曲面断层片怎么看换牙与身高有关吗?关于孩子换牙的所有疑问一篇说清

新闻资讯2026-04-21 15:48:36
曲面断层片怎么看换牙与身高有关吗?关于孩子换牙的所有疑问一篇说清_https://www.jmylbn.com_新闻资讯_第1张

丨点击上方名片可以预约或看诊医生


孩子五到六岁时,口腔里开始进入一个“改朝换代”的新阶段:换牙期。面对孩子牙齿不断出现的各种新情况,家长们是既惊喜又焦虑:


换牙太早,需要担心性早熟吗?

换牙太晚是因为缺钙吗?

7岁了还没换牙,是不是不正常?

4岁多就换牙了会不会太早?

新牙已经长出来了,旧牙还没掉,怎么办?

......


今天,我们就针对家长们五花八门的提问来一场彻底答疑。


孩子换牙的进度条


孩子换牙,就像一场漫长的马拉松,通常是从6岁左右开始“起跑”,一直持续到12岁左右“到达终点”,历时6-7年。


同时,这也是一场独特的马拉松,每个孩子的开跑时间、跑步节奏、到达终点的时间都不一样。


第一颗牙啥时候换?


教科书上给出的开始换牙时间是6-7岁,不过这是20多年前的数据了。


2015年一项针对我国九市儿童换牙与体格生长关系的调查研究显示:近 20 年我国儿童换牙年龄呈小幅提前趋势,换牙的中位年龄为 6.00 岁(95% CI:5.98~6.01),第 3~97 百分位为 4.88~7.11 岁。


曲面断层片怎么看换牙与身高有关吗?关于孩子换牙的所有疑问一篇说清_https://www.jmylbn.com_新闻资讯_第2张


从图中可以看出,大部分孩子的换牙年龄落在4.88岁-7.11岁之间,还有极少数孩子会更早或更晚(比如4岁或8岁换牙)


这与我在临床工作中观察到的情况基本一致:


现在将近一半的孩子5岁多就换牙了,大部分孩子的换牙年龄是在5-7岁。


所以,如果您的孩子在5-7岁(大致相当于幼儿园大班到小学二年级之间)开始换第一颗牙齿,都是属于正常范围,无需担心。


如果早于4岁或晚于8岁,也不代表一定有问题,不过最好带孩子去医院看一下是否存在早萌或迟萌问题。


我家娃的换牙“进度条”正常吗?


换牙这场“马拉松”,总体分为三程:


曲面断层片怎么看换牙与身高有关吗?关于孩子换牙的所有疑问一篇说清_https://www.jmylbn.com_新闻资讯_第3张


1. 第一程:从5-7岁开始,持续2-3年


曲面断层片怎么看换牙与身高有关吗?关于孩子换牙的所有疑问一篇说清_https://www.jmylbn.com_新闻资讯_第4张
曲面断层片怎么看换牙与身高有关吗?关于孩子换牙的所有疑问一篇说清_https://www.jmylbn.com_新闻资讯_第5张

图注:8颗乳前牙脱落,8颗对应的恒前牙萌出;4颗第一恒磨牙(六龄齿)直接萌出。


2. 第二程:从8-10岁开始,持续2-3年


曲面断层片怎么看换牙与身高有关吗?关于孩子换牙的所有疑问一篇说清_https://www.jmylbn.com_新闻资讯_第6张
曲面断层片怎么看换牙与身高有关吗?关于孩子换牙的所有疑问一篇说清_https://www.jmylbn.com_新闻资讯_第7张

图注:8颗乳磨牙+4颗乳尖牙脱落,8颗对应的前磨牙+4颗对应的恒尖牙萌出。


3. 第三程:一般10-12岁


曲面断层片怎么看换牙与身高有关吗?关于孩子换牙的所有疑问一篇说清_https://www.jmylbn.com_新闻资讯_第8张
曲面断层片怎么看换牙与身高有关吗?关于孩子换牙的所有疑问一篇说清_https://www.jmylbn.com_新闻资讯_第9张

图注:4颗第二恒磨牙直接萌出


下附换牙顺序的动画更直观清楚展示乳恒牙的接班顺序:



啥时候换完最后一颗牙?


通常是11-12岁,不过个体差异比较大


比如,临床上遇到的孩子当中有9岁就换完所有乳牙的,也有10岁了才换8颗牙的,经过评估,牙齿的生长发育都是正常的。




注意⚠️


如果孩子没有定期看牙的习惯,到了12岁乳牙还没掉完,建议去医院排查一下是否有恒牙先天缺失或萌出障碍等问题。


换牙期间“问题”多


关于孩子换牙期间的种种问题,我在这里给大家汇总作答:


Q1.先换前牙还是先换后牙?


换牙的总体趋势是从前往后,也就是先换前牙,再换后牙。


不过,有4颗牙很特殊,它们就是第一恒磨牙,俗称“六龄齿”


曲面断层片怎么看换牙与身高有关吗?关于孩子换牙的所有疑问一篇说清_https://www.jmylbn.com_新闻资讯_第10张


注意⚠️:有些孩子是先长六龄齿,再换门牙,也是正常的哟!


六龄齿是口腔内最早萌出的4颗后牙,与8颗前牙的替换时间同步,都是在5-7岁时萌出。有些孩子是先换前牙,再长六龄齿,有些孩子是先长六龄齿,再换前牙,也有些孩子是同时进行,这些顺序都是正常的。


学者Moyers认为恒牙的理想萌出顺序是这样的:


曲面断层片怎么看换牙与身高有关吗?关于孩子换牙的所有疑问一篇说清_https://www.jmylbn.com_新闻资讯_第11张


Q2.先换上牙还是先换下牙?


曲面断层片怎么看换牙与身高有关吗?关于孩子换牙的所有疑问一篇说清_https://www.jmylbn.com_新闻资讯_第12张

图注:下前牙一般早于上前牙替换


大多数孩子是从下门牙开始换,但每个孩子的换牙顺序都不是百分百固定的,“不走寻常路”的孩子也不少。


比如有些孩子是先从上门牙开始换,只要牙齿松动度正常,没有严重的龋坏或外伤,也属于正常现象。


少数孩子可能因为龋齿、外伤或多生牙导致乳牙提前松动,建议就诊评估。


Q3.换了几颗牙后,停了一年多没动静了,怎么回事?


换牙这场马拉松并非匀速运动。换一换,缓一缓,这是很常见的现象。


比如,下颌4颗门牙和上颌中间2颗门牙会在短时间内集中替换,随后,一般会“休息”6-12个月,才会萌出上颌两颗侧门牙。


曲面断层片怎么看换牙与身高有关吗?关于孩子换牙的所有疑问一篇说清_https://www.jmylbn.com_新闻资讯_第13张

图注:侧门牙:“不急,我慢慢长”


再比如,门牙替换结束后,会有1-2年左右的“平静期”,这段时间内牙齿的状态相对稳定,也是适合开展某些类型早期矫治的窗口期。


Q4.乳牙晃了一个多月还没掉,要管吗?


看情况,通常可以再观察观察。


乳牙“藕断丝连”,说明牙根已经开始吸收,随着牙根变得越来越短,牙齿就会越来越松直至自行脱落。


如果新牙还没萌出,松动的乳牙通常可以观察数月等待自行脱落。平时可以鼓励孩子吃一些需要啃咬的食物,比如苹果、玉米,通过力学刺激帮助乳牙尽快脱落。如果孩子不愿意啃咬,也不必勉强,通常来说,萌出通道正常的牙齿,不吃硬的也会自然脱落。


如果牙齿非常松动了,担心勿吸勿吞风险,或者里面新牙已经萌出,乳牙还没掉(即“双排牙”,后文会详细介绍)可以带孩子去看看牙医,共同决策是否提前拔除。


Q5.快掉的乳牙“歪”了,可以用手摇或用舌头舔吗?


是可以的。


换牙期间,乳牙变“歪”往往提示牙齿已经开始松动,是换牙的信号,外力刺激可以促进乳牙的脱落,而不用担心是由于外力导致牙齿变歪的。


如果乳牙持续几个月一直不掉,或者新牙已经被挤得明显歪斜,或者非临近替换的乳牙“变歪”,建议就诊评估。


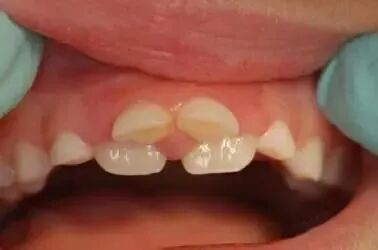
Q6.出现“双排牙”咋办?到底要不要拔?


“双排牙”又叫“乳牙滞留”,简单说就是新牙已经长出来了,旧牙还不肯掉。


曲面断层片怎么看换牙与身高有关吗?关于孩子换牙的所有疑问一篇说清_https://www.jmylbn.com_新闻资讯_第14张


关于双排牙到底要不要拔,是一个有点争议的话题。




国内外学者有争议⚠️


国内教科书上建议尽早拔除滞留乳牙,尤其是上颌“双排牙”。


而国外学者Gellin等监测了44名儿童,发现95%的下颌恒中切牙在8岁2个月前都能自行调整到正确位置,下颌侧切牙至少在8岁4个月时能自行调正,考虑到双排牙可能会造成家长的焦虑情绪,他们认为7岁半前出现“双排牙”没必要拔除。其他考虑还包括第一次就诊时就拔牙可能会影响孩子和医生建立融洽关系等。


所以,双排牙要不要拔,并非简单的Yes or No,下面分享一下我在临床工作中的一些观点:


1. 首先,可以肯定的是,及时拔掉滞留乳牙有利于新牙往前排齐和牙齿的清洁,对孩子的口腔健康没有坏处。


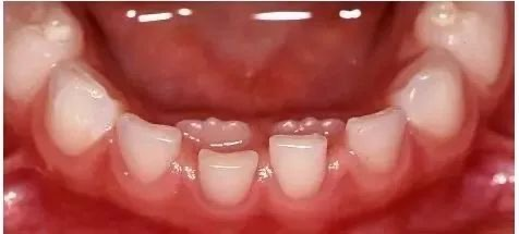
2. 最终新牙能否完全排齐,主要看乳牙是否“有缝”。乳牙“有缝”是牙弓位置充足的重要标志之一。


对于下颌牙齿,只要牙弓位置充足,滞留的乳牙无论是晚一点自行脱落还是提前拔除,恒牙都能在之后的数月内往前排齐。而如果牙弓空间不够,即使提前拔除了滞留乳牙,恒牙最终仍可能无法完全排齐。


曲面断层片怎么看换牙与身高有关吗?关于孩子换牙的所有疑问一篇说清_https://www.jmylbn.com_新闻资讯_第15张
曲面断层片怎么看换牙与身高有关吗?关于孩子换牙的所有疑问一篇说清_https://www.jmylbn.com_新闻资讯_第16张

图注:左图:乳前牙有缝,右图:乳前牙没缝


3. 上颌“双排牙”应尽早拔除,避免造成“地包天”。


曲面断层片怎么看换牙与身高有关吗?关于孩子换牙的所有疑问一篇说清_https://www.jmylbn.com_新闻资讯_第17张


4. 少数孩子乳牙牙根难以自行吸收,一直“纹丝不动”,需要医生协助拔除。


5. 对于定期看牙、配合的孩子,或家长比较在意孩子的双排牙,拔牙可相对积极。对于不能配合或第一次看牙的孩子,则可以考虑先保守观察。


6. 最后还想说,拔牙这件事有个体差异,请跟医生共同决策。


Q7.牙齿从上腭长出来了,正常吗?


大概率是长“多生牙”了(多余的牙齿,往往需要拔除),详见科普《小心这种看不见的牙齿,可能正在偷偷影响孩子的颜值!》


曲面断层片怎么看换牙与身高有关吗?关于孩子换牙的所有疑问一篇说清_https://www.jmylbn.com_新闻资讯_第18张


还有一种可能是牙齿异位萌出(正常的牙齿但位置跑偏了)。如果发现以上情况,建议尽早带孩子去看看。


Q8.乳牙掉了大半年,新牙一直没萌出,正常吗?


大概率是正常的,不过还是建议去看看牙医。


下颌乳前牙脱落后,恒牙通常较快就会萌出(一般2-3个月左右),如果超过半年还没动静,建议去看牙医。


上颌乳前牙脱落后,恒牙不会很快萌出,通常3-6个月甚至一年才萌出。


曲面断层片怎么看换牙与身高有关吗?关于孩子换牙的所有疑问一篇说清_https://www.jmylbn.com_新闻资讯_第19张
曲面断层片怎么看换牙与身高有关吗?关于孩子换牙的所有疑问一篇说清_https://www.jmylbn.com_新闻资讯_第13张

图注:上门牙“豁牙”的时间比较久


不过,有时可能存在以下情况:



乳牙早失,恒牙还没有到萌出年龄,多见于受过外伤的牙齿。


牙龈组织太厚太韧,恒牙“顶”不出来,可能需要医生帮忙切个小口。


恒牙发育迟缓或位置异常。


恒牙先天缺失。


因此,一旦孩子开始换牙了,最好带孩子去看看牙医。


Q9.突然发现最里面长出了一颗牙,是智齿吗?


5-7岁的孩子发现最里面长牙,不是智齿,是六龄齿。


由于六龄齿的上方没有乳牙,因此它并不是等乳牙掉了才萌出,而是直接从牙床里萌出的,非常缺乏存在感,很容易被误认为是乳牙,但其实这4颗牙是要跟你一辈子,不会再换的恒牙。


曲面断层片怎么看换牙与身高有关吗?关于孩子换牙的所有疑问一篇说清_https://www.jmylbn.com_新闻资讯_第21张


划重点⚠️:六龄齿是恒牙,不会再换!


有时,六龄齿也会像智齿一样“顶在”前面的牙齿上而无法正常萌出,需要提前干预。因此,六龄齿萌出阶段也建议带孩子去医院检查一下。


划重点⚠️:六龄齿可能像智齿一样被“卡住”。


曲面断层片怎么看换牙与身高有关吗?关于孩子换牙的所有疑问一篇说清_https://www.jmylbn.com_新闻资讯_第22张

图注:六龄齿被“卡住”,无法正常萌出


Q10.六龄齿上多出一块牙肉,需要处理吗?


一般不需要,等六龄齿完全萌出后这块肉会自动消失,平时注意清洁即可。


如果“牙肉”发生感染,也不用太紧张,去口腔科进行局部冲洗通常很快就能恢复。

曲面断层片怎么看换牙与身高有关吗?关于孩子换牙的所有疑问一篇说清_https://www.jmylbn.com_新闻资讯_第23张


Q11.六龄齿长了一半,就要去做窝沟封闭吗?


窝沟封闭的最佳时机是牙齿完全萌出后,且蛀牙还没发生前。


曲面断层片怎么看换牙与身高有关吗?关于孩子换牙的所有疑问一篇说清_https://www.jmylbn.com_新闻资讯_第24张


六龄齿是恒牙,以后不会再换,且位于口腔最里面,窝沟深,难以清洁,龋齿风险高,因此建议萌出后及时进行窝沟封。


如果六龄齿只长了一半,暂时没有蛀牙,可以等它完全长出来再去做。但如果已经发生蛀牙,经医生评估后可能考虑提前治疗并尽早进行窝沟封闭。


换牙与发育

早换牙=早发育?矮和换牙早有关系吗?


除了换牙本身的疑问,还有很多家长关心换牙这件事,和孩子的身高、发育有什么关系?


1.换牙年龄跟身高、性发育有关?


换牙的年龄是以遗传为主导,受性别、内分泌、营养、口腔健康、环境共同调节的。换牙是孩子生长发育的一个里程碑,但它只是众多指标中的一个。它和身高、性发育之间,并不是简单的“谁决定谁”的关系。


临床上我们确实观察到很多换牙早的孩子个头也会相应大一些,但也有个头大、换牙晚的,以及像《孩子换牙年龄和身高增长有关吗?答案可能出乎你意料》这篇文章评论区说的,“我本人南方姑娘,四岁8个月换牙,身高170,父母都是中等身高而已。我姐7岁换牙,身高162。换牙早晚跟身高相关性真的很弱了。”


这说明换牙年龄与身高的个体差异非常大,不能简单根据换牙年龄来推测孩子的身高。


总体来说,女孩换牙年龄平均会比男孩早5个月,城市的孩子比郊区的孩子换牙更早,我国北、中片区的孩子比南片区孩子换牙更早。


换牙年龄更像是发育河流上的一个“航标”。航标的位置(换牙早晚)告诉我们船大概走到哪儿了,但船的真正航速和最终能走多远(最终身高和发育程度),要看河流的流速和船速(骨龄和内分泌水平)


2.什么情况需要看儿科(或内分泌科/生长发育专科)



换牙时间极端异常(如4岁前开始换牙,或9岁后还没换牙),并伴有身高异常。


除了换牙早还有其他可疑迹象,如短期内身高猛增、怀疑有性早熟迹象(如乳房发育、睾丸增大等)


骨龄与实际年龄偏差过大(超过2年)


换牙期间行动指南


如果以上长篇大论让你更加困惑了,或者你不想操心这么多细枝末节,只想知道该怎么做,请查收下面这份行动指南:


1. 常去牙科看看


建议从孩子长出第一颗牙开始,就定期看儿童牙科。


如果孩子以前从没看过牙齿,开始换牙的时候也是一个很好的开始看牙的契机。


因为换牙期间,乳牙恒牙并存,孩子的口腔情况变数较多,情况更复杂,有些问题比较隐蔽,家长自己难以发现,每3-6个月定期检查能够为孩子的口腔健康保驾护航。


2. 第一张“全景片”


孩子开始换牙时,通常建议拍摄一张全口牙齿曲面断层片(即“全景片”)评估牙齿的数目、排列、发育情况。

曲面断层片怎么看换牙与身高有关吗?关于孩子换牙的所有疑问一篇说清_https://www.jmylbn.com_新闻资讯_第25张

图注:“看看我可爱的牙宝宝们”


通过这张全景片,牙医可以对孩子的总体换牙情况有一个大致的判断,并及时发现一些隐蔽问题,比如多生牙、先天缺牙、牙齿萌出或发育畸形等。


3. 蛀牙及时治疗


很多家长认为开始换牙了,有蛀牙就可以不用治疗了,反正快换了,其实不然。


开始换牙了,更要重视龋齿的治疗,因为这时如果出现严重的龋齿,不仅可能造成乳牙本身的感染,还有可能影响恒牙的发育甚至整个牙列的咬合。


曲面断层片怎么看换牙与身高有关吗?关于孩子换牙的所有疑问一篇说清_https://www.jmylbn.com_新闻资讯_第26张

图注:龋齿导致牙齿长歪


尤其是乳磨牙,9-10岁才替换,蛀牙往往比较隐蔽,定期检查很重要。


4. 第一次正畸评估


家长觉得孩子下巴后缩,脸太小,牙太挤,应该什么时候给孩子做矫正?


目前国际专家共识的建议是7岁左右带孩子进行第一次正畸评估。


不过这个年龄不是绝对的,由于每个孩子换牙年龄差异较大,具体到每个孩子,个人建议可以等4颗六龄齿萌出,门牙替换6-8颗的时候带孩子进行第一次正畸评估。


医生评估后会告知有哪些问题,现在需不需要干预、多大才要干预,用不用过一段时间再来看看、平时要注意些什么等等。


最后,希望每个孩子都能顺利换牙!


曲面断层片怎么看换牙与身高有关吗?关于孩子换牙的所有疑问一篇说清_https://www.jmylbn.com_新闻资讯_第27张

审稿专家 赵河川 

卓正齿科、牙体牙髓专科医生

北京大学口腔医学院博士

参考文献

1. 麦克唐纳•埃弗里,儿童青少年口腔医学,第10版

2. 张亚钦,李辉,武华红,等,中国九市四至七岁儿童乳恒牙替换及其与体格生长的相关性分析 [J]. 中华儿科杂志,2020, 58 (3): 206-212. DOI: 10.3760

3. 秦满,夏斌主编,儿童口腔医学,第3版,北京大学医学出版社

内容编辑 Luka


曲面断层片怎么看换牙与身高有关吗?关于孩子换牙的所有疑问一篇说清_https://www.jmylbn.com_新闻资讯_第28张

免责声明:文章目的是提供一般健康信息,个人医学问题请向医生咨询。文章转载请联系:medicine@distinctclinic.com。