怎么选洁牙器械5个要点带你学习器械洁牙

新闻资讯2026-04-21 13:07:34

牙周刮治基础技能


器械洁牙



01

Universal 刮治器

1.构造

Universal 刮治器的第一工作弯与刃部之间成 90°,刃部为双面开刃。如果像 Gracey 刮治器一样将第一工作弯与牙面平行插入的话,龈下插入幅度更大,根面与对侧的cutting edge 会伤到内缘上皮。 

怎么选洁牙器械5个要点带你学习器械洁牙_https://www.jmylbn.com_新闻资讯_第1张


将cutting edge 的插入角度调整为与 Gracey 刮治器相同(相对于根面倾斜20°),相比 Gracey 刮治器其刃部更容易贴合根面。这样做的话不仅更容易插入龈下,cutting edge 还不会伤到根面与对侧的内缘上皮。 

怎么选洁牙器械5个要点带你学习器械洁牙_https://www.jmylbn.com_新闻资讯_第2张

倾斜工作弯,使之更易贴合根面 

2.特征与适应部位

①特征

所有作业面都能有效使用 

Universal 刮治器的cutting edge 从刃的尖端一直延伸到与第一工作弯的连接处,从刃的尾部一直到尖端能够立体地贴合根面的形状。 

怎么选洁牙器械5个要点带你学习器械洁牙_https://www.jmylbn.com_新闻资讯_第3张


可以贴合隆起的根面 

Universal 刮治器的cutting edge 越倾斜弯曲度越大,根据根面的状况调整cutting edge 的角度,做出合适的弯曲度以贴合根面。可用来处理Gracey 刮治器难以处理的角落区、前磨牙邻接面等凹凸不平的地方。 

怎么选洁牙器械5个要点带你学习器械洁牙_https://www.jmylbn.com_新闻资讯_第4张

Universal 刮治器的cutting edge 可以完美对应角落区  


①特征

插入1 次可以刮治1/4 的牙面 

Gracey 刮治器在对角落区进行刮治时为了贴合牙面的隆起刃部需要抬起,可能会伤到牙龈。所以需要选择刃部较小的型号进行操作。 


但是Universal 刮治器可以应对根面的弯曲,插入1 次可以从邻接面到颊侧,或者从邻接面到舌侧,在龈下回旋移动,1 次可以刮治1/4 的牙面。 

怎么选洁牙器械5个要点带你学习器械洁牙_https://www.jmylbn.com_新闻资讯_第5张


Universal 刮治器的刃部从邻接面移动到颊侧,再移动到牙周袋内

怎么选洁牙器械5个要点带你学习器械洁牙_https://www.jmylbn.com_新闻资讯_第6张


Universal 刮治器的刃部从邻接面移动到颊侧,再移动到牙周袋内

怎么选洁牙器械5个要点带你学习器械洁牙_https://www.jmylbn.com_新闻资讯_第7张


②适应部位

牙周炎初期的牙周袋,除了第二前磨牙以后的远中面,都可以使用哥伦比亚大学开发的#13/14Universal 刮治器。第二前磨牙以后的远中面使用Gracey 刮治器。 

怎么选洁牙器械5个要点带你学习器械洁牙_https://www.jmylbn.com_新闻资讯_第8张

3.基本使用方法

①握持方法

怎么选洁牙器械5个要点带你学习器械洁牙_https://www.jmylbn.com_新闻资讯_第9张


根据部位改变手腕的方向 

根据刮治牙齿的部位、状态适当改变手腕的方向。关键是寻找合适的插入角度,采取最合适的姿势。为了采取最适合的插入角度需要改变手腕的方向、坐姿与支点的位置。 

怎么选洁牙器械5个要点带你学习器械洁牙_https://www.jmylbn.com_新闻资讯_第10张
怎么选洁牙器械5个要点带你学习器械洁牙_https://www.jmylbn.com_新闻资讯_第11张


②根据施术部位选择不同的位置

怎么选洁牙器械5个要点带你学习器械洁牙_https://www.jmylbn.com_新闻资讯_第12张


根据施术部位选择不同的位置

BACK POSITION 示例 

怎么选洁牙器械5个要点带你学习器械洁牙_https://www.jmylbn.com_新闻资讯_第13张


SIDE POSITION 示例  

怎么选洁牙器械5个要点带你学习器械洁牙_https://www.jmylbn.com_新闻资讯_第14张


FRONT POSITION 示例 

怎么选洁牙器械5个要点带你学习器械洁牙_https://www.jmylbn.com_新闻资讯_第15张


③支点

(1) 在邻牙上寻找支点 

怎么选洁牙器械5个要点带你学习器械洁牙_https://www.jmylbn.com_新闻资讯_第16张

在左上4 5 6 7 操作时指点在左上 1 2. 


(2)在口腔外找支点 

怎么选洁牙器械5个要点带你学习器械洁牙_https://www.jmylbn.com_新闻资讯_第17张


(3)在同侧对合牙上找支点 

怎么选洁牙器械5个要点带你学习器械洁牙_https://www.jmylbn.com_新闻资讯_第18张


(4)在对侧的对合牙上找支点 

怎么选洁牙器械5个要点带你学习器械洁牙_https://www.jmylbn.com_新闻资讯_第19张


④插入牙周袋的方法

插入方法 1 

STEP 1 

刃部放置于牙冠的接触点上,沿着接触点缓慢插入 

怎么选洁牙器械5个要点带你学习器械洁牙_https://www.jmylbn.com_新闻资讯_第20张
怎么选洁牙器械5个要点带你学习器械洁牙_https://www.jmylbn.com_新闻资讯_第21张


STEP 2 

刃部尖端来到接触点下方时,保持与牙面的贴合插入牙龈乳头中。 

怎么选洁牙器械5个要点带你学习器械洁牙_https://www.jmylbn.com_新闻资讯_第22张


STEP 3 

当刃部尖端插入到CEJ(牙骨质牙釉质界)时,确保刃部尖端到尾部保持与牙面的紧贴。确认完后插入牙周袋底。  

怎么选洁牙器械5个要点带你学习器械洁牙_https://www.jmylbn.com_新闻资讯_第23张
怎么选洁牙器械5个要点带你学习器械洁牙_https://www.jmylbn.com_新闻资讯_第24张
怎么选洁牙器械5个要点带你学习器械洁牙_https://www.jmylbn.com_新闻资讯_第25张

这样做的话可以保证患者的牙龈不会被器械牵扯,不会让患者感到不适。还能保证刮治器顺畅地插入到牙周袋底。 


确保刃部与根面保持紧贴 

怎么选洁牙器械5个要点带你学习器械洁牙_https://www.jmylbn.com_新闻资讯_第26张

确认完后插入牙周袋底 


插入方法 2 

STEP 1 

尽量使刃的内侧与根面贴合,减少插入的幅度。这样刃的尾部就能与牙齿角落区的弯角相贴合,插入时不对牙龈产生负担。这时确认从尾部至尖端所有的刃面是否都与牙面贴合。 

怎么选洁牙器械5个要点带你学习器械洁牙_https://www.jmylbn.com_新闻资讯_第27张


STEP 2 

以刃尾部为中心,保持刃与牙面的贴合,将刃的尖端缓慢下降。 

怎么选洁牙器械5个要点带你学习器械洁牙_https://www.jmylbn.com_新闻资讯_第28张


STEP 3 

确认尖端至尾部是否保持与牙面的紧密贴合,然后插入牙周袋底。

怎么选洁牙器械5个要点带你学习器械洁牙_https://www.jmylbn.com_新闻资讯_第29张


STEP 4 

在插入牙周袋的同时,慢慢提起第一工作弯。使内侧作业角度呈70°,此时第一工作弯与牙面呈20°的夹角。  

怎么选洁牙器械5个要点带你学习器械洁牙_https://www.jmylbn.com_新闻资讯_第30张


⑤刮治的方法

基本示意图 

将前牙尖端、磨牙咬合面的中心点想象为goal,从始点(牙周袋底和牙结石下方)向中心点缓慢旋转刮治。 

怎么选洁牙器械5个要点带你学习器械洁牙_https://www.jmylbn.com_新闻资讯_第31张


旋转刮治 

主要使用手腕的力量 

怎么选洁牙器械5个要点带你学习器械洁牙_https://www.jmylbn.com_新闻资讯_第32张

护理时。尽管边缘牙龈发生退缩,但可视为恢复健康。未出现过敏症状。 


怎么选洁牙器械5个要点带你学习器械洁牙_https://www.jmylbn.com_新闻资讯_第33张

护理时。尽管边缘牙龈发生退缩,但可视为恢复健康。未出现过敏症状。 

4.学习要点

Universal 刮治器最大的特点是便于刮治根面的弯角。为了充分利用这个特点,需要学会使cutting edge 贴合根面的技术。 

怎么选洁牙器械5个要点带你学习器械洁牙_https://www.jmylbn.com_新闻资讯_第34张


感受cutting edge 传达过来的根面触感,旋转刃面进行刮治。 

怎么选洁牙器械5个要点带你学习器械洁牙_https://www.jmylbn.com_新闻资讯_第35张

5.临床病例

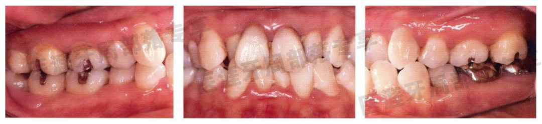
初诊时33 岁的女性患者 

怎么选洁牙器械5个要点带你学习器械洁牙_https://www.jmylbn.com_新闻资讯_第36张

初诊时口内照(1997 年11 月) 虽有菌斑附着,但刷牙情况并不特别差 


怎么选洁牙器械5个要点带你学习器械洁牙_https://www.jmylbn.com_新闻资讯_第37张

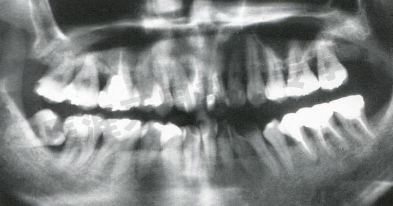
初诊时X 光片(1997 年11 月) 

全口可见骨吸收,还有歪斜的牙根,考虑较高牙周炎风险。 


怎么选洁牙器械5个要点带你学习器械洁牙_https://www.jmylbn.com_新闻资讯_第38张

初诊时的牙周精密检查(1997 年11 月) 出血部位较多,局部有较深的牙周袋和排脓。 


怎么选洁牙器械5个要点带你学习器械洁牙_https://www.jmylbn.com_新闻资讯_第39张

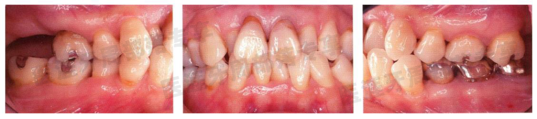
护理时的口内照(2007 年4 月) 

虽然有牙菌斑,但牙龈情况比起初诊时改善很多。不过右上 7 中途在其它医院被拔去。 


怎么选洁牙器械5个要点带你学习器械洁牙_https://www.jmylbn.com_新闻资讯_第40张

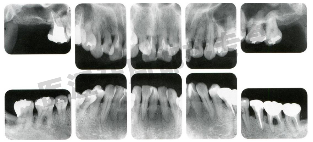
护理时的X 光片(2006 年4 月) 

距离初诊 9 年,牙槽嵴线稳定,预后良好。 

左上 7、左下 6 的根分叉病变时刻留意并进行了清创。研究是否进行截根术。 


怎么选洁牙器械5个要点带你学习器械洁牙_https://www.jmylbn.com_新闻资讯_第41张

护理时的牙周精密检查(2007 年4 月) 

部分牙周袋深度达 6mm 且有出血。是否是炎症复发的迹象?对上下颌左侧 6 进行了清创术。 

怎么选洁牙器械5个要点带你学习器械洁牙_https://www.jmylbn.com_新闻资讯_第42张

微信咨询报名更方便!

添加以下客服微信为好友即可咨询与报名。


👇👇👇

课程咨询:


怎么选洁牙器械5个要点带你学习器械洁牙_https://www.jmylbn.com_新闻资讯_第43张
怎么选洁牙器械5个要点带你学习器械洁牙_https://www.jmylbn.com_新闻资讯_第44张

 客服微信号:yiyacs04         客服微信号:yiyacs05



 报名咨询热线:

13917378451

400-902-5051

(*请将学费汇入指定账户)

怎么选洁牙器械5个要点带你学习器械洁牙_https://www.jmylbn.com_新闻资讯_第45张
怎么选洁牙器械5个要点带你学习器械洁牙_https://www.jmylbn.com_新闻资讯_第46张
怎么选洁牙器械5个要点带你学习器械洁牙_https://www.jmylbn.com_新闻资讯_第47张
怎么选洁牙器械5个要点带你学习器械洁牙_https://www.jmylbn.com_新闻资讯_第48张

医涯是你成功道路上最好的伙伴!