手术膜怎么用手术视频丨YAMANE式后房型人工晶状体巩膜层间固定术的改良与应用

新闻资讯2026-04-21 14:05:36
手术膜怎么用手术视频丨YAMANE式后房型人工晶状体巩膜层间固定术的改良与应用_https://www.jmylbn.com_新闻资讯_第1张

手术膜怎么用手术视频丨YAMANE式后房型人工晶状体巩膜层间固定术的改良与应用_https://www.jmylbn.com_新闻资讯_第2张

本文由眼科学术平台特约授权中国眼科网信息平台发布

本文作者: 姜惠,范玮

版权归原作者所有 转载须得授权


YAMANE式后房型人工晶状体巩膜层间固定术的改良与应用

DOI:10.12419/j.issn.1000-4432.2023.02.06

姜惠,范玮

(四川大学华西医院,成都 610041)


手术膜怎么用手术视频丨YAMANE式后房型人工晶状体巩膜层间固定术的改良与应用_https://www.jmylbn.com_新闻资讯_第3张
手术视频

摘 要

      YAMANE式后房型人工晶状体巩膜层间固定术是近年出现的一种人工晶状体悬吊术式。该文介绍了笔者结合实际条件对其改良后的手术步骤,手术关键点及使用经验。在缺乏足够囊膜支撑的条件下,此手术方式微创、安全、有效,术后恢复快。在随访期间(最长5年),视力稳定,未出现人工晶状体脱位、移位、倾斜,人工晶状体夹持及人工晶状体襻暴露等并发症,值得临床推广应用。





研究背景


    后房型人工晶状体(intraocular lens,IOL)巩膜固定术,是缺乏晶状体囊膜支撑时IOL植入的重要手术方式之一。相较于前房型IOL和虹膜固定IOL植入术,后房型IOL巩膜固定术不需要特殊设计的IOL,IOL光学部更接近晶状体生理位置,并发症相对更少。2017年Yamane等[1]报道了双针技术辅助操作的后房型IOL巩膜层间固定手术,此手术方式无需纤维蛋白生物凝胶或缝线辅助固定IOL襻,避免了生物凝胶及缝线相关的并发症。手术主要利用两个30 G的注射针头分别制作巩膜隧道,双手同时将对接固定的IOL襻沿隧道牵引出眼球外,并且在IOL襻末端作“凸缘(flange)”固定于巩膜层间。此手术报道后,受到众多眼科医生的关注。在此,笔者以无囊膜支撑的无晶状体眼为例,就其手术改良方法和手术关键点作详细报告。


1

临床资料

手术膜怎么用手术视频丨YAMANE式后房型人工晶状体巩膜层间固定术的改良与应用_https://www.jmylbn.com_新闻资讯_第4张

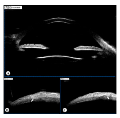
    患者,男性,73岁,“左眼因外伤行晶状体摘除术后4月余”于2019年07月22日就诊,拟行二期IOL植入术。入院前4月余,患者因左眼钝伤导致“左眼晶状体半脱位、左眼视网膜脱离”在我院行“左眼玻璃体切除+脱位晶状体切除+视网膜脱离修复术”,术后视网膜伏贴良好。无特殊既往病史。入院诊断为:1)左眼无晶体眼;2)左眼视网膜脱离修复术后。入院检查:VOD 1.0,VOS 0.02,矫正视力1.0(+9.50DS/−1.25DC×90°),双眼眼压正常。右眼未见异常;左眼角膜透明,瞳孔圆,直径约4 mm,虹膜震颤,晶状体缺如;散瞳检查:无晶状体囊膜残留,视网膜贴伏。左眼眼轴长度23.56 mm,角膜内皮细胞密度为1684.3 /mm2。顺利行“左眼改良YAMANE式后房型IOL巩膜固定术”[Sensar AR40(Johnson & Johnson),22.0D, SRK/T公式,预留目标屈光度− 0.33D]。术后第一天,裸眼视力0.7,眼压11.9 mmHg(1mmHg=0.133 kPa),IOL位正。术后5个月,裸眼视力0.8,矫正视力0.9(+0.50 DS/ − 1.50DC×90°),眼压13.3 mmHg,角膜内皮细胞密度 1644.4 /mm2;IOL位正(图1A),其襻在巩膜层间固定良好(图1B~C)。随访期间视力稳定,无IOL移位、偏心、脱位及襻暴露等并发症。


手术膜怎么用手术视频丨YAMANE式后房型人工晶状体巩膜层间固定术的改良与应用_https://www.jmylbn.com_新闻资讯_第5张

图 1 改良 YAMANE 式后房型 IOL 植入术后

Figure 1 The position of IOL following the scleral fixation of posterior chamber intraocular lens using the modified YAMANE’s technique

(A) 超声生物显微镜检查 IOL 在眼内位正,无明显倾斜;(B~C) IOL 襻 ( 白色箭头 ) 在巩膜隧道内固定。

(A) Under ultrasound biomicroscopy, the IOL showed well centered without obvious tilt. (B&C) The IOL haptics (white arrow) were fixed in the scleral tunnel.


2

手术步骤及关键点

手术膜怎么用手术视频丨YAMANE式后房型人工晶状体巩膜层间固定术的改良与应用_https://www.jmylbn.com_新闻资讯_第6张

    手术需要的主要器械为白内障显微手术常规器械。此外,还有25 G注射器针头(BD PrecisionGlideTM Needle 25G 5/8″)(图2),25G revolution末端抓持镊(Alcon Grieshaber AG)。


手术膜怎么用手术视频丨YAMANE式后房型人工晶状体巩膜层间固定术的改良与应用_https://www.jmylbn.com_新闻资讯_第7张

图 2 25G 注射器针头

Figure 2 25-gauge needle


    主要手术步骤(图3):首先,于6~7点钟处建立玻璃体腔(或前房)灌注通道,以维持稳定的眼内压(图3A);于 11钟点位作2.75 mm透明角膜主切口,前房内植入IOL前襻(第一只襻)及其光学部,保持IOL后襻(第二只襻)在主切口外;在2点钟位,25 G的注射针头在距离角巩膜缘2.0 mm处,经结膜穿刺入巩膜层间,作长度为2 mm左右的巩膜隧道后进入眼内(图3B);经10点位的角膜辅助切口(0.5~1.0mm),借助25G revolution末端抓持镊将眼内的IOL襻与25G针腔对接后牵引出眼球外,使用低温电凝器烧灼襻末端作凸缘结构;然后,在8点钟处按照同样方式将第二只襻牵引出眼球外(图3C、D),作末端凸缘结构(图3E);然后,调整好IOL光学部位置,将IOL襻末端完全退回巩膜隧道外口内(图3F)(此步也可“修剪”襻长度,以保持光学部居中);最后,清除前房内玻璃体及粘弹剂,缩瞳,水密切口,调整眼压,抗生素眼膏敷料遮盖术眼,结束手术[2]


手术膜怎么用手术视频丨YAMANE式后房型人工晶状体巩膜层间固定术的改良与应用_https://www.jmylbn.com_新闻资讯_第8张

图 3 手术方法及步骤

Figure 3 Screenshots of surgical video showing the procedure of the modified YAMANE’s technique for posterior chamber intraocular lens intrascleral fixation

(A) 术眼常规散瞳,眼表及球后麻醉后建立玻璃体腔灌注通道 ;(B) 在角膜缘 2 点位及 8 点位处作标记,将 IOL 光学部及其中一只襻植入前房,保持另一只襻在前房外;于 2 点位距角膜缘 2.0 mm 处用 25G 注射针头作巩膜层间隧道后进入眼内;在视网膜镊辅助下将前房内第一只襻插入 25G 针腔内 , 然后缓慢牵引至巩膜表面;(C) 使用眼科止血器在 IOL襻末端低温烧灼制作铆钉状凸缘,并维持在原位;(D) 用视网膜膜镊将 IOL 第二只襻植入前房内,将其插入 8 点位经巩膜隧道进入眼内的 25G 针腔内,牵引至巩膜表面;(E):同法在 IOL 襻末端制作铆钉状凸缘,将两只 IOL 襻包括铆钉状凸缘部分,完全退回巩膜隧道内,调整 IOL 位置居中;(F):整复瞳孔,关闭角膜切口。(G) 手术切口及 IOL 襻在眼内的位置示意图。*:该侧切口位置与主切口夹角可设为 30°~45°。

手术视频链接:

http://journal.gzzoc.com/ykxb/Stage/ArticleShow.aspx?AID=1120

(A) Mydriasis was performed, and perfusion channels were established under topical and retrobulbar anesthesia. 

(B) the corneal limbus was marked at 2 and 8 o'clock, the optic and the leading haptic of the IOL was implanted into the anterior chamber, while the trailing haptic was kept outside. A 25-gauge needle was used to create an angled sclerotomy through the conjunctiva at 2 o'clock, 2.0 mm away from the corneal limbus. The leading haptic was introduced into the lumen of the needle using forceps and externalized onto the conjunctiva. 

(C) The end of the haptic was cauterized using an ophthalmic cautery device to make a flange.

(D) At 8 o'clock, the same procedure was performed and the trailing haptic was externalized and cauterized. 

(E) The flange of the haptics was pushed back and fixed into the scleral tunnels. 

(F) Rehabilitate the pupil and close the corneal incision. 

(G) Schematic of surgical incisions and IOL haptics in the eye. *: The angle between the side and the main incision can be set to 30°~ 45°.

The link for surgical video is:

http://journal.gzzoc.com/ykxb/Stage/ArticleShow.aspx?AID=1120


    手术关键点:1)散瞳准备:瞳孔不宜过大,约6 mm最佳,周边虹膜可临时支持IOL襻在前房内,避免IOL下沉至玻璃体腔;2)穿刺针头及IOL的选择:术前确保用于巩膜隧道穿刺的针头内径与IOL襻直径相匹配(本文中25G针头内径0.25 mm,Sensar IOL襻直径0.15mm),三片式IOL襻可以烧灼制作成形的凸缘结构;3)巩膜隧道:两穿刺点需对称,在巩膜上呈180°角(图3G),常位于2点及8点位,避开3点及9点位睫状前动脉及睫状神经走行的部位[3]。穿刺点距离角膜缘2.0 mm,巩膜隧道长度至少2 mm;4)分次将IOL襻牵引处眼球外,避免第一只襻在对接后意外滑脱,这对前节手术医生而言,操作更安全。5)手术最难点在于第二只襻的对接和引出:第一只襻引出后,第二只襻和25G针头的方向几乎成90°,导致襻和针腔对接非常困难,手术视频详细展示了IOL第二只襻的特殊对接技巧:首先镊子辅助调整IOL襻末端与25G针头尖端内壁垂直,而后将IOL襻顺着内壁滑入针腔内对接固定;6)襻末端凸缘完全退回至巩膜穿刺口内,避免术后渗漏,襻末端暴露甚至眼内外沟通,眼内炎等严重并发症。


3

讨论

手术膜怎么用手术视频丨YAMANE式后房型人工晶状体巩膜层间固定术的改良与应用_https://www.jmylbn.com_新闻资讯_第4张

    巩膜主要由Ⅰ型胶原纤维和Ⅲ型胶原纤维组成,质地坚韧[4]。巩膜内血管和神经较少,代谢缓慢,一般不易发病。YAMANE式后房型IOL巩膜层间无缝线固定术,采用30G TSK超薄壁针头(Tochigi Seiko)作巩膜隧道,在术中双手配合同时牵引两只IOL襻出眼球,最后固定于巩膜隧道内。此手术可以避免线结暴露、缝线断裂等并发症,也无需使用生物纤维蛋白凝胶。初学者有一定的学习曲线,一旦掌握手术技巧后,耗时短、创伤小,患者术后视力恢复快、并发症少、IOL居中稳定[5-6]。Mustafi等[7]也观察了27例患者在术后1个月内视力明显改善,术后1年视力稳定。

    笔者既往对改良手术的初始经验及要点进行了总结 [2,8]。随着病例数量的增加及随访时间延长,在此我们提出更加完善和详细的手术改良要点及优势总结:1)25G的注射针头代替30G TSK超薄壁针头。25G针头在手术室更常见,易获取。但其针腔外径(约0.5 mm)较30G薄壁针头外径更大(约0.3 mm),所以特别强调确保巩膜隧道的长度≥2 mm,并且襻末端必须回退到巩膜隧道外口内,这样不仅可以防止术后隧道渗漏、低眼压,也可以更加稳定地固定IOL(“平面式固定”而非“两点一线式”固定);2)角膜切口布局的设计(图3G),有助于降低IOL襻对接难度。对于初学者,术中可借助25G抓持镊完成两只IOL襻对接。角膜侧切口的位置可能局限镊子在眼内的操作空间及角度,建议巩膜隧道穿刺口和角膜切口选择以下位置参数:巩膜穿刺点相距180°,位于2点和8点方位,透明角膜主切口以11点为中心,辅助前襻对接的角膜侧切口与主切口呈30~45°夹角,辅助第二只襻对接的角膜侧切口与主切口呈约60°夹角;3)确保巩膜隧道的对称性:IOL光学部在眼内维持居中性及稳定性需要IOL襻在鼻、颞侧巩膜隧道内对称固定。Sensar AR40 IOL的全长为13 mm或13.5 mm。术中可以根据眼轴长度、角膜直径(白对白)参数进行优化调整巩膜隧道距离角巩膜缘距离(1.5~2.0 mm),在目标穿刺点标记后行隧道穿刺。借助超声生物显微镜和眼前节光学相干断层扫描不仅可以测量IOL光学部倾斜度,还可对IOL襻在巩膜层间的位置进行量化的定位分析[8-11]。Yamane报道术后IOL倾斜度为(3.4±2.5)°,本研究测得术后IOL倾斜度为(3.28±3.00)°,所有襻在鼻、颞侧巩膜隧道内固定稳定且对称[8]。正因为其稳定性,Gelman等[12]也利用YAMANE凸缘襻技术对其它巩膜固定术后暴露的IOL襻进行有效的复位固定;4)IOL前襻的对接改良:在上述病例中(图3A~F)笔者介绍了对YAMANE改良手术操作的初始经验,将IOL光学部及前襻植入前房后,再分次将IOL襻与25G针腔对接;随着YAMANE手术的广泛应用,Sternfeld等[13]对IOL前襻的对接进行了改良。笔者在后续的YAMANE改良手术也采用了这种对接改良方式,并且在手术视频作做了展示:在巩膜隧道预置25G针头,前襻可在IOL推注过程中直接与针头对接,此对接方法更加简单、便捷,不仅可少做一个角膜辅助切口,也可减少在眼内的操作。

    笔者前期研究观察的20例患者中,裸眼视力明显提高,术后第一天巩膜隧道均闭合良好、无渗漏[8]。目前这批患者术后最长随访时间已长达5年,视力稳定,IOL在位。随着此技术的更广泛的使用,此手术方式还可与其他手术联合,如抗青光眼手术[14]、角膜移植手术[15-16]、人造虹膜植入术[17]

    Yamane等[1]在其随访期间观察到术后主要并发症有IOL虹膜夹持、玻璃体积血、黄斑水肿等,所有患者术后没有出现IOL移位、IOL襻暴露。在我们纳入的行改良YAMANE式后房型IOL巩膜层间固定术的20例患者,平均随访时间7.2个月(3-26个月),术后玻璃体腔出血1例,一过性高眼压3例,黄斑水肿2例,一过性角膜水肿6例,未观察到其他手术相关的远期并发症。与Yamane观察到的主要并发症(IOL瞳孔夹持)不同,我们没有观察一例IOL瞳孔夹持,这可能与我们术后更深的前房深度(4.39±0.29)mm有关[8]

参考文献:(请阅读原文)

引用本文:姜惠,范玮.YAMANE式后房型人工晶状体巩膜层间固定术的改良与应用[J].眼科学报,2023,38(2):116-121.DOI:10.12419/j.issn. 1000-4432.2023.02.06

Cite this article as:JIANG Hui,FAN Wei.A modified YAMANE’s technique for posterior chamber intraocular lens intrascleral-fixation[J].Eye Science,2023,38(2):116-121.DOI:10.12419/j.issn.1000-4432.2023.02.06


《眼科学报》创刊于1985年,月刊,由教育部主管、中山大学主办、中山大学中山眼科中心承办的一本国家级医学期刊(刊号:ISSN:1000-4432;CN:44-1119/R)。中山大学中山眼科中心前院长葛坚,中山大学中山眼科中心主任、医院院长刘奕志担任主编,中山大学中山眼科中心副主任林浩添担任执行主编。主要报道国内外眼科领域新进展,新动态,着重报道眼科学基础研究,临床经验,以及流行病等相关的理论知识与技术操作,以广大从事眼科相关领域的科研、教学与临床工作者为主要读者对象。

目前已被Chemical Abstract(CA)、中国期刊全文数据库(知网)、中国核心期刊(遴选)数据库(万方)、中文科技期刊数据库(维普)、超星域出版平台等国内外重要数据库收录。


投稿网站:https://journal.gzzoc.com

邮箱:ykxb@gzzoc.com

编辑部电话:020-87333099

本刊实行双盲审稿,对录用文章免费发表,不收取作者任何费用


推荐文章

2022年度中国眼科十大新闻

【国际】亲水性人工晶体之于疏水性人工晶体有哪些优势?
【新书推荐】《白内障超声乳化手术医生成长手册》
新书速递 | 玻璃体病学
【科普】生命不能承受之痛---巩膜炎
后巩膜加固术是什么?高度近视的你一定要看看!

免责声明:部分文章转载自互联网及其他公众平台,转载文章 旨在知识分享,如涉及作品内容、版权和其它问题,请联系我们删除!内容仅供读者参考,特约授权文章版权归原作者所有,转载须得授权!文章内容为作者个人观点,并不代表本公众号赞同或支持其观点。本公众号拥有对此声明的最终解释权。

手术膜怎么用手术视频丨YAMANE式后房型人工晶状体巩膜层间固定术的改良与应用_https://www.jmylbn.com_新闻资讯_第10张