动脉长鞘怎么置入【有励可说】Locaste 088长鞘经左桡治疗左侧锁骨下动脉狭窄一例

新闻资讯2026-04-21 02:52:36

动脉长鞘怎么置入【有励可说】Locaste 088长鞘经左桡治疗左侧锁骨下动脉狭窄一例_https://www.jmylbn.com_新闻资讯_第1张


动脉长鞘怎么置入【有励可说】Locaste 088长鞘经左桡治疗左侧锁骨下动脉狭窄一例_https://www.jmylbn.com_新闻资讯_第2张

术者简介


动脉长鞘怎么置入【有励可说】Locaste 088长鞘经左桡治疗左侧锁骨下动脉狭窄一例_https://www.jmylbn.com_新闻资讯_第3张

朱斌

邢台医学院第一附属医院(邢台市第一医院)

神经内二科主任副主任医师,副教授

河北省老年医学会癫痫防治专业委员会 常务委员

河北省血管健康与技术协会弓上血管疾病防治专业委员会 常务委员

邢台市预防医学会神经变性病防治专业委员会 主任委员

邢台市医学会神经内科专业委员会 常务委员

邢台市医学会神经介入专业委员会 常务委员

邢台市预防医学会睡眠障碍防治专业委员会 常务委员

邢台市抗癫痫协会心脑同治专业委员会 常务委员

邢台市卒中学会再灌注治疗专业委员会 常务委员

从事神经内科临床及教学工作20多年,擅长脑血管病介入治疗以及神经内科常见病、多发病的诊疗。作为主研人完成省市级科研4项,其中3项获河北省中医药管理局科技进步三等奖,做为主编完成论著2部,发表论文9篇












动脉长鞘怎么置入【有励可说】Locaste 088长鞘经左桡治疗左侧锁骨下动脉狭窄一例_https://www.jmylbn.com_新闻资讯_第4张

病史简介

患者基本信息:

患者男性,72岁。


主诉:因“发作性头晕1年”入院。


既往病史:既往“冠心病”病史30余年,长期口服“阿司匹林肠溶片0.1g 1/日,硫酸氢氯吡格雷50mg 1/日,硝酸异山梨酯片10mg 2/日,阿托伐他汀钙片20mg 1/晚,酒石酸美托洛尔片75mg早晚、25mg午,地尔硫卓30mg 3/日,螺内酯20mg 1/早”,曾行冠脉造影术,具体不详;“脑梗死”病史20余年,未遗留后遗症;“左髋关节外伤”病史5月余,当时行保守治疗,现无明显不适。


入院查体情况:T 36.4℃,P 65次/分,R 18次/分,BP 117/74mmHg,扁桃腺不大,甲状腺未触及,心肺腹未见明显异常。神经专科查体:神清语利,精神可,高级皮层功能粗测正常,双瞳孔正大等圆,对光反射灵敏,双眼球诸方向运动正常,无眼震,余颅神经检查未见异常,四肢肌容积正常,右侧肢体肌力5-级,左侧肢体肌力5级,四肢肌张力正常,腱反射正常,共济运动稳准,四肢深浅感觉障碍,病理征未引出,脑膜刺激征阴性,自主神经功能未见异常。


术前影像学检查结果

左侧锁骨下动脉重度狭窄。

动脉长鞘怎么置入【有励可说】Locaste 088长鞘经左桡治疗左侧锁骨下动脉狭窄一例_https://www.jmylbn.com_新闻资讯_第5张

动脉长鞘怎么置入【有励可说】Locaste 088长鞘经左桡治疗左侧锁骨下动脉狭窄一例_https://www.jmylbn.com_新闻资讯_第6张


左侧锁骨下动脉盗血。

动脉长鞘怎么置入【有励可说】Locaste 088长鞘经左桡治疗左侧锁骨下动脉狭窄一例_https://www.jmylbn.com_新闻资讯_第7张




手术策略制定






术前诊断:


  • 左侧锁骨下动脉重度狭窄

  • 左侧锁骨下动脉盗血综合征





手术方式:


左侧桡动脉穿刺,逆行行左侧锁骨下动脉球囊扩张+支架置入术。





手术难点分析:


1、患肢血压低,桡动脉搏动弱,能否顺利穿刺成功。

2、长鞘如何通过狭窄段(特洛伊木马技术)。

3、逆行释放支架,支架如何准确定位。





术前用药:


  • 拜阿司匹林100mg po qd*7天

  • 硫酸氢氯吡格雷75mg po qd*7天



动脉长鞘怎么置入【有励可说】Locaste 088长鞘经左桡治疗左侧锁骨下动脉狭窄一例_https://www.jmylbn.com_新闻资讯_第8张

治疗经过


术中涉及介入材料选择

  • 5F桡动脉鞘

  • 125cm多功能单弯导管

  • 260cm泥鳅导丝

  • Locaste 088长鞘 90cm

  • Synchro2微导丝 300cm

  • 2mmx15mm冠脉球囊

  • LD Vascular 8mmx37mm支架


治疗经过

输送导管造影:

动脉长鞘怎么置入【有励可说】Locaste 088长鞘经左桡治疗左侧锁骨下动脉狭窄一例_https://www.jmylbn.com_新闻资讯_第9张


路图下微导丝通过狭窄段。

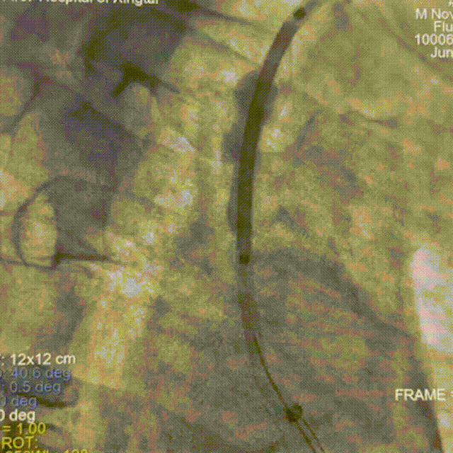
动脉长鞘怎么置入【有励可说】Locaste 088长鞘经左桡治疗左侧锁骨下动脉狭窄一例_https://www.jmylbn.com_新闻资讯_第10张


冠脉球囊辅助下,Locaste 088长鞘通过狭窄段。

动脉长鞘怎么置入【有励可说】Locaste 088长鞘经左桡治疗左侧锁骨下动脉狭窄一例_https://www.jmylbn.com_新闻资讯_第11张


支架通过Locaste 088长鞘到达狭窄段。

动脉长鞘怎么置入【有励可说】Locaste 088长鞘经左桡治疗左侧锁骨下动脉狭窄一例_https://www.jmylbn.com_新闻资讯_第12张


支架定位准确,充分扩张。

动脉长鞘怎么置入【有励可说】Locaste 088长鞘经左桡治疗左侧锁骨下动脉狭窄一例_https://www.jmylbn.com_新闻资讯_第13张


支架张开良好。

动脉长鞘怎么置入【有励可说】Locaste 088长鞘经左桡治疗左侧锁骨下动脉狭窄一例_https://www.jmylbn.com_新闻资讯_第14张




术后即刻造影


狭窄解除,前向血流好转。

动脉长鞘怎么置入【有励可说】Locaste 088长鞘经左桡治疗左侧锁骨下动脉狭窄一例_https://www.jmylbn.com_新闻资讯_第15张


狭窄解除,盗血消失。

动脉长鞘怎么置入【有励可说】Locaste 088长鞘经左桡治疗左侧锁骨下动脉狭窄一例_https://www.jmylbn.com_新闻资讯_第16张



动脉长鞘怎么置入【有励可说】Locaste 088长鞘经左桡治疗左侧锁骨下动脉狭窄一例_https://www.jmylbn.com_新闻资讯_第17张

术者体会

Locaste 088 励楷长鞘通过性好,无惧迂曲的血管条件,管腔保持能力佳,抗折抗弯。其次Locaste 088 励楷长鞘具有良好的支撑性,能够为术中操作提供一个稳定的通路。可以在使用短鞘穿刺后,交换Locaste 088长鞘直接经桡使用, 0.088inch大内腔兼容性好,支持通过8mm及其以下直径的颈动脉支架/外周支架。















动脉长鞘怎么置入【有励可说】Locaste 088长鞘经左桡治疗左侧锁骨下动脉狭窄一例_https://www.jmylbn.com_新闻资讯_第18张

产品介绍

Locaste 088输送导管远端灵活柔韧,头端6cm柔软段,8cm亲水涂层使得更易通过迂曲血管,近端超强支撑,安全到高位,使得三型弓也能轻松应对,前循环可到C2段,后循环可到V2段,高到位可以提高导引导管的支撑力,同时0.088inch大内腔可以通过多种器械,近端到远端7个转换区设计,近端坚硬,远端柔软,由近到远兼顾支撑性与通过性,为手术提供了较好的支撑力。

动脉长鞘怎么置入【有励可说】Locaste 088长鞘经左桡治疗左侧锁骨下动脉狭窄一例_https://www.jmylbn.com_新闻资讯_第19张

动脉长鞘怎么置入【有励可说】Locaste 088长鞘经左桡治疗左侧锁骨下动脉狭窄一例_https://www.jmylbn.com_新闻资讯_第20张





关于励楷科技



励楷科技成立于2019年,专注研发生产销售神经介入植入医疗器械产品,产品管线全覆盖出血类、急性缺血类、慢性缺血类产品。公司致力于以神经介入为切入点,通过强大的自主研发能力+全球先进技术BD能力双轮驱动,以及完善的研发-产品-市场销售闭环体系,成为全球脑血管疾病器械,乃至整个医疗器械产业中领先的创新技术平台。励楷科技为目前国内极少数几家真正掌握神经介入底层核心技术、并已成功建成完全自有技术平台,且具有极强出海能力的公司之一。





微信公众号




动脉长鞘怎么置入【有励可说】Locaste 088长鞘经左桡治疗左侧锁骨下动脉狭窄一例_https://www.jmylbn.com_新闻资讯_第21张

扫码关注·励楷科技

公司官网


https://www.kaimtgroup.com/




动脉长鞘怎么置入【有励可说】Locaste 088长鞘经左桡治疗左侧锁骨下动脉狭窄一例_https://www.jmylbn.com_新闻资讯_第22张



声明:脑医汇旗下神外资讯、神介资讯、脑医咨询所发表内容之知识产权为脑医汇及主办方、原作者等相关权利人所有。未经许可,禁止进行转载、摘编、复制、裁切、录制等。经许可授权使用,亦须注明来源。欢迎转发、分享。

投稿/会议发布,请联系400-888-2526转3。

动脉长鞘怎么置入【有励可说】Locaste 088长鞘经左桡治疗左侧锁骨下动脉狭窄一例_https://www.jmylbn.com_新闻资讯_第23张

请点击“阅读原文”进入励楷科技品牌专区。

动脉长鞘怎么置入【有励可说】Locaste 088长鞘经左桡治疗左侧锁骨下动脉狭窄一例_https://www.jmylbn.com_新闻资讯_第24张

点分享

动脉长鞘怎么置入【有励可说】Locaste 088长鞘经左桡治疗左侧锁骨下动脉狭窄一例_https://www.jmylbn.com_新闻资讯_第25张

点点赞

动脉长鞘怎么置入【有励可说】Locaste 088长鞘经左桡治疗左侧锁骨下动脉狭窄一例_https://www.jmylbn.com_新闻资讯_第26张

点在看