动脉长鞘怎么置入【康德莱医械】经桡介入LA长鞘+Sim II通路组合处理颈内动脉狭窄

新闻资讯2026-04-21 02:52:32

动脉长鞘怎么置入【康德莱医械】经桡介入LA长鞘+Sim II通路组合处理颈内动脉狭窄_https://www.jmylbn.com_新闻资讯_第1张

动脉长鞘怎么置入【康德莱医械】经桡介入LA长鞘+Sim II通路组合处理颈内动脉狭窄_https://www.jmylbn.com_新闻资讯_第2张





病例介绍






患者信息:男性,71岁
主诉:言语不清伴行走不稳13天。
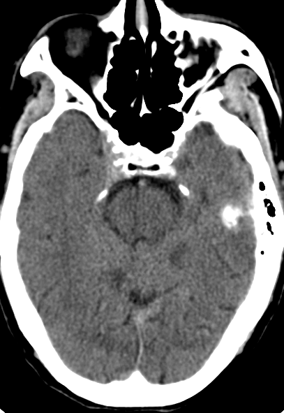
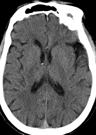
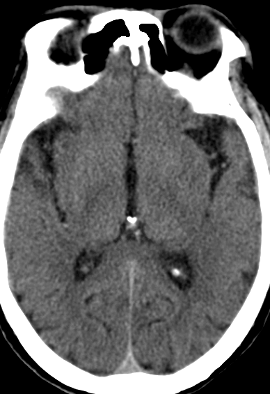
现病史:2022年9月26日突发眩晕,视物旋转,伴恶心、呕吐、言语不清、饮水呛咳、排尿困难、行走不稳,7小时后被送至当地医院完善头颅CT平扫未见脑出血,诊断为“急性脑梗死”予抗血小板聚集、稳定斑块等治疗。3天后完善头颅MRI+MRA显示“1.脑干、双侧小脑半球、双侧枕叶、双侧丘脑多发急性脑梗塞2.基底动脉、左侧大脑后动脉P2段狭窄,左侧颈内动脉起始段局部重度狭窄”。治疗后症状有改善。2022-10-8转入我科。

既往史:高血压病3年,收缩压最高160mmHg,服药后稳定在120-130mmHg;否认糖尿病、心房颤动等疾病。

个人史:吸烟40余年,未戒烟。

家族史:否认家族中有高血压病、糖尿病、脑梗死等疾病。

专科查体:神志清,语言断续,构音不清,双眼视力下降,右侧鼻唇沟变浅,咽反射消失,四肢肌力、肌张力正常,双侧Babinski征阳性。双侧指鼻试验、跟-膝-胫试验不稳,Romberg征阳性。NIHSS评分5分。

2022-09-29外院头颅MRI+MRA:

  1. 脑干、双侧小脑半球、双侧枕叶、双侧丘脑多发急性/亚急性脑梗塞

  2. 基底动脉、左侧大脑后动脉P2段局部狭窄,左侧颈内动脉起始段局部重度狭窄,左侧颈内动脉C3段、右侧颈内动脉虹吸部及右侧椎动脉颅内段局部狭窄。

我院头颈CT/CTA:

 右侧锁骨下动脉迂曲明显,左侧颈总动脉迂曲,左颈内动脉重度狭窄




动脉长鞘怎么置入【康德莱医械】经桡介入LA长鞘+Sim II通路组合处理颈内动脉狭窄_https://www.jmylbn.com_新闻资讯_第3张
动脉长鞘怎么置入【康德莱医械】经桡介入LA长鞘+Sim II通路组合处理颈内动脉狭窄_https://www.jmylbn.com_新闻资讯_第4张




动脉长鞘怎么置入【康德莱医械】经桡介入LA长鞘+Sim II通路组合处理颈内动脉狭窄_https://www.jmylbn.com_新闻资讯_第5张
动脉长鞘怎么置入【康德莱医械】经桡介入LA长鞘+Sim II通路组合处理颈内动脉狭窄_https://www.jmylbn.com_新闻资讯_第6张



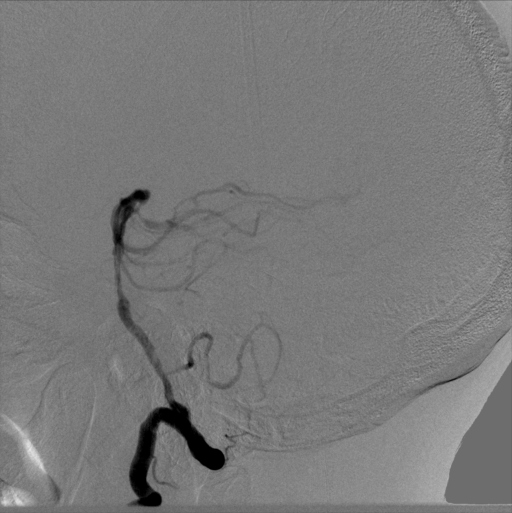
2022-10-11我院头颈DSA:

➤ 主动脉弓造影:Ⅰ型主动脉弓,右侧锁骨下动脉迂曲。

动脉长鞘怎么置入【康德莱医械】经桡介入LA长鞘+Sim II通路组合处理颈内动脉狭窄_https://www.jmylbn.com_新闻资讯_第7张

➤ 左侧颈内动脉造影:左侧颈内动脉C1段局限性狭窄约90%,C4-6段斑块形成,左侧大脑中动脉下干M2段狭窄约50%。


动脉长鞘怎么置入【康德莱医械】经桡介入LA长鞘+Sim II通路组合处理颈内动脉狭窄_https://www.jmylbn.com_新闻资讯_第8张
动脉长鞘怎么置入【康德莱医械】经桡介入LA长鞘+Sim II通路组合处理颈内动脉狭窄_https://www.jmylbn.com_新闻资讯_第9张

➤ 右侧颈内动脉造影:右侧颈内动脉C4段局限性膨大,溃疡斑块形成,C5段狭窄约50%。


动脉长鞘怎么置入【康德莱医械】经桡介入LA长鞘+Sim II通路组合处理颈内动脉狭窄_https://www.jmylbn.com_新闻资讯_第10张

动脉长鞘怎么置入【康德莱医械】经桡介入LA长鞘+Sim II通路组合处理颈内动脉狭窄_https://www.jmylbn.com_新闻资讯_第11张

➤ 左侧锁骨下动脉造影:左侧椎动脉优势,V1段迂曲,V4段多发斑块形成,左侧大脑后下动脉开口狭窄约50%;左侧大脑后动脉P1段狭窄约70%;基底动脉近端、中段弥漫性狭窄约70%。


动脉长鞘怎么置入【康德莱医械】经桡介入LA长鞘+Sim II通路组合处理颈内动脉狭窄_https://www.jmylbn.com_新闻资讯_第12张
动脉长鞘怎么置入【康德莱医械】经桡介入LA长鞘+Sim II通路组合处理颈内动脉狭窄_https://www.jmylbn.com_新闻资讯_第13张

 右侧锁骨下动脉造影:右侧椎动脉V1、V2段斑块形成,V4段远端狭窄约70%。


动脉长鞘怎么置入【康德莱医械】经桡介入LA长鞘+Sim II通路组合处理颈内动脉狭窄_https://www.jmylbn.com_新闻资讯_第14张
动脉长鞘怎么置入【康德莱医械】经桡介入LA长鞘+Sim II通路组合处理颈内动脉狭窄_https://www.jmylbn.com_新闻资讯_第15张

术前诊断:

1. 脑梗死(脑干、双侧小脑半球、双侧枕叶、双侧丘脑)

2. 左侧颈内动脉C1段重度狭窄

3. 基底动脉中近段重度狭窄

4. 右侧颈内动脉C5段中度狭窄

5. 左侧大脑中动脉M2段中度狭窄

6. 左侧大脑后动脉P1段重度狭窄

7. 右侧椎动脉V4段远段重度狭窄

8. 高血压病3级(很高危)


术前讨论及手术策略:

有关手术指征的讨论:

1、 后循环椎基底动脉为此次发病的“罪犯”血管,鉴于其入路迂曲,并且病变范围弥散,介入治疗有较高的风险;并且患者药物治疗临床改善。按照目前的证据,先予强化药物治疗,暂时不予血管内治疗。

2、 左侧颈内动脉C1段重度狭窄,为无症状性狭窄,但狭窄程度90%,达到手术治疗的标准。考虑到刚发生脑卒中,行CEA有较高风险,选择CAS。

手术策略:

1. 右桡动脉入路,左侧颈内动脉C1段球囊扩张+支架成形术。

2. 右侧锁骨下动脉迂曲明显,加上左侧颈总动脉迂曲,对于经桡建立稳定的通路存在较大挑战。

急诊器械准备

1. 康德莱医械6F 90cm lonAccess长鞘

2. 康德莱医械5F 125cm Simmons II造影导管

3. 6F桡动脉鞘

4. Cordis 260cm泥鳅导丝

5. Filterwire远端血栓保护装置

6. 5mm x 20mm Sterling球囊

7. 9mm x 30mm Protégé自膨式支架


动脉长鞘怎么置入【康德莱医械】经桡介入LA长鞘+Sim II通路组合处理颈内动脉狭窄_https://www.jmylbn.com_新闻资讯_第16张


手术过程:

右侧桡动脉穿刺成功后置入6F桡动脉鞘,完成血管造影后更换6F 90cm lonAccess长鞘。泥鳅导丝引导下同轴送入6F 90cm lonAccess长鞘+5F 125cm Simmons II,越过迂曲的右锁骨下动脉,塑形成功并到达左侧颈总动脉。

动脉长鞘怎么置入【康德莱医械】经桡介入LA长鞘+Sim II通路组合处理颈内动脉狭窄_https://www.jmylbn.com_新闻资讯_第17张

动脉长鞘怎么置入【康德莱医械】经桡介入LA长鞘+Sim II通路组合处理颈内动脉狭窄_https://www.jmylbn.com_新闻资讯_第18张

 康德莱医械5F 125cm Simmons II+康德莱医械6F 900mm lonAccess长鞘同轴送达左侧颈总动脉末端。



动脉长鞘怎么置入【康德莱医械】经桡介入LA长鞘+Sim II通路组合处理颈内动脉狭窄_https://www.jmylbn.com_新闻资讯_第19张
动脉长鞘怎么置入【康德莱医械】经桡介入LA长鞘+Sim II通路组合处理颈内动脉狭窄_https://www.jmylbn.com_新闻资讯_第20张

➤ 沿康德莱医械6F lonAccess长鞘同轴送入Filterwire远端血栓保护装置至左侧颈内动脉C1段远端,定位准确后释放血栓保护装置。
沿血栓保护装置导丝送入5mm x 20mm Sterling球囊至左侧颈动脉C1段狭窄处,预扩。

➤ 撤出球囊,沿血栓保护装置导丝送入9 x 30mm Protégé自膨式支架至左侧颈内动脉狭窄处,释放支架完全覆盖狭窄病变。

后送入5mm x 20mm Sterling球囊至左侧颈内动脉狭窄处,后扩,回收血栓保护装置。

术后造影:

左侧颈内动脉C1段残余狭窄约10%,远端血管显影良好,前向血流mTICI 3级,未见远端血管栓塞及造影剂外渗。

动脉长鞘怎么置入【康德莱医械】经桡介入LA长鞘+Sim II通路组合处理颈内动脉狭窄_https://www.jmylbn.com_新闻资讯_第21张

动脉长鞘怎么置入【康德莱医械】经桡介入LA长鞘+Sim II通路组合处理颈内动脉狭窄_https://www.jmylbn.com_新闻资讯_第22张




  术后总结  


长鞘经桡需符合三大需求:腔大壁薄,支撑良好,过弯扛折。

本例患者右侧锁骨下动脉迂曲,但康德莱医械lonAccess长鞘内径0.088”,外径2.62mm,按6F桡动脉鞘设计,腔大壁薄,术中未出现桡动脉痉挛及远端闭塞,且头端软,配合康德莱医械SimmonsII导管支撑力好,可经桡动脉入路建立良好的血管内治疗通路,符合临床需求,值得临床推广。


动脉长鞘怎么置入【康德莱医械】经桡介入LA长鞘+Sim II通路组合处理颈内动脉狭窄_https://www.jmylbn.com_新闻资讯_第23张

动脉长鞘怎么置入【康德莱医械】经桡介入LA长鞘+Sim II通路组合处理颈内动脉狭窄_https://www.jmylbn.com_新闻资讯_第24张


动脉长鞘怎么置入【康德莱医械】经桡介入LA长鞘+Sim II通路组合处理颈内动脉狭窄_https://www.jmylbn.com_新闻资讯_第25张


术者

代成波 教授

广东省人民医院




医学博士,博士后

广东省人民医院神经二科主任

中国卒中学会重症脑血管分会第一届委员

中国卒中学会青年理事会第一届理事

中国医师协会神经介入分会缺血性脑血管学组委员

中国研究型医院学会神经介入专委会经桡协作组副组长

广东省医学会脑血管病学分会常务委员

广东省医学会脑血管病学分会血管介入学组副组长

广东省卒中学会质量管理与促进分会副主任委员

广东省医学会神经病学分会质量控制学组副组长

广东医师协会神经介入委员会委员

广州市脑卒中防治工作委员会专家

广州取栓医生俱乐部主要发起人之一,为国内最早从事经桡神经介入术者之一。





动脉长鞘怎么置入【康德莱医械】经桡介入LA长鞘+Sim II通路组合处理颈内动脉狭窄_https://www.jmylbn.com_新闻资讯_第26张
动脉长鞘怎么置入【康德莱医械】经桡介入LA长鞘+Sim II通路组合处理颈内动脉狭窄_https://www.jmylbn.com_新闻资讯_第27张

神经介入在线作为中国卒中学会神经介入分会的官方公众号,现已成立六年。作为最早创建的神经介入专业的学术交流平台,秉承合作、创新、交流的宗旨,为医务工作者提供国内外神经介入领域最新资讯、指南,聚焦难点深度评论,引领学术前沿。2022年致力搭建神经介入领域国内外最新医学资讯、研究进展、病例讨论、趣味科普等各项学术交流互动共享平台,整合医疗资源,发挥联盟优势,风雨共济,守候健康,我们在这里等你!




动脉长鞘怎么置入【康德莱医械】经桡介入LA长鞘+Sim II通路组合处理颈内动脉狭窄_https://www.jmylbn.com_新闻资讯_第28张
进入和缓学术” 全方位学习介入课程


动脉长鞘怎么置入【康德莱医械】经桡介入LA长鞘+Sim II通路组合处理颈内动脉狭窄_https://www.jmylbn.com_新闻资讯_第29张