导丝怎么扩右冠近段弥漫性病变中远段闭塞顺利开通并植入支架,哪知道故事才刚刚开始!!!

新闻资讯2026-04-21 09:04:12

艰难的后扩


病例资料

患者女性,56岁,以“发作性胸痛、胸闷半月”为主诉入院。

 

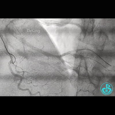
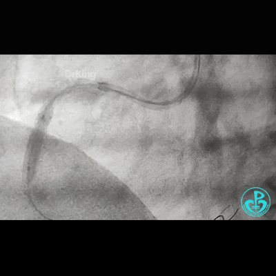
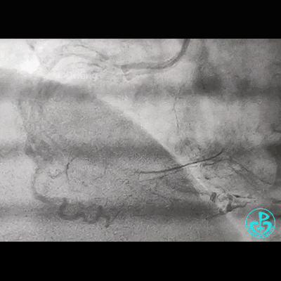
冠脉造影

右锁骨下动脉迂曲打圈,影像如下:

导丝怎么扩右冠近段弥漫性病变中远段闭塞顺利开通并植入支架,哪知道故事才刚刚开始!!!_https://www.jmylbn.com_新闻资讯_第1张
导丝怎么扩右冠近段弥漫性病变中远段闭塞顺利开通并植入支架,哪知道故事才刚刚开始!!!_https://www.jmylbn.com_新闻资讯_第2张
导丝怎么扩右冠近段弥漫性病变中远段闭塞顺利开通并植入支架,哪知道故事才刚刚开始!!!_https://www.jmylbn.com_新闻资讯_第3张

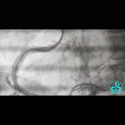
病变简单吧!

 

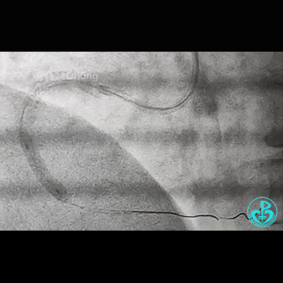
治疗过程

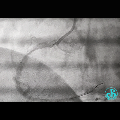
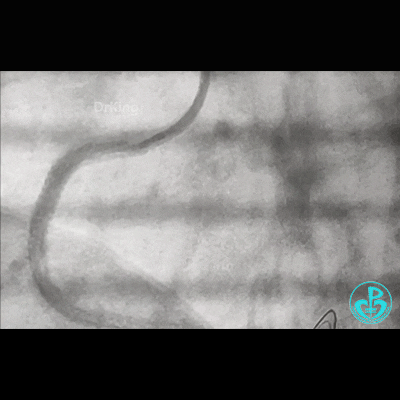
处理右冠,XB RCA,Sion、Sion blue导丝,2.0×20mm球囊。支架植入过程相当顺利,很快就完成,窃喜!心想后扩后马上结束!

导丝怎么扩右冠近段弥漫性病变中远段闭塞顺利开通并植入支架,哪知道故事才刚刚开始!!!_https://www.jmylbn.com_新闻资讯_第4张
导丝怎么扩右冠近段弥漫性病变中远段闭塞顺利开通并植入支架,哪知道故事才刚刚开始!!!_https://www.jmylbn.com_新闻资讯_第5张

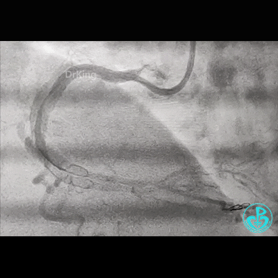
植入3.5×29mm和3.5×24mm支架。

导丝怎么扩右冠近段弥漫性病变中远段闭塞顺利开通并植入支架,哪知道故事才刚刚开始!!!_https://www.jmylbn.com_新闻资讯_第6张
导丝怎么扩右冠近段弥漫性病变中远段闭塞顺利开通并植入支架,哪知道故事才刚刚开始!!!_https://www.jmylbn.com_新闻资讯_第7张
导丝怎么扩右冠近段弥漫性病变中远段闭塞顺利开通并植入支架,哪知道故事才刚刚开始!!!_https://www.jmylbn.com_新闻资讯_第8张
导丝怎么扩右冠近段弥漫性病变中远段闭塞顺利开通并植入支架,哪知道故事才刚刚开始!!!_https://www.jmylbn.com_新闻资讯_第9张
导丝怎么扩右冠近段弥漫性病变中远段闭塞顺利开通并植入支架,哪知道故事才刚刚开始!!!_https://www.jmylbn.com_新闻资讯_第10张

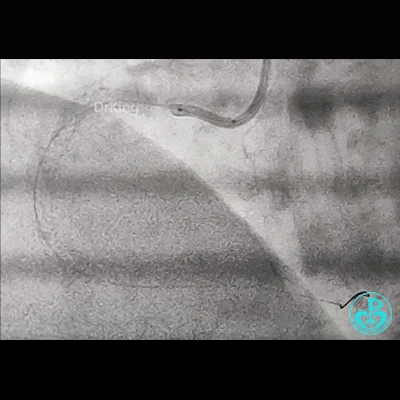
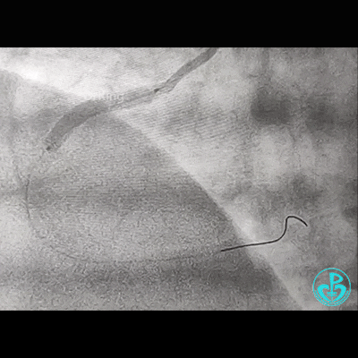
开始后扩,3.5×15mm后扩球囊不能进入近端支架口,GC系统飞出!故事开始。

重进导丝,比较顺利!3.5×15mm球囊仍不能通过支架近段!再进一根导丝,还不行!

导丝怎么扩右冠近段弥漫性病变中远段闭塞顺利开通并植入支架,哪知道故事才刚刚开始!!!_https://www.jmylbn.com_新闻资讯_第11张

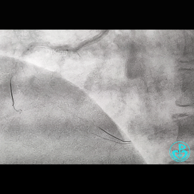
考虑导丝可能从支架钢梁外进入,故调整GC,把两根导丝均Knuckle进入,再进球囊!不行!

导丝怎么扩右冠近段弥漫性病变中远段闭塞顺利开通并植入支架,哪知道故事才刚刚开始!!!_https://www.jmylbn.com_新闻资讯_第12张
导丝怎么扩右冠近段弥漫性病变中远段闭塞顺利开通并植入支架,哪知道故事才刚刚开始!!!_https://www.jmylbn.com_新闻资讯_第13张

因右锁骨下动脉迂曲打弯,GC张力过高,尝试GC深插,有阻力,不敢粗暴,稍微提出到开口,则立即飞出!


如此,反反复复,重进导丝,急切不能得手。

怎么办?


病人稳定。

调整心态,不再急躁!慢慢操作。

调整GC,重进导丝,先用1.5mm球囊,2.0mm球囊,3.5mm球囊……完成后扩!

导丝怎么扩右冠近段弥漫性病变中远段闭塞顺利开通并植入支架,哪知道故事才刚刚开始!!!_https://www.jmylbn.com_新闻资讯_第14张
导丝怎么扩右冠近段弥漫性病变中远段闭塞顺利开通并植入支架,哪知道故事才刚刚开始!!!_https://www.jmylbn.com_新闻资讯_第15张
导丝怎么扩右冠近段弥漫性病变中远段闭塞顺利开通并植入支架,哪知道故事才刚刚开始!!!_https://www.jmylbn.com_新闻资讯_第16张
导丝怎么扩右冠近段弥漫性病变中远段闭塞顺利开通并植入支架,哪知道故事才刚刚开始!!!_https://www.jmylbn.com_新闻资讯_第17张
导丝怎么扩右冠近段弥漫性病变中远段闭塞顺利开通并植入支架,哪知道故事才刚刚开始!!!_https://www.jmylbn.com_新闻资讯_第18张
导丝怎么扩右冠近段弥漫性病变中远段闭塞顺利开通并植入支架,哪知道故事才刚刚开始!!!_https://www.jmylbn.com_新闻资讯_第19张
导丝怎么扩右冠近段弥漫性病变中远段闭塞顺利开通并植入支架,哪知道故事才刚刚开始!!!_https://www.jmylbn.com_新闻资讯_第20张
导丝怎么扩右冠近段弥漫性病变中远段闭塞顺利开通并植入支架,哪知道故事才刚刚开始!!!_https://www.jmylbn.com_新闻资讯_第21张

此时,鞘管外GC已经扭曲,更换JR 4.0,看右冠开口。

导丝怎么扩右冠近段弥漫性病变中远段闭塞顺利开通并植入支架,哪知道故事才刚刚开始!!!_https://www.jmylbn.com_新闻资讯_第22张
导丝怎么扩右冠近段弥漫性病变中远段闭塞顺利开通并植入支架,哪知道故事才刚刚开始!!!_https://www.jmylbn.com_新闻资讯_第23张

反复操作GC,疑似右冠开口已经夹层,此时心电图无异常!

补3.5×12mm支架一枚。

导丝怎么扩右冠近段弥漫性病变中远段闭塞顺利开通并植入支架,哪知道故事才刚刚开始!!!_https://www.jmylbn.com_新闻资讯_第24张
导丝怎么扩右冠近段弥漫性病变中远段闭塞顺利开通并植入支架,哪知道故事才刚刚开始!!!_https://www.jmylbn.com_新闻资讯_第25张
导丝怎么扩右冠近段弥漫性病变中远段闭塞顺利开通并植入支架,哪知道故事才刚刚开始!!!_https://www.jmylbn.com_新闻资讯_第26张
导丝怎么扩右冠近段弥漫性病变中远段闭塞顺利开通并植入支架,哪知道故事才刚刚开始!!!_https://www.jmylbn.com_新闻资讯_第27张

这台20分钟就能完成的手术,耗时达2个小时!

 

总结

锁骨下动脉迂曲,术中GC飞出,是造成故事的原因!


共享病例 深度学习

声明:本讨论来源于介入并发症群及其版权所有,转载请注明出处(专家姓名+DrKing道金医学)。文内观点针对特定病例,不具备广泛临床指导意义,请勿简单模仿,以免对患者带来负面影响。对于盲目模仿文中方法带来的不良后果,DrKing道金医学不负任何责任。

说明:文章中所使用的文字和图片如有侵权请告知,我们会第一时间撤回删除。

本期编辑:道金团队