数字胃肠透视怎么做【新设备】数字胃肠机——全能型检查小助手

新闻资讯2026-04-21 14:57:59

数字胃肠透视怎么做【新设备】数字胃肠机——全能型检查小助手_https://www.jmylbn.com_新闻资讯_第1张

为更好地满足广大人民群众的医疗服务需求,腾冲市人民医院在积极开展新技术、新项目的基础上,引进了最新一代的普爱数字胃肠机。

数字胃肠透视怎么做【新设备】数字胃肠机——全能型检查小助手_https://www.jmylbn.com_新闻资讯_第2张


数字胃肠机不单单可以进行胃肠道检查,还可以用于多系统的造影检查,而且在提高患者舒适度和降低辐射风险方面也做出了显著贡献。与传统的X线透视仪相比,数字化胃肠机在图像质量、检查速度、降低辐射剂量上都有显著提升,极大地提高了临床诊断的准确性和效率。还可以对全身除心脏外的所有脏器做造影检查,检查范围和类型比普通的胃肠机更齐全。


数字胃肠透视怎么做【新设备】数字胃肠机——全能型检查小助手_https://www.jmylbn.com_新闻资讯_第3张

数字胃肠机检查范围


一、消化道对比造影

包括食道钡剂造影、上消化道气钡剂双重造影、全消化道钡剂灌肠等。这些检查对于发现消化道肿瘤、溃疡和其他病变特别有价值。另外胃下垂的病人,表现为胃在腹腔位置低于正常标准,这些是胃镜容易误诊或不可能发现的。尤其是胃下垂的诊断,无论是CT、核磁、胃镜等,都不能替代胃肠造影检查。

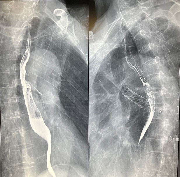
(一)食道钡剂造影
数字胃肠透视怎么做【新设备】数字胃肠机——全能型检查小助手_https://www.jmylbn.com_新闻资讯_第4张


(二)胃全景、胃小沟与胃小区局部放大精细数字图像
数字胃肠透视怎么做【新设备】数字胃肠机——全能型检查小助手_https://www.jmylbn.com_新闻资讯_第5张
数字胃肠透视怎么做【新设备】数字胃肠机——全能型检查小助手_https://www.jmylbn.com_新闻资讯_第6张
数字胃肠透视怎么做【新设备】数字胃肠机——全能型检查小助手_https://www.jmylbn.com_新闻资讯_第7张
(三)下消化道造影
用于直肠、结肠及回盲部病变的造影诊断(气钡剂双重造影)。
数字胃肠透视怎么做【新设备】数字胃肠机——全能型检查小助手_https://www.jmylbn.com_新闻资讯_第8张


二、特殊检查
包括静脉肾盂造影、逆行肾输尿管造影、子宫输卵管造影、瘘管及窦道造影。
数字胃肠透视怎么做【新设备】数字胃肠机——全能型检查小助手_https://www.jmylbn.com_新闻资讯_第9张
数字胃肠透视怎么做【新设备】数字胃肠机——全能型检查小助手_https://www.jmylbn.com_新闻资讯_第10张
数字胃肠透视怎么做【新设备】数字胃肠机——全能型检查小助手_https://www.jmylbn.com_新闻资讯_第11张
数字胃肠透视怎么做【新设备】数字胃肠机——全能型检查小助手_https://www.jmylbn.com_新闻资讯_第12张


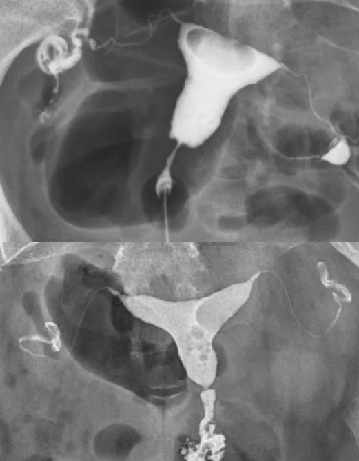
三、介入诊疗
如胆道造影、T管造影、ERCP,支持简单的介入治疗。
数字胃肠透视怎么做【新设备】数字胃肠机——全能型检查小助手_https://www.jmylbn.com_新闻资讯_第13张
四、脊柱全长摄影及双下肢全长摄影
对脊柱侧弯、髋关节置换、膝关节置换给予全面、直观的影像资料。
数字胃肠透视怎么做【新设备】数字胃肠机——全能型检查小助手_https://www.jmylbn.com_新闻资讯_第14张

五、透视下定位和取异物
X线引导下的各种手术,进行关节复位、骨折后钢针内固定,取异物等,避免了盲目操作,保证手术及时、准确的完成。 
六、人体各部位和各体位的透视及摄影检查。

数字胃肠透视怎么做【新设备】数字胃肠机——全能型检查小助手_https://www.jmylbn.com_新闻资讯_第15张

数字胃肠机优点


高清晰度图像:数字化胃肠机提供高分辨率图像,使医生能清晰地观察到细微病变,提高诊断准确率。

动态采像功能:能够实时动态观察脏器的生理运动,并采集图像,诊断医生可回放造影过程,有助于发现功能性病变。

降低辐射风险:相较于传统设备,数字化胃肠机的辐射剂量显著降低,更安全。

数字减影技术:能有效削减重叠影像,提高影像质量,减少误诊和漏诊率。

患者舒适度增强:操作简便,减轻患者心理负担,尤其适合不能接受腔镜检查的老弱病人。

数字胃肠机不仅在技术上代表了医学影像领域的一个重要进步,更在临床应用上展现了其不可替代的价值。它的高清晰度、动态采像、低辐射和多样化的应用,使得胃肠道疾病的诊断更为准确、快速和安全。未来随着技术的不断进步和普及,数字化胃肠机将在医疗健康领域发挥更大的作用。

供稿:医学影像科  徐蓉

编辑:杨楠

审核:毕贵秋

数字胃肠透视怎么做【新设备】数字胃肠机——全能型检查小助手_https://www.jmylbn.com_新闻资讯_第16张


数字胃肠透视怎么做【新设备】数字胃肠机——全能型检查小助手_https://www.jmylbn.com_新闻资讯_第17张

数字胃肠透视怎么做【新设备】数字胃肠机——全能型检查小助手_https://www.jmylbn.com_新闻资讯_第18张

数字胃肠透视怎么做【新设备】数字胃肠机——全能型检查小助手_https://www.jmylbn.com_新闻资讯_第19张

数字胃肠透视怎么做【新设备】数字胃肠机——全能型检查小助手_https://www.jmylbn.com_新闻资讯_第20张

数字胃肠透视怎么做【新设备】数字胃肠机——全能型检查小助手_https://www.jmylbn.com_新闻资讯_第21张

数字胃肠透视怎么做【新设备】数字胃肠机——全能型检查小助手_https://www.jmylbn.com_新闻资讯_第22张