动脉长鞘怎么置入【弓部重建直通车】真腔难觅,另辟蹊径|潍坊市人民医院血管外科运用Castor®支架结合长鞘建立导丝通路治疗主动脉夹层两例

新闻资讯2026-04-21 02:52:33
动脉长鞘怎么置入【弓部重建直通车】真腔难觅,另辟蹊径|潍坊市人民医院血管外科运用Castor®支架结合长鞘建立导丝通路治疗主动脉夹层两例_https://www.jmylbn.com_新闻资讯_第1张

动脉长鞘怎么置入【弓部重建直通车】真腔难觅,另辟蹊径|潍坊市人民医院血管外科运用Castor®支架结合长鞘建立导丝通路治疗主动脉夹层两例_https://www.jmylbn.com_新闻资讯_第2张


动脉长鞘怎么置入【弓部重建直通车】真腔难觅,另辟蹊径|潍坊市人民医院血管外科运用Castor®支架结合长鞘建立导丝通路治疗主动脉夹层两例_https://www.jmylbn.com_新闻资讯_第3张

近日,潍坊市人民医院血管外科收治两例累及左锁骨下动脉(LSA)的Stanford B型胸主动脉夹层患者,且夹层远端累及至脏器区分支动脉。两名患者都存在降主动脉段多发小破口,真腔受假腔压迫严重的情况,如何有效建立导丝通路并保持导丝始终在真腔内是对术者重要的挑战。张杰峰教授及其手术团队最终决定采用上海微创心脉医疗科技(集团)股份有限公司(以下简称:心脉医疗™)自主研发的Castor®分支型覆膜支架及输送系统(以下简称:Castor®支架)治愈两名患者。


为有效建立导丝通路并保持导丝始终在真腔内,张杰峰教授运用了长鞘建立导丝通路的方法,采用从肱动脉导入导丝的方法建立导丝通路,自上而下地探索,建立左肱动脉-右股动脉的导丝通路后,从股动脉导入长鞘至降主动脉,交换导丝完成输送系统和Castor®支架分支导丝通路建立,这使得手术难度大大降低并且减少了导丝进入假腔的风险。


病例一详情

病例介绍


患者男性,66岁。

主诉:患者持续性“撕裂样”疼痛一天入院;

既往史:患者长期高血压,血压最高达180mmHg,有糖尿病史;

CT辅助检查

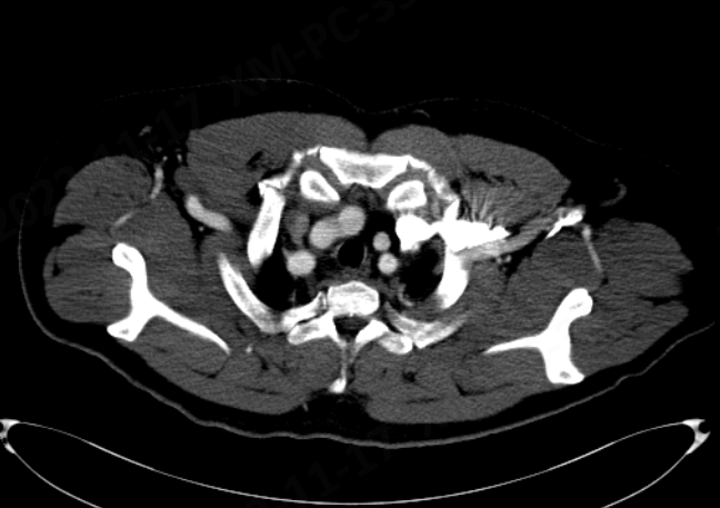
1、患者为Stanford B型胸主动脉夹层,迷走左椎动脉;

2、夹层近端逆撕靠近LSA根部,降主段多发小破口,远端累及至脏器区动脉。

动脉长鞘怎么置入【弓部重建直通车】真腔难觅,另辟蹊径|潍坊市人民医院血管外科运用Castor®支架结合长鞘建立导丝通路治疗主动脉夹层两例_https://www.jmylbn.com_新闻资讯_第4张

CTA三维重建


动脉长鞘怎么置入【弓部重建直通车】真腔难觅,另辟蹊径|潍坊市人民医院血管外科运用Castor®支架结合长鞘建立导丝通路治疗主动脉夹层两例_https://www.jmylbn.com_新闻资讯_第5张

CTA平扫


手术方案


1、根据术前评估结果显示,患者为Stanford B型主动脉夹层,夹层第一破口位于LSA以远21mm处,夹层逆撕累及LSA,远端累及脏器区分支,考虑采用腔内介入修复术优先封堵夹层的第一破口;

动脉长鞘怎么置入【弓部重建直通车】真腔难觅,另辟蹊径|潍坊市人民医院血管外科运用Castor®支架结合长鞘建立导丝通路治疗主动脉夹层两例_https://www.jmylbn.com_新闻资讯_第6张

夹层第一破口


2、根据CTA平扫显示,患者为迷走左椎动脉,左椎动脉始发于左颈总动脉(LCCA)与LSA之间;

动脉长鞘怎么置入【弓部重建直通车】真腔难觅,另辟蹊径|潍坊市人民医院血管外科运用Castor®支架结合长鞘建立导丝通路治疗主动脉夹层两例_https://www.jmylbn.com_新闻资讯_第7张

迷走左椎动脉


3、为获得充足的近端锚定区,选择将支架近端锚定在LCCA后缘。由于患者为右椎优势供血,故遮盖迷走左椎动脉并重建LSA;


4、计划选择Castor®支架进行治疗:

Castor®支架独特的主体与分支一体化的结构,能将锚定区向前拓展的同时有效重塑主动脉真腔,并兼顾重建LSA


术前评估


  • LCCA后缘主动脉直径:28.4 mm;

  • LCCA-LSA间距:17 mm;

  • LSA远端直径:8.8 mm;

  • 右侧入路最小直径:8.6 mm;

  • LSA展开钟向角:LAO 51°;

  • LSA展开足位角:0°。

根据术前评估数据结果,拟采用主体近端规格为32mm,分支远端直径10mm,分支后移长度为15mm的Castor®支架(C322610-2002515)。


手术过程


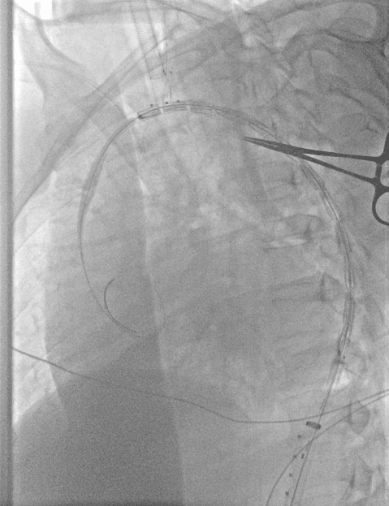
1、穿刺患者左肱动脉与右股动脉,并在左肱动脉置入5F的穿刺鞘后,导入软导丝,从右股动脉导入7F长鞘至降主动脉,交换超硬导丝与分支导丝并导入造影导管进行造影;

动脉长鞘怎么置入【弓部重建直通车】真腔难觅,另辟蹊径|潍坊市人民医院血管外科运用Castor®支架结合长鞘建立导丝通路治疗主动脉夹层两例_https://www.jmylbn.com_新闻资讯_第8张

与长鞘并行导入造影导管


动脉长鞘怎么置入【弓部重建直通车】真腔难觅,另辟蹊径|潍坊市人民医院血管外科运用Castor®支架结合长鞘建立导丝通路治疗主动脉夹层两例_https://www.jmylbn.com_新闻资讯_第9张

术前造影


2、从右侧股动脉沿超硬导丝上推输送系统至降主动脉,褪下支架软鞘后,上推支架,助手配合牵拉分支导丝,使分支支架进入LSA;

动脉长鞘怎么置入【弓部重建直通车】真腔难觅,另辟蹊径|潍坊市人民医院血管外科运用Castor®支架结合长鞘建立导丝通路治疗主动脉夹层两例_https://www.jmylbn.com_新闻资讯_第10张

上推支架


3、再次造影确认后,释放支架;


4、术后造影显示,主动脉夹层第一破口被有效隔绝,LSA血流通畅,真腔得到重塑,支架无移位或内漏现象发生,手术圆满成功。

动脉长鞘怎么置入【弓部重建直通车】真腔难觅,另辟蹊径|潍坊市人民医院血管外科运用Castor®支架结合长鞘建立导丝通路治疗主动脉夹层两例_https://www.jmylbn.com_新闻资讯_第11张

术后造影


病例二详情

病例介绍


患者男性,39岁。

主诉:患者持续一个月胸闷入院;

既往史:患者有长达十二年的吸烟史;

CT辅助检查

1、Stanford B型胸主动脉夹层;

2、夹层近端逆撕靠近LCCA,远端累及至脏器区动脉,降主多发小破口。

动脉长鞘怎么置入【弓部重建直通车】真腔难觅,另辟蹊径|潍坊市人民医院血管外科运用Castor®支架结合长鞘建立导丝通路治疗主动脉夹层两例_https://www.jmylbn.com_新闻资讯_第12张

CTA三维重建


动脉长鞘怎么置入【弓部重建直通车】真腔难觅,另辟蹊径|潍坊市人民医院血管外科运用Castor®支架结合长鞘建立导丝通路治疗主动脉夹层两例_https://www.jmylbn.com_新闻资讯_第13张

CTA平扫


手术方案


1、根据术前评估结果显示,患者为Stanford B型主动脉夹层,夹层近端逆撕靠近LCCA,夹层远端累及至脏器区分支,应优先处理弓上病变,封堵第一破口;              

动脉长鞘怎么置入【弓部重建直通车】真腔难觅,另辟蹊径|潍坊市人民医院血管外科运用Castor®支架结合长鞘建立导丝通路治疗主动脉夹层两例_https://www.jmylbn.com_新闻资讯_第14张

夹层第一破口


2、经术前评估发现,夹层逆撕累及至LCCA与LSA之间,故需继续向前拓展锚定区;


3、经过综合考虑,决定将锚定区前移至IA后缘,可获得充足的锚定区距离;


4、计划选用Castor®支架,有以下优势:

1)Castor®支架采用主体与分支一体化结构,若将支架近端锚定在IA后缘,分支放在LCCA,支架既能获得充足的锚定区,又能重建LCCA,恢复血流供应;

2)Castor®支架近端采用无裸段设计,有效降低对血管壁的刺激,三重小波段结构,能有效贴合血管壁,降低I型内漏的发生率


术前评估


  • IA后缘主动脉直径:36.7 mm ;

  • IA-LCCA间距:10 mm ;

  • LCCA远端直径:10.6 mm ;

  • 右侧入路最小直径:9.1 mm ;

  • 左侧入路最小直径:8.7 mm ;

  • LCCA展开钟向角:LAO 50° ;

  • LCCA展开头位角:CRA 6° 。

根据术前评估数据结果,拟采用主体近端规格为40mm,分支远端直径12mm,分支后移长度为5mm的Castor®支架(C403412-2002505)。

手术过程


1、穿刺患者左侧颈动脉与右股动脉,并在左颈动脉置入7F的穿刺鞘后,导入软导丝,自上而下地探索真腔,在穿出右股动脉后,从左股动脉导入9F长鞘至降主动脉,先后在长鞘内交换导丝为超硬导丝,分支导丝和造影导管导丝,下撤长鞘后,上推黄金标记导管至升主动脉造影; 

动脉长鞘怎么置入【弓部重建直通车】真腔难觅,另辟蹊径|潍坊市人民医院血管外科运用Castor®支架结合长鞘建立导丝通路治疗主动脉夹层两例_https://www.jmylbn.com_新闻资讯_第15张

术前造影


2、上推支架,助手配合牵拉分支导丝,使分支支架进入LCCA;

动脉长鞘怎么置入【弓部重建直通车】真腔难觅,另辟蹊径|潍坊市人民医院血管外科运用Castor®支架结合长鞘建立导丝通路治疗主动脉夹层两例_https://www.jmylbn.com_新闻资讯_第16张

上推支架


3、造影确认后,快速释放主体支架,助手配合牵拉分支导丝释放分支支架;

动脉长鞘怎么置入【弓部重建直通车】真腔难觅,另辟蹊径|潍坊市人民医院血管外科运用Castor®支架结合长鞘建立导丝通路治疗主动脉夹层两例_https://www.jmylbn.com_新闻资讯_第17张

释放支架


4、术后造影显示,主动脉夹层第一破口被有效隔绝,LCCA血流通畅,真腔得到重塑。

动脉长鞘怎么置入【弓部重建直通车】真腔难觅,另辟蹊径|潍坊市人民医院血管外科运用Castor®支架结合长鞘建立导丝通路治疗主动脉夹层两例_https://www.jmylbn.com_新闻资讯_第18张

术后造影


动脉长鞘怎么置入【弓部重建直通车】真腔难觅,另辟蹊径|潍坊市人民医院血管外科运用Castor®支架结合长鞘建立导丝通路治疗主动脉夹层两例_https://www.jmylbn.com_新闻资讯_第19张

远端脏器区造影


专家介绍

 动脉长鞘怎么置入【弓部重建直通车】真腔难觅,另辟蹊径|潍坊市人民医院血管外科运用Castor®支架结合长鞘建立导丝通路治疗主动脉夹层两例_https://www.jmylbn.com_新闻资讯_第20张

张杰峰 教授

潍坊市人民医院血管外科主任,主任医师,

潍坊名医,硕士生导师

  • 兼任国际血管外科协会(ISVS)成员

  • 亚太血管学术联盟APA理事

  • 中国微循环学会周围血管疾病专业委员会委员

  • 静脉曲张学组副组长

  • 山东省医学会血管外科分会副主任委员

  • 山东省医师协会血管外科分会副主任委员

  • 山东省医师协会外周血管介入医师分会副主任委员

  • 山东省心功能研究会血管病专业委员会副主任委员

  • 潍坊市医学会血管外科专业委员会主任委员

从事血管外科疾病的诊断、手术及血管腔内治疗。擅长主动脉夹层及胸腹主动脉瘤的腔内修复术、颈动脉内膜剥脱术、静脉功能不全的腔内治疗、下肢静脉曲张的微创治疗、下肢深静脉血栓的综合治疗、下肢动脉硬化闭塞症的腔内及手术治疗、糖尿病足的腔内治疗、尿毒症的各种动静脉造瘘术及人工血管动静脉造瘘术等。

 动脉长鞘怎么置入【弓部重建直通车】真腔难觅,另辟蹊径|潍坊市人民医院血管外科运用Castor®支架结合长鞘建立导丝通路治疗主动脉夹层两例_https://www.jmylbn.com_新闻资讯_第21张

孙波 教授

主治医师,北京协和医学院医学博士

  • 亚太学术联盟血管外科专业委员

  • 中国微循环学会血管外科学会中青年委员

  • 中国老年医学委员会老年病学分会委员

  • 潍坊市医学会血管外科学组委员

发表学术论文10余篇;参编著作4部;专利两项。获得省级科技进步二等奖一项,市级科技进步奖两项。擅长血管外科常见疾病诊疗。

 动脉长鞘怎么置入【弓部重建直通车】真腔难觅,另辟蹊径|潍坊市人民医院血管外科运用Castor®支架结合长鞘建立导丝通路治疗主动脉夹层两例_https://www.jmylbn.com_新闻资讯_第22张

刘涛 教授

潍坊市人民医院血管外科,主治医师,

硕士研究生

毕业于首都医科大学,擅长血管外科常见疾病的诊疗。学术任职:山东省医师协会外周血管介入学分会委员,潍坊市医学会VTE防治专业委员会委员、秘书。


科室介绍

动脉长鞘怎么置入【弓部重建直通车】真腔难觅,另辟蹊径|潍坊市人民医院血管外科运用Castor®支架结合长鞘建立导丝通路治疗主动脉夹层两例_https://www.jmylbn.com_新闻资讯_第23张

潍坊市人民医院血管外科是诊疗领域覆盖主动脉疾病、颈动脉疾病、内脏动脉瘤及下肢动脉硬化闭塞症、糖尿病足、下肢深静脉血栓、肺动脉栓塞、下肢静脉曲张等疾病的腔内微创及手术治疗的科室,是潍坊市成立最早、综合水平最高的血管外科专业科室,是潍坊市医学会血管外科专业委员会主任委员单位;


目前科室拥有主任医师1名,副主任医师2名,主治医师6名;拥有硕士研究生导师2名,硕士8名,博士1名。潍坊市人民医院血管外科在多个专业领域具有自己的特色及优势,其中在下肢深静脉血栓形成的诊疗领域,能够提供VTE预防、下腔静脉滤器置入、深静脉血栓机械性清除、导管直接溶栓术、下肢静脉球囊扩张+支架植入等腔内治疗的全领域治疗,达到国内先进水平;在主动脉夹层、胸主动脉瘤、腹主动脉瘤等主动脉疾病诊疗领域,能够提供一体化分支支架技术、主动脉覆膜支架开窗技术、分支血管转流技术、主动脉覆膜支架腔内修复技术、开放性人工血管置换术等各种治疗方案;在下肢静脉曲张、下肢静脉功能不全、下肢动脉硬化闭塞症、糖尿病足、颈动脉疾病等诊疗中,也具有自己的特色和技术优势。

版权声明:本平台旨在帮助医疗卫生专业人士更好地了解相关疾病领域最新进展。本平台对发布的资讯内容,并不代表同意其描述和观点,仅为提供更多信息。若涉及版权问题,烦请权利人与我们联系,我们将尽快处理。仅供医疗卫生专业人士为了解资讯使用,该等信息不能以任何方式取代专业的医疗指导,也不应被视为诊疗建议。如该等信息被用于了解资讯以外的目的,本平台及作者不承担相关责任。合作联系邮箱:vascular@edoctor.cn。

动脉长鞘怎么置入【弓部重建直通车】真腔难觅,另辟蹊径|潍坊市人民医院血管外科运用Castor®支架结合长鞘建立导丝通路治疗主动脉夹层两例_https://www.jmylbn.com_新闻资讯_第24张