导丝怎么扩挑战高龄高危极限,引领微创“心”突破!大医二院赵昕教授团队使用Renatus®球扩瓣成功完成一例高难度经导管二尖瓣瓣中瓣置换术

新闻资讯2026-04-21 09:04:24
导丝怎么扩挑战高龄高危极限,引领微创“心”突破!大医二院赵昕教授团队使用Renatus®球扩瓣成功完成一例高难度经导管二尖瓣瓣中瓣置换术_https://www.jmylbn.com_新闻资讯_第1张


近日,大连医科大学附属第二医院心血管内科赵昕教授团队,联合超声医学科、麻醉科等多学科紧密协作,应用佰仁医疗Renatus®瓣膜系统,成功为一名高难度二尖瓣置换术后生物瓣衰败、二尖瓣重度反流的高龄患者,实施了经导管二尖瓣瓣中瓣置换术。该患者为77岁女性,因心脏重构,左右心房显著扩大,心功能差,再次接受传统外科开胸手术风险极高。面对这一挑战,赵昕教授团队组织多学科专家进行了深入研讨与全面评估,最终制定了经股静脉入路的微创介入手术方案。该方案旨在以最小的创伤,最大程度地确保手术的安全性及治疗的有效性。手术过程顺利,术后患者血流动力学即刻改善,取得了圆满成功,标志着大医二院在复杂结构性心脏病的微创介入治疗领域取得了又一重要突破。


病史


患者77岁老年女性,既往因风心病行二尖瓣生物瓣置换,入院后完善心脏超声等检查示二尖瓣生物瓣衰败并重度反流,PW测二尖前向血流速度Vmax:2.4m/s,PGmax:25mmHg。三尖瓣中度反流,心功能: 左室整体收缩功能尚好(LVEF:60%)。


术前CT评估


二尖瓣生物瓣支架内径 26.5mm,结合瓣架形态、瓣架高度及手术记录,符合EPIC 27#。瓣中瓣治疗考虑选择25# 介入瓣膜。模拟25# 瓣膜植入,测得NEO-LVOT 面积155.8mm²,术后存在新流出道梗阻风险。左心耳尖端未见血栓。左心房增大73.4*118.7mm,房间隔未见增厚,未见明显钙化,靠后靠下房间隔穿刺点距二尖瓣水平高度27.7mm,房间隔穿刺点高度可。


导丝怎么扩挑战高龄高危极限,引领微创“心”突破!大医二院赵昕教授团队使用Renatus®球扩瓣成功完成一例高难度经导管二尖瓣瓣中瓣置换术_https://www.jmylbn.com_新闻资讯_第2张


导丝怎么扩挑战高龄高危极限,引领微创“心”突破!大医二院赵昕教授团队使用Renatus®球扩瓣成功完成一例高难度经导管二尖瓣瓣中瓣置换术_https://www.jmylbn.com_新闻资讯_第3张


导丝怎么扩挑战高龄高危极限,引领微创“心”突破!大医二院赵昕教授团队使用Renatus®球扩瓣成功完成一例高难度经导管二尖瓣瓣中瓣置换术_https://www.jmylbn.com_新闻资讯_第4张


导丝怎么扩挑战高龄高危极限,引领微创“心”突破!大医二院赵昕教授团队使用Renatus®球扩瓣成功完成一例高难度经导管二尖瓣瓣中瓣置换术_https://www.jmylbn.com_新闻资讯_第5张


导丝怎么扩挑战高龄高危极限,引领微创“心”突破!大医二院赵昕教授团队使用Renatus®球扩瓣成功完成一例高难度经导管二尖瓣瓣中瓣置换术_https://www.jmylbn.com_新闻资讯_第6张


手术策略


主入路:右侧股静脉,预置血管缝合器。辅助入路:左侧股动脉,用于监测血压、造影及必要时建立轨道。左股静脉置入临时起搏电极;备IABP。术中行二尖瓣球囊扩张进一步评估NEO-LVOT空间,拟植入25# 介入瓣,释放位置为80/20(偏向房侧)。


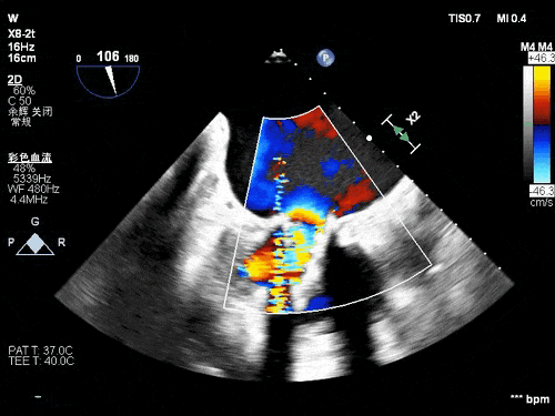
术前TEE影像


导丝怎么扩挑战高龄高危极限,引领微创“心”突破!大医二院赵昕教授团队使用Renatus®球扩瓣成功完成一例高难度经导管二尖瓣瓣中瓣置换术_https://www.jmylbn.com_新闻资讯_第7张


手术过程


1.房间隔穿刺与轨道建立:

在经食道超声心动图(TEE)及X线透视引导下,使用SWARTZ鞘及房间隔穿刺针于卵圆窝后方成功穿刺房间隔。


经房间隔送导丝穿过二尖瓣进入左室(由于外科置换的二尖瓣严重衰败并存在大量反流,造成了左心房显著扩大),无法直接将猪尾导管经导丝送入左心室。遂将260 cm长的超滑导丝经房间隔-左室-主动脉瓣进而送入升主动脉。经左股动脉置入圈套器将该导丝抓捕并拉出体外,建立股静脉-右心房-左心房-左心室-股动脉的轨道。


2.交换猪尾导管入左心室,同步测量左心室压力97/8 mmHg,左心房压力45/24 mmHg。再次交换加硬导丝至左心室。沿导丝送入14×40 mm球囊,扩张房间隔穿刺孔。


3.原生物瓣扩张与风险评估:

经左股动脉送入猪尾导管至左心室。在快速心室起搏下,使用14×40 mm球囊对衰败的二尖瓣生物瓣进行预扩张,同期行左室造影评估,判断新瓣膜植入后发生左室流出道梗阻的风险较低。


4.瓣膜植入:

将25#球囊扩张式瓣膜输送系统沿加硬导丝送至二尖瓣环位置。在TEE及DSA多角度共同确认下,精确定位。在RVP下,快速充盈球囊,将新瓣膜成功释放并固定于原生物瓣环内。即刻TEE及造影评估显示:人工瓣膜位置良好,功能正常,未见瓣周漏,左室流出道通畅。


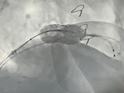
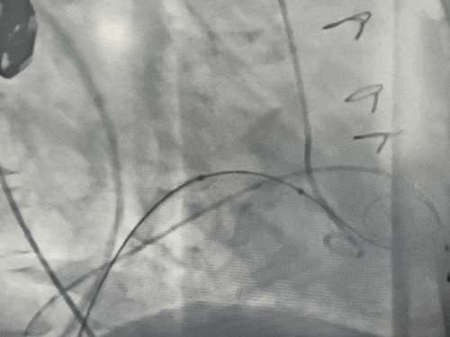
手术DSA


导丝怎么扩挑战高龄高危极限,引领微创“心”突破!大医二院赵昕教授团队使用Renatus®球扩瓣成功完成一例高难度经导管二尖瓣瓣中瓣置换术_https://www.jmylbn.com_新闻资讯_第8张

术前二尖瓣大量反流

导丝怎么扩挑战高龄高危极限,引领微创“心”突破!大医二院赵昕教授团队使用Renatus®球扩瓣成功完成一例高难度经导管二尖瓣瓣中瓣置换术_https://www.jmylbn.com_新闻资讯_第9张

球囊预扩张同时行左室造影评估


导丝怎么扩挑战高龄高危极限,引领微创“心”突破!大医二院赵昕教授团队使用Renatus®球扩瓣成功完成一例高难度经导管二尖瓣瓣中瓣置换术_https://www.jmylbn.com_新闻资讯_第10张

释放瓣膜

导丝怎么扩挑战高龄高危极限,引领微创“心”突破!大医二院赵昕教授团队使用Renatus®球扩瓣成功完成一例高难度经导管二尖瓣瓣中瓣置换术_https://www.jmylbn.com_新闻资讯_第11张

术后复查左室造影:二尖瓣反流完全消失,瓣膜功能良好,且成功避免了左室流出道梗阻等严重并发症


导丝怎么扩挑战高龄高危极限,引领微创“心”突破!大医二院赵昕教授团队使用Renatus®球扩瓣成功完成一例高难度经导管二尖瓣瓣中瓣置换术_https://www.jmylbn.com_新闻资讯_第12张
导丝怎么扩挑战高龄高危极限,引领微创“心”突破!大医二院赵昕教授团队使用Renatus®球扩瓣成功完成一例高难度经导管二尖瓣瓣中瓣置换术_https://www.jmylbn.com_新闻资讯_第13张

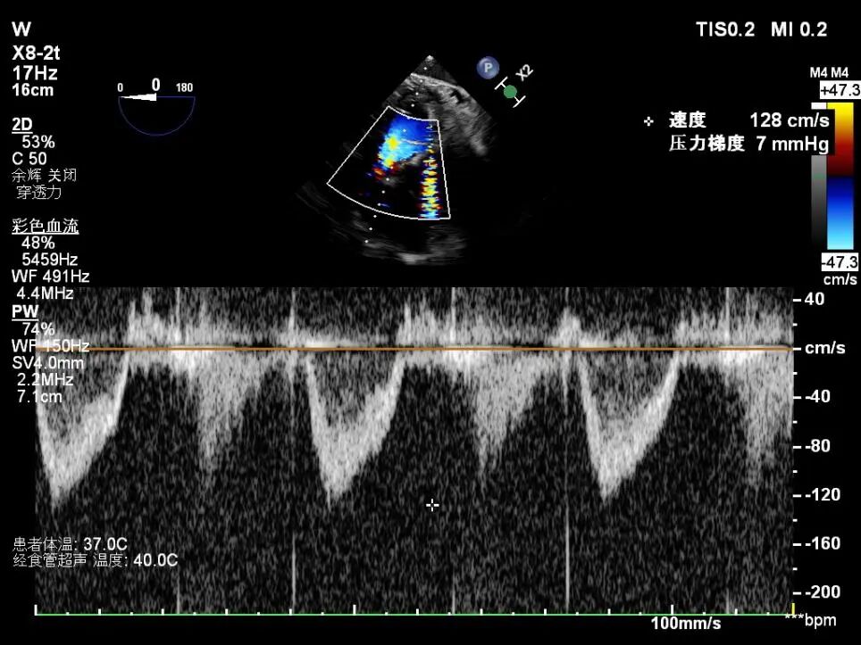
术后TEE图像


瓣膜释放后超声观察无瓣周漏,峰值流速0.76m/s,峰值压差5mmHg,平均压差2mmHg,流出道峰值流速1.28m/s,峰值压差7mmHg。


专家简介


导丝怎么扩挑战高龄高危极限,引领微创“心”突破!大医二院赵昕教授团队使用Renatus®球扩瓣成功完成一例高难度经导管二尖瓣瓣中瓣置换术_https://www.jmylbn.com_新闻资讯_第14张


赵昕

大连医科大学附属第二医院(点击查看专家详细简历)

导丝怎么扩挑战高龄高危极限,引领微创“心”突破!大医二院赵昕教授团队使用Renatus®球扩瓣成功完成一例高难度经导管二尖瓣瓣中瓣置换术_https://www.jmylbn.com_新闻资讯_第15张



延伸阅读

向上滑动阅览

破茧“心”生 | 国药东风总医院成功开展首例国产RENATUS®球扩瓣TAVR手术,为重度主动脉瓣狭窄患者重启生命之门

内外联动,共克难关!清华长庚医院心脏外科贾一新教授团队与心脏内科薛亚军教授团队共同完成一例合并冠脉多支病变的经心尖主动脉瓣置换术

华东首例|浙大一院马量主任、李伟栋教授团队成功应用佰仁RENATUS®完成首例经股静脉-房间隔二尖瓣环中瓣置换术

再扩“心”生丨厦门大学附属第一医院采用RENATUS®国产球扩瓣圆满完成院内首例TVIV手术

生命“阀门”焕新,重启心门:浙江大学医学院附属第一医院心内科郭晓纲教授团队完成RENATUS®介入球扩瓣TAVR植入

双瓣首例,心术革新|中南大学湘雅二医院刘立明主任,赵元教授团队成功完成AVIV+MVIV同台高难度双瓣中瓣置换手术!

郑州市第七人民医院成功应用RENATUS®经导管主动脉瓣系统完成一例二尖瓣环中瓣

鲁西首例!聊城市人民医院应用Renatus®球扩瓣系统联合BVF技术成功实施一台AVIV手术,破解生物瓣衰败难题!

再扩心生|阜外华中心血管病医院首次采用RENATUS®国产球扩瓣圆满完成TAVR手术!

填补空白:热烈祝贺西安国际医学中心医院心内二科球扩式TAVI首植成功!

绝境“心”生!湘雅二医院刘立明主任,赵元教授团队应用RENATUS®成功为EF值28%合并尿毒症极高危患者实施经心尖TAVR

甘肃首例|兰州大学第二医院吴向阳教授团队成功完成甘肃首例佰迈思®限位可扩瓣植入

安徽首例!中科大附一院完成高难度复合心脏手术

再扩“心”生|中山大学第一附属医院广西医院袁军教授、刘宇教授团队成功应用RENATUS®经导管主动脉瓣系统完成一例TAVR手术

山东首例、从“心”破局|山东大学齐鲁医院谷兴华教授团队成功应用国产球扩瓣系统实现经心尖扩断瓣环MVIV技术

海南省首例!琼海人民医院叶张章教授团队应用RENATUS®成功完成一例TYPE1型二叶瓣的经导管主动脉瓣植入

再扩“心”生|南昌大学第二附属医院杨人强主任团队应用RENATUS®经导管主动脉瓣系统成功挑战重度钙化Type 0型二叶瓣病例

急诊TAVR | 兰州大学第一医院成功应用RENATUS®球扩经导管主动脉瓣系统完成ECMO支持下、无CT评估急诊TAVR一例

同期双瓣中瓣介入治疗|首都医科大学附属北京安贞医院来永强主任团队应用Renatus国产球扩瓣完成院内首例双瓣瓣中瓣置换手术!
再扩“心”生!玉林市第一人民医院陈军教授团队成功植入广西首例经心尖RENATUS ®经导管主动脉瓣系统

中西医结合|成都中医药大学附属医院成功应用RENATUS®经导管主动脉瓣系统独立完成全国首批植入

芜湖弋矶山医院|张大发主任带领团队独立应用RENATUS®经导管主动脉瓣系统完成一例经心尖主动脉瓣瓣中瓣置换

再扩“心”生!空军军医大学西京医院为84岁高龄女性患者成功实施Redo-TAVR,国产佰仁Renatus系统彰显卓越性能

再扩“心”生!|广西中医药大学附属瑞康医院成功应用RENATUS®开展首例经导管球扩瓣主动脉瓣置换术(TAVR)
多学科接力,为生命续航!|宁夏医科大学总医院成功应用RENATUS®经导管主动脉瓣系统完成宁夏首例MVIV
再扩“心”生|吉林大学中日联谊医院贺玉泉教授团队应用Renatus®成功完成首例经导管二尖瓣瓣中瓣置换术
首植成功!空军军医大学唐都医院李妍教授团队应用RENATUS®经导管主动脉瓣系统成功开展一例极具挑战性TAVR手术
自贡市第四人民医院心内科成功应用RENATUS®经导管主动脉瓣系统独立完成全国首批植入
黄金四分钟创造生命奇迹!|广州医科大学附属第一医院王慧勇教授又一次带领多科室联动完成高危主动脉瓣狭窄患者紧急TAVR手术!
攻克复杂病例!潍坊市人民医院王世勋团队再一次用国产球扩瓣RENATUS®成功实施TAVR手术
广西北部湾沿海地区首例!钦州市第二人民医院蓝子深教授团队应用 RENATUS®成功完成一例经导管主动脉瓣植入
首植成功|湖南中医药大学附属第一医院徐朝军主任团队联合多科室成功应用RENATUS®经导管主动脉瓣系统完成院内首例球扩瓣植入
热烈庆祝珠江医院华南区首例经心尖RENATUS®成功植入
再扩“心”生|武汉亚洲心脏病医院华正东教授团队完成院内首例经股静脉-房间隔入路的二尖瓣瓣中瓣手术
首例植入|湖南省直中医医院李文韬主任带领团队成功应用RENATUS®经导管主动脉瓣系统完成首例植入
华南首例:82岁不开胸再次置换三尖瓣|中山大学附属第一医院吴钟凯教授团队应用RENATUS成功完成一例经导管三尖瓣瓣中瓣植入
再扩“心”生 | 佛山市第一人民医院许兆延主任团队成功应用RENATUS®经导管主动脉瓣系统完成一例经导管主动脉瓣置换术
势如破竹,再创辉煌|武汉亚心总医院苏晞、张龙岩教授团队接连完成两例经右股静脉-房间隔入路的高难度Mviv手术
东北首植|哈尔滨医科大学附属第一医院谢宝栋教授带领团队成功完成东北地区首款国产球扩瓣RENATUS®首例植入
全国首批|汕头大学医学院第一附属医院王斌教授带领心血管内科团队成功完成首款国产球扩瓣RENATUS®植入

全国首批|汕头大学医学院第二附属医院李吉林主任团队成功完成首款国产球扩瓣RENATUS®植入

全国首批|湘潭市中心医院吴名星教授团队完成RENATUS®经导管主动脉瓣系统植入

首植告捷 | 多家中心成功完成RENATUS®经导管主动脉瓣系统全国首批植入

精易球全,再扩心生——佰仁医疗Renatus®经导管主动脉瓣系统获批上市


· END ·

导丝怎么扩挑战高龄高危极限,引领微创“心”突破!大医二院赵昕教授团队使用Renatus®球扩瓣成功完成一例高难度经导管二尖瓣瓣中瓣置换术_https://www.jmylbn.com_新闻资讯_第16张

版权及免责声明:严道医声网旨在搭建学术传播及媒体发声平台,文内信息版权属于持有人,我们只提供传递信息之用。如有侵权,请联系我们删除。

获取更多资讯,点击 “阅读原文” 下载 “严道医声APP”