医讯怎么用『附一医讯』频繁血尿,一查竟是高危膀胱癌,福医附一医院泌尿外科新诊疗模式助力 “膀胱保卫战”,不用切除膀胱也能治愈肿瘤

新闻资讯2026-04-21 06:13:33

点击上方蓝字关注我们医讯怎么用『附一医讯』频繁血尿,一查竟是高危膀胱癌,福医附一医院泌尿外科新诊疗模式助力 “膀胱保卫战”,不用切除膀胱也能治愈肿瘤_https://www.jmylbn.com_新闻资讯_第1张

医讯怎么用『附一医讯』频繁血尿,一查竟是高危膀胱癌,福医附一医院泌尿外科新诊疗模式助力 “膀胱保卫战”,不用切除膀胱也能治愈肿瘤_https://www.jmylbn.com_新闻资讯_第2张


福清46岁的曾先生(化名)一年多前突然发现排出来的尿里血,既往有肾结石病史的他以前也有过这样的经历,便以为只是结石在作祟,并没有太放在心上。

但这几个月来,曾先生反反复复排了几次血尿,不放心的他这才前往医院就诊,没想到一查竟发现是膀胱多发肿瘤

经过进一步磁共振检查

当地医生告诉曾先生

他患的是肌层浸润性膀胱癌

需要手术把整个膀胱切除

让曾先生震惊无比

肌层浸润性膀胱癌是一种高度侵袭性的肿瘤,主要治疗方式之一是根治性膀胱切除术并行尿流改道永久腹壁造口,手术创伤大,术后恢复期较长,可能出现各种并发症,这也意味着患者术后的生活质量将大大受到影响。

医讯怎么用『附一医讯』频繁血尿,一查竟是高危膀胱癌,福医附一医院泌尿外科新诊疗模式助力 “膀胱保卫战”,不用切除膀胱也能治愈肿瘤_https://www.jmylbn.com_新闻资讯_第3张

医讯怎么用『附一医讯』频繁血尿,一查竟是高危膀胱癌,福医附一医院泌尿外科新诊疗模式助力 “膀胱保卫战”,不用切除膀胱也能治愈肿瘤_https://www.jmylbn.com_新闻资讯_第4张
医讯怎么用『附一医讯』频繁血尿,一查竟是高危膀胱癌,福医附一医院泌尿外科新诊疗模式助力 “膀胱保卫战”,不用切除膀胱也能治愈肿瘤_https://www.jmylbn.com_新闻资讯_第5张

▲全膀胱切口术后大部分患者需要永久行输尿管皮肤造口或回肠导管皮肤造口,曾先生难以接受这一治疗方式

曾先生为此奔波于福建各大医院,寻求更加理想的治疗方法。经多方了解,曾先生慕名来到福建医科大学附属第一医院泌尿外科。


医讯怎么用『附一医讯』频繁血尿,一查竟是高危膀胱癌,福医附一医院泌尿外科新诊疗模式助力 “膀胱保卫战”,不用切除膀胱也能治愈肿瘤_https://www.jmylbn.com_新闻资讯_第6张

个体化治疗方案保住膀胱

数月后肿瘤奇迹般消失


医讯怎么用『附一医讯』频繁血尿,一查竟是高危膀胱癌,福医附一医院泌尿外科新诊疗模式助力 “膀胱保卫战”,不用切除膀胱也能治愈肿瘤_https://www.jmylbn.com_新闻资讯_第7张

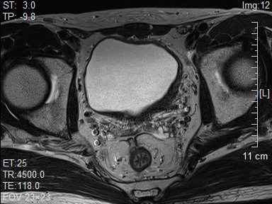
泌尿外科主任薛学义教授带领团队对曾先生的情况进行了全面的评估并仔细阅读影像资料后,考虑其为T2期膀胱癌。

医讯怎么用『附一医讯』频繁血尿,一查竟是高危膀胱癌,福医附一医院泌尿外科新诊疗模式助力 “膀胱保卫战”,不用切除膀胱也能治愈肿瘤_https://www.jmylbn.com_新闻资讯_第8张

▲治疗前肿瘤情况

针对曾先生的需求,薛学义教授团队经过多学科讨论,决定尝试为他制定个体化治疗方案——保留膀胱综合治疗,即尽量保留患者正常膀胱功能的前提下,通过手术、放疗、化疗等多种方式联合治疗肿瘤,尽可能减少不良反应,达到控制疾病和提高生活质量的目的。

泌尿外科许宁主任医师、林云知主治医师为曾先生及其家属详细讲述了该方案的优缺点及注意事项,在与家人充分讨论后,曾先生接受了保留膀胱综合治疗。

数月时间里,曾先生顺利接受3个周期的化疗加免疫治疗,并未感受到明显不适。

随后他接受了目前功能分子影像诊断设备PET/MR检查,复查结果显示:“膀胱治疗后改变,左侧膀胱壁稍增厚,未见肿瘤残留迹象”——这也意味着,曾先生的膀胱肿瘤很可能“奇迹”般地消失了!

医讯怎么用『附一医讯』频繁血尿,一查竟是高危膀胱癌,福医附一医院泌尿外科新诊疗模式助力 “膀胱保卫战”,不用切除膀胱也能治愈肿瘤_https://www.jmylbn.com_新闻资讯_第9张

▲治疗后肿瘤情况

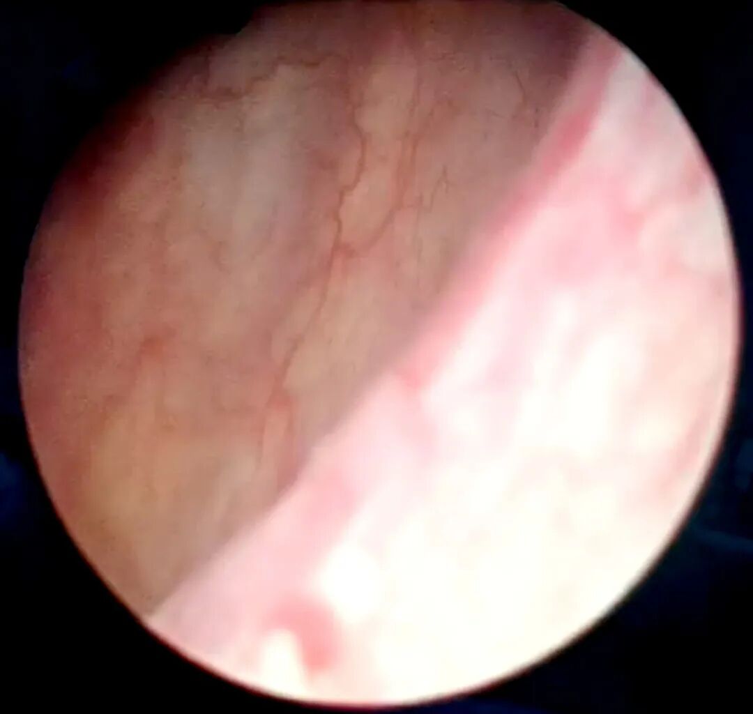
对于这样的结果,曾先生感到惊喜又不可思议。随后团队为其进行了膀胱镜复查,检查发现膀胱粘膜光滑且看不见肿瘤;随机电切取出的标本被送往病理科进行分析,分析结果也再次证明,肿瘤完全“消失”了。

医讯怎么用『附一医讯』频繁血尿,一查竟是高危膀胱癌,福医附一医院泌尿外科新诊疗模式助力 “膀胱保卫战”,不用切除膀胱也能治愈肿瘤_https://www.jmylbn.com_新闻资讯_第10张

▲膀胱镜下可见,膀胱粘膜光滑看不见一点肿瘤

后续,曾先生在我院放疗科继续行膀胱放射治疗巩固疗效,经过蔡传书主任医师、陈燕彬主治医师的治疗,半年后复查,肿瘤未见复发。

治疗后曾先生的生活几乎回归正常,他的膀胱肿瘤完全治愈,膀胱也保住了,生活质量得到了显著提高。曾先生的感激之情难以言表:“这次治疗让我深刻感受到了医学进步的力量,感谢附一泌尿外科团队为我保住了膀胱,也让我对生活充满了新的希望。”

医讯怎么用『附一医讯』频繁血尿,一查竟是高危膀胱癌,福医附一医院泌尿外科新诊疗模式助力 “膀胱保卫战”,不用切除膀胱也能治愈肿瘤_https://www.jmylbn.com_新闻资讯_第11张

从新辅助到保膀胱治疗的探索之路


医讯怎么用『附一医讯』频繁血尿,一查竟是高危膀胱癌,福医附一医院泌尿外科新诊疗模式助力 “膀胱保卫战”,不用切除膀胱也能治愈肿瘤_https://www.jmylbn.com_新闻资讯_第12张

膀胱癌作为泌尿系统最常见的恶性肿瘤之一,早期症状通常是尿液中带血,也可能出现尿频、尿痛等尿路感染的表现。根据肿瘤是否侵入膀胱肌层,膀胱癌可以分为非肌层浸润性膀胱癌肌层浸润性膀胱癌

医讯怎么用『附一医讯』频繁血尿,一查竟是高危膀胱癌,福医附一医院泌尿外科新诊疗模式助力 “膀胱保卫战”,不用切除膀胱也能治愈肿瘤_https://www.jmylbn.com_新闻资讯_第13张

在科主任薛学义教授带领下,福建医科大学附属第一医院泌尿外科团队成立了省内首批膀胱癌一体化诊治中心,始终坚持亚专科化、精细化的膀胱肿瘤诊治观点,秉承“以人为本、仁心仁术”的诊疗理念,在泌尿系统肿瘤领域深耕数十载,近年成功改进了全膀胱切除手术患者的全程管理模式,全力保证患者的围手术期安全,促进了患者康复。

团队致力于肌层浸润性膀胱癌的“保膀胱”综合治疗的创新发展,结合新辅助治疗,即在手术之前先给予化疗或免疫治疗,以缩小肿瘤体积、降低肿瘤分期或消灭可能存在的微小转移灶。新辅助治疗后,如果患者的肿瘤达到完全缓解或接近完全缓解,就可以选择进行保膀胱综合治疗方案,以期保留患者的膀胱及保障生活质量。目前团队已为省内外二十多位膀胱癌患者实现了保膀胱治疗。

新辅助治疗后保留膀胱也有一定的要求和风,需要根据患者的情况和意愿进行个体化评估和选择,采取合适的新辅助治疗方案和剂量;需要患者具备良好的合作意识和耐受力,以完成复杂的治疗过程和定期的随访检查;需要医生密切监测患者的疗效和副作用,及时调整治疗方案或转换为全膀胱切除术。

福建医科大学附属第一医院泌尿外科团队将不断实践探索,结合国际领先泌尿中心先进的诊治经验,采用多学科协作模式,最大程度保障患者生命健康,为患者提供更多治疗选择。


图文 | 泌尿外科 林云知

编辑 | 夏雨晴 蔡一苇

责编 | 薛学义 王文清

编审 | 吴   蔚


医讯怎么用『附一医讯』频繁血尿,一查竟是高危膀胱癌,福医附一医院泌尿外科新诊疗模式助力 “膀胱保卫战”,不用切除膀胱也能治愈肿瘤_https://www.jmylbn.com_新闻资讯_第14张
点击名片 关注我们

医讯怎么用『附一医讯』频繁血尿,一查竟是高危膀胱癌,福医附一医院泌尿外科新诊疗模式助力 “膀胱保卫战”,不用切除膀胱也能治愈肿瘤_https://www.jmylbn.com_新闻资讯_第15张


地址与电话

医讯怎么用『附一医讯』频繁血尿,一查竟是高危膀胱癌,福医附一医院泌尿外科新诊疗模式助力 “膀胱保卫战”,不用切除膀胱也能治愈肿瘤_https://www.jmylbn.com_新闻资讯_第16张

茶亭院区

地址:福建省福州市茶中路20号

电话:0591-87982222


滨海院区

地址:福州市长乐区漳港街道华山路999号

电话:0591-88712222


奥体院区

地址:福建省福州市仓山区建新南路200号

电话:0591-87982958


闽南医院

地址:泉州市泉港区祥云南路2098号

电话:0595-68111333