数字胃肠透视怎么做【先进设备】放射检查的“高清透视镜”:西门子Luminos dRF Max超高端数字胃肠机开启运行

新闻资讯2026-04-21 14:57:57

数字胃肠透视怎么做【先进设备】放射检查的“高清透视镜”:西门子Luminos dRF Max超高端数字胃肠机开启运行_https://www.jmylbn.com_新闻资讯_第1张


❀功能超赞!


该设备属于多功能X线机,除具有传统数字胃肠机所有功能外,还有DR平板探测器X线摄影所有功能,主要用于消化道气钡双重对比造影、全脊柱拼接摄影、全下肢拼接摄影、ERCP、泌尿系造影、“T”管造影、钡剂灌肠、四肢造影、子宫输卵管造影等各类检查,是检查消化道溃疡、肿瘤、异物等疾病的主要方法之一。
数字胃肠透视怎么做【先进设备】放射检查的“高清透视镜”:西门子Luminos dRF Max超高端数字胃肠机开启运行_https://www.jmylbn.com_新闻资讯_第2张


数字胃肠透视怎么做【先进设备】放射检查的“高清透视镜”:西门子Luminos dRF Max超高端数字胃肠机开启运行_https://www.jmylbn.com_新闻资讯_第3张

数字胃肠透视怎么做【先进设备】放射检查的“高清透视镜”:西门子Luminos dRF Max超高端数字胃肠机开启运行_https://www.jmylbn.com_新闻资讯_第2张


数字胃肠透视怎么做【先进设备】放射检查的“高清透视镜”:西门子Luminos dRF Max超高端数字胃肠机开启运行_https://www.jmylbn.com_新闻资讯_第5张

数字胃肠透视怎么做【先进设备】放射检查的“高清透视镜”:西门子Luminos dRF Max超高端数字胃肠机开启运行_https://www.jmylbn.com_新闻资讯_第2张


数字胃肠透视怎么做【先进设备】放射检查的“高清透视镜”:西门子Luminos dRF Max超高端数字胃肠机开启运行_https://www.jmylbn.com_新闻资讯_第7张

数字胃肠透视怎么做【先进设备】放射检查的“高清透视镜”:西门子Luminos dRF Max超高端数字胃肠机开启运行_https://www.jmylbn.com_新闻资讯_第8张


数字胃肠透视怎么做【先进设备】放射检查的“高清透视镜”:西门子Luminos dRF Max超高端数字胃肠机开启运行_https://www.jmylbn.com_新闻资讯_第9张

数字胃肠透视怎么做【先进设备】放射检查的“高清透视镜”:西门子Luminos dRF Max超高端数字胃肠机开启运行_https://www.jmylbn.com_新闻资讯_第10张


数字胃肠透视怎么做【先进设备】放射检查的“高清透视镜”:西门子Luminos dRF Max超高端数字胃肠机开启运行_https://www.jmylbn.com_新闻资讯_第11张

数字胃肠透视怎么做【先进设备】放射检查的“高清透视镜”:西门子Luminos dRF Max超高端数字胃肠机开启运行_https://www.jmylbn.com_新闻资讯_第10张


数字胃肠透视怎么做【先进设备】放射检查的“高清透视镜”:西门子Luminos dRF Max超高端数字胃肠机开启运行_https://www.jmylbn.com_新闻资讯_第13张

数字胃肠透视怎么做【先进设备】放射检查的“高清透视镜”:西门子Luminos dRF Max超高端数字胃肠机开启运行_https://www.jmylbn.com_新闻资讯_第10张


数字胃肠透视怎么做【先进设备】放射检查的“高清透视镜”:西门子Luminos dRF Max超高端数字胃肠机开启运行_https://www.jmylbn.com_新闻资讯_第15张

数字胃肠透视怎么做【先进设备】放射检查的“高清透视镜”:西门子Luminos dRF Max超高端数字胃肠机开启运行_https://www.jmylbn.com_新闻资讯_第10张

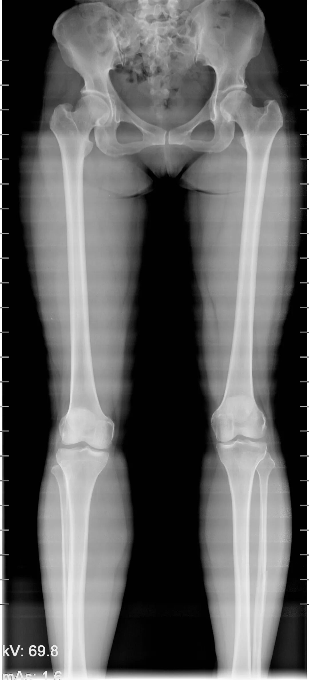
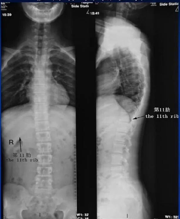
在全脊柱拼接摄影、全下肢拼接摄影方面,亦能弥补其他检查设备的不足。
下图为开展全下肢拼接摄影图像、全脊柱拼接摄影图像


数字胃肠透视怎么做【先进设备】放射检查的“高清透视镜”:西门子Luminos dRF Max超高端数字胃肠机开启运行_https://www.jmylbn.com_新闻资讯_第17张

数字胃肠透视怎么做【先进设备】放射检查的“高清透视镜”:西门子Luminos dRF Max超高端数字胃肠机开启运行_https://www.jmylbn.com_新闻资讯_第18张



❀数字化水平强大!


检查过程中,该设备能根据检查部位不同,调整采像速度,动态观察脏器生理运动是否发生改变,对一些常规造影中所重叠影像进行削减,提高影像质量,并将检查过程中采集的图像,通过数字化处理后让图像更加清晰,并能满足特殊病灶诊断治疗的需要和特殊造影检查,提高诊断准确率,降低误诊率和漏诊率。
在临床方面,强大的图像处理功能可以完成临床各种造影的需求。


数字胃肠透视怎么做【先进设备】放射检查的“高清透视镜”:西门子Luminos dRF Max超高端数字胃肠机开启运行_https://www.jmylbn.com_新闻资讯_第19张

众所周知,对于胃肠疾病来说,最基本的还是X线检查。随着近几年平板数字胃肠机的出现,对胃肠疾病的诊断越来越准确。结合临床实践,平板胃肠机在胃肠道疾病筛查中有以下四大优点:

一是能动态观察;

二是对功能器质性病变诊断精确;

三是观察范围广盲区减少;

四是检查痛苦小适合筛查。


除上述四大优点外,图像质量更好、操作更加简便、辐射剂量更低、图像后处理更迅速。可以连续进行观察,1秒内可以获得多幅高清图像,高度契合临床的工作需要,使影像成像技术和影像诊断迈上了新的台阶。


联系电话:3130599

文    字:梁艳宁 孙晓坤

图    片:梁艳宁

编    辑:梁艳宁

编    审:赵哲华  高    明

数字胃肠透视怎么做【先进设备】放射检查的“高清透视镜”:西门子Luminos dRF Max超高端数字胃肠机开启运行_https://www.jmylbn.com_新闻资讯_第20张

医院地址:辽宁省葫芦岛市龙港区海滨南路50号

乘车路线:1路、11路、17路、19路、旅游专线公交车直达龙湾海滨即可

联系我们

0429-3130555  医院门诊部

0429-3130313  医院急诊科

   0429-3130600  医院总值班室

   抖音ID:313_YY

数字胃肠透视怎么做【先进设备】放射检查的“高清透视镜”:西门子Luminos dRF Max超高端数字胃肠机开启运行_https://www.jmylbn.com_新闻资讯_第21张