床旁DR机怎么移动影像科普 | 非必要,不要轻易拍摄床旁胸片

新闻资讯2026-04-21 09:26:01

床旁DR机怎么移动影像科普 | 非必要,不要轻易拍摄床旁胸片_https://www.jmylbn.com_新闻资讯_第1张

床旁DR机怎么移动影像科普 | 非必要,不要轻易拍摄床旁胸片_https://www.jmylbn.com_新闻资讯_第2张

床旁DR(移动式DR)是一种移动式的X射线设备,可以在不需要将患者移动到固定X射线室的情况下,直接在病床旁进行影像检查,适用于病情危重或不宜移动的患者。

 床旁DR机怎么移动影像科普 | 非必要,不要轻易拍摄床旁胸片_https://www.jmylbn.com_新闻资讯_第3张


床旁DR的优点


便利性:可以在患者的床边进行检查,特别适合于病情严重的患者。

时间效益:快速获取影像结果,帮助医生迅速评估和决策,尤其在紧急情况下至关重要。


床旁DR的缺点和挑战


尽管床旁DR具有许多优点,但也存在一些缺点和挑战。

影像质量限制:由于设备移动性和便携性的需求,影像质量可能不如固定式设备高,特别是在长期移动和颠簸后。

辐射暴露:虽然X射线会带来辐射,但在合理使用和适当的防护措施下,辐射风险是可控的。床旁DR通常在设备上添加了铅屏或使用其他屏蔽材料来减少辐射影响。

适应症限制:并非所有情况下都适用床旁DR,某些需要特殊设备或多个角度检查的情况,传统的X射线室检查可能更为准确和详细。

辐射安全:对于辐射安全的关注是使用床旁DR时的一个重要方面。研究表明,在合理的距离下,辐射剂量是非常低的,甚至低于自然辐射的平均水平。例如,在设备周围设置适当的屏蔽措施,并将患者和工作人员保持在安全距离(如2米以外),可以显著减少辐射风险。

使用情况:床旁DR通常用于重症监护病房(ICU)、抢救室等场所,以及处理复合型外伤等需要紧急评估的情况。它也可以在判断重症患者管路位置或进行术中定位时发挥作用。


床旁DR机怎么移动影像科普 | 非必要,不要轻易拍摄床旁胸片_https://www.jmylbn.com_新闻资讯_第4张

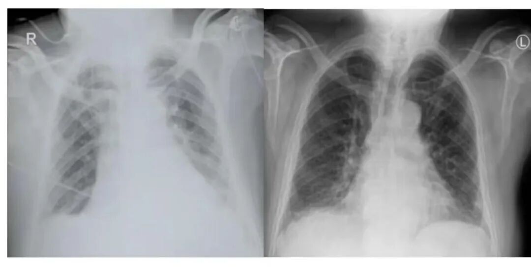
(图左)为床边拍摄胸片,清晰度及对病变的观察明显远不如放射科机房拍摄(图右)


总而言之,床边摄片只是不得已而为之,是机房摄片的补充,并不能完全替代机房摄片。


床旁DR机怎么移动影像科普 | 非必要,不要轻易拍摄床旁胸片_https://www.jmylbn.com_新闻资讯_第5张


由于床旁摄片使用的是移动式X射线设备,技术参数比固定式设备的要求低,加上长期的移动和颠簸,其摄影质量会相对较差,图像质量可能不如传统X射线室的设备高,可能导致影像细节不够清晰,限制了医生对病情的准确判断;同时危重患者的各种监护设备,加之体位不正等因素也会影响图像质量。

X射线检查有辐射风险,放射科的固定设备机房都是按照国家标准的要求进行辐射防护处理的,而病房、手术室等并无此种防护措施,床旁X射线摄影时可能会对距离较近的患者、家属以及医务人员产生不必要的辐射。

适用的检查部位也有较大局限性,并不是任何部位的检查都可以用移动式X射线机来完成,最常用于患者的胸部摄影。


床旁DR机怎么移动影像科普 | 非必要,不要轻易拍摄床旁胸片_https://www.jmylbn.com_新闻资讯_第6张


放射科在此对临床医生和患者提出如下几点建议

1、有钱也别任性,在患者身体状况许可的情况下坚决不使用床边检查。

2、困难尽量克服,对于移动困难的患者,应安排在患者出病房做其它检查时一并去放射科进行X射线摄片检查。

3、万不得已确需行床边摄片时,牢记辐射危害,做好对家属、患者、医护人员的合理保护。


【科室简介】

床旁DR机怎么移动影像科普 | 非必要,不要轻易拍摄床旁胸片_https://www.jmylbn.com_新闻资讯_第7张

床旁DR机怎么移动影像科普 | 非必要,不要轻易拍摄床旁胸片_https://www.jmylbn.com_新闻资讯_第8张


朔州市大医院影像中心影像设备齐全,技术力量雄厚,拥有256排螺旋CT、3.0T高端MR、双板DR、乳腺钼靶及双能X线骨密度仪等一大批国际先进的大型影像设备,整体设备配备水平为省内一流。


床旁DR机怎么移动影像科普 | 非必要,不要轻易拍摄床旁胸片_https://www.jmylbn.com_新闻资讯_第9张


床旁DR机怎么移动影像科普 | 非必要,不要轻易拍摄床旁胸片_https://www.jmylbn.com_新闻资讯_第10张


预约电话:0349-5610606

欢迎来电咨询!

朔州市大医院影像中心竭诚为您服务! 

为您的健康保驾护航!

床旁DR机怎么移动影像科普 | 非必要,不要轻易拍摄床旁胸片_https://www.jmylbn.com_新闻资讯_第11张

END



文字 | 杜丽娜

编辑 | 朱嘉静


床旁DR机怎么移动影像科普 | 非必要,不要轻易拍摄床旁胸片_https://www.jmylbn.com_新闻资讯_第12张