数字胃肠透视怎么做【三级医院创建 • 技术装备提升】数字胃肠检查,让胃肠疾病无处隐藏——我院引进多功能数字透视摄影系统

新闻资讯2026-04-21 14:57:56
数字胃肠透视怎么做【三级医院创建 • 技术装备提升】数字胃肠检查,让胃肠疾病无处隐藏——我院引进多功能数字透视摄影系统_https://www.jmylbn.com_新闻资讯_第1张



三级医院创建技术装备提


导语

为推进高水平医院建设,更好地满足广大人民群众的医疗服务需求,近年来,西乡县人民医院坚持以患者为中心,以创建三级医院为抓手,不断加强人才队伍、学科能力建设,在积极开展新技术、新项目的基础上,大力引进先进的医疗设备,使我院医疗诊断水平又迈上了新的台阶。

数字胃肠检查,

让胃肠疾病无处隐藏

——我院引进日本岛津Neo-Vision

多功能数字透视摄影系统

数字胃肠透视怎么做【三级医院创建 • 技术装备提升】数字胃肠检查,让胃肠疾病无处隐藏——我院引进多功能数字透视摄影系统_https://www.jmylbn.com_新闻资讯_第2张

现代社会,不良的作息方式和饮食习惯增加了患胃肠道疾病的风险,肠胃病已然成为影响国民健康的第一大疾病,保护胃肠健康刻不容缓。

胃肠道疾病除了胃肠镜检查,还可以利用多功能数字胃肠机来进行检查。特别是儿童老年人等不适合做胃肠镜检查的患者,数字胃肠机检查是首选的检查手段

我院最新引进的日本岛津Neo-Vision多功能多功能数字透视摄影系统(多功能数字胃肠机),是日本岛津研发的最新顶尖产品,是目前省内最先进的X线造影设备,具有辐射剂量低图像清晰临床功能丰富等特点。设备配置灵活,性能卓越,一机多能,可实现普放应用的多种功能。

数字胃肠透视怎么做【三级医院创建 • 技术装备提升】数字胃肠检查,让胃肠疾病无处隐藏——我院引进多功能数字透视摄影系统_https://www.jmylbn.com_新闻资讯_第3张
数字胃肠透视怎么做【三级医院创建 • 技术装备提升】数字胃肠检查,让胃肠疾病无处隐藏——我院引进多功能数字透视摄影系统_https://www.jmylbn.com_新闻资讯_第4张


科 普 时 间

日本岛津Neo-Vision

多功能数字透视摄影系统

数字胃肠透视怎么做【三级医院创建 • 技术装备提升】数字胃肠检查,让胃肠疾病无处隐藏——我院引进多功能数字透视摄影系统_https://www.jmylbn.com_新闻资讯_第2张

应用领域

消化系统:

数字胃肠透视怎么做【三级医院创建 • 技术装备提升】数字胃肠检查,让胃肠疾病无处隐藏——我院引进多功能数字透视摄影系统_https://www.jmylbn.com_新闻资讯_第6张

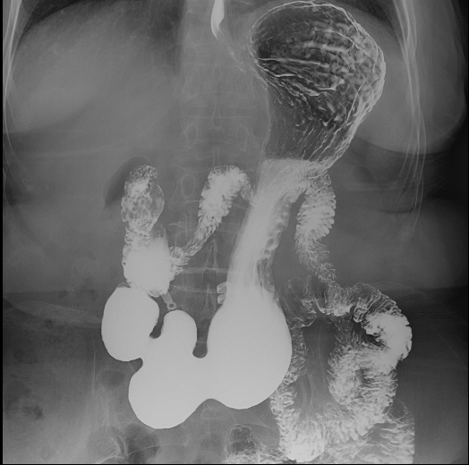
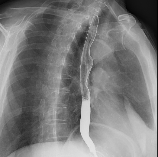
食道长轴、胃全景、胃小沟与胃小区局部放大精细数字图像、下消化道全景等;

获得即时腹部平片全数字成像;

数字胃肠透视怎么做【三级医院创建 • 技术装备提升】数字胃肠检查,让胃肠疾病无处隐藏——我院引进多功能数字透视摄影系统_https://www.jmylbn.com_新闻资讯_第7张
数字胃肠透视怎么做【三级医院创建 • 技术装备提升】数字胃肠检查,让胃肠疾病无处隐藏——我院引进多功能数字透视摄影系统_https://www.jmylbn.com_新闻资讯_第8张

食道造影


数字胃肠透视怎么做【三级医院创建 • 技术装备提升】数字胃肠检查,让胃肠疾病无处隐藏——我院引进多功能数字透视摄影系统_https://www.jmylbn.com_新闻资讯_第9张
数字胃肠透视怎么做【三级医院创建 • 技术装备提升】数字胃肠检查,让胃肠疾病无处隐藏——我院引进多功能数字透视摄影系统_https://www.jmylbn.com_新闻资讯_第10张
数字胃肠透视怎么做【三级医院创建 • 技术装备提升】数字胃肠检查,让胃肠疾病无处隐藏——我院引进多功能数字透视摄影系统_https://www.jmylbn.com_新闻资讯_第11张
数字胃肠透视怎么做【三级医院创建 • 技术装备提升】数字胃肠检查,让胃肠疾病无处隐藏——我院引进多功能数字透视摄影系统_https://www.jmylbn.com_新闻资讯_第12张

胃肠造影


数字胃肠透视怎么做【三级医院创建 • 技术装备提升】数字胃肠检查,让胃肠疾病无处隐藏——我院引进多功能数字透视摄影系统_https://www.jmylbn.com_新闻资讯_第13张

肠道气钡双重造影


泌尿系统:

数字胃肠透视怎么做【三级医院创建 • 技术装备提升】数字胃肠检查,让胃肠疾病无处隐藏——我院引进多功能数字透视摄影系统_https://www.jmylbn.com_新闻资讯_第6张

IVP直接数字整体成像,可直接观察泌尿全景;


呼吸系统:

数字胃肠透视怎么做【三级医院创建 • 技术装备提升】数字胃肠检查,让胃肠疾病无处隐藏——我院引进多功能数字透视摄影系统_https://www.jmylbn.com_新闻资讯_第6张

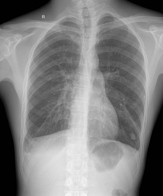
既可胸部DR也可在透视下直接胸部数字点片;

数字胃肠透视怎么做【三级医院创建 • 技术装备提升】数字胃肠检查,让胃肠疾病无处隐藏——我院引进多功能数字透视摄影系统_https://www.jmylbn.com_新闻资讯_第16张

骨科:

数字胃肠透视怎么做【三级医院创建 • 技术装备提升】数字胃肠检查,让胃肠疾病无处隐藏——我院引进多功能数字透视摄影系统_https://www.jmylbn.com_新闻资讯_第6张

高清晰度骨骼成像、关节成像、长轴成像(整体愈合后的判断);

数字胃肠透视怎么做【三级医院创建 • 技术装备提升】数字胃肠检查,让胃肠疾病无处隐藏——我院引进多功能数字透视摄影系统_https://www.jmylbn.com_新闻资讯_第18张

神经系统:

数字胃肠透视怎么做【三级医院创建 • 技术装备提升】数字胃肠检查,让胃肠疾病无处隐藏——我院引进多功能数字透视摄影系统_https://www.jmylbn.com_新闻资讯_第6张

颅体内耳、颞骨、副鼻窦细微成像;

免疫内分泌系统:

数字胃肠透视怎么做【三级医院创建 • 技术装备提升】数字胃肠检查,让胃肠疾病无处隐藏——我院引进多功能数字透视摄影系统_https://www.jmylbn.com_新闻资讯_第6张

更精细的图像效果直接观察痛风、类风湿骨关节的病变;

特殊造影:

数字胃肠透视怎么做【三级医院创建 • 技术装备提升】数字胃肠检查,让胃肠疾病无处隐藏——我院引进多功能数字透视摄影系统_https://www.jmylbn.com_新闻资讯_第6张

脊髓腔、涎管、子宫输卵管等;

急诊:

数字胃肠透视怎么做【三级医院创建 • 技术装备提升】数字胃肠检查,让胃肠疾病无处隐藏——我院引进多功能数字透视摄影系统_https://www.jmylbn.com_新闻资讯_第6张

快速成像、透视下快速定位;

摄影:

数字胃肠透视怎么做【三级医院创建 • 技术装备提升】数字胃肠检查,让胃肠疾病无处隐藏——我院引进多功能数字透视摄影系统_https://www.jmylbn.com_新闻资讯_第6张

支持全身各解剖部位数字摄影。

数字胃肠透视怎么做【三级医院创建 • 技术装备提升】数字胃肠检查,让胃肠疾病无处隐藏——我院引进多功能数字透视摄影系统_https://www.jmylbn.com_新闻资讯_第2张




数字胃肠透视怎么做【三级医院创建 • 技术装备提升】数字胃肠检查,让胃肠疾病无处隐藏——我院引进多功能数字透视摄影系统_https://www.jmylbn.com_新闻资讯_第2张

适应症及适用人群

日本岛津多功能数字胃肠机适用于:消化道造影、肾盂造影、T管造影、经内镜逆行胰胆管造影术等。

所采集的数字图像分辨率高,对一些细微结构,如胃小区,显示的更加清晰、细致。该设备能动态观察并采集图像,诊断医生可回放造影过程,为发现细微病变、早期病变提供了重要、丰富的影像信息。由于该设备主要用干造影,以平床操作为主,具有升降功能、倾斜功能、容易操作,检查便捷。

数字胃肠透视怎么做【三级医院创建 • 技术装备提升】数字胃肠检查,让胃肠疾病无处隐藏——我院引进多功能数字透视摄影系统_https://www.jmylbn.com_新闻资讯_第26张

适用人群

无痛胃肠道疾病检查、食管胃底静脉曲张、胃下垂,便秘原因排查、胆道疾病,瘘管窦道造影、适宜非血管介入治疗、下肢静脉造影、妇科输卵管疾病的诊断、脊柱侧弯、四肢长骨矫形正畸等人群。

数字胃肠透视怎么做【三级医院创建 • 技术装备提升】数字胃肠检查,让胃肠疾病无处隐藏——我院引进多功能数字透视摄影系统_https://www.jmylbn.com_新闻资讯_第2张




数字胃肠透视怎么做【三级医院创建 • 技术装备提升】数字胃肠检查,让胃肠疾病无处隐藏——我院引进多功能数字透视摄影系统_https://www.jmylbn.com_新闻资讯_第2张

检查注意事项

1、上消化道造影检查:检查前禁食禁水4-6小时,24小时内禁口服药物,一般是清晨空腹即可。结肠造影应行清洁灌肠。

2、胆道造影检查(T管造影为主):做检查前做好碘过敏试验

数字胃肠透视怎么做【三级医院创建 • 技术装备提升】数字胃肠检查,让胃肠疾病无处隐藏——我院引进多功能数字透视摄影系统_https://www.jmylbn.com_新闻资讯_第29张

3、泌尿系统检查:首先都要做胃肠道准备(检查前1~2日口服轻泻剂如番泻叶,未服药者检查行清洁灌肠,检查当天空腹并禁水,24小时内禁口服药物),并做好碘过敏试验,阳性者一般不做此类检查。

数字胃肠透视怎么做【三级医院创建 • 技术装备提升】数字胃肠检查,让胃肠疾病无处隐藏——我院引进多功能数字透视摄影系统_https://www.jmylbn.com_新闻资讯_第30张

4、为防止异物形成的伪影干扰影像学检查的结果,检查时最好穿不带橡筋、印花、金属花饰等衣物,请务必在检查前取下身上配件,如首饰、手机、硬币、金属纽扣拉链、膏药贴等。女性应去除内衣

数字胃肠透视怎么做【三级医院创建 • 技术装备提升】数字胃肠检查,让胃肠疾病无处隐藏——我院引进多功能数字透视摄影系统_https://www.jmylbn.com_新闻资讯_第2张




数字胃肠透视怎么做【三级医院创建 • 技术装备提升】数字胃肠检查,让胃肠疾病无处隐藏——我院引进多功能数字透视摄影系统_https://www.jmylbn.com_新闻资讯_第32张

检查禁忌症

1、 急性消化道穿孔

2、急性消化道出血(呕血、黑便)

3、急性肠梗阻

4、孕妇

5、身体状况极差,亦慎重考虑


数字胃肠透视怎么做【三级医院创建 • 技术装备提升】数字胃肠检查,让胃肠疾病无处隐藏——我院引进多功能数字透视摄影系统_https://www.jmylbn.com_新闻资讯_第2张


地址:

西乡县人民医院新院区

门诊一楼影像中心


咨询电话:

0916-6324311




数字胃肠透视怎么做【三级医院创建 • 技术装备提升】数字胃肠检查,让胃肠疾病无处隐藏——我院引进多功能数字透视摄影系统_https://www.jmylbn.com_新闻资讯_第34张

往期回顾

1、【三级医院创建 • 装备提升】西乡县人民医院引进“读心神探”——飞利浦EPIQ CVx彩色超声诊断系统

2、【三级医院创建 • 装备提升】治疗眩晕有“神器”——西乡县人民医院引进国内先进眩晕诊疗系统

3、【三级医院创建•技术装备提升】显微镜下胃肠镜检查,让早癌无处可逃——我院引进奥林巴斯290电子消化道内镜诊疗系统

4、【三级医院创建•技术装备提升】助力疾病精准诊断——我院引进高端基因检测平台DP-TOF384飞行时间核酸质谱检测系统

5、【三级医院创建 • 技术装备提升】我院引进全球顶尖CT“重器”——原装进口德国西门子双源CT

6、【公告】 西乡县人民医院新院区妇产科、新生儿科病区开诊啦!

7、趁热打 “贴”!西乡县人民医院成人三伏贴、儿童三伏贴开始预约啦!


数字胃肠透视怎么做【三级医院创建 • 技术装备提升】数字胃肠检查,让胃肠疾病无处隐藏——我院引进多功能数字透视摄影系统_https://www.jmylbn.com_新闻资讯_第35张

来       源:宣传科

编       辑:王思睿

责       编:田   芳

审       核:肖   勇

数字胃肠透视怎么做【三级医院创建 • 技术装备提升】数字胃肠检查,让胃肠疾病无处隐藏——我院引进多功能数字透视摄影系统_https://www.jmylbn.com_新闻资讯_第36张
数字胃肠透视怎么做【三级医院创建 • 技术装备提升】数字胃肠检查,让胃肠疾病无处隐藏——我院引进多功能数字透视摄影系统_https://www.jmylbn.com_新闻资讯_第37张

西乡人民医院微信公众号

数字胃肠透视怎么做【三级医院创建 • 技术装备提升】数字胃肠检查,让胃肠疾病无处隐藏——我院引进多功能数字透视摄影系统_https://www.jmylbn.com_新闻资讯_第38张

西乡人民医院视频号

数字胃肠透视怎么做【三级医院创建 • 技术装备提升】数字胃肠检查,让胃肠疾病无处隐藏——我院引进多功能数字透视摄影系统_https://www.jmylbn.com_新闻资讯_第39张

扫二维码关注我们

觉得好看,请点这里👇