太行ct怎么样【硬核设备】河北以岭医院引进超高端 CT,开启精准医疗新篇章

新闻资讯2026-04-21 08:09:32
太行ct怎么样【硬核设备】河北以岭医院引进超高端 CT,开启精准医疗新篇章_https://www.jmylbn.com_新闻资讯_第1张

精准影像,设备先行,在当今的医疗环境下,患者希望以更低的医疗成本获得更高的诊疗效果。为了给人民群众提供更优质的诊疗服务,近日,河北以岭医院引进超高端多排螺旋CT,经安装调试,现已正式投入使用。

太行ct怎么样【硬核设备】河北以岭医院引进超高端 CT,开启精准医疗新篇章_https://www.jmylbn.com_新闻资讯_第2张

此次引进的超高端 CT采用了国内自主研发创新的真球面宽体探测器,全球领先的磁悬浮电磁直驱系统,最快旋转速度0.25s,具有扫描速度更快、图像质量更高、辐射剂量更低、覆盖范围更宽等诸多优势,填补了超高端CT领域的技术空白。

太行ct怎么样【硬核设备】河北以岭医院引进超高端 CT,开启精准医疗新篇章_https://www.jmylbn.com_新闻资讯_第3张


太行ct怎么样【硬核设备】河北以岭医院引进超高端 CT,开启精准医疗新篇章_https://www.jmylbn.com_新闻资讯_第4张

设备优势

太行ct怎么样【硬核设备】河北以岭医院引进超高端 CT,开启精准医疗新篇章_https://www.jmylbn.com_新闻资讯_第5张
太行ct怎么样【硬核设备】河北以岭医院引进超高端 CT,开启精准医疗新篇章_https://www.jmylbn.com_新闻资讯_第6张
太行ct怎么样【硬核设备】河北以岭医院引进超高端 CT,开启精准医疗新篇章_https://www.jmylbn.com_新闻资讯_第7张

80cm大孔径,患者检查舒适并多功能


宽敞舒适的检查空间,最大限度降低患者因为局促空间而带来的不适感,消除患者紧张情绪,让患者在自然轻松的环境下完成CT检查,同时也肥胖患者或者需要携带仪器设备的重症患者轻松完成检查


真球面神光探测器,宽体全能


神光探测器采用明峰医疗自主研发的神光材料,真球面设计,相较于传统探测器材料具有更多优势,衰减速度是传统探测器材料的50倍,发光效率是传统探测器材料的2倍,降低50%的辐射;余晖时间与传统探测器材料相比降低75%,可以减少相邻信号采集间的干扰;提升采样率和数据的质量,确保优异成像质量,降低辐射剂量。在全身大范围扫描时,能够使每个探测器像素垂直对准球管焦点,消除锥形束伪影,实现大范围、高品质、低剂量扫描


“磁悬浮”电磁直驱,静音极速


神舟机架采用“磁悬浮”电磁直驱,机架转子和定子之间利用电磁直驱技术,无摩擦和损耗。启动速度更快,旋转精度远高于传统的皮钢带结构,而且寿命更长。同时也大大的降低了检查过程中的噪音污染提高患者在检查过程中的舒适度


NDI+微剂量迭代重建算法,超低剂量


采用“智能多级双域”迭代重建—人工智能辅助的基于物理模型的迭代重建算法,原始数据在投影域和图像显示域同时进行迭代,其中投影域迭代加入了球管和探测器物理特性的物理模型,在图像域迭代过程中加入了基于解剖结构深度学习网络来控制迭代深度,进行图像不同尺度的细节复原运算,最终可实现超低剂量的CT检查


高端智能全身临床应用


该设备实现了真正的自由呼吸、自由心率、全器官动态功能成像、一站式多功能成像、全脏器灌注功能成像、能谱成像、多模态成像,从影像学跨入功能学的新领域,开拓了CT临床应用新纪元。

太行ct怎么样【硬核设备】河北以岭医院引进超高端 CT,开启精准医疗新篇章_https://www.jmylbn.com_新闻资讯_第8张

应用范围

01


胸痛一站式检查

超高端CT优势可通过一次打药、一次扫描同时得到冠状动脉CTA、肺动脉CTA和主动脉CTA检查,该技术是针对急性胸痛三联征是一种无创、可靠的检查方法。通过一次扫描,清晰显示出肺动脉、胸主动脉、冠状动脉、肺部结构,扫描所获得的图像可以为诊断疾病提供多项信息,为明确具体病因赢得宝贵时间抢救时间。

太行ct怎么样【硬核设备】河北以岭医院引进超高端 CT,开启精准医疗新篇章_https://www.jmylbn.com_新闻资讯_第9张

02


脑卒中一站式检查

脑卒中一站式检查包括CT平扫+CTP(CT灌注成像)+CTA(CT血管成像),脑CTP对于脑卒中患者治疗策略具有指导性临床意义;CTA可以判别脑卒中相关的的责任血管(罪犯血管)情况、评估侧枝循环代偿功能。

03


缺血性心脏病一站式检查

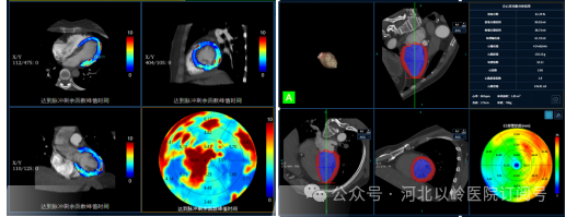
缺血性心脏病一站式CT检查可以可通过一次打药、一次扫描以及图像重建,同时获得心肌灌注参数、冠状动脉图像及心功能分析。正确评价冠状动脉有无狭窄、心肌供血情况,冠状动脉狭窄程度与心肌供血关系等。

太行ct怎么样【硬核设备】河北以岭医院引进超高端 CT,开启精准医疗新篇章_https://www.jmylbn.com_新闻资讯_第10张

04


心脏冠状动脉成像

机架0.25s的超高转速,可在单次心动周期内即完成冠脉检查扫描,使得冠状动脉检查成功率接近100%,在冠状动脉血管病变的筛查、冠状动脉支架和搭桥血管评价等方面极具优势。相对于传统CT做冠脉CTA检查,超高端螺旋CT设备在患者有心律过高、心律不齐或房颤等情况下,依旧可以获得清晰的图像,这对于心血管疾病的诊断和治疗具有重要意义。

太行ct怎么样【硬核设备】河北以岭医院引进超高端 CT,开启精准医疗新篇章_https://www.jmylbn.com_新闻资讯_第11张

05


头颈部血管成像技术

对于头颈部血管大范围成像,可同时观察颈总动脉、颈内动脉、颈外动脉、椎动脉以及颅内动脉如大脑前、中、后动脉等是否有动脉瘤形成、是否有斑块形成、斑块性质分析、管腔是否有狭窄、狭窄程度分析、是否存在低灌注等情况,对于脑缺血、脑梗塞可以早期发现、准确定位。

太行ct怎么样【硬核设备】河北以岭医院引进超高端 CT,开启精准医疗新篇章_https://www.jmylbn.com_新闻资讯_第12张

06


全身大范围扫描

覆盖范围广,短时间内完成检查,多种后处理分析软件能显示细小分支,可清晰显示动脉瘤、血管畸形、血管狭窄闭塞、动脉粥样硬化斑块、主动脉夹层、肿瘤血管等。

07


肝脏多功能成像

肝灌注扫描实现肝脏、肝动脉、肝静脉、门静脉的自动分割,支持肝八段自动分割,支持根据门静脉/肝静脉引流手动分割肝段,具备模拟手术刀和模拟穿刺功能,并计算切割和剩余的肝脏体积,实现术前精确的脏器内结构影像学评估支持。

太行ct怎么样【硬核设备】河北以岭医院引进超高端 CT,开启精准医疗新篇章_https://www.jmylbn.com_新闻资讯_第13张

08


能谱多功能成像

能谱CT突破了传统CT的等密度病灶局限,可形成直接反应病灶组织成分的图像,能够带来更丰富、精准、定量的多参数成像信息,对于肿瘤早期病灶发现、痛风石、结石成分分析、神经介入取栓溶栓后造影剂外渗及脑出血的精准鉴别诊断具有独特价值。

太行ct怎么样【硬核设备】河北以岭医院引进超高端 CT,开启精准医疗新篇章_https://www.jmylbn.com_新闻资讯_第14张

河北以岭医院一直秉持着“以患者为中心”的服务理念,近年来,在设备更新换代、提档升级、专业细化等方面不断加大投入,此次引进超高端多排螺旋 CT,将进一步提升医院的诊疗水平,为广大人民群众提供带来更为方便、快捷、精准、安全的医学影像服务,让广大患者享有更及时、有效、优质的医疗服务。

相关链接


HE BEI YI LING HOSPITAL

太行ct怎么样【硬核设备】河北以岭医院引进超高端 CT,开启精准医疗新篇章_https://www.jmylbn.com_新闻资讯_第15张

河北以岭医院自1992年创建,经过30余年的跨越式发展,如今已成为一所现代化、综合性、中西医结合三级甲等医院。医院现为河北医科大学附属医院、南京中医药大学附属医院、河北省中西医结合医药研究院附属医院、省市医疗保险定点医院、跨省异地就医联网医院、省医保慢病门诊定点医院、石家庄各县职工医保定点医院、石家庄市铁路医保定点医院、商业保险定点医院、国家工伤康复定点医院、河北省工伤康复中心、河北省中医肌萎缩治疗中心、河北省中医糖尿病治疗中心、石家庄市120急救分站。

太行ct怎么样【硬核设备】河北以岭医院引进超高端 CT,开启精准医疗新篇章_https://www.jmylbn.com_新闻资讯_第16张
太行ct怎么样【硬核设备】河北以岭医院引进超高端 CT,开启精准医疗新篇章_https://www.jmylbn.com_新闻资讯_第17张
太行ct怎么样【硬核设备】河北以岭医院引进超高端 CT,开启精准医疗新篇章_https://www.jmylbn.com_新闻资讯_第18张
太行ct怎么样【硬核设备】河北以岭医院引进超高端 CT,开启精准医疗新篇章_https://www.jmylbn.com_新闻资讯_第19张

目前,河北以岭医院已拥有1个国家区域中医诊疗中心、17个重点专科,包括国家中医临床重点专科1个、国家中医优势专科1个、国家中医药管理局重点专科2个、河北省中医药管理局重点专科3个、河北省中医优势专科5个、河北省中医优势专科建设单位1个、石家庄市中医重点专科3个、石家庄市中医重点专科建设单位1个。

此外医院加强院前急救,建立急性心梗、脑卒中、复杂外伤等急诊绿色通道;先后获评国家胸痛中心、卒中中心、心衰中心、房颤中心,目前创伤中心正在创建过程中。

太行ct怎么样【硬核设备】河北以岭医院引进超高端 CT,开启精准医疗新篇章_https://www.jmylbn.com_新闻资讯_第20张
太行ct怎么样【硬核设备】河北以岭医院引进超高端 CT,开启精准医疗新篇章_https://www.jmylbn.com_新闻资讯_第21张
太行ct怎么样【硬核设备】河北以岭医院引进超高端 CT,开启精准医疗新篇章_https://www.jmylbn.com_新闻资讯_第22张
太行ct怎么样【硬核设备】河北以岭医院引进超高端 CT,开启精准医疗新篇章_https://www.jmylbn.com_新闻资讯_第23张

医院承担了国家973项目2项、国家重点研发计划以及“十五”攻关、国家自然科学基金等30多项国家省市级科研课题,荣获国家科技进步一等奖、国家科技进步二等奖、中华中医药学会科学技术一等奖、河北省科技进步二等奖等各种奖励20余项,科研促进了新药研发,他们自主研究的100多种科研药物应用于临床,9种药物成为国家准字号新药。

医院拥有多种大型医疗设备,世界高端西门子SOMATOM FORCE开源CT、西门子3.0T 48通道超导核磁、法国声科顶级特种鉴别诊断超声系统、胶囊胃镜、奥林巴斯V290电子胃肠镜、数字减影血管造影机、美国通用全数字彩超、DR影像中心,先进的检验中心,胃肠镜、内窥镜、关节镜系列,现代化百级净化层流手术室。

医院始终以病人为中心,坚持“中医为主突出特色、医护服务营造精品、强化科研助推发展、以人为本共创名院”为指导思想,为患者提供更加高效、舒适、体贴的医疗服务。

走特色精品之路,创综合发展名院,河北以岭医院以创新的医疗技术不断提升医疗水平,以优质的服务赢得了广大患者信赖。

太行ct怎么样【硬核设备】河北以岭医院引进超高端 CT,开启精准医疗新篇章_https://www.jmylbn.com_新闻资讯_第24张
太行ct怎么样【硬核设备】河北以岭医院引进超高端 CT,开启精准医疗新篇章_https://www.jmylbn.com_新闻资讯_第25张
太行ct怎么样【硬核设备】河北以岭医院引进超高端 CT,开启精准医疗新篇章_https://www.jmylbn.com_新闻资讯_第26张

河北以岭医院

综合性三级甲等医院

省市医疗保险定点医院

跨省异地就医联网医院

省市医保慢性病定点医院

推行“会员制慢病管理”服务

官方网站:http://www.ylyy.org

咨询电话:400-612-2156

0311-83836460

长按二维码关注我们

太行ct怎么样【硬核设备】河北以岭医院引进超高端 CT,开启精准医疗新篇章_https://www.jmylbn.com_新闻资讯_第27张