导丝怎么扩规培临床技能:中心静脉置管术全攻略之超声引导下锁骨下静脉穿刺置管术(8)

新闻资讯2026-04-21 09:04:50

作者/风仕

导丝怎么扩规培临床技能:中心静脉置管术全攻略之超声引导下锁骨下静脉穿刺置管术(8)_https://www.jmylbn.com_新闻资讯_第1张

在上一期讲了超声引导下颈内静脉穿刺置管术,这期主要讲超声引导下锁骨下静脉穿刺置管术。

超声引导下锁骨下静脉穿刺置管术步骤

1.患者准备:首先确定符合适应症,然后进行术前谈话、取得知情同意、争取患者配合,必要时要求患者清洁穿刺部位。

2.操作者准备:排查禁忌症、筛查置管困难情况、做好洗手、穿衣、戴帽及配合者准备。超声引导下穿刺可以单人操作(一手拿探头,一手拿穿刺针),也可以双人操作(一人负责拿探头扫描,另一人穿刺)。穿刺前探头必须用无菌探头套套扎,耦合剂必须使用一次性使用的无菌耦合剂,操作人员必须穿无菌手术衣并戴无菌手套,穿刺部位必须严格消毒并铺无菌巾。此外患者体位通常可以和常规穿刺时一致,但要注意体位应尽可能利于超声探头的放置和操作。

3.物品准备:中心静脉置管穿刺包一个(包含无菌手套、穿刺针、扩皮器、导丝、导管、5ml注射器、孔巾、刀片),2%利多卡因、5-10ml注射器、250~500U/ml(2~4mg/ml)肝素生理盐水冲洗穿刺针、扩皮器及导管、超声仪(高频线阵探头,4~12MHz)、无菌探头保护套、无菌耦合剂、碘伏或其它消毒液、无菌手术衣、口罩、帽子。

4.体位准备:常规平卧位,病号服折叠条状垫于患者两侧肩胛骨之间,头后仰偏向对侧,同侧上臂外展。

5.消毒:术者穿无菌衣,打开穿刺包,戴无菌手套,以穿刺部位为中心,局部皮肤以碘伏或其它消毒液消毒15cm以上范围,待干。

6.铺巾:消毒后铺无菌单,铺巾时应以无菌巾覆盖患者全身,只暴露操作部位。注意按照规范执行、无菌操作,最大程度减少患者感染风险。

7.局部麻醉:穿刺点用2%利多卡因溶液局部麻醉,必要时予全身静脉麻醉。

8.穿刺点的选择(定点):

穿刺点的选择和穿刺方向十分重要,直接决定穿刺成功与否,但是患者的体型、体位、肩位等变化会影响穿刺点的选择。

穿刺点基本是以锁骨为体表标志的,有中点、中内1/3和中外1/3三个基点,然后因人而异采用下移和内外移动穿刺点。

根据穿刺点位置不同分为锁骨上入路和锁骨下入路两种。

锁骨上入路:病人肩部垫高,头尽量转向对侧并挺露锁骨上窝。在胸锁乳突肌锁骨头的外侧缘、锁骨上约1cm处为进针点。

锁骨下入路:最常见,两个常用皮肤插管部位之一:在锁骨内侧和中三分之一交界处低于锁骨 1 至 2 厘米,或在中点仅低于锁骨。针沿冠状(额状)平面向内侧推进 - 锁骨下缘- 朝向胸骨切迹。在第一个部位,下面的第一根肋骨可以防止。在第二个部位(锁骨中点),需要较少的努力来保持使针头保持在冠状平面的浅插入角度。

导丝怎么扩规培临床技能:中心静脉置管术全攻略之超声引导下锁骨下静脉穿刺置管术(8)_https://www.jmylbn.com_新闻资讯_第2张

与左侧相比,右侧锁骨下插管有时更受欢迎,因为它避开了胸导管,并且右侧胸膜顶点低于左侧。有时首选左插管(尤其是肺动脉导管插入术),因为它提供了一条直达上腔静脉的直接、角度较小的路径,减少了颈内静脉导管插入错误的机会。

9.定点及穿刺:采用超声引导下的中心静脉置管六步法

(1)探头涂无菌耦合剂,套无菌保护套。    

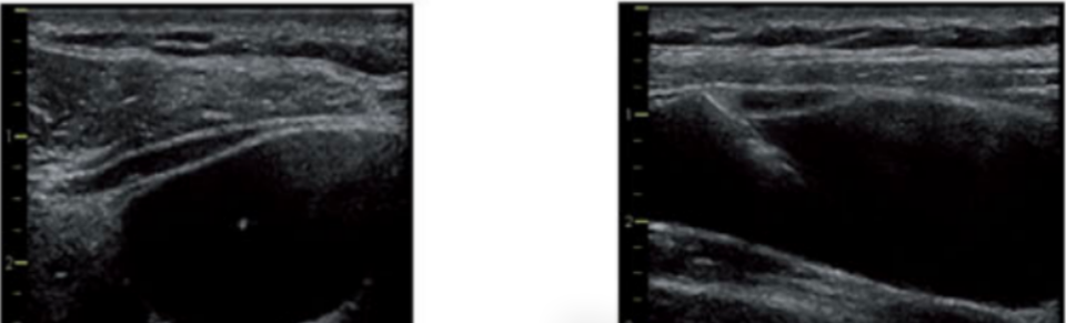
(2)探头横置于锁骨中点下方,显示锁骨下静脉(椭圆形无回声)及动脉(圆形搏动性)。旋转探头与静脉平行,观察静脉全程走行,以标记最佳穿刺点(避开动脉分支及胸膜)。

导丝怎么扩规培临床技能:中心静脉置管术全攻略之超声引导下锁骨下静脉穿刺置管术(8)_https://www.jmylbn.com_新闻资讯_第3张

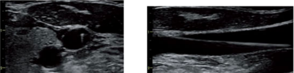
图注释:操作者可使用(A-D)短轴(SAX)平面外针头穿刺方法或(E-H)长轴(LAX)平面内针头穿刺方法来穿刺锁骨下静脉。使用(B 和 F)二维图像和(C 和 G)彩色多普勒流动图像区分静脉和动脉非常重要。(B 和 F)中的箭头表示胸膜线。(F)长轴切面显示静脉受压。(C 和 G)彩色多普勒图像显示静脉中的低速非搏动性血流,从外侧到内侧流动,方向远离探头(蓝色)。(D 和 H) 超声图像应显示针头尖端(箭头)位于静脉腔内,分别在(D)短轴切面和(H)长轴切面中。Cd,尾侧;Ce,头侧;Cl,锁骨;La,外侧;LAX,长轴;Me,内侧;SAX,短轴;SCA,锁骨下动脉;SCV,锁骨下静脉。

(3)然后按照以下的中心静脉置管六步法:

第一步  判断动静脉位置关系

首先,我们需要辨别动静脉及其位置关系; 并且最好把血管的走向打出来。超声识别动静脉的方法有四种:

①加压法

由于静脉血管缺乏富含弹性纤维的中膜,管壁较薄,相对于伴行的动脉更容易被压闭,因此可以通过探头加压的方式来观察,首先被压闭的是静脉。

导丝怎么扩规培临床技能:中心静脉置管术全攻略之超声引导下锁骨下静脉穿刺置管术(8)_https://www.jmylbn.com_新闻资讯_第4张

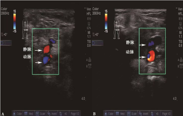
②彩色血流法

找到目标血管后,打开超声的彩色多普勒血流显像时,迎向探头的血流会显示为红色,背离探头的血流显示为蓝色,因此可以结合血管的解剖学基础及超声探头的朝向就可以区分出动静脉。如图A和B均为右侧腘窝处的声像图:图A中探头朝向肢体末端,因此迎向探头的血流(红色)为流回心脏的静脉,而远离探头的血流(蓝色)为流向肢体远端的动脉;图B中的探头方向恰好与A相反,因此红色为动脉,蓝色为静脉。

导丝怎么扩规培临床技能:中心静脉置管术全攻略之超声引导下锁骨下静脉穿刺置管术(8)_https://www.jmylbn.com_新闻资讯_第5张

③远端加压信号增强法

打开超声的彩色多普勒血流显像时,可以看见红色和蓝色血流,颜色的亮度代表了血流的速度,血流速度越快,颜色越亮。利用这个原理,可以在目标血管远端挤压肌肉组织,这会使静脉在短时间内回心血量增加,血流速度加快,血流的颜色会短暂变亮,而伴行动脉无此变化,从而确定这变亮的血管为静脉。

导丝怎么扩规培临床技能:中心静脉置管术全攻略之超声引导下锁骨下静脉穿刺置管术(8)_https://www.jmylbn.com_新闻资讯_第6张

④脉冲多普勒法

找到目标血管后,打开超声的脉冲多普勒血流显像,将采样框放到相应的血管上,就可以看见相应血管的血流频谱,动脉血流呈规律搏动样高频信号,而静脉血流呈连续性低频信号。

导丝怎么扩规培临床技能:中心静脉置管术全攻略之超声引导下锁骨下静脉穿刺置管术(8)_https://www.jmylbn.com_新闻资讯_第7张

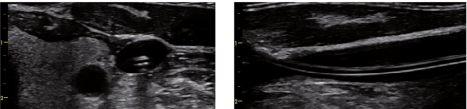
第二步 判断静脉是否通畅

通过轻压探头的手法来了解静脉能否完全被压闭,同时使用彩色多普勒成像和频谱多普勒测量来再次确认静脉的通畅性,排除静脉血栓,并量化血流量。

导丝怎么扩规培临床技能:中心静脉置管术全攻略之超声引导下锁骨下静脉穿刺置管术(8)_https://www.jmylbn.com_新闻资讯_第8张

第三步  采用平面内(短轴,就是和目标血管垂直)或平面外(长轴,就是和目标血管平行)方法进行穿刺

确定目标血管,开始进行穿刺。操作者可根据操作手法及熟练程度选择平面内或平面外穿刺,需特别注意操作过程中的无菌。

①平面内穿刺法(纵断面法)

平面内穿刺法又称纵断面法,是指超声探头长轴、血管长轴、穿刺针均位于同一平面内的超声引导穿刺方法。此种方法最大的优点是整个穿刺过程中穿刺针的全长及行进途径均始终显示在超声影像中,非常直观,全程可见,并发症少。

平面内穿刺法的具体操作方法是:首先将探头长轴与目标血管走向平行,此时就可看见深部血管影像,然后将穿刺针从探头一侧指示点处进针,进针方向一定要与探头长轴平面平行,此时就可在超声仪上看到穿刺针影像与位置,适当调整穿刺针与探头的夹角,使其在超声影像范围内能够穿入血管。在超声监视下缓慢进针,直至针尖穿破血管前壁并抽出血液时,即可停止进针,此时血管穿刺已经成功。

导丝怎么扩规培临床技能:中心静脉置管术全攻略之超声引导下锁骨下静脉穿刺置管术(8)_https://www.jmylbn.com_新闻资讯_第9张

②平面外穿刺法(横断面法)

平面外穿刺法又称横断面法,是指超声探头长轴与血管长轴及穿刺针垂直的穿刺方法。此种方法穿刺针更容易从血管壁正中穿入血管,减少血管侧壁损伤可能;穿刺过程中能始终能同时监测伴行血管情况,避免误穿。

具体穿刺步骤:首先在血管短轴确认目标血管后,将目标血管放置于超声探头正中位置,然后将穿刺针从探头正中位置、在垂直于探头长轴的平面内进针,此时应严密观察探头下方图像,搜寻针尖位置,一旦发现针尖出现在图像平面中,则一边向穿刺方向移动探头,一边缓慢进针,以确保超声图像上始终显示针尖的影像,直至针尖穿破血管前壁进入血管内,此时穿刺针可抽出血液,停止进针。

导丝怎么扩规培临床技能:中心静脉置管术全攻略之超声引导下锁骨下静脉穿刺置管术(8)_https://www.jmylbn.com_新闻资讯_第10张

第四步 超声证实穿刺针在血管内后置入导丝

在穿刺过程中,我们需要不断寻找、识别针头的尖端,一旦穿刺针见回血,说明穿刺针进入血管,然后保持穿刺针固定,并立即再次证实穿刺针位置,确认针尖位于静脉的中央(可以避免送导丝时遇到阻力,出现送导丝不顺情况)。证实穿刺针位置后即可置入导丝,注意导丝头端与针尖方向一致;缓慢放置,遇阻力,停下检查,宁可退回重进。穿刺针的导丝置入不应超过2格即20cm,穿刺套管+穿刺针的导丝不应超过3格即30cm。

导丝怎么扩规培临床技能:中心静脉置管术全攻略之超声引导下锁骨下静脉穿刺置管术(8)_https://www.jmylbn.com_新闻资讯_第11张

第五步 超声证实穿刺导丝在血管内后,接着扩皮和置入导管

置入导丝后,仍需再次在短轴、长轴下确认导丝在血管内,确认后进行扩皮和置入导管。

(1)扩皮:沿导丝将扩皮器送入皮下扩皮,如皮肤或皮下组织较紧,可以小尖刀侧切小口。

(2)置入导管:将导管沿导丝置入锁骨下静脉,置入深度一般为 14~16cm。应先固定导丝近端,防止导丝进入过深,并缓慢置入导管,直至导丝能伸出导管尾端;再固定导丝尾端,防止导丝置入血管内,边进导管边退导丝。

导丝怎么扩规培临床技能:中心静脉置管术全攻略之超声引导下锁骨下静脉穿刺置管术(8)_https://www.jmylbn.com_新闻资讯_第12张

第六步  超声证实导管在血管内

最后,成功置入导管后,在短轴、长轴下确认导管在目标血管内。

导丝怎么扩规培临床技能:中心静脉置管术全攻略之超声引导下锁骨下静脉穿刺置管术(8)_https://www.jmylbn.com_新闻资讯_第13张

10.导管建立后评估:评估导管通畅程度:使用20ml无菌注射器6秒内可以快速回抽20ml血液(或者使用10ml无菌注射器3秒内可以快速回抽10ml血液),证明血流可达到200ml/min,证明管路通畅,CRRT血管通路的基本要求是,血流大于200ml/min。

11.固定导管:

沿导丝置导管后拔出导丝,回抽血判断导管是否通畅,稀肝素水封管,缝合固定,再以敷料覆盖包扎。

12.术后处理:

(1)推荐置管后行胸部 X 线摄片,了解导管位置。

(2)观察患者生命体征,有无呼吸困难、血肿等并发症。

(3)记录导管置入的深度、时间等信息。

(4)定期对导管进行护理,更换敷料,冲管、封管等。