动脉长鞘怎么置入【沙场点兵 有史可鉴】Trevo ProVue联合Infinity长鞘经桡动脉取栓分享

新闻资讯2026-04-21 02:52:37

动脉长鞘怎么置入【沙场点兵 有史可鉴】Trevo ProVue联合Infinity长鞘经桡动脉取栓分享_https://www.jmylbn.com_新闻资讯_第1张


导语

尊敬的专家同道:

大家好!“沙场点兵,有史可鉴”是史赛克公司推出的一档病例展示及点评栏目,旨在手术技术交流,产品特点演示,与各位神经介入专家共同进步。让我们相约线上,博采众长,共同探讨手术技术。精彩内容,敬请期待。


病例展示


1

患者基本信息

患者:性,75岁。


主诉:言语不能、右侧肢体无力3小时入院。


现病史:患者于来诊前3小时出现言语不能、右侧肢体无法活动,于外院rt-PA静脉溶栓并同时转诊来我院。


既往史:高血压病,双下肢动脉闭塞、双侧髂-股动脉支架术后。


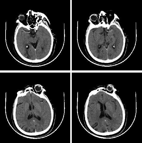
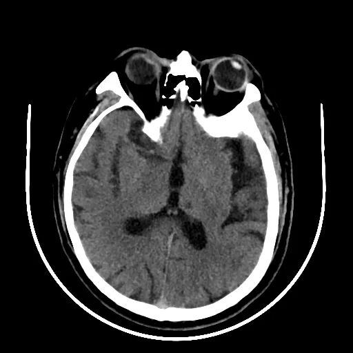
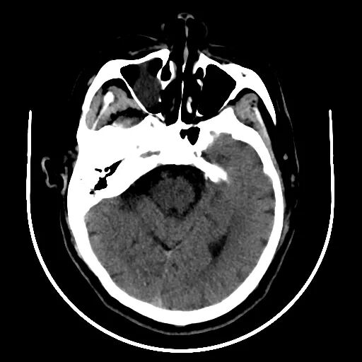
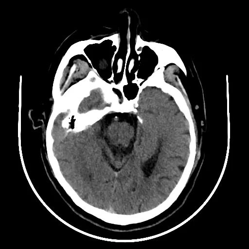
查体BP 160/89mmHg,清醒,双眼左侧凝视位、不可纠正,混合性失语,右侧中枢性面舌瘫,右侧肢体肌力0级,右侧病理征阳性。NIHSS评分18分。随机血糖4.8mmol/L。心电图:正常。颅脑CT无出血及新发梗死灶,多模态CT示左侧大脑中动脉闭塞、左侧大脑半球低灌注。

2

术前检查

颅脑CT无出血及新发梗死灶。

动脉长鞘怎么置入【沙场点兵 有史可鉴】Trevo ProVue联合Infinity长鞘经桡动脉取栓分享_https://www.jmylbn.com_新闻资讯_第2张

动脉长鞘怎么置入【沙场点兵 有史可鉴】Trevo ProVue联合Infinity长鞘经桡动脉取栓分享_https://www.jmylbn.com_新闻资讯_第3张

动脉长鞘怎么置入【沙场点兵 有史可鉴】Trevo ProVue联合Infinity长鞘经桡动脉取栓分享_https://www.jmylbn.com_新闻资讯_第4张

动脉长鞘怎么置入【沙场点兵 有史可鉴】Trevo ProVue联合Infinity长鞘经桡动脉取栓分享_https://www.jmylbn.com_新闻资讯_第5张


多模态CT。

动脉长鞘怎么置入【沙场点兵 有史可鉴】Trevo ProVue联合Infinity长鞘经桡动脉取栓分享_https://www.jmylbn.com_新闻资讯_第6张

动脉长鞘怎么置入【沙场点兵 有史可鉴】Trevo ProVue联合Infinity长鞘经桡动脉取栓分享_https://www.jmylbn.com_新闻资讯_第7张

动脉长鞘怎么置入【沙场点兵 有史可鉴】Trevo ProVue联合Infinity长鞘经桡动脉取栓分享_https://www.jmylbn.com_新闻资讯_第8张

动脉长鞘怎么置入【沙场点兵 有史可鉴】Trevo ProVue联合Infinity长鞘经桡动脉取栓分享_https://www.jmylbn.com_新闻资讯_第9张

动脉长鞘怎么置入【沙场点兵 有史可鉴】Trevo ProVue联合Infinity长鞘经桡动脉取栓分享_https://www.jmylbn.com_新闻资讯_第10张


3

治疗策略

患者左侧大脑中动脉闭塞,左侧大脑半球低灌注,外院已行静脉溶栓。开通左侧大脑中动脉挽救缺血半暗带,防治病情进一步进展。患者牛角弓,双下肢动脉闭塞病史,经桡动脉行急诊血管内开通术。

4

手术器械

  • 6F Infinity LS长鞘

  • Catalyst 6抽吸导管

  • Trevo pro-18微导管

  • Synchro 2微导丝

  • 4*20mm Trevo ProVue取栓支架

5

造影过程

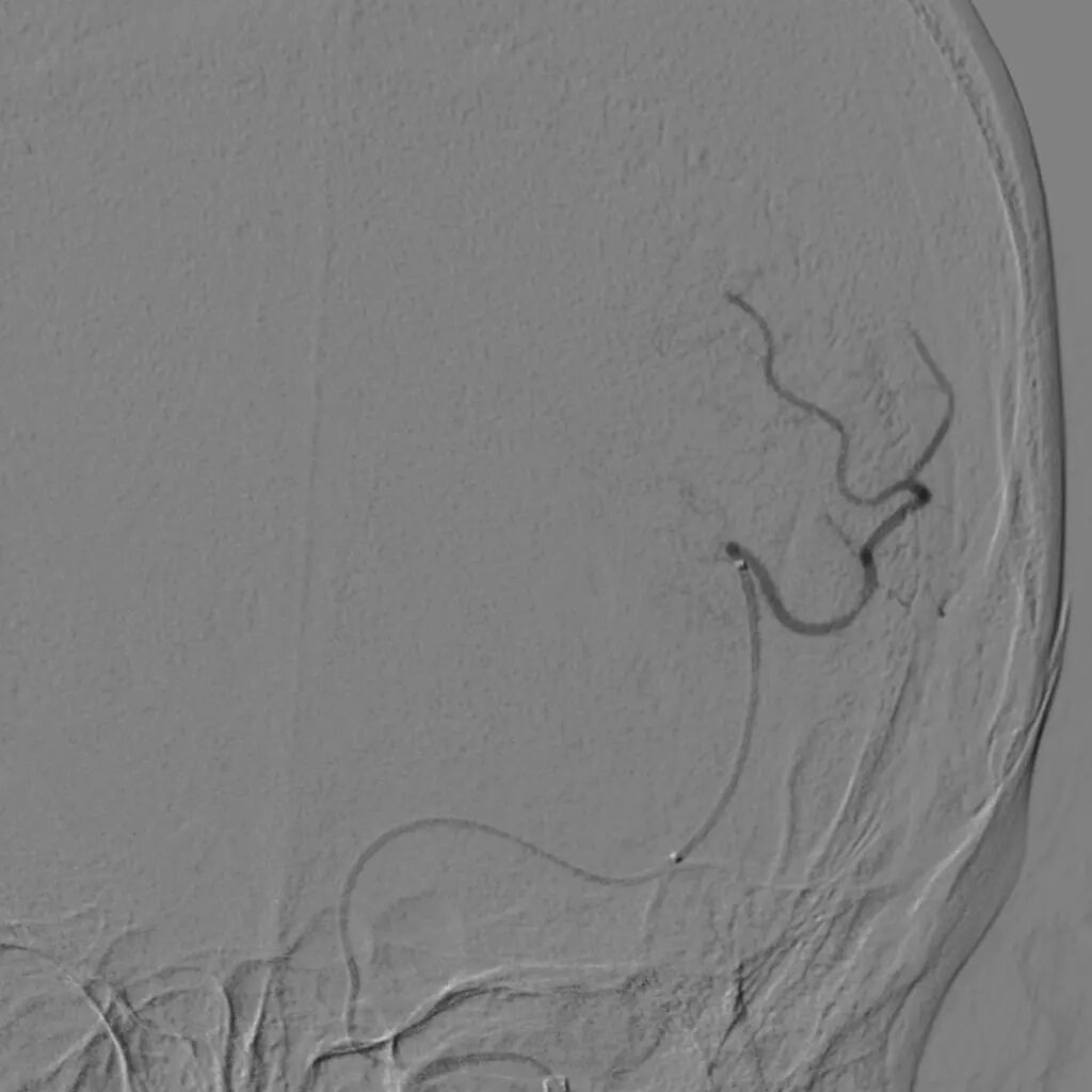
单弯导管辅助长泥鳅导丝置于LC1末端,交换Infinity长鞘至LC1,DSA:LM闭塞。

动脉长鞘怎么置入【沙场点兵 有史可鉴】Trevo ProVue联合Infinity长鞘经桡动脉取栓分享_https://www.jmylbn.com_新闻资讯_第11张

动脉长鞘怎么置入【沙场点兵 有史可鉴】Trevo ProVue联合Infinity长鞘经桡动脉取栓分享_https://www.jmylbn.com_新闻资讯_第12张

动脉长鞘怎么置入【沙场点兵 有史可鉴】Trevo ProVue联合Infinity长鞘经桡动脉取栓分享_https://www.jmylbn.com_新闻资讯_第13张


catalyst 6抽吸导管、Trevo pro-18、Synchro2同轴经长鞘送入,catalyst头端置于LC6,微导丝通过大脑中动脉M1闭塞至M2远端,跟进微导管造影确定血管真腔。

动脉长鞘怎么置入【沙场点兵 有史可鉴】Trevo ProVue联合Infinity长鞘经桡动脉取栓分享_https://www.jmylbn.com_新闻资讯_第14张

动脉长鞘怎么置入【沙场点兵 有史可鉴】Trevo ProVue联合Infinity长鞘经桡动脉取栓分享_https://www.jmylbn.com_新闻资讯_第15张


4*20mm Trevo ProVue取栓支架释放,5分钟后抽拉结合取栓,一次取栓,大脑中动脉完全再通。

动脉长鞘怎么置入【沙场点兵 有史可鉴】Trevo ProVue联合Infinity长鞘经桡动脉取栓分享_https://www.jmylbn.com_新闻资讯_第16张

动脉长鞘怎么置入【沙场点兵 有史可鉴】Trevo ProVue联合Infinity长鞘经桡动脉取栓分享_https://www.jmylbn.com_新闻资讯_第17张


大脑中动脉完全再通。

动脉长鞘怎么置入【沙场点兵 有史可鉴】Trevo ProVue联合Infinity长鞘经桡动脉取栓分享_https://www.jmylbn.com_新闻资讯_第18张

动脉长鞘怎么置入【沙场点兵 有史可鉴】Trevo ProVue联合Infinity长鞘经桡动脉取栓分享_https://www.jmylbn.com_新闻资讯_第19张

动脉长鞘怎么置入【沙场点兵 有史可鉴】Trevo ProVue联合Infinity长鞘经桡动脉取栓分享_https://www.jmylbn.com_新闻资讯_第20张

动脉长鞘怎么置入【沙场点兵 有史可鉴】Trevo ProVue联合Infinity长鞘经桡动脉取栓分享_https://www.jmylbn.com_新闻资讯_第21张


6

术后情况

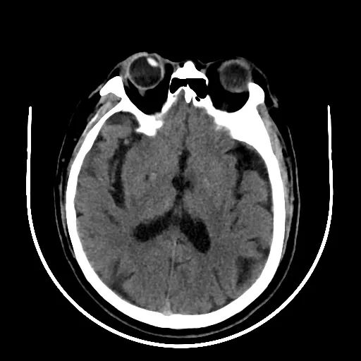
术后24小时查体:不完全运动性失语,双眼位正常,眼球活动自如,右侧中枢性面舌瘫,右侧上肢肌力3级、下肢肌力4级,右侧病理征(+),NIHSS=5,给予阿司匹林+氯吡格雷双抗。


术后颅脑CT无出血:

动脉长鞘怎么置入【沙场点兵 有史可鉴】Trevo ProVue联合Infinity长鞘经桡动脉取栓分享_https://www.jmylbn.com_新闻资讯_第22张


小结与体会

  • 大动脉闭塞的血管开通可能需要多技术联合应用:静脉溶栓、机械取栓及急诊血管成形术(球囊扩张、支架置入)

  • 提高一把再通率,提高患者良好预后几率

  • Trevo ProVue取栓支架全程显影,血栓抓捕能力强;Infinity长鞘稳定支撑,为后续器械的使用提供足够的支撑力

  • 随着器材的进步,桡动脉入路适合越来越多的急性缺血性卒中血管内治疗的患者













指导专家



王守春

吉林大学第一医院神经专科医院

动脉长鞘怎么置入【沙场点兵 有史可鉴】Trevo ProVue联合Infinity长鞘经桡动脉取栓分享_https://www.jmylbn.com_新闻资讯_第23张

主任医师,教授,日本秋田大学博士后,博士研究生导师

中国研究型医院学会介入神经病学专业委员会副主任委员、中华医学会神经病学分会神经介入协作组副组长、中国医师协会医学科学普及分会常务委员、中国卒中学会复合介入神经外科分会常务委员、中国医师协会神经介入专业委员会委员、吉林省卒中学会神经介入分会主任委员、吉林省医学会神经病学分会缺血性脑血管病介入治疗学组组长

2003年在北京天坛医院进修学习缺血性脑血管病的介入治疗技术。2004年组建“吉大一院缺血性脑血管病介入治疗协作中心”

近五年累计发表文章80余篇,包括SCI论文10余篇。目前已经开展缺血性脑血管病的脑动脉狭窄、闭塞再通介入治疗及全脑血管造影10000余例;特别在急诊血管内介入治疗,如急诊动脉溶栓治疗、单纯球囊扩张治疗、急诊支架治疗和急诊取栓等治疗方面积累了非常丰富的临床经验














术者简介





动脉长鞘怎么置入【沙场点兵 有史可鉴】Trevo ProVue联合Infinity长鞘经桡动脉取栓分享_https://www.jmylbn.com_新闻资讯_第24张

邢大江

吉林大学第一医院卒中中心

副主任医师

吉林省卒中学会神经介入分会委员会委员

吉林省健康管理学会神经介入分会委员会委员

主要从事脑血管病的基础与临床研究,尤其擅长缺血性脑血管病的血管内治疗





产品:Trevo

技术:SWIM
部位:MCA


END



















动脉长鞘怎么置入【沙场点兵 有史可鉴】Trevo ProVue联合Infinity长鞘经桡动脉取栓分享_https://www.jmylbn.com_新闻资讯_第25张
动脉长鞘怎么置入【沙场点兵 有史可鉴】Trevo ProVue联合Infinity长鞘经桡动脉取栓分享_https://www.jmylbn.com_新闻资讯_第26张


扫码进入史赛克品牌专区


动脉长鞘怎么置入【沙场点兵 有史可鉴】Trevo ProVue联合Infinity长鞘经桡动脉取栓分享_https://www.jmylbn.com_新闻资讯_第27张

声明:脑医汇旗下神外资讯、神介资讯、脑医咨询所发表内容之知识产权为脑医汇及主办方、原作者等相关权利人所有。未经许可,禁止进行转载、摘编、复制、裁切、录制等。经许可授权使用,亦须注明来源。欢迎转发、分享。

投稿/会议发布,请联系400-888-2526转3

动脉长鞘怎么置入【沙场点兵 有史可鉴】Trevo ProVue联合Infinity长鞘经桡动脉取栓分享_https://www.jmylbn.com_新闻资讯_第28张
脑医汇App(原神介资讯App)“短视频”功能全新上线,碎片化时间学习内容长按识别二维码抢先体验!

点击“阅读原文”进入史赛克品牌专区。

动脉长鞘怎么置入【沙场点兵 有史可鉴】Trevo ProVue联合Infinity长鞘经桡动脉取栓分享_https://www.jmylbn.com_新闻资讯_第29张

点分享

动脉长鞘怎么置入【沙场点兵 有史可鉴】Trevo ProVue联合Infinity长鞘经桡动脉取栓分享_https://www.jmylbn.com_新闻资讯_第30张

点点赞

动脉长鞘怎么置入【沙场点兵 有史可鉴】Trevo ProVue联合Infinity长鞘经桡动脉取栓分享_https://www.jmylbn.com_新闻资讯_第31张

点在看