明胶在血管怎么降解并发症丨前降支CTO同侧逆向开通时侧支血管破裂,弹簧圈联合明胶海绵封堵

新闻资讯2026-04-21 15:36:15

本病例源自王海昌冠脉介入操作技巧丛书《冠状动脉介入术中术后常见并发症处理操作技巧》,欲知海昌教授对该病例的点评、操作解析、要点讲解等内容,请在淘宝搜“西安博诺图书”(点击店铺),即可购买。把重点知识带回家!

明胶在血管怎么降解并发症丨前降支CTO同侧逆向开通时侧支血管破裂,弹簧圈联合明胶海绵封堵_https://www.jmylbn.com_新闻资讯_第1张


并发症专场


病例资料

患者男性,75岁,因阵发性胸闷、胸痛半年入院。


半年前外院冠脉造影显示左主干与三支病变、前降支闭塞,行前降支介入治疗失败,于左主干植入支架1枚,右冠脉中段及后降支中段各植入支架1枚。术后常规双联抗血小板、降脂、降压、扩冠等药物治疗,但仍间断发作胸痛不适,性质较前减轻。


有高血压病史10年,糖尿病病史7年。


辅助检查

入院查体:血压115/70mmHg,心率89次/分,律齐。

心电图显示V₁~V₃病理性Q波。

明胶在血管怎么降解并发症丨前降支CTO同侧逆向开通时侧支血管破裂,弹簧圈联合明胶海绵封堵_https://www.jmylbn.com_新闻资讯_第2张


胸片及心脏超声无异常发现。

明胶在血管怎么降解并发症丨前降支CTO同侧逆向开通时侧支血管破裂,弹簧圈联合明胶海绵封堵_https://www.jmylbn.com_新闻资讯_第3张
明胶在血管怎么降解并发症丨前降支CTO同侧逆向开通时侧支血管破裂,弹簧圈联合明胶海绵封堵_https://www.jmylbn.com_新闻资讯_第4张


诊断

不稳定型心绞痛

    心功能Ⅰ级

冠状动脉支架植入术后

高血压2级(极高危)

2型糖尿病

高脂血症


择期冠脉造影

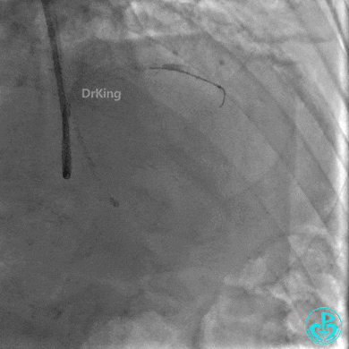
右冠脉支架通畅无狭窄,右冠脉给前降支远端提供逆向侧支循环。

明胶在血管怎么降解并发症丨前降支CTO同侧逆向开通时侧支血管破裂,弹簧圈联合明胶海绵封堵_https://www.jmylbn.com_新闻资讯_第5张
明胶在血管怎么降解并发症丨前降支CTO同侧逆向开通时侧支血管破裂,弹簧圈联合明胶海绵封堵_https://www.jmylbn.com_新闻资讯_第6张

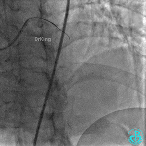
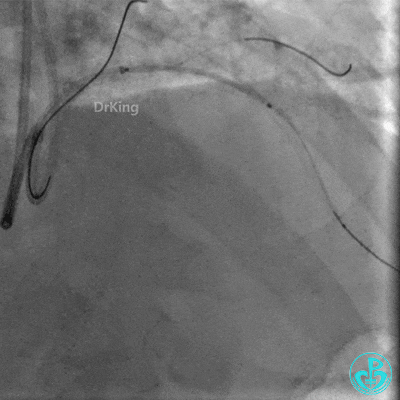
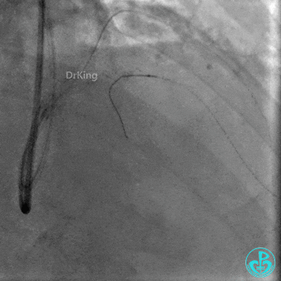
EBU指引导管左冠脉造影显示粗大前降支中段闭塞,闭塞段近端有对角支发出,前降支同侧逆向显影,闭塞段不长。

明胶在血管怎么降解并发症丨前降支CTO同侧逆向开通时侧支血管破裂,弹簧圈联合明胶海绵封堵_https://www.jmylbn.com_新闻资讯_第7张
明胶在血管怎么降解并发症丨前降支CTO同侧逆向开通时侧支血管破裂,弹簧圈联合明胶海绵封堵_https://www.jmylbn.com_新闻资讯_第8张
明胶在血管怎么降解并发症丨前降支CTO同侧逆向开通时侧支血管破裂,弹簧圈联合明胶海绵封堵_https://www.jmylbn.com_新闻资讯_第9张
明胶在血管怎么降解并发症丨前降支CTO同侧逆向开通时侧支血管破裂,弹簧圈联合明胶海绵封堵_https://www.jmylbn.com_新闻资讯_第10张


介入策略

首先尝试正向,及时转换逆向,必要时IVUS辅助。


第一次上台

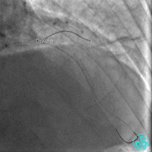
股动脉入路7F EBU 3.75指引导管到位,桡动脉入路JR 4.0造影导管到位,Corsair 135微导管辅助,XT-R导丝没有成功,升级到Gaia 3、CP导丝均无法突破闭塞段远端纤维帽。

明胶在血管怎么降解并发症丨前降支CTO同侧逆向开通时侧支血管破裂,弹簧圈联合明胶海绵封堵_https://www.jmylbn.com_新闻资讯_第11张
明胶在血管怎么降解并发症丨前降支CTO同侧逆向开通时侧支血管破裂,弹簧圈联合明胶海绵封堵_https://www.jmylbn.com_新闻资讯_第12张

换用双腔微导管,尝试平行导丝技术,导丝仍无法到达前降支远端真腔。

明胶在血管怎么降解并发症丨前降支CTO同侧逆向开通时侧支血管破裂,弹簧圈联合明胶海绵封堵_https://www.jmylbn.com_新闻资讯_第13张
明胶在血管怎么降解并发症丨前降支CTO同侧逆向开通时侧支血管破裂,弹簧圈联合明胶海绵封堵_https://www.jmylbn.com_新闻资讯_第14张

闭塞近端出现夹层血肿,OM-LAD侧支显影良好,决定转换为逆向开通。

明胶在血管怎么降解并发症丨前降支CTO同侧逆向开通时侧支血管破裂,弹簧圈联合明胶海绵封堵_https://www.jmylbn.com_新闻资讯_第15张

右桡动脉入路6F EBU 3.75指引导管到位,Corsair 150微导管辅助,Sion导丝尝试通过侧支。

明胶在血管怎么降解并发症丨前降支CTO同侧逆向开通时侧支血管破裂,弹簧圈联合明胶海绵封堵_https://www.jmylbn.com_新闻资讯_第16张
明胶在血管怎么降解并发症丨前降支CTO同侧逆向开通时侧支血管破裂,弹簧圈联合明胶海绵封堵_https://www.jmylbn.com_新闻资讯_第17张
明胶在血管怎么降解并发症丨前降支CTO同侧逆向开通时侧支血管破裂,弹簧圈联合明胶海绵封堵_https://www.jmylbn.com_新闻资讯_第18张
明胶在血管怎么降解并发症丨前降支CTO同侧逆向开通时侧支血管破裂,弹簧圈联合明胶海绵封堵_https://www.jmylbn.com_新闻资讯_第19张

Corsair微导管跟进困难,换Finecross 150微导管,通过侧支到达前降支闭塞远端血管真腔。

明胶在血管怎么降解并发症丨前降支CTO同侧逆向开通时侧支血管破裂,弹簧圈联合明胶海绵封堵_https://www.jmylbn.com_新闻资讯_第20张
明胶在血管怎么降解并发症丨前降支CTO同侧逆向开通时侧支血管破裂,弹簧圈联合明胶海绵封堵_https://www.jmylbn.com_新闻资讯_第21张
明胶在血管怎么降解并发症丨前降支CTO同侧逆向开通时侧支血管破裂,弹簧圈联合明胶海绵封堵_https://www.jmylbn.com_新闻资讯_第22张

逆向Sion、M6导丝无法到达前降支近端真腔。

明胶在血管怎么降解并发症丨前降支CTO同侧逆向开通时侧支血管破裂,弹簧圈联合明胶海绵封堵_https://www.jmylbn.com_新闻资讯_第23张
明胶在血管怎么降解并发症丨前降支CTO同侧逆向开通时侧支血管破裂,弹簧圈联合明胶海绵封堵_https://www.jmylbn.com_新闻资讯_第24张

启动Reverse CART,正向2.0×15mm球囊扩张后逆向导丝尝试进入前降支近端真腔。

明胶在血管怎么降解并发症丨前降支CTO同侧逆向开通时侧支血管破裂,弹簧圈联合明胶海绵封堵_https://www.jmylbn.com_新闻资讯_第25张
明胶在血管怎么降解并发症丨前降支CTO同侧逆向开通时侧支血管破裂,弹簧圈联合明胶海绵封堵_https://www.jmylbn.com_新闻资讯_第26张

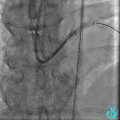
正向Guidezilla迎合,逆向导丝、微导管进入子导管,正向导丝通过逆向微导管后2.0×15mm球囊扩张闭塞段。

明胶在血管怎么降解并发症丨前降支CTO同侧逆向开通时侧支血管破裂,弹簧圈联合明胶海绵封堵_https://www.jmylbn.com_新闻资讯_第27张
明胶在血管怎么降解并发症丨前降支CTO同侧逆向开通时侧支血管破裂,弹簧圈联合明胶海绵封堵_https://www.jmylbn.com_新闻资讯_第28张

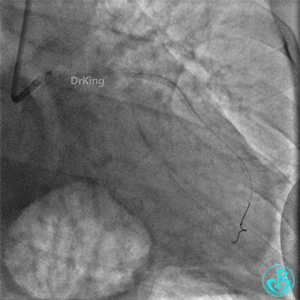
前降支串联植入2.5×30mm、3.0×30mm支架,对角支导丝保护。

明胶在血管怎么降解并发症丨前降支CTO同侧逆向开通时侧支血管破裂,弹簧圈联合明胶海绵封堵_https://www.jmylbn.com_新闻资讯_第29张
明胶在血管怎么降解并发症丨前降支CTO同侧逆向开通时侧支血管破裂,弹簧圈联合明胶海绵封堵_https://www.jmylbn.com_新闻资讯_第30张

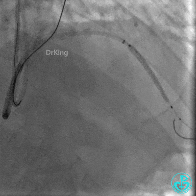
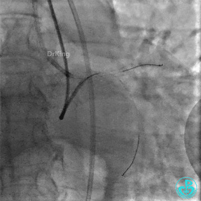
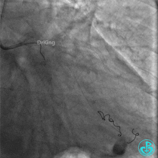
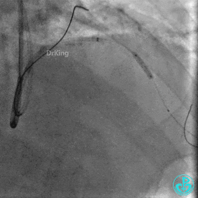
撤回逆向导丝及微导管造影,钝缘支远端侧支造影剂渗漏,局部造影剂滞留范围不断扩大。

明胶在血管怎么降解并发症丨前降支CTO同侧逆向开通时侧支血管破裂,弹簧圈联合明胶海绵封堵_https://www.jmylbn.com_新闻资讯_第31张
明胶在血管怎么降解并发症丨前降支CTO同侧逆向开通时侧支血管破裂,弹簧圈联合明胶海绵封堵_https://www.jmylbn.com_新闻资讯_第32张

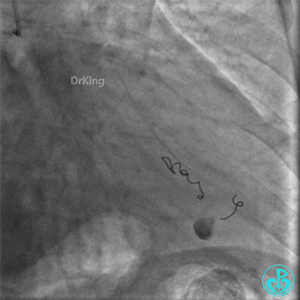
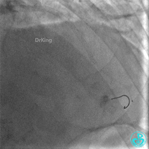
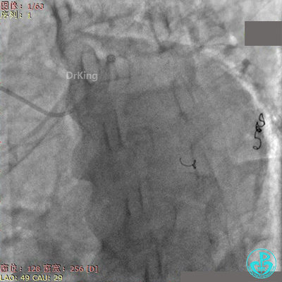
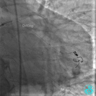
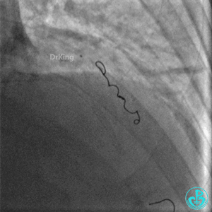
前降支末梢经微导管释放3.0×2.5mm弹簧圈封堵破口。

明胶在血管怎么降解并发症丨前降支CTO同侧逆向开通时侧支血管破裂,弹簧圈联合明胶海绵封堵_https://www.jmylbn.com_新闻资讯_第33张

钝缘支经微导管释放5.0×5.5mm弹簧圈封堵破口。

明胶在血管怎么降解并发症丨前降支CTO同侧逆向开通时侧支血管破裂,弹簧圈联合明胶海绵封堵_https://www.jmylbn.com_新闻资讯_第34张
明胶在血管怎么降解并发症丨前降支CTO同侧逆向开通时侧支血管破裂,弹簧圈联合明胶海绵封堵_https://www.jmylbn.com_新闻资讯_第35张

双向弹簧圈封堵后观察30分钟,病情稳定,渗漏似乎减少,返回病房。

明胶在血管怎么降解并发症丨前降支CTO同侧逆向开通时侧支血管破裂,弹簧圈联合明胶海绵封堵_https://www.jmylbn.com_新闻资讯_第36张
明胶在血管怎么降解并发症丨前降支CTO同侧逆向开通时侧支血管破裂,弹簧圈联合明胶海绵封堵_https://www.jmylbn.com_新闻资讯_第37张

右股动脉封堵器封堵。

明胶在血管怎么降解并发症丨前降支CTO同侧逆向开通时侧支血管破裂,弹簧圈联合明胶海绵封堵_https://www.jmylbn.com_新闻资讯_第38张


病情变化

术后1小时患者诉右侧腰部疼痛、恶心、呕吐。

心率76~130次/分,血压(77~140)/(64~70)mmHg。

查体:腹部肌紧张,右侧穿刺点处有压痛。怀疑发生腹膜后血肿。

心脏超声提示少量心包积液,右下腹局限性液性区,包裹性积血不除外。

明胶在血管怎么降解并发症丨前降支CTO同侧逆向开通时侧支血管破裂,弹簧圈联合明胶海绵封堵_https://www.jmylbn.com_新闻资讯_第39张
明胶在血管怎么降解并发症丨前降支CTO同侧逆向开通时侧支血管破裂,弹簧圈联合明胶海绵封堵_https://www.jmylbn.com_新闻资讯_第40张


第二次上台

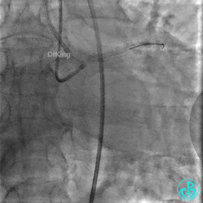
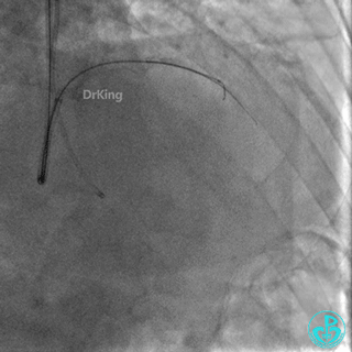
左股入路JR 4.0指引导管翻山造影,右侧股动脉穿刺点局部造影剂外漏。

明胶在血管怎么降解并发症丨前降支CTO同侧逆向开通时侧支血管破裂,弹簧圈联合明胶海绵封堵_https://www.jmylbn.com_新闻资讯_第41张

翻山5.0×8mm球囊局部封堵破口处加术者用手局部压迫。

明胶在血管怎么降解并发症丨前降支CTO同侧逆向开通时侧支血管破裂,弹簧圈联合明胶海绵封堵_https://www.jmylbn.com_新闻资讯_第42张
明胶在血管怎么降解并发症丨前降支CTO同侧逆向开通时侧支血管破裂,弹簧圈联合明胶海绵封堵_https://www.jmylbn.com_新闻资讯_第43张

球囊封堵30分钟后造影,破口局部无渗漏,下台观察。

明胶在血管怎么降解并发症丨前降支CTO同侧逆向开通时侧支血管破裂,弹簧圈联合明胶海绵封堵_https://www.jmylbn.com_新闻资讯_第44张

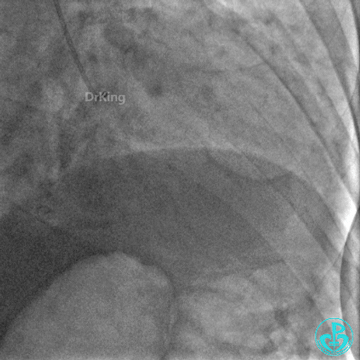
术后患者血压仍偏低,(80~90)/(50~60)mmHg。透视下心包积液似乎有所增多。

明胶在血管怎么降解并发症丨前降支CTO同侧逆向开通时侧支血管破裂,弹簧圈联合明胶海绵封堵_https://www.jmylbn.com_新闻资讯_第45张
明胶在血管怎么降解并发症丨前降支CTO同侧逆向开通时侧支血管破裂,弹簧圈联合明胶海绵封堵_https://www.jmylbn.com_新闻资讯_第46张


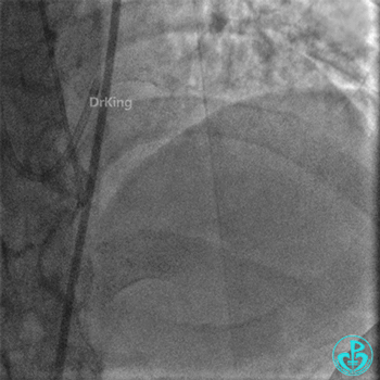
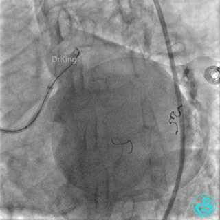
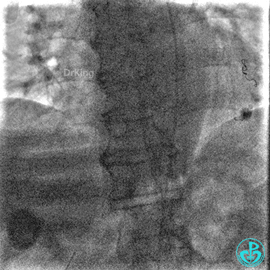
急诊彩超见心包大量积液,积液量较前明显增多。

明胶在血管怎么降解并发症丨前降支CTO同侧逆向开通时侧支血管破裂,弹簧圈联合明胶海绵封堵_https://www.jmylbn.com_新闻资讯_第47张


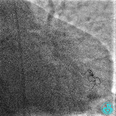
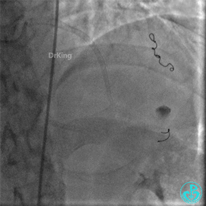
再次上台造影,钝缘支分支远端弹簧圈封堵处仍然有造影剂外漏。

明胶在血管怎么降解并发症丨前降支CTO同侧逆向开通时侧支血管破裂,弹簧圈联合明胶海绵封堵_https://www.jmylbn.com_新闻资讯_第48张
明胶在血管怎么降解并发症丨前降支CTO同侧逆向开通时侧支血管破裂,弹簧圈联合明胶海绵封堵_https://www.jmylbn.com_新闻资讯_第49张

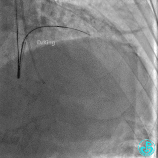
心包穿刺引流。

明胶在血管怎么降解并发症丨前降支CTO同侧逆向开通时侧支血管破裂,弹簧圈联合明胶海绵封堵_https://www.jmylbn.com_新闻资讯_第50张

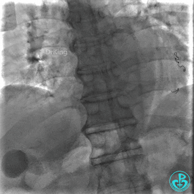
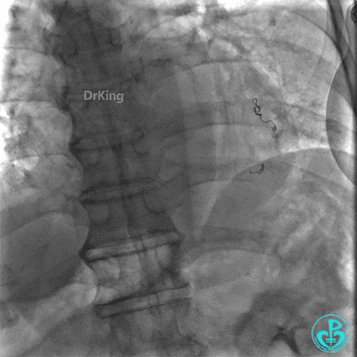
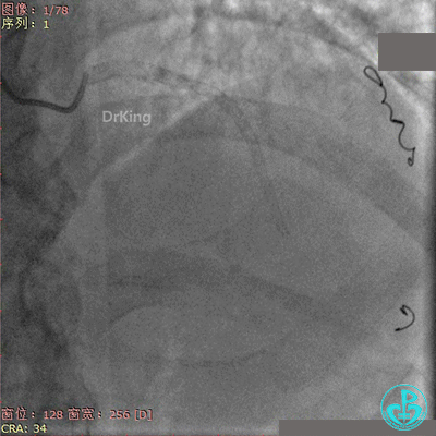
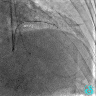
2根导丝进入到钝缘支分支远端,1根导丝送入微导管,另外1根导丝送入2.5×15mm球囊,2.5×15mm球囊远端Marker与微导管齐口(自制OTW球囊),经微导管缓慢推注明胶海绵糊。

明胶在血管怎么降解并发症丨前降支CTO同侧逆向开通时侧支血管破裂,弹簧圈联合明胶海绵封堵_https://www.jmylbn.com_新闻资讯_第51张
明胶在血管怎么降解并发症丨前降支CTO同侧逆向开通时侧支血管破裂,弹簧圈联合明胶海绵封堵_https://www.jmylbn.com_新闻资讯_第52张

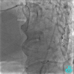
钝缘支分支远端破口完全闭塞。

明胶在血管怎么降解并发症丨前降支CTO同侧逆向开通时侧支血管破裂,弹簧圈联合明胶海绵封堵_https://www.jmylbn.com_新闻资讯_第53张
明胶在血管怎么降解并发症丨前降支CTO同侧逆向开通时侧支血管破裂,弹簧圈联合明胶海绵封堵_https://www.jmylbn.com_新闻资讯_第54张

封堵后观察半小时,患者血压逐步回升,维持在(100~110)/(50~60)mmHg,心率下降至90次/分。

明胶在血管怎么降解并发症丨前降支CTO同侧逆向开通时侧支血管破裂,弹簧圈联合明胶海绵封堵_https://www.jmylbn.com_新闻资讯_第55张
明胶在血管怎么降解并发症丨前降支CTO同侧逆向开通时侧支血管破裂,弹簧圈联合明胶海绵封堵_https://www.jmylbn.com_新闻资讯_第56张


出院随访

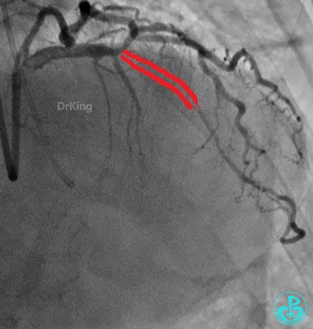
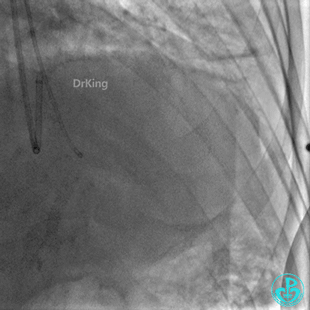
出院后1年复查造影,前降支支架通畅,血流3级。患者无明显胸闷、胸痛、喘憋等症状,日常活动不受限制。

明胶在血管怎么降解并发症丨前降支CTO同侧逆向开通时侧支血管破裂,弹簧圈联合明胶海绵封堵_https://www.jmylbn.com_新闻资讯_第57张
明胶在血管怎么降解并发症丨前降支CTO同侧逆向开通时侧支血管破裂,弹簧圈联合明胶海绵封堵_https://www.jmylbn.com_新闻资讯_第58张



今日

阅读

01-术后死亡丨急性前壁心梗前降支植入支架术后8天患者猝死!

02-左主干末端严重狭窄、钙化,前降支开口刁钻,导丝进入困难时的操作技巧



共享病例 深度学习

声明:本讨论来源于介入并发症群及其版权所有,转载请注明出处(专家姓名+DrKing道金医学)。文内观点针对特定病例,不具备广泛临床指导意义,请勿简单模仿,以免对患者带来负面影响。对于盲目模仿文中方法带来的不良后果,DrKing道金医学不负任何责任。

注意:本病例旨在分享与交流,仅供同道讨论,为保护患者及术者隐私,道金医学在发布时隐去患者及术者相关信息,敬请谅解。

说明:文章中所使用的文字和图片如有侵权请告知,我们会第一时间撤回删除。

本期编辑:道金团队