发生了RAO。使用16厘米鞘管的患者的RAO发生率显著低于使用11厘米鞘管的患者(χ²=11.074,P<0.0009)。


4

关于不同直径的桡动脉鞘

在284名使用4F鞘管的患者中,有14名发生了桡动脉闭塞(RAO)。而在259名使用5F鞘管的患者中,有18名发生了RAO,但两组之间的RAO发生率没有显著差异(χ²=0.9969,P=0.3181>0.05)。


5

关于使用不同的穿刺针

在288名使用Terumo(Terumo, Japan)20G穿刺针的患者中,有9名发生了桡动脉闭塞(RAO)。而在255名使用Cordis(Cordis, America)20G穿刺针的患者中,有23名发生了RAO。使用Terumo穿刺针的患者的RAO发生率显著低于使用Cordis穿刺针的患者(χ²=8.4737,P<0.0036)。


6

多因素logistic回归分析

减少桡动脉闭塞的独立风险因素包括:在抗痉挛药物中添加肝素(OR=0.076,95% CI: 0.018-0.321,P<0.001)、穿刺尝试次数少于3次(OR=0.245,95% CI: 0.111-0.541,P<0.001)、使用16厘米长的桡动脉鞘(OR=0.195,95% CI: 0.067-0.564,P=0.003)以及使用Terumo穿刺针(OR=0.325,95% CI: 0.148-0.717,P=0.005)(见表3)。


桡动脉鞘怎么读【CNIT专栏】经桡动脉脑血管造影中减少桡动脉闭塞:来自543例患者的单中心研究的关键预测因素和预防措施_https://www.jmylbn.com_新闻资讯_第8张

表3:早期RAO的多变量Logistic回归分析结果

讨论





目前,桡动脉穿刺和鞘管放置的总体成功率为96%。然而,由于桡动脉直径较小且搏动较弱,穿刺的难度明显高于股动脉。即使对于经验丰富的医生,初次手动触诊引导的桡动脉穿刺成功率也仅为70-85%。


此外,由于桡动脉直径较细且血管壁中α受体丰富,桡动脉易发生痉挛。反复穿刺会加重桡动脉痉挛,进一步削弱搏动,导致穿刺难度增加,甚至穿刺失败。穿刺次数的增加不仅会增加痉挛的风险,还可能直接损伤血管壁,导致局部血栓形成,促进RAO的发生。


根据我们使用不同穿刺针的经验,当使用Cordis穿刺针时,通常采用改良的Seldinger技术进行单壁穿刺。针头穿过血管前壁并看到血液流动时,导丝会沿着送入。


然而,由于桡动脉直径比股动脉细,通常需要一只手稳定针头,另一只手置入导丝,这在操作过程中容易导致针头滑动,造成穿刺失败。Terumo是套管针,可以进行透壁穿刺,以确保套管针鞘管能够进入桡动脉腔,这可能会增加对桡动脉的损伤。


由于Terumo穿刺针的稳定性高于单壁穿刺,其初次成功率也高于Cordis穿刺针。随着穿刺次数的增加,痉挛的风险和局部血管壁损伤也显著增加。我们发现,当桡动脉穿刺次数超过3次时,早期RAO的发生率增加。


由于经桡动脉入路(TRA)在神经介入领域开展时间较短,大多数神经介入医生的经验不如心脏介入医生,因此在操作中常常需要进行更多的桡动脉穿刺。超声引导的桡动脉穿刺和导管插入可以提高首次穿刺的成功率,特别是对于桡动脉直径较细和脉搏较弱的患者。


超声引导可以显著减少血管穿刺的次数,最小化因穿刺导致的桡动脉痉挛风险,从而提高桡动脉穿刺和导管插入的成功率。然而,目前大多数中心缺乏实时超声引导桡动脉穿刺的条件。


降低RAO发生率的一个重要因素是快速掌握桡动脉穿刺和导管置入的技能,提高首次穿刺的成功率。基于我们的经验,我们建议使用Terumo套管针,并采用透璧穿刺技术,以最大化初次穿刺的成功率。


经桡动脉入路(TRA)目前在心脏病学中最为常用,以前的报告显示早期RAO发生率为1-10%。然而,我们的研究发现,在经桡动脉脑血管造影中,RAO的发生率为5.89%,相对较高。


比较发现,心脏病学与神经介入之间存在较大差异。在心脏病学中,桡动脉导管置入后,患者通常会同时进行冠状动脉造影和介入治疗。因此,注入鞘管中的抗痉挛药物通常会添加3000-5000U的肝素。相比之下,神经介入在脑血管造影后通常不需要同时进行血管内治疗。


神经介入中的抗痉挛药物通常含有2.5mg的维拉帕米和200μg的硝酸甘油,而不添加肝素。通过动脉鞘直接应用这种剂量的肝素存在潜在的脑出血风险。


因此,大多数神经介入中心在穿刺后并不立即向鞘管中添加肝素,而是在数字减影血管造影(DSA)期间,通过连接到导管的持续输注来维持肝素化(持续输注液的配方为每500ml生理盐水中添加2500-3000U的肝素)。


在添加肝素之前,我们观察到早期桡动脉闭塞的发生率显著较高。然而,在添加少量肝素(2500U)后,我们发现桡动脉闭塞率明显降低,并且没有患者出现严重的并发症,如脑出血。


这表明,立即向鞘管中添加肝素可以抑制穿刺部位局部血栓形成,改善局部血流,并降低RAO发生率。然而,关于神经介入特定的RAO发生率的研究数据较少,需要进一步研究以确认。


在心脏介入中,以前的文献表明,桡动脉鞘管可能会阻碍前向血流,导致闭塞。鞘管越厚,桡动脉痉挛和闭塞的发生率越高。然而,我们的研究表明,桡动脉痉挛和闭塞的发生率与4F或5F鞘管的大小并没有直接关系。


这可能是由于前臂的桡动脉和尺动脉的双重血供。尽管鞘管暂时阻断了大部分桡动脉的前向血流,但靠近鞘管的尺动脉循环能够维持局部血流。此外,一些报告建议,亲水性鞘管可以减少对穿刺部位桡动脉璧的刺激,从而降低桡动脉壁的炎症反应,减少闭塞性炎症反应的发生,即使使用6F或7F鞘管时也是如此。


我们还发现,与16cm鞘管相比,11cm桡动脉鞘管导致桡动脉痉挛和RAO的概率显著更高,这与以前的报告一致。这可能是因为导致桡动脉痉挛的α-受体集中在桡动脉的前段。使用11cm鞘管时,鞘管的末端正好位于桡动脉的前段,与16厘米长的鞘相比,导致更严重的桡动脉刺激。因此16cm鞘管降低了RAO的发生率。


局限性


这是一项单中心研究,样本量有限,不可避免地存在选择偏倚。需要进一步的研究,使用更大样本量来探讨在经桡动脉脑血管造影过程中使用肝素的最佳时机和剂量。我们使用了相同的止血方法,但未对止血方法对结果的影响进行比较。

总结


总之,本研究首次探讨了在经桡动脉脑血管造影中早期RAO发生的原因。由于神经介入和心脏介入在操作技术上存在显著差异,因此关于心脏介入中桡动脉闭塞率的结论可能并不直接适用于神经介入。


我们的初步研究表明,经桡动脉脑血管造影后早期RAO发生率较低可能与以下因素有关:立即在抗痉挛药物中添加肝素以预防RAS、减少桡动脉穿刺尝试次数,以及使用16cm鞘管。


原期刊文章点击“阅读原文”查看









桡动脉鞘怎么读【CNIT专栏】经桡动脉脑血管造影中减少桡动脉闭塞:来自543例患者的单中心研究的关键预测因素和预防措施_https://www.jmylbn.com_新闻资讯_第9张


*注:文章源自 CNIT神经医学创新与转化联盟
桡动脉鞘怎么读【CNIT专栏】经桡动脉脑血管造影中减少桡动脉闭塞:来自543例患者的单中心研究的关键预测因素和预防措施_https://www.jmylbn.com_新闻资讯_第10张

长按识别二维

进入CNIT神经医学创新与转化联盟学术主页,查看更多文章


桡动脉鞘怎么读【CNIT专栏】经桡动脉脑血管造影中减少桡动脉闭塞:来自543例患者的单中心研究的关键预测因素和预防措施_https://www.jmylbn.com_新闻资讯_第11张

声明:脑医汇旗下神外资讯、神介资讯、脑医咨询所发表内容之知识产权为脑医汇及主办方、原作者等相关权利人所有。未经许可,禁止进行转载、摘编、复制、裁切、录制等。经许可授权使用,亦须注明来源。欢迎转发、分享。

投稿/会议发布,请联系400-888-2526转3

桡动脉鞘怎么读【CNIT专栏】经桡动脉脑血管造影中减少桡动脉闭塞:来自543例患者的单中心研究的关键预测因素和预防措施_https://www.jmylbn.com_新闻资讯_第12张

脑医汇App(原神介资讯App)“短视频”功能全新上线,碎片化时间学习内容长按识别二维码抢先体验!

桡动脉鞘怎么读【CNIT专栏】经桡动脉脑血管造影中减少桡动脉闭塞:来自543例患者的单中心研究的关键预测因素和预防措施_https://www.jmylbn.com_新闻资讯_第13张

点分享

桡动脉鞘怎么读【CNIT专栏】经桡动脉脑血管造影中减少桡动脉闭塞:来自543例患者的单中心研究的关键预测因素和预防措施_https://www.jmylbn.com_新闻资讯_第14张

点点赞

桡动脉鞘怎么读【CNIT专栏】经桡动脉脑血管造影中减少桡动脉闭塞:来自543例患者的单中心研究的关键预测因素和预防措施_https://www.jmylbn.com_新闻资讯_第15张

点在看