为什么叫哈巴狗钳2023学术荟萃|王云:右侧肋间小切口体外循环心脏手术

新闻资讯2026-04-17 13:11:17

为什么叫哈巴狗钳2023学术荟萃|王云:右侧肋间小切口体外循环心脏手术_https://www.jmylbn.com_新闻资讯_第1张

为什么叫哈巴狗钳2023学术荟萃|王云:右侧肋间小切口体外循环心脏手术_https://www.jmylbn.com_新闻资讯_第2张
王云
天津康汇医院


特邀作者:王云

单位:天津康汇医院心脏大血管外科首席专家,宁夏医科大学总医院心脏大血管外科硕士研究生导师。


前言

目前胸骨正中切口仍然是体外循环心脏手术最常用的手术路径,优势有视野暴露充分、手术操作相对简单等,然而胸骨正中切口存在手术创伤大、术中出血量多、术后胸骨感染、疼痛、恢复时间长、花费大、影响美观,心理负担重等问题。近20多年来,国内外开始探索经胸部微创切口(不或不完全正中劈开胸骨)进行心脏手术。


微创主动脉瓣手术的历史
  • 1997年 Benetti 右前外侧肋间切口

  • 1998年 Cosgrove 胸骨旁小切口,断肋软骨

  • 1998年 Gundry 胸骨上段切口

  • 2002年 Cribier 首次人体 TAVI


心脏手术切口

为什么叫哈巴狗钳2023学术荟萃|王云:右侧肋间小切口体外循环心脏手术_https://www.jmylbn.com_新闻资讯_第3张


临床资料

我们从2017年10月至2022年3月,独立使用胸骨上段部分切口(第4或3肋间向右,长度8-10厘米),完成主动脉瓣置换17例,特点是手术视野小,手术方式与完全正中切口相似,但是仍然要扰动胸骨。


我们从2021年1月至2023年7月独立、循序渐进地开展经右侧肋间小切口(长度5-7厘米)体外循环心脏手术27例,手术从简单到较高难度:房间隔缺损修补(不适合介入封堵)、左房粘液瘤切除、主动脉瓣置换、主动脉窦瘤破裂修补(主动脉切口)、Bentall手术,其中有1例为扁平胸,改正中切口,剔除,以下26例临床资料。


术中手术切口

为什么叫哈巴狗钳2023学术荟萃|王云:右侧肋间小切口体外循环心脏手术_https://www.jmylbn.com_新闻资讯_第4张


缝合后手术伤口

为什么叫哈巴狗钳2023学术荟萃|王云:右侧肋间小切口体外循环心脏手术_https://www.jmylbn.com_新闻资讯_第5张


麻醉和体外循环

患者取仰卧位,常规全身麻醉及双腔气管插管,体表常规放置除颤电极,行右侧颈内静脉穿刺置入中心静脉导管。半量肝素化(1 mg/kg),在同侧中心静脉穿刺点下方约 1~2 cm 处,采用 穿刺+导丝 法再次穿刺置入 18F 静脉插管,右侧胸部垫高20度左右,术前体表标注胸骨旁2、3肋间。


常规胸部及腹股沟区消毒铺巾,解剖右侧股动、静脉。5-0Prolene 线荷包缝合并套管固定,追加全量肝素(2 mg/kg),采用 穿刺+导丝 法行股动( 18F -20F)、静脉插管( 21F -23F) ,建立体外循环(股动脉-股静脉+颈内静脉),部分静脉引流仅使用二级管股静脉插入。


手术切口选择
  • 做手术切口前,左肺通气,右肺萎陷,切口选择:

  • 房间隔缺损,左房粘液瘤做右胸骨旁(距1-2cm)第 3肋间横切口(5~7 cm),女性甚至在乳腺下缘腋前线附近做第 4 肋间横切口(5~7 cm)。主动脉瓣病变做右胸骨旁(距1cm)第 3 肋间横切口(5~7 cm)。Bentall 术采用右侧胸骨旁(距1cm)第 2 肋间切口(5~7 cm)。

  • 经肋间进胸后安装切口保护套。转机,静脉引流使用负压吸引,降温,停呼吸,纵行切开心包悬吊固定,充分显露升主动脉、右心房,切口内使用二氧化碳。


手术

房间隔缺损可以不阻断主动脉、心脏跳动下修补,必要时可以用大号哈巴狗钳或过阻断带阻断上、下腔静脉,可以用吸引左房血液,方便视野。用Glauber 钳阻断升主动脉,向下牵拉主动脉,甚至可以停机,务必完全阻断主动脉,左房粘液瘤经升主动脉灌入 HTK 心脏保护液 2000~2500 ml。主动脉瓣置换、主动脉窦瘤破裂修补、Bentall手术,切开升主动脉,经左、右冠脉口灌入 HTK 心脏保护液 2000~2500 ml;经右上肺静脉插入左心引流管入左室,进行手术。


13例右侧肋间小切口房间隔缺损修补术、左房粘液瘤切除术临床资料

为什么叫哈巴狗钳2023学术荟萃|王云:右侧肋间小切口体外循环心脏手术_https://www.jmylbn.com_新闻资讯_第6张

13例右侧肋间小切口主动脉瓣置换术、主动脉窦瘤破裂修补术、 BENTALL术临床资料

为什么叫哈巴狗钳2023学术荟萃|王云:右侧肋间小切口体外循环心脏手术_https://www.jmylbn.com_新闻资讯_第7张

首例房间隔缺损手术 乳腺下缘腋前线附近做第4肋间切口(7cm)

为什么叫哈巴狗钳2023学术荟萃|王云:右侧肋间小切口体外循环心脏手术_https://www.jmylbn.com_新闻资讯_第8张


右侧肋间小切口主动脉瓣置换术

麻醉成功后,经右侧股动、静脉及右侧颈内静脉插管建立体外循环,取右侧第三肋间小切口约7CM,依次进胸。切开心包并悬吊至合适位置,转流,降温,右上肺静脉置左心引流。阻主动脉,主动脉根部斜形切口,经两冠状动脉开口灌注含血停跳液,心脏停跳,心包腔置冰屑。探查见主动脉瓣三叶,切除病变主动脉瓣瓣叶,用生理盐水反复冲洗主动脉瓣瓣环和左室腔,间断褥式缝合植入主动脉瓣。


经右侧肋间小切口主动脉瓣置换术的特点

1.经右前胸肋间小切口行主动脉瓣置换术,手术切口短、创伤及瘢痕小,且切口位置比较隐蔽,患者更容易接受;2.维持了患者胸骨的稳定性,降低了胸骨和纵隔感染的发生率,可促进患者咳嗽排痰,促进呼吸功能恢复;3.术后出血量少;4.但是由于微创切口短,手术视野显露差,手术操作比较困难,导致微创组体外循环时间和主动脉阻断时间长于常规组。


右侧肋间小切口Bentall术

麻醉成功后,经右侧股动、静脉及右侧颈内静脉插管建立体外循环,取右侧第二肋间小切口约7cm,依次进胸。切开心包并悬吊至合适位置,转流,降温,右上肺静脉置左心引流。阻主动脉,主动脉根部纵形切口,经两冠状动脉开口灌注含血停跳液,心脏停跳,心包腔置冰屑。探查见主动脉瓣三叶,切除病变主动脉瓣瓣叶,用生理盐水反复冲洗主动脉瓣瓣环和左室腔,用带主动脉瓣管道行主动脉瓣置换,人工血管打孔,行左右冠状动脉开口移植,人工血管远端于升主动脉远端做端端吻合,固有主动脉瘤壁包绕人工血管,行固有主动脉、右心耳吻合。


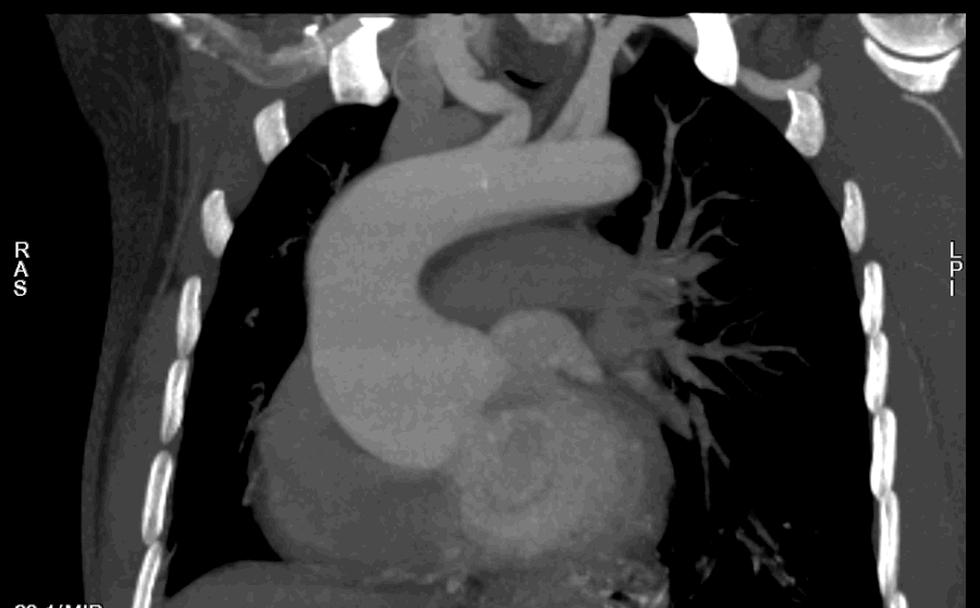
Bentall术前主动脉CTA 例1


为什么叫哈巴狗钳2023学术荟萃|王云:右侧肋间小切口体外循环心脏手术_https://www.jmylbn.com_新闻资讯_第9张

为什么叫哈巴狗钳2023学术荟萃|王云:右侧肋间小切口体外循环心脏手术_https://www.jmylbn.com_新闻资讯_第10张

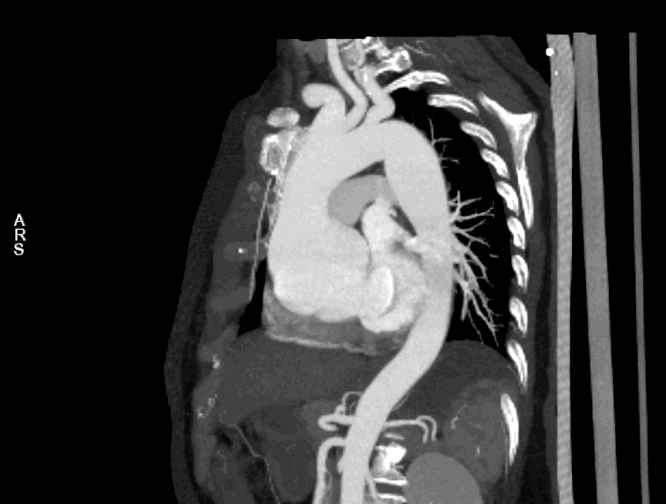
Bentall术前主动脉CTA 例2


为什么叫哈巴狗钳2023学术荟萃|王云:右侧肋间小切口体外循环心脏手术_https://www.jmylbn.com_新闻资讯_第11张

为什么叫哈巴狗钳2023学术荟萃|王云:右侧肋间小切口体外循环心脏手术_https://www.jmylbn.com_新闻资讯_第12张

微创Bentall手术 例1

为什么叫哈巴狗钳2023学术荟萃|王云:右侧肋间小切口体外循环心脏手术_https://www.jmylbn.com_新闻资讯_第13张

微创Bentall手术 例2

为什么叫哈巴狗钳2023学术荟萃|王云:右侧肋间小切口体外循环心脏手术_https://www.jmylbn.com_新闻资讯_第14张

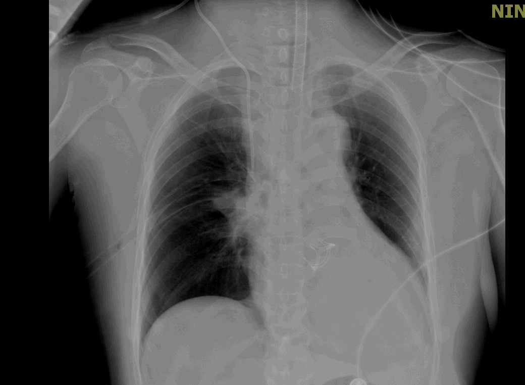
术后当天胸部X线正位片

为什么叫哈巴狗钳2023学术荟萃|王云:右侧肋间小切口体外循环心脏手术_https://www.jmylbn.com_新闻资讯_第15张

Bentall手术切口-6厘米

为什么叫哈巴狗钳2023学术荟萃|王云:右侧肋间小切口体外循环心脏手术_https://www.jmylbn.com_新闻资讯_第16张


经右侧肋间小切口Bentall术的特点

1.有研究表明,微创主动脉根部置换术术后早期死亡率更低,急性肾衰竭率更低,二次开胸止血率更低,术后在ICU停留时间更短,且在卒中风险面没有统计学差异,可以给患者在生存率和生活质量上带来益处;2.经右侧肋间小切口Bentall术手术时间更长,意味着更需要仔细考虑心肌保护,同时麻醉时间更久,对患者身体的损伤更大;3.经右侧肋间小切口Bentall术术野及操作空间小,术中止血较为困难,需要外科医生更仔细谨慎地操作,一旦术中大出血会直接影响手术进程和安全性,甚至需中转正中开胸。


讨论与总结

右前胸肋间小切口适合房间隔缺损,左房粘液瘤,主动脉瓣病变,主动脉窦瘤破裂,主动脉根部瘤手术,但手术技术要求高;具有显著的优势:1.避免胸骨全锯开或半锯开,减少创伤与出血,避免手术后胸骨裂开、感染;2.减轻疼痛,具有美容益处,3.术后患者恢复更快,减少住院时间和花费。


手术前检查及选择病人

1.(心脏)超声评估心脏病变及外周血管,2.胸部CT评估主动脉根部与胸骨及肋间隙的位置,主动脉瓣环50%以上在胸骨中线右侧,手术方便,3.排除不适合该微创切口的病人,如:周围动脉病变,过度肥胖,胸廓畸形,等等,4.主动脉 CTA 方便Bentall手术的选择。


手术要点

体表标注2、3肋间,腋中线;切口使用保护套,避免损伤乳内动脉;确切插入右侧颈内静脉、股动脉、股静脉管道;充分的心包牵引,暴露手术视野;确切的主动脉阻断,成功了一半,可牵拉、停机;右冠脉口显露困难,注意,使用冰水做心肌降温;左心室良好引流对于切开主动脉手术重要;主动脉窦瘤破裂修补,切开主动脉,注意右心房室的引流;房间隔修补时,不用阻断主动脉,使用二氧化碳气体,重视排气;心包缝合2针,在腋中线第5肋间置管引流。



总结

微创手术是外科领域发展的趋势,心脏大血管病情凶险复杂,微创化处理较为困难。术者应根据每个病患自身情况,循序渐进,稳妥推进,采用合适的微创手术入路方式,不断优化患者的个性化治疗,在保证病人安全,并达到满意治疗效果的同时,使手术最大程度微创化。


为什么叫哈巴狗钳2023学术荟萃|王云:右侧肋间小切口体外循环心脏手术_https://www.jmylbn.com_新闻资讯_第17张



为什么叫哈巴狗钳2023学术荟萃|王云:右侧肋间小切口体外循环心脏手术_https://www.jmylbn.com_新闻资讯_第18张



专家简介


为什么叫哈巴狗钳2023学术荟萃|王云:右侧肋间小切口体外循环心脏手术_https://www.jmylbn.com_新闻资讯_第19张
为什么叫哈巴狗钳2023学术荟萃|王云:右侧肋间小切口体外循环心脏手术_https://www.jmylbn.com_新闻资讯_第20张
为什么叫哈巴狗钳2023学术荟萃|王云:右侧肋间小切口体外循环心脏手术_https://www.jmylbn.com_新闻资讯_第21张扫描二维码进入专家学术空间


王云,医学博士,天津康汇医院心脏大血管外科首席专家,主任医师。原宁夏医科大学总医院心脏中心副主任,心脏大血管外科主任。二级教授,主任医师,硕士研究生导师。

现任中国医师协会心血管外科医师分会常委,国家心血管病专家委员会微创心血管外科、先心病专业委员会委员,宁夏医学会胸心血管外科分会主任委员,宁夏医师协会胸心血管外科医师分会名誉主任委员,天津医师协会心血管外科医师分会委员,宁夏医科大学学报编委,宁夏医学杂志编委,宁夏医学会理事,宁夏心血管外科联盟理事长。

1984年7月毕业于西安交通大学医学院获医学学士学位,1989年7月毕业于宁夏医科大学心脏外科专业获医学硕士学位,2007年12月在职就读于空军军医大学心脏外科专业获医学博士学位。美国华盛顿大学(西雅图)访问学者,新加坡国家心脏中心临床访问学者,宁夏自治区“313人才”,宁夏自治区高层次人才,银川市“五一劳动奖章”获得者,“中国医师协会心血管外科好医师(金刀奖)”称号获得者。

从事心血管外科30余年,业务范围:复杂(婴幼儿)先心病,心脏瓣膜成形、置换术,冠状动脉搭桥术,外科房颤消融术,大血管手术,微创心脏手术,危重心脏病人抢救,胸外科常规手术。

先后在国际、中华、核心和省级刊物上发表论文80余篇(第一作者或通讯作者);获国家级(横向合作研究基金),省部级,厅级自然科学基金16项(主持人);获省部级,厅级科技奖励12项(主持人);获宁夏医科大学总医院新技术奖励10项(主持人)。

为什么叫哈巴狗钳2023学术荟萃|王云:右侧肋间小切口体外循环心脏手术_https://www.jmylbn.com_新闻资讯_第22张
为什么叫哈巴狗钳2023学术荟萃|王云:右侧肋间小切口体外循环心脏手术_https://www.jmylbn.com_新闻资讯_第23张




推荐阅读


点击图片查看
为什么叫哈巴狗钳2023学术荟萃|王云:右侧肋间小切口体外循环心脏手术_https://www.jmylbn.com_新闻资讯_第24张

为什么叫哈巴狗钳2023学术荟萃|王云:右侧肋间小切口体外循环心脏手术_https://www.jmylbn.com_新闻资讯_第25张


为什么叫哈巴狗钳2023学术荟萃|王云:右侧肋间小切口体外循环心脏手术_https://www.jmylbn.com_新闻资讯_第26张


为什么叫哈巴狗钳2023学术荟萃|王云:右侧肋间小切口体外循环心脏手术_https://www.jmylbn.com_新闻资讯_第27张


为什么叫哈巴狗钳2023学术荟萃|王云:右侧肋间小切口体外循环心脏手术_https://www.jmylbn.com_新闻资讯_第28张


为什么叫哈巴狗钳2023学术荟萃|王云:右侧肋间小切口体外循环心脏手术_https://www.jmylbn.com_新闻资讯_第29张
欢迎扫码入群交流

长按识别二维码,

即可进入沟通交流群

为什么叫哈巴狗钳2023学术荟萃|王云:右侧肋间小切口体外循环心脏手术_https://www.jmylbn.com_新闻资讯_第30张


END
为什么叫哈巴狗钳2023学术荟萃|王云:右侧肋间小切口体外循环心脏手术_https://www.jmylbn.com_新闻资讯_第31张
未经授权不得转载
转载请注明365医学网
为什么叫哈巴狗钳2023学术荟萃|王云:右侧肋间小切口体外循环心脏手术_https://www.jmylbn.com_新闻资讯_第32张

为什么叫哈巴狗钳2023学术荟萃|王云:右侧肋间小切口体外循环心脏手术_https://www.jmylbn.com_新闻资讯_第33张