医讯怎么用『附一医讯』乱用偏方致过敏,女子急性肾衰竭!福建医大附一医院肾内科“换血救肾”

新闻资讯2026-04-21 06:13:32

点击上方蓝字关注我们医讯怎么用『附一医讯』乱用偏方致过敏,女子急性肾衰竭!福建医大附一医院肾内科“换血救肾”_https://www.jmylbn.com_新闻资讯_第1张

医讯怎么用『附一医讯』乱用偏方致过敏,女子急性肾衰竭!福建医大附一医院肾内科“换血救肾”_https://www.jmylbn.com_新闻资讯_第2张



躺在医院的病床上

55岁的兰女士(化名)很是后悔

为了治疗腰痛使用了 偏方 的她

不仅身体出现了过敏的症状

还引发了急性肾衰竭

医讯怎么用『附一医讯』乱用偏方致过敏,女子急性肾衰竭!福建医大附一医院肾内科“换血救肾”_https://www.jmylbn.com_新闻资讯_第3张

为此

我院肾内科许艳芳教授团队

使用 血浆置换 的方法

成功挽救女士的肾脏

医讯怎么用『附一医讯』乱用偏方致过敏,女子急性肾衰竭!福建医大附一医院肾内科“换血救肾”_https://www.jmylbn.com_新闻资讯_第4张

女士来自宁德,身体一直都不错,只是前些日子觉得腰痛不适,于是在别人的推荐之下,使用了一个偏方。


没想到偏方吃了一周多,女士的双下肢逐渐出现了一些散发小出血点,也就是临床常说的“紫癜”,而且还水肿起来。除此之外,她还有恶心呕吐的症状,小便量进行性减少,还排出了血色尿甚至有大量小血块排出


医讯怎么用『附一医讯』乱用偏方致过敏,女子急性肾衰竭!福建医大附一医院肾内科“换血救肾”_https://www.jmylbn.com_新闻资讯_第5张

皮肤散在紫癜


女士赶紧到当地医院检查,结果提示有大量蛋白尿、血尿,且肾功能异常。在当地医院医生的介绍下,女士转诊至福建医科大学附属第一医院,由肾内科许艳芳主任医师团队负责诊治。

    

尽管女士病史简单

但病情却是“迷雾重重”

更深层次的病因也有待探究

医讯怎么用『附一医讯』乱用偏方致过敏,女子急性肾衰竭!福建医大附一医院肾内科“换血救肾”_https://www.jmylbn.com_新闻资讯_第6张

经过进一步仔细询问病史和查体,结合女士的病情,专家们判断她属于急进性肾小球肾炎的范畴;但是由于其有服用“偏方药”病史,所以无法完全排除药物引起的急性肾小管坏死和急性过敏间质性肾炎;她又有过敏性紫癜存在,紫癜性肾炎也需要考虑;尿中有大量的血块,泌尿系肿瘤也无法完全排除……可以说,兰女士急性肾损伤的病因十分复杂,面对“大量肉眼血尿并有血块、血色素也进行性下降”的情形下,是否做肾活检明确病理诊断,给诊疗组带来极大的挑战。诊疗团队仍果断地决定在入院第二天即进行经皮肾穿刺活检,以免耽误病情。


医讯怎么用『附一医讯』乱用偏方致过敏,女子急性肾衰竭!福建医大附一医院肾内科“换血救肾”_https://www.jmylbn.com_新闻资讯_第7张


诊疗团队经过仔细的排查、多次讨论和查房,并与病理科陈虹主任医师、陶璇主治医师讨论肾脏病理改变后,考虑为过敏性紫癜合并免疫复合物介导的II型新月体肾炎


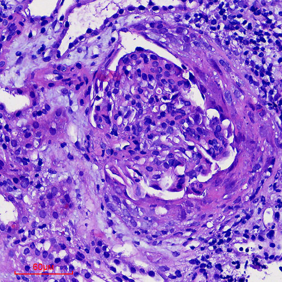
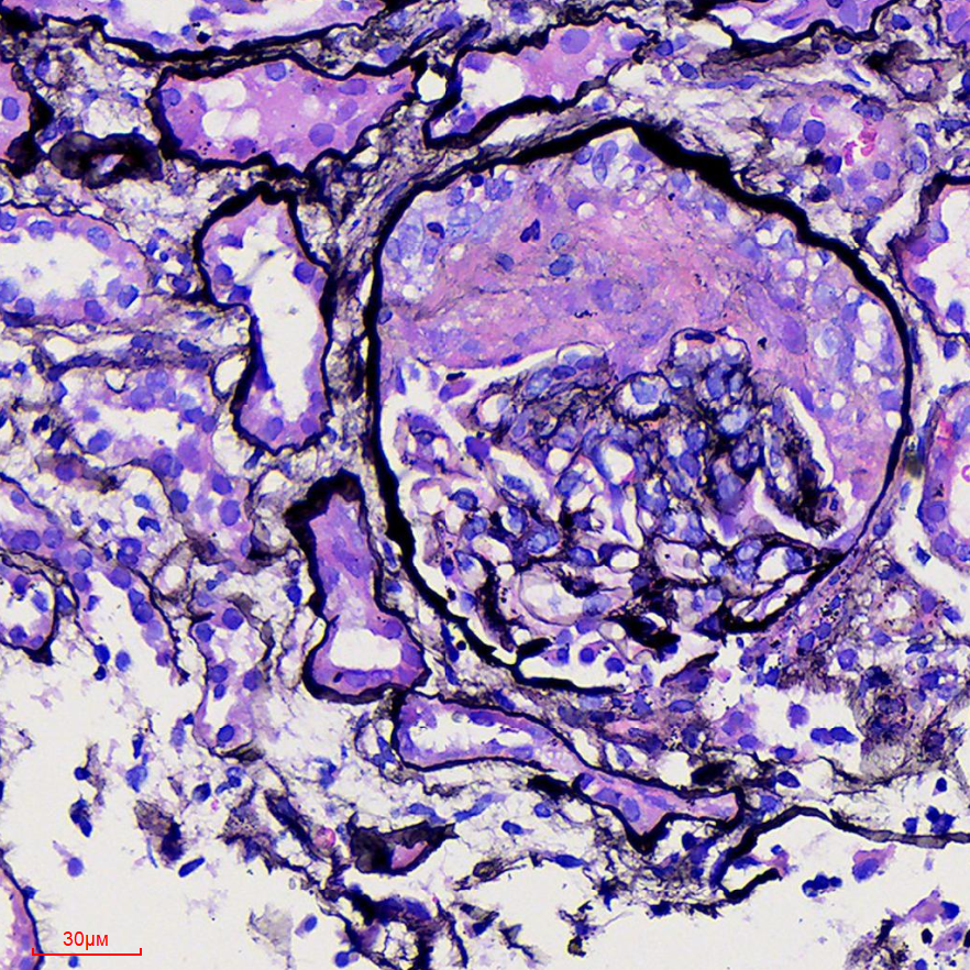
医讯怎么用『附一医讯』乱用偏方致过敏,女子急性肾衰竭!福建医大附一医院肾内科“换血救肾”_https://www.jmylbn.com_新闻资讯_第8张

▲肾小球新月体形成肾小管坏死


医讯怎么用『附一医讯』乱用偏方致过敏,女子急性肾衰竭!福建医大附一医院肾内科“换血救肾”_https://www.jmylbn.com_新闻资讯_第9张

▲肾小球新月体形成并间质有炎症细胞浸润



然而经过十多天传统激素及免疫治疗女士血尿症状仍然严重,肾功能仍进一步下降,肌酐进行性上升到591ummol/L,消化道症状及尿少浮肿日益加重。如果继续这样下去,她可能要饱受长期透析之苦。医疗组讨论并取得患者和家属的支持后,决定采用一种新的治疗方式——血浆置换(清除循环免疫复合物)联合血液透析治疗



所谓的血浆置换,其实是通过特殊的技术,将患者的血液分离成血浆、红细胞、血小板等,将其中的血浆进行置换后,重新输入患者体内,以达到治疗的目的。以往,该治疗方法主要用于免疫系统疾病导致的重度肾衰、肝衰患者,医疗组将血浆置换应用于过敏引起的急进性肾衰竭。

医讯怎么用『附一医讯』乱用偏方致过敏,女子急性肾衰竭!福建医大附一医院肾内科“换血救肾”_https://www.jmylbn.com_新闻资讯_第10张


第二次血浆置换后,女士尿色逐渐变淡、血块消失;行3次血浆置换、4次透析后,她的食欲明显好转,尿量逐渐恢复到每日2000ml左右,复查血肌酐稳步下降;后续门诊随访至今,血肌酐已经降至183umol/L,这也意味着女士的肾保住了!


医讯怎么用『附一医讯』乱用偏方致过敏,女子急性肾衰竭!福建医大附一医院肾内科“换血救肾”_https://www.jmylbn.com_新闻资讯_第11张

▲血清肌酐水平的动态变化

医讯怎么用『附一医讯』乱用偏方致过敏,女子急性肾衰竭!福建医大附一医院肾内科“换血救肾”_https://www.jmylbn.com_新闻资讯_第12张


专家介绍,急性肾损伤是肾内科非常常见的诊疗疾病,要尽快寻找急性肾损伤的病因,并针对性治疗,治疗的目标是尽可能、尽快地恢复肾功能,阻止其向慢性化发展。


兰女士是一个典型的急性肾损伤病例,但每步诊疗措施的制定都面临着“陷阱”:①大量血尿患者肾穿后更容易出血、何时进行肾活检;②传统的大剂量激素冲击+免疫抑制治疗后肾功能持续恶化、此时是否需要考虑血浆置换等。最后,功夫不负有心的团队,经过医护团队的努力后,兰女士迎来了治愈的曙光。



血浆置换在肾脏疾病中目前主要应用于ANCA相关性血管炎、抗基底膜抗体病、血栓性微血管病,诊疗组根据过敏介导的免疫复合物型(II型)新月体肾炎的发病机制,及时采用“血浆置换清除循环免疫复合物”是挽救该患者的肾脏的重要治疗手段之一。

医讯怎么用『附一医讯』乱用偏方致过敏,女子急性肾衰竭!福建医大附一医院肾内科“换血救肾”_https://www.jmylbn.com_新闻资讯_第13张



诊疗团队








医讯怎么用『附一医讯』乱用偏方致过敏,女子急性肾衰竭!福建医大附一医院肾内科“换血救肾”_https://www.jmylbn.com_新闻资讯_第14张

肾内科许艳芳教授诊疗组致力于各种复杂病因诱导的急性肾衰竭的救治,包括药物、脓毒症、梗阻、免疫病如狼疮、血管炎、血栓性微血管病等导致的急性肾损伤。其诊疗组及课题组在该领域的研究也多次得到国家自然学基金、卫健委中青年重大项目及省科技厅研究项目的支持,在国际权威杂志发表系列相关研究成果。
诊疗团队成员:许艳芳主任医师、陈财铭副主任医师、陈虹主任医师(病理)、林紫珊副主任医师、詹志萌住院医师、吴宇晴住院医师、郑海英护士长和谢美玲主管护师

图文 | 肾内科 陈财铭

编辑 | 夏雨晴 蔡一苇

责编 | 万建新 王文清

编审 | 吴    蔚


长按二维码
关注我们吧!

医讯怎么用『附一医讯』乱用偏方致过敏,女子急性肾衰竭!福建医大附一医院肾内科“换血救肾”_https://www.jmylbn.com_新闻资讯_第15张

福建医科大学附属第一医院

医讯怎么用『附一医讯』乱用偏方致过敏,女子急性肾衰竭!福建医大附一医院肾内科“换血救肾”_https://www.jmylbn.com_新闻资讯_第16张

复旦大学附属华山医院福建医院


地址与电话

医讯怎么用『附一医讯』乱用偏方致过敏,女子急性肾衰竭!福建医大附一医院肾内科“换血救肾”_https://www.jmylbn.com_新闻资讯_第17张

茶亭院区

地址:福建省福州市茶中路20号

电话:0591-87982222


滨海院区

地址:福州市长乐区漳港街道华山路999号

电话:0591-88712222


奥体院区

地址:福建省福州市仓山区建新南路200号

电话:0591-87982958


闽南医院

地址:泉州市泉港区祥云南路2098号

电话:0595-68111333