导管鞘怎么念有励可说|Locaste长鞘及Skathi中间导管在基底动脉取栓术中的应用

新闻资讯2026-04-21 09:06:44

导管鞘怎么念有励可说|Locaste长鞘及Skathi中间导管在基底动脉取栓术中的应用_https://www.jmylbn.com_新闻资讯_第1张

导管鞘怎么念有励可说|Locaste长鞘及Skathi中间导管在基底动脉取栓术中的应用_https://www.jmylbn.com_新闻资讯_第2张


导管鞘怎么念有励可说|Locaste长鞘及Skathi中间导管在基底动脉取栓术中的应用_https://www.jmylbn.com_新闻资讯_第3张



Skathi


远端通路导管



导管鞘怎么念有励可说|Locaste长鞘及Skathi中间导管在基底动脉取栓术中的应用_https://www.jmylbn.com_新闻资讯_第4张





Skathi远端通路导管上海励楷科技有限公司第一个获批上市的产品,励楷科技神经介入产品将以星球系列作为命名和标识。而作为公司第一款产品自然选择以美丽的地球作为我们的起点,后续公司将不断推出新的产品,带您探索神介宇宙的奥秘。

导管鞘怎么念有励可说|Locaste长鞘及Skathi中间导管在基底动脉取栓术中的应用_https://www.jmylbn.com_新闻资讯_第5张





术者寄语

随着神经介入血管内治疗的复杂化、多样化,好的通路建立是手术成功的第一步,特别是在困难路径下、急诊手术中,我们需要快速建立一路稳定可靠的入路系统,它需要简单的操作方法、稳定的血管支撑、良好的通过性,Locaste长鞘的出现,为我们神经介入医生又装备了一把强有力的武器。

导管鞘怎么念有励可说|Locaste长鞘及Skathi中间导管在基底动脉取栓术中的应用_https://www.jmylbn.com_新闻资讯_第6张

随着神经介入耗材的不断进步发展,对于急性脑梗死机械取栓的治疗也有了更多的选择,从传统的取栓支架拉栓到抽吸导管的应用,都离不开稳定通路的建立,特别是在困难路径下前后循环取栓方面,中间导管的使用对于稳定通路起到了至关重要的作用,SKATHI远端通路导管的出现,使得术者在困难路径面前不再是望洋兴叹而是曲径通幽。

导管鞘怎么念有励可说|Locaste长鞘及Skathi中间导管在基底动脉取栓术中的应用_https://www.jmylbn.com_新闻资讯_第7张





作者简介




导管鞘怎么念有励可说|Locaste长鞘及Skathi中间导管在基底动脉取栓术中的应用_https://www.jmylbn.com_新闻资讯_第8张

导管鞘怎么念有励可说|Locaste长鞘及Skathi中间导管在基底动脉取栓术中的应用_https://www.jmylbn.com_新闻资讯_第9张
导管鞘怎么念有励可说|Locaste长鞘及Skathi中间导管在基底动脉取栓术中的应用_https://www.jmylbn.com_新闻资讯_第10张

宋立刚


导管鞘怎么念有励可说|Locaste长鞘及Skathi中间导管在基底动脉取栓术中的应用_https://www.jmylbn.com_新闻资讯_第11张

首都医科大学附属北京天坛医院

神经介入中心



导管鞘怎么念有励可说|Locaste长鞘及Skathi中间导管在基底动脉取栓术中的应用_https://www.jmylbn.com_新闻资讯_第12张

北京天坛医院神经介入科临床组副组长,副主任医师,副教授,神经病学博士,中国卒中学会脑代谢与血流分会第一届、第二届委员,中国卒中学会中西医结合分会委员。北京市医师协会介入分会理事。专业方向:脑血管病神经介入治疗。从2004年开始从事缺血性脑血管病的介入治疗,2012年在美国加利福尼亚大学洛杉矶分校医学中心(UCLA)访问学者。对缺血性脑血管病介入治疗有丰富的诊治经验,熟练掌握并独立开展颈动脉支架、椎动脉支架、锁骨下动脉支架数千例,熟练掌握颅内动脉溶栓、取栓、支架成型术等介入操作手术,对缺血性脑血管病的评价、治疗、康复等有较深的研究。动脉取栓一把开通率很高。2017、2018年两次获得取栓大赛一等奖。近3年开始涉猎出血性疾病介入治疗,能常规处理常见动脉瘤等疾病,参研课题多项,发表SCI论文数篇。


导管鞘怎么念有励可说|Locaste长鞘及Skathi中间导管在基底动脉取栓术中的应用_https://www.jmylbn.com_新闻资讯_第12张





病史简介




基本信息:患者,男,73岁。患者入院24小时突发出现言语不清,右侧肢体活动不灵活,症状持续进展,于20.5小时前外院行阿替普酶静脉溶栓治疗后症状好转,右侧肢体肌力恢复至5级。于9小时前再次出现右侧肢体无力情况,无法活动,伴言语不利加重,为进一步治疗来我院急诊就诊,完善CTAVP示基底动脉闭塞,双侧小脑、脑干、双侧丘脑及颞枕叶大片低灌注区。急诊以“基底动脉闭塞脑梗死”收入院。

既往病史:高血压病20余年,规律服用“苯磺酸氨氯地平片”控制血压。有冠心病病史3年,行冠脉支架植入手术史,术后口服阿司匹林及他汀类药物1月后停药,未规律复查复诊。

个人史:既往吸烟及饮酒史多年。

入院查体情况:NIHSS评分17分(意识1+面瘫1+右上肢4+右下肢4+左下肢2+感觉2+言语2+凝视1),意识呈嗜睡状,可有简单发声,言语交流不能,双眼右侧凝视,右侧肢体肌力0级,左上肢可自主运动,右上肢肌力2级,肌张力不高,双侧病理征阳性。

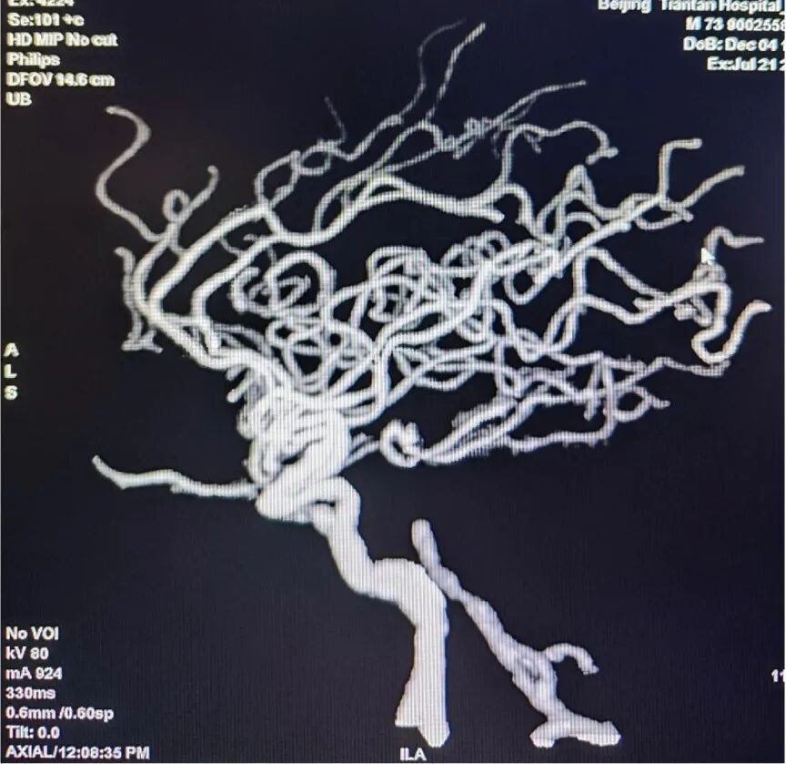
术前影像学检查结果
导管鞘怎么念有励可说|Locaste长鞘及Skathi中间导管在基底动脉取栓术中的应用_https://www.jmylbn.com_新闻资讯_第14张
导管鞘怎么念有励可说|Locaste长鞘及Skathi中间导管在基底动脉取栓术中的应用_https://www.jmylbn.com_新闻资讯_第15张

导管鞘怎么念有励可说|Locaste长鞘及Skathi中间导管在基底动脉取栓术中的应用_https://www.jmylbn.com_新闻资讯_第16张


手术策略制定

术前诊断:基底动脉闭塞脑梗死

手术方式:基底动脉取栓术

手术难点分析:

① 原位狭窄基础上急性血栓形成,导丝导管通过困难 ② 选择SWIM技术?ADAPT技术?③ 取栓后是否需球囊扩张成形,是否需支架植入 

术前用药:

溶栓:阿替普酶 57.6mg

术中涉及介入材料选择

· 6F 90cm Locaste长鞘 直头

· 125cm多功能单弯导管

· 泥鳅导丝

· 6F 115cm Skathi远端通路导管

· 微导管:Rebar-18、Prowler Select Plus

· 微导丝:Synchro (0.014in×200cm、300cm)

· 支架:Enterprise2 (4×23mm)

· 球囊 (1.5×10mm、2.0×15mm)


治疗经过

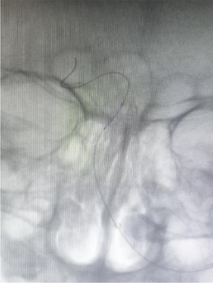
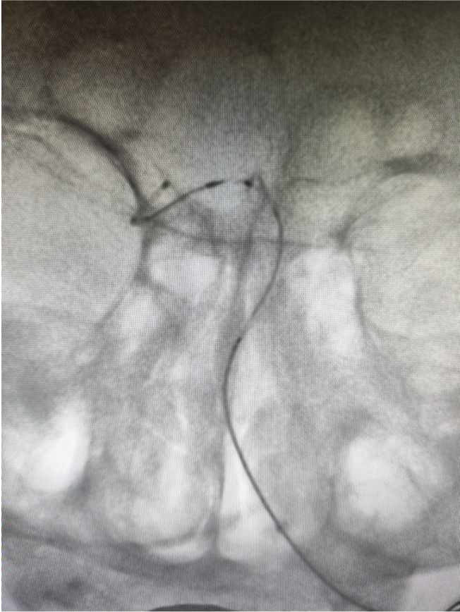
造影显示基底动脉远端闭塞,建立血管内治疗通路:Locaste长鞘同轴带领Skathi远端通路导管到位。

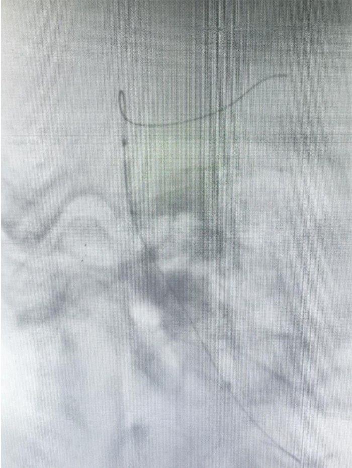
微导丝超选至右侧大脑后动脉,微导管通过狭窄段困难。考虑原位狭窄,行球囊扩张。

导管鞘怎么念有励可说|Locaste长鞘及Skathi中间导管在基底动脉取栓术中的应用_https://www.jmylbn.com_新闻资讯_第17张
导管鞘怎么念有励可说|Locaste长鞘及Skathi中间导管在基底动脉取栓术中的应用_https://www.jmylbn.com_新闻资讯_第18张
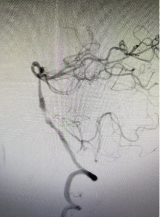
球扩后狭窄改善后不能维持,沿微导丝微导管通过狭窄段至右侧大脑后动脉,释放Enterprise2支架一枚。
导管鞘怎么念有励可说|Locaste长鞘及Skathi中间导管在基底动脉取栓术中的应用_https://www.jmylbn.com_新闻资讯_第19张
导管鞘怎么念有励可说|Locaste长鞘及Skathi中间导管在基底动脉取栓术中的应用_https://www.jmylbn.com_新闻资讯_第20张
导管鞘怎么念有励可说|Locaste长鞘及Skathi中间导管在基底动脉取栓术中的应用_https://www.jmylbn.com_新闻资讯_第21张
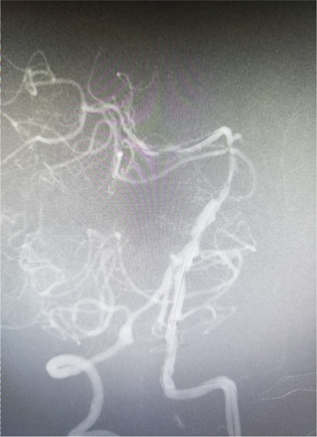
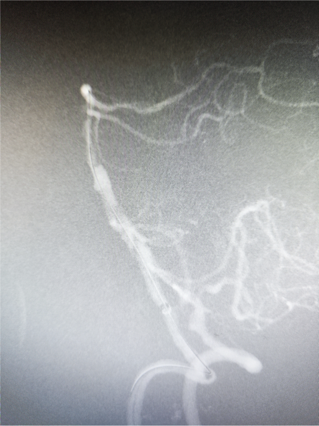
术后影像
狭窄改善明显,前向血流维持良好,mTICI分级3级

导管鞘怎么念有励可说|Locaste长鞘及Skathi中间导管在基底动脉取栓术中的应用_https://www.jmylbn.com_新闻资讯_第22张

导管鞘怎么念有励可说|Locaste长鞘及Skathi中间导管在基底动脉取栓术中的应用_https://www.jmylbn.com_新闻资讯_第23张




病例总结


该患者为原位狭窄,导丝导管通过困难,通路的顺利建立是本例病患手术成功的关键因素。

Locaste长鞘头端柔软,近端支撑力强。Skathi远端通路导管支撑力足够,系统稳定,操作顺畅,通过性好,远端亲水头手感丝滑,裸奔直接通过V3-4段,到达基底动脉狭窄近段轻松自如。狭窄部位狭窄程度较重,通过困难,逐步球扩后置入支架,Skathi远端通路导管极其稳定,通过球囊、支架系统顺利,可为进一步的安全治疗奠定基础。


导管鞘怎么念有励可说|Locaste长鞘及Skathi中间导管在基底动脉取栓术中的应用_https://www.jmylbn.com_新闻资讯_第24张




关于励楷科技



励楷科技成立于2019年,专注研发生产销售神经介入植入医疗器械产品,产品管线全覆盖出血类,急性缺血类,慢性缺血类产品,公司致力于以神经介入为切入点,通过强大自主研发能力+全球先进技术BD引进能力双轮驱动,以及完善的研发—产品—市场销售团队闭环体系,成为全球脑血管疾病器械,乃至整个医疗器械产业中领先的创新技术平台。


导管鞘怎么念有励可说|Locaste长鞘及Skathi中间导管在基底动脉取栓术中的应用_https://www.jmylbn.com_新闻资讯_第25张




END


微信公众号 | 励楷科技

公司官网 | https://www.kaimtgroup.com/

导管鞘怎么念有励可说|Locaste长鞘及Skathi中间导管在基底动脉取栓术中的应用_https://www.jmylbn.com_新闻资讯_第26张





导管鞘怎么念有励可说|Locaste长鞘及Skathi中间导管在基底动脉取栓术中的应用_https://www.jmylbn.com_新闻资讯_第27张
导管鞘怎么念有励可说|Locaste长鞘及Skathi中间导管在基底动脉取栓术中的应用_https://www.jmylbn.com_新闻资讯_第28张

神经介入在线作为中国卒中学会神经介入分会的官方公众号,现已成立五年。作为最早创建的神经介入专业的学术交流平台,由缪中荣教授团队倾力打造,秉承合作、创新、交流的宗旨,为医务工作者提供国内外神经介入领域最新资讯、指南,聚焦难点深度评论,引领学术前沿。2022年致力搭建神经介入领域国内外最新医学资讯、研究进展、病例讨论、趣味科普等各项学术交流互动共享平台,整合医疗资源,发挥联盟优势,风雨共济,守候健康,我们在这里等你!




导管鞘怎么念有励可说|Locaste长鞘及Skathi中间导管在基底动脉取栓术中的应用_https://www.jmylbn.com_新闻资讯_第29张
神经介入在线投稿:sjjrzx@hh-medic.com
导管鞘怎么念有励可说|Locaste长鞘及Skathi中间导管在基底动脉取栓术中的应用_https://www.jmylbn.com_新闻资讯_第30张