根管马达怎么修根管内器械分离的影响因素

新闻资讯2026-04-21 15:59:16

根管马达怎么修根管内器械分离的影响因素_https://www.jmylbn.com_新闻资讯_第1张




根管治疗(RCT)需要使用各种各样的器械,包括根管扩孔锉、根管扩孔钻、超声工作尖、根管探针、根管冲洗针、螺旋输送器、侧方加压器、充填器、携热头、充填材料注射头,这些器械都可能在使用时分离在根管里面,其中扩孔锉和扩孔钻的分离是最常见的问题。此外,虽然不锈钢器械的寿命较长,但很少有关于不锈钢器械在根管内分离的影响因素的研究,多数数据都是关于镍钛器械的。本文重点介绍了影响镍钛锉和钻分离的相关因素,即操作者相关因素、解剖相关因素、器械相关因素、操作技术相关因素。


主审 周学东 范兵 

主译 高原 范伟



 操作者相关因素

根管治疗包含了一系列精细的操作,需要足够的训练和灵敏度。根管预备可能是技术含量最高的操作之一,因此不难想象与操作者技术和熟练度相关的因素为器械分离最重要的影响因素。

口腔医师需要从纷繁复杂的器械中选择自己所需的器械。每一种器械有它独特的设计、机械性能和使用说明。这一过程容易使操作者产生困惑。当选择器械后,操作者需要熟悉这个器械,包括它的使用模式和厂商的推荐参数。比如说,从手用不锈钢器械到机用镍钛器械的转变就具有挑战性。镍钛锉几乎不能反馈给操作者根管形态的相关信息,因此,这些不同于传统手用不锈钢器械的操作感受,需要我们有不同的触觉敏感。

适当的体外操作训练非常重要。无论医师的基础和天赋有多少差别,都能够通过对器械的实际使用得到自己的理解,因此,可以通过培训得到技巧和技术的提高。避免对器械施加过大的根尖向力从而防止根管壁穿孔、察觉旋转器械可能与根管发生锁死从而在扭转过载发生之前抽出器械、感知预备重度弯曲的根管时对器械施加的压力可能引起疲劳分离,这些都是可以从练习离体牙和不断积累的临床经验中获得的。尽管如此,临床医师的表现在一定程度上还是随时间推移而变化的,这取决于工作负荷和身体疲劳程度。最后,操作者必须培养自己的判断力,当器械已经使用多次或已用于复杂根管的预备,甚至锉刃显示出缺陷(如解螺旋等)时,应及时丢弃。





解剖相关因素

开髓洞形


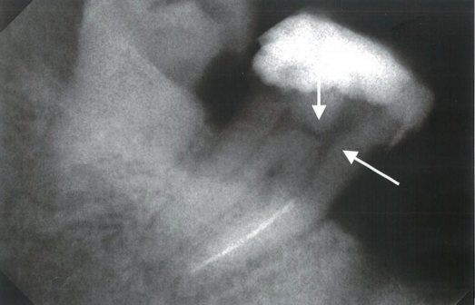
“适当”开髓洞形的定义在过去几年中经历了一些变化。一个完整的开髓洞形仍应让操作者能够看见所有的根管口,并能够引导器械进入根管,直达根尖或到达第一弯曲点。洞壁的干扰或者根管冠1/3未去除的根管口牙本质三角会因为增加弯曲的数量和程度(医源性S弯曲)而增加根管预备中施加在器械上的压力,这会导致器械疲劳(图1~图3)。相反,如果开髓洞形超出了髓室的范围,也会妨碍根管锉进入根管,并导致根管锉的尖端触壁发生弯曲。


根管马达怎么修根管内器械分离的影响因素_https://www.jmylbn.com_新闻资讯_第2张

1  过小开髓孔导致的下颌磨牙近中根管中器械分离。可见髓室顶(短箭头)和未充分磨除的根管口牙本质三角(长箭头),这些都妨碍了根管冠1/3处直线通路的建立


根管马达怎么修根管内器械分离的影响因素_https://www.jmylbn.com_新闻资讯_第3张

2  在近中或远中龋损基础上建立的无便利形的开髓孔,器械无法直线通路到达根尖,最终导致一系列医源性失误


根管马达怎么修根管内器械分离的影响因素_https://www.jmylbn.com_新闻资讯_第4张

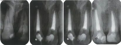
3  术前片(左上1~2图)可见两颗上颌中切牙根管内都存在分离器械,很可能是因为基于近远中病损建立的开髓孔,无便利形所致。规范开髓后,分离器械被取出并完成了根管治疗。右上图和左下图为3个月和12个月的复诊片显示病变逐渐愈合

如今,牙科手术显微镜的广泛使用为口腔医师提供了优越的放大倍数和照明条件,使牙髓科医师根据每位患者的不同情况选择尽量保守的开髓洞形以保存更多的牙体组织。根据根管口的位置和根管的方向与形态选择必要的开髓孔已经取代了扩展型的开髓孔。随之,这一趋势引出了“微创开髓洞形(MIE)”的概念,也就是磨除最少量的牙体硬组织以达到根管治疗的目的,即使后续的治疗会面临更大的挑战。尽管如此,有些证据表明这种微创开髓并不会增加器械分离的风险,至少在经验丰富、技术娴熟的临床医师使用显微镜的情况下是不会的。

镍钛锉需要注意建立进入根管的直线通路,这点上不锈钢器械是优于镍钛器械的。不锈钢锉可以预弯以适应难以进入的根管。除了具有形状记忆功能的锉以外,镍钛器械是很难预弯的。除此之外,刚性手用不锈钢锉能够提供障碍物的触觉反馈,但是与手机连接的柔性镍钛锉是不能的。



根管解剖


根管解剖结构复杂时器械分离的风险提高。器械分离在磨牙中的发生率高于前磨牙和前牙,而且在下颌磨牙根管和上颌磨牙近中颊根中的发生率高于其他根管。这可以用磨牙常为多根管系统、具有复杂解剖形态来解释,不过最主要的原因还是根管弯曲。

根管的弯曲度可以用角度和半径来描述,角度越大,半径越小,曲度越大。这两个参数可以彼此独立地变化。因此两个根管可以有相同的角度但是不同的曲率半径(图4)。根管预备时除了剪切应力,在预备弯曲根管时同时也存在弯曲应力。当锉旋转时,它经历反复的拉伸和压缩循环,拉伸发生在外曲面附近,压缩循环发生在内曲面附近。这种反复的循环载荷可能导致裂纹萌生,并最终发生分离。


根管马达怎么修根管内器械分离的影响因素_https://www.jmylbn.com_新闻资讯_第5张

4  曲率的角度和半径。这两个根管有相同的角度(a1a260°)但是不同的曲率半径(r15 mmr22 mm


离体实验证实,在弯曲的根管中,机用镍钛器械会因为扭转过载和循环疲劳增加分离风险,而且临床研究也支持了这一观点。当弯曲角度增加时,器械分离的风险也相对提高,特别是角度>30°时;同样,曲率半径减小时,器械分离的风险提高,而且曲率半径的影响更为显著。此外,根管冠1/3和中1/3的弯曲比根尖1/3的弯曲更易引起器械分离。这是因为弯曲疲劳集中的区域(最大弯曲点)器械的直径更大。与直根管相比,镍钛器械的尖端在根管急弯处发生锁结时更容易断裂。因此,建议器械不应该停在弯曲根管内旋转,而应沿轴向连续运动,以避免将弯曲疲劳集中于器械的特定部位。对于非常复杂、钙化或者极度弯曲的根管,器械应当一次性使用。




器械相关因素

原材料、设计和制造工艺对器械分离的影响非常大,早期研究普遍认为旋转式镍钛器械在临床使用中比手用不锈钢器械更容易分离。镍钛器械的制造工艺比不锈钢器械更为复杂,而且制造商也在不停地探索镍钛合金的冶金改性,新的设计和新工艺处理正努力改善材料的性能,克服材料的固有缺陷,增加器械抵抗永久形变和分离的能力。

由于镍钛器械的形状记忆功能,大多数这类材质的器械是磨削而成的,而不是拧制的,计算机辅助设计和计算机辅助制造技术能够帮助制作一些复杂的形态,但也无法避免器械表面的一些缺陷,如磨削槽、裂纹、凹坑等(图5)。据推测,这些缺陷可能使器械更易分离,因为它们容易形成应力集中点,并引发裂纹,这些裂纹可能只需要较小的压力就会扩展并最终导致器械分离。氩离子、硼离子或氮离子植入等方法可用来减少这些表面缺陷,从而提高器械抵抗分离的能力,不过这些方法能产生多大作用并没有定论。


根管马达怎么修根管内器械分离的影响因素_https://www.jmylbn.com_新闻资讯_第6张

一支未使用的Profile镍钛器械边缘上金属翻转的区域(放大倍数:100倍)

器械设计会因为增加槽的数量或深度而减小器械的横截面积;槽越深则越容易导致压力集中,但是柄-槽比似乎并不影响器械分离的发生。横截面形状的突变也可作为应力集中点并促进裂纹萌生。此外,与牙本质壁接触的宽金属区域(图6)增加了使用过程中的摩擦力,也可能导致器械分离的发生。


根管马达怎么修根管内器械分离的影响因素_https://www.jmylbn.com_新闻资讯_第7张

6 旋转镍钛锉的横截面,标注出了器械预备中与牙本质壁接触的宽金属区域(轮状边)



操作技术相关因素

马达参数


目前被一致推荐的是电动马达而不是气动马达,因为电动马达能够保持恒定的转速,而且可以限制施加在器械上的最大转矩。操作者可以方便地调节这两个数据,气动马达缺乏这样的精确控制,而且可能会受气压越高的影响。不过,使用这两种马达的器械分离率是相似的。

与转速相比,扭矩是一个更不直观的参数。扭矩是使器械克服摩擦并继续转动所需的旋转力。由于电动马达力求保持恒定的转速因此施加到器械上的转矩可以根据摩擦力连续变化,摩擦力又由器械和牙本质之间的接触面积(图7)和对器械的操作方法(器械对根管壁牙本质的压力)决定。接触面积主要由器械与根管的大小、锥度、横截面形态决定,更大的接触面积意味着更大的摩擦力,因此当较大的器械在狭窄的根管内旋转时就需要更高的转矩。


根管马达怎么修根管内器械分离的影响因素_https://www.jmylbn.com_新闻资讯_第8张

7  旋转式镍钛器械的横截面与根管壁有大(ab)或者小(cd)的接触面积,这能够影响摩擦力和所需的转矩

例如,当在同一根管中连续使用相同锥度,但尺寸逐渐增大的器械时,接触面积显著增加,在第一个锉之后的每个后续锉都受到过大的摩擦,并且需要高得多的驱动转矩才能旋转(称作“锥度锁定”),这可能导致扭转失效。错误地操作器械,如将器械施加过度的力量插入根管内,也会增加摩擦力和所需的扭矩。可施加的最大转矩为器械承受外加应力而不会发生塑性变形或断裂的抗力极限。

每种器械不发生分离的最大转矩是不一样的,而且随着器械横截面积的增加而增加,更大的锉能够承受更大的转矩而不发生器械分离。因此,所施加的转矩应始终保持在允许器械旋转和切割牙本质而不超过其自身的塑性变形或断裂极限的狭窄范围内,这个范围在临床上是难以确定的。

制造商特别为每种器械提供了合适的最大转矩参考。对于小直径、小锥度的器械,这个值通常较低;对于大直径、大锥度的器械,这个值通常较高。这意味着在使用较小的器械时,应该特别注意不要强行迫使它们进入根管内。除此之外,再次使用时,这个参数应该比初次使用的器械小。

具有转矩控制功能的电动马达允许操作者设置一个器械旋转时的最大转矩,当超过这个值时,马达停止运动并通常反向旋转(自动倒转),使器械脱离牙本质。显然,根据制造商的建议,每支不同的锉或钻应该使用不同的扭矩限制。

然而,仍然不清楚是否低转矩马达就能够防止或减少器械分离。一些研究报道了有经验和缺乏经验的操作者,使用低扭矩更安全。而另一些研究发现与高扭矩气动马达相比,低扭矩并没有显著优势。和低转速一样,低扭矩的器械可以提高触觉反馈,但也会在一定程度上降低器械的切削效率,阻碍其在根管中的前进,这可能会误导没有经验的操作者使用过大的力,使器械锁结、变形,甚至分离。



器械使用技术


器械使用技术影响器械分离。例如,在临床上使用的改良平衡力的手持式镍钛器械主要由于扭转过载而分离,而相同类型的机用锉可能由于循环疲劳而分离。

为了降低摩擦力并尽量减少分离风险,我们常推荐旋转式镍钛器械采用根向技术,尽管这对于其他类型的被称为“单一长度预备技术”的镍钛器械来说是不必要的,“单一长度预备技术”认为这些器械无论大小如何,都要达到工作长度。目前,很多往复运动式锉也在使用“单支锉”“单一长度”的预备方式。

关于使用技术,为了防止扭转过载并延长疲劳寿命,我们一致建议轻微的根尖向压力、连续轴向运动(啄食样运动)和根管内的短时间停留。而且,为了避免增加摩擦力,在根管口,手机不应该与根管轴线倾斜。一般来说,使用某镍钛系统时,建议遵守厂家推荐的器械使用顺序。不同系统的锉可以组合使用,以满足每个人不同的临床需求,但这需要一定水平的专业知识。

由于大多数镍钛锉的尖端是非切割性的,因此能确保器械尖端在根管,即使在最窄的地方也能自由旋转,这对避免锁结和随之而来的扭转分离是非常重要的。在根管预备之前,先建立从根管口到根尖的连续平滑通路,可以满足上文提出的要求。光滑通路的预备可由小型手用不锈钢器械或通过专门设计的机用镍钛器械完成。一些研究显示后者(机用镍钛器械)具有一些优势。但有些研究认为,镍钛器械仍然具有一些不足之处。

往复式镍钛锉能够在没有预先建立光滑通路的情况下安全地达到工作长度,并且在体外和临床应用中都未增加器械分离率。然而,操作者还是应该遵循制造商关于建立光滑通路的使用建议。




器械的二次使用和灭菌

由于根管器械特别是镍钛锉的成本增加,使用者经常关注它们是否可以重复使用。锉可以安全使用的次数仍然是存在争议的问题。制造商建议,防止器械分离的唯一可预测的方法是定期丢弃。在某些情况下,制造商在镍钛器械手柄中嵌入特殊部件,以防止它们在灭菌后重复使用,以此实现一次性使用的原则。然而,这些建议和原则可能在一定程度上受到经济利益的影响。

 使用次数建议   Grossman推荐小号手用不锈钢器械最多使用两次。后来有学者建议一次性使用所有的旋转镍钛器械,以预防器械分离,而其他学者认为只需对小号锉严格一次性使用,可能是因为任何缺陷都更难在小号锉上检测出来。一项调查发现,无论是全科牙医还是牙髓病专科医师,都会丢弃使用过一定次数的器械。合金的类型、器械的设计和尺寸以及病例的难度是考虑器械是否丢弃的主要参数。

相反的证据认为,镍钛旋转锉的长期临床使用似乎降低了它们在随后的体外试验中对循环疲劳的耐力,因此在预备弯曲根管时,大直径锉应比较小直径早丢弃,因为较大直径锉对循环疲劳的耐力较低。然而,器械分离是一个复杂且多因素的问题。基于简化的体外实验,似乎不可能预测器械在临床使用期间何时会发生分离。器械分离前能够使用的次数差别很大,具有一定临床经验的医师使用新锉也可能发生分离。此外,器械在临床上能够使用的次数可能比预想的少,因此,其他因素,如操作者熟练程度和根管解剖形态可能是更重要的决定器械分离率的因素。

 不锈钢器械丢弃的指征   临床上,镍钛器械分离似乎是由于单个过载事件(例如锉尖在根管中意外卡死)而不是因为疲劳累积,体外根管预备实验时器械分离也常常是这样发生的。同时,即使学者得出结论:由于锉对循环疲劳的耐受性降低,因此锉不应重复使用,但实际上使用同一套器械,在不发生任何根管内器械分离的情况下,可以成功预备多达10个临床病例。

此外,与先前关于重复加载对镍钛器械疲劳寿命影响的观点相反,最近的研究发现,温和的扭转预加载(不引起永久形变)实际上可以提高后续载荷中的扭转强度和抗循环疲劳能力。这种效应可以减少临床使用过程中的分离风险,但结果可能在不同类型的锉中有所不同。因此,考虑到所有证据,从力学角度来看,镍钛器械的重复使用在临床上是可以接受的,但是无法给出安全的具体次数。这些发现与不锈钢器械的器械分离不同,体外实验和临床使用表明,不锈钢器械的分离似乎主要是由于疲劳累积造成的,因此,建议定期丢弃不锈钢器械。

 镍钛器械丢弃的指征   所有根管内器械在再次使用之前应仔细放大检查以发现磨损迹象。对于不锈钢器械,任何有光泽的痕迹、凹槽之间的螺距变密或拉伸、急剧弯曲或任何其他类型的永久变形或腐蚀(图8)都是过度疲劳的迹象,应作为即将分离的警示,任何此类器械都应该被丢弃。镍钛器械一旦有类似变形也应及时丢弃(图9)。但是,它们的原始形状可以更复杂或不对称,常有反向凹槽、变化的螺旋角或螺距以及偏离轴心的横截面,这些特征不应与即将发生分离的征象混淆。


根管马达怎么修根管内器械分离的影响因素_https://www.jmylbn.com_新闻资讯_第9张

切削部分永久扭曲、急剧弯曲或损坏而需要丢弃的手用不锈钢器械


根管马达怎么修根管内器械分离的影响因素_https://www.jmylbn.com_新闻资讯_第10张

9  发生形变的镍钛器

除此之外,由所谓的“形变记忆”合金制成的器械在使用过程中可能发生螺纹松解,只有在出现反向回绕或在热处理后锉不能恢复其原始形状时,才视为应该丢弃的指征(图10)。


根管马达怎么修根管内器械分离的影响因素_https://www.jmylbn.com_新闻资讯_第11张

10  具有“形变记忆”功能的镍钛锉,a为使用前;bc为使用后。即使螺纹松解,但器械热处理后可以恢复原始形态因而不用丢弃。相反,器械螺纹反向回绕,应该被丢弃




小  结

本文讨论的一些研究结果是矛盾的。除了不可避免的实验误差外,这些差异在很大程度上可归结于研究中的检测方法和条件的差异。不同类型的器械、对使用或未使用器械的评估、使用中的准确情况、与次氯酸钠的接触、不同的清洗和灭菌方法、不同的循环疲劳试验和腐蚀性检测方法只是很多个会产生影响的参数当中的几个。不同参数之间的交互作用也不能排除。因此,应当努力使检测方法和条件标准化,以便于将来研究之间的比较。有人建议,所有类型器械的检测标准应在制造商将其引入市场之前制定,并应作为基本参考资料与器械配套。关于器械在临床使用期间的运转状态的信息是有限的,并且体外模型可能难以很好地模拟体内条件。例如,器械通常在充满根管冲洗剂的根管内使用(通常是次氯酸钠),冲洗剂非常接近体温(约35℃),但在一些体外实验中忽略了这一事实,而在室温(20℃)下进行了实验。研究表明,温度是一个重要的影响因素,对于某些类型的器械,从20℃增加到35℃可以显著地降低疲劳抗力(高达85%)。因此,在体外实验中选择模拟临床真实条件对于获得临床相关信息至关重要。

尽管有体外实验证据表明,上述一些参数可能影响根管内器械的抗折性,但值得注意的是,由于材料的显著差异、设计、使用方式的不同,用一种器械获得的结果不能以偏概全。目前已有几种器械在临床中使用,并且新的“改进”版本不断被推出,因此难以对所有可能的组合进行详细评估。随机选择的常用器械与新器械之间的简单比较是面向制造商的,并且由于存在大量的混杂因素而几乎没有科学意义。相反,未来的研究将更加合理地分别研究特定材料、设计或技术相关参数的影响,这些参数在不同品牌之间可能存在显著性差异。




图书简介

根管马达怎么修根管内器械分离的影响因素_https://www.jmylbn.com_新闻资讯_第12张


本文摘编自(希)西奥多·兰布里亚尼迪斯主编,由周学东、范兵主审,高原、范伟主译,辽宁科学技术出版社出版的《根管内分离器械处理》一书,该书图文并茂地细述了牙髓治疗中器械分离的原因,影响器械分离病例处理的因素,以及多种处理方案。阅读本书,读者可以了解到相关治疗方法、技术、设备的详细描述与比较分析,以及处理器械分离过程中可能发生的并发症,并讨论了分离器械留存的影响。此外,本书还讲述了如何在取出或建立旁路绕过分离器械时预防医源性失误,同时也强调如果能在操作过程中遵循正确的指南,那么发生器械分离的风险便会大大降低。尽管器械在设计、合金成分和制造工艺方面已有很大改进,但根管内器械分离依然常见,本书将会帮助牙髓专科医师和全科医师处理好这一费时又具有挑战性的工作。



★转载请获出版社许可

根管马达怎么修根管内器械分离的影响因素_https://www.jmylbn.com_新闻资讯_第13张


助理编辑:CMT橙橙

监制:CMT飘飘

商务合作:刘先生 13521808316



根管马达怎么修根管内器械分离的影响因素_https://www.jmylbn.com_新闻资讯_第14张

『口腔科普小今 是《中国医学论坛报·今日口腔》面向大众开设的口腔健康教育平台。在这里有一位靠谱的“小今医生”,希望用说白话、接地气的方式轻松愉快地传播普及口腔医学专业知识,提供权威、准确、实用的口腔健康信息。点击关注我们,有眼光!

“发现口腔人的精彩,满足口腔人的需要!

——《中国医学论坛报·今日口腔》