曲面断层片怎么看口腔精读 | 一次性教你看懂曲面断层片!

新闻资讯2026-04-21 15:48:32
曲面断层片怎么看口腔精读 | 一次性教你看懂曲面断层片!_https://www.jmylbn.com_新闻资讯_第1张

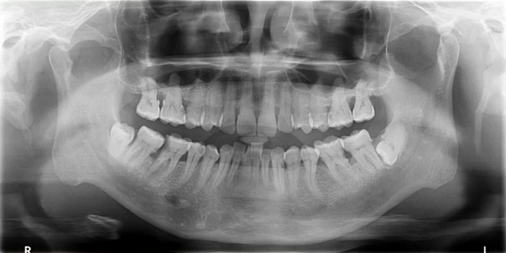
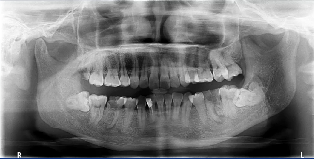
口腔曲面断层X线摄影(Rotational Panoramic Radiography)通过专门设计的口腔曲面全景摄影X线机,将上颌骨、下颌骨、颞颌关节、上颌窦、鼻腔及全口牙齿的影像同时显示在1张体层照片上的摄影技术。


口腔曲面断层摄影在医疗诊断中德应用越来越广泛,它能为牙科病,牙齿矫形以及牙槽骨,题颌关节的骨折骨病等多种疾病提供重要的信息。


因为该种摄影是一种曲面断层摄影,球管在摄影过程中要做曲面旋转运动,这就要求病人定位十分准确,否则就会产生严重的伪影,摄片质量就会下降。

曲面断层片怎么看口腔精读 | 一次性教你看懂曲面断层片!_https://www.jmylbn.com_新闻资讯_第2张
  • 如何解读一张标准曲断片?

  • 龋病在曲断片上的影像应该怎么分析?

  • 根管治疗在曲断片上的影像应该怎么分析?

  • 牙周治疗在曲断片上的影像应该怎么分析?

  • 修复前在曲断片上的影像应该怎么分析?

  • 智齿拔除和埋伏牙 在曲断片上的影像应该怎么分析?

  • 种植治疗在曲断片上的影像应该怎么分析?

曲面断层片怎么看口腔精读 | 一次性教你看懂曲面断层片!_https://www.jmylbn.com_新闻资讯_第3张




曲面断层片怎么看口腔精读 | 一次性教你看懂曲面断层片!_https://www.jmylbn.com_新闻资讯_第4张

思维导图

曲面断层片怎么看口腔精读 | 一次性教你看懂曲面断层片!_https://www.jmylbn.com_新闻资讯_第5张

<下滑查看更多内容>




曲面断层片怎么看口腔精读 | 一次性教你看懂曲面断层片!_https://www.jmylbn.com_新闻资讯_第6张

01

知识讲解

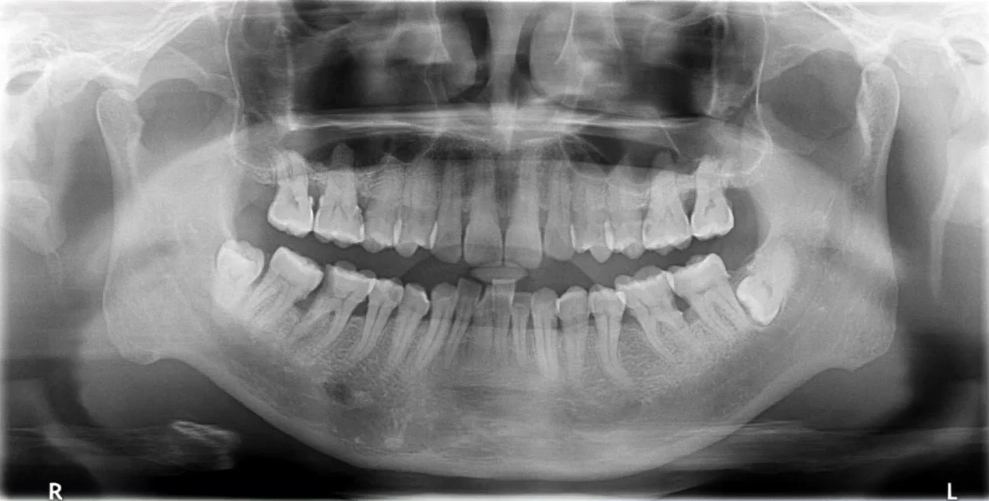
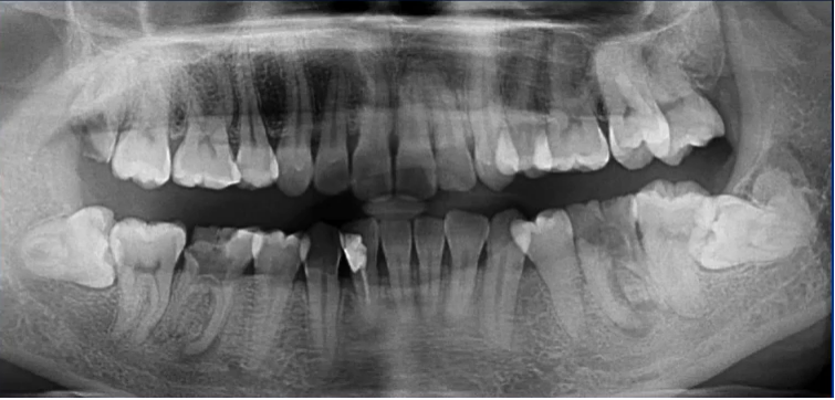
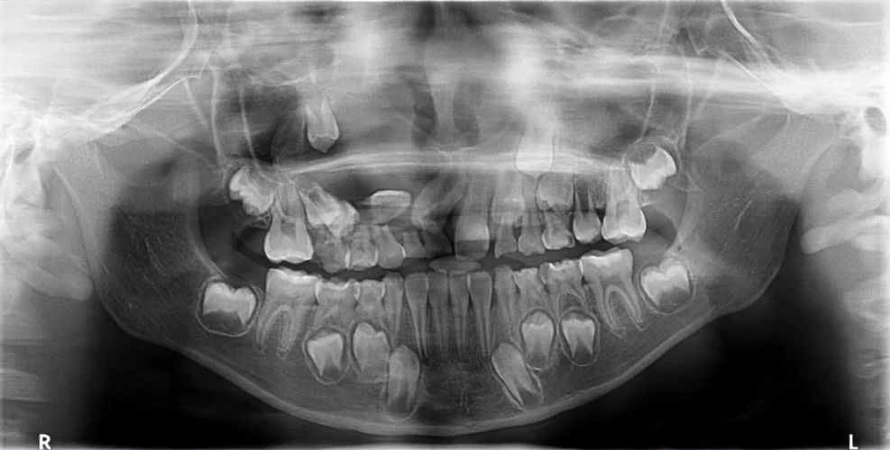
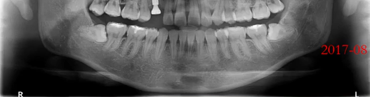
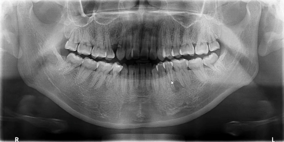
一、理想曲断影像


中线左右对称,牙齿排列呈微笑弧形,片子左右两边相对对称,能清晰显示颞下颌关节、上下牙列的牙根,图像的对比度和分辨率较好。

曲面断层片怎么看口腔精读 | 一次性教你看懂曲面断层片!_https://www.jmylbn.com_新闻资讯_第7张


二、曲面断层片的用途


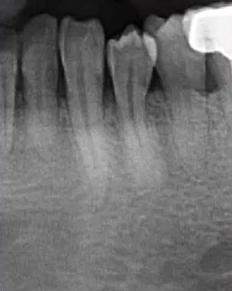
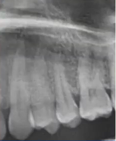
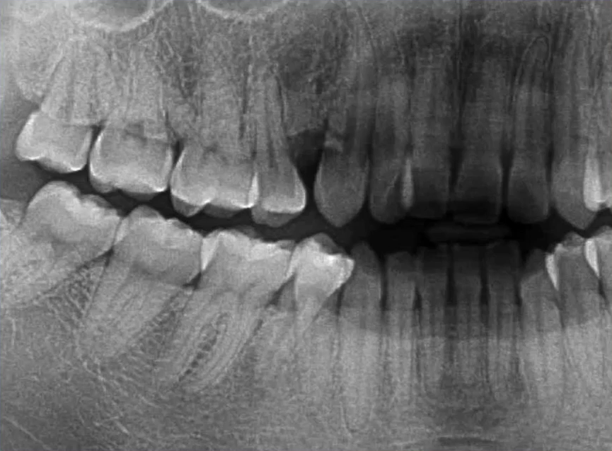
1. 全面显示牙列:牙体疾病初步诊断

比如下面这张片子显示出的龋坏合并根尖周炎。


2. 混合牙列期:乳牙情况、恒牙胚观察

曲面断层片拍摄时体位相对比较简单,小患者的配合程度相对高一些。


3. 上、下颌骨:囊肿、肿瘤、炎症


4. 牙槽嵴高度:牙周评估(水平、垂直)


5. 上颌窦观察:窦底高度、黏膜厚度


6. 颞下颌关节:髁突外形


7. 种植体评估:术后评估、维护、复查

曲面断层片怎么看口腔精读 | 一次性教你看懂曲面断层片!_https://www.jmylbn.com_新闻资讯_第8张


三、曲面断层片


(一)解读


1. 先整体后局部,有顺序不遗漏


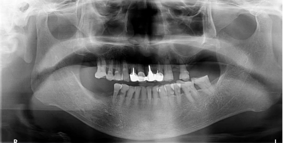
因为曲面断层片反映的是上下颌牙齿、上颌窦、关节,在一张片子中所展示的解剖结构较多。比如刚才的片子,最容易诊断的是右下6远中邻面深龋合并根尖周炎,左下有埋伏的多生智齿,右侧是垂直智齿。


注意不要遗漏,比如片子中显示上颌两个3是缺失的,是先天性缺失还是做过手术?有可能会漏掉一些临床信息。


2. 推荐象限顺序


1(右上)→2(左上)→3(左下)→4(右下)


3. 推荐检查部位顺序


牙→骨→上颌窦→关节

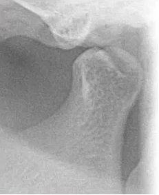
比如患者右侧髁突的前斜面发生了硬骨改变。


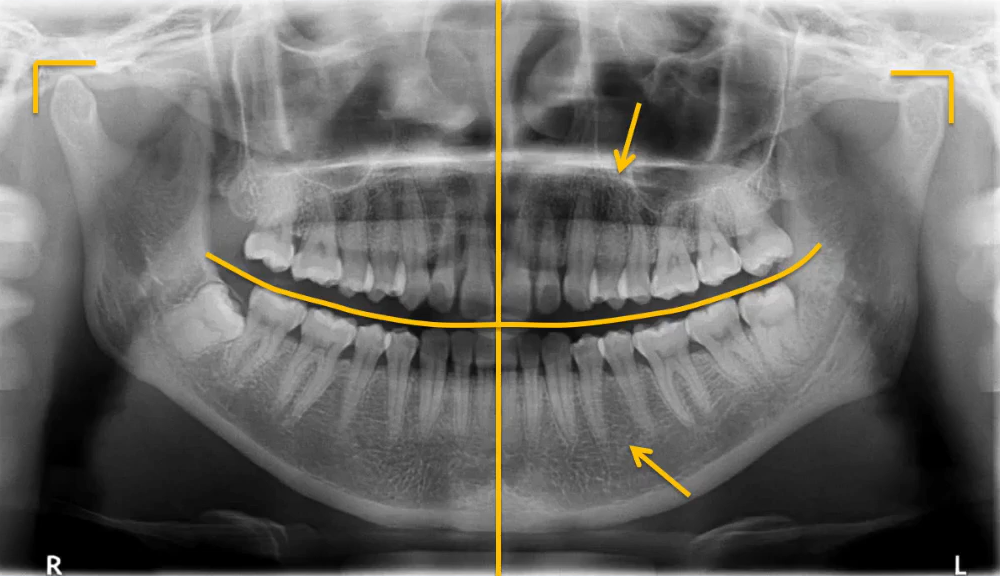
4. 左右对称比较


左、右下5根方有低密度影,一般认为是颏孔位置,左右对称进行观察可以排除一些疾患。


(二)意义

1. 对疾病的诊断是初步的、大致的、方向性的


比如对于患者右下6可以进行深龋的诊断,但是根尖炎的情况如何,或者牙根情况如何,我们需要进一步检查。比如拍摄一个根尖片或口腔CBCT,排查是否有根尖炎或根管情况。


2. 指导进一步临床检查和(或)影像学检查,使更有目的性和针对性


所以曲面断层片的诊断是初步的、大致的、方向性的,但是会指引我们进行下一步的临床检查和影像学检查,使下一步检查更有目的性、针对性。


比如这位患者,当我们在曲面断层片发现有关节髁突的外形改变,就会指引临床大夫做颞下颌关节检查,比如看一下颞下颌关节的张口度、对称性,关节是否有弹响等,必要时需要做颞下颌关节CBCT。


甚至当我们怀疑关节盘有问题时,还需要让患者做磁共振,看下是否有关节盘移位等情况。


对于初诊患者来说,一张曲面断层片是非常有必要的,可以让大夫快速、全局地了解患者的口腔情况,为口腔临床大夫制定进一步的检查。

曲面断层片怎么看口腔精读 | 一次性教你看懂曲面断层片!_https://www.jmylbn.com_新闻资讯_第9张


(三)读好曲断片的基本要求

1. 了解曲断片中解剖结构的影像表现


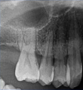
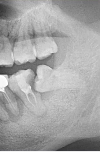
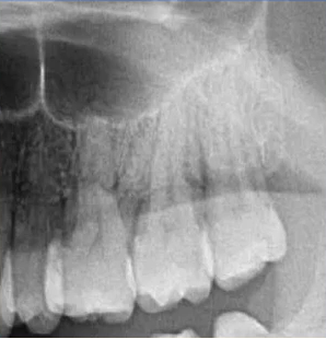
比如上颌窦大概的位置,在曲面断层片上能画出内侧壁、底壁、外侧壁,通过描画来区分上颌窦的情况。当看到上颌窦内的骨嵴,或者颧突的高密度影,能够进行区分辨认。


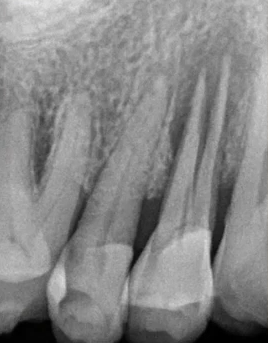
下图可看到,左上4根方有低密度影,牙冠非常完整,首先可以考虑是上颌骨的间隔而不是根尖周囊肿。

曲面断层片怎么看口腔精读 | 一次性教你看懂曲面断层片!_https://www.jmylbn.com_新闻资讯_第10张

(解剖结构辨认)


2. 了解曲断片的拍摄要求(体位、参数)


下面这位患者,上颌前牙的牙齿发黑,整体只有牙冠显影,是因为拍摄时给的参数太大了,片子电流过高,X线穿透力过强穿透了组织;同时舌头没有紧贴上颚,所以没有拍出硬腭和上颚之间的空隙。


所以这张片子无法帮助我们进行诊断,在第二次拍摄时需要降低电流及参数,嘱咐患者抬高舌头,帮助完成一张良好的曲面断层片。

曲面断层片怎么看口腔精读 | 一次性教你看懂曲面断层片!_https://www.jmylbn.com_新闻资讯_第11张

(拍摄体位、参数)


3. 了解曲断中伪影的变化


当患者驼背的时候,在下颌前牙区会出现颈椎的伪影,这是体位的变化造成下颌前牙区占位的高密度影,读片时需要注意。


常见的有颈椎伪影、颌骨伪影、烤瓷冠伪影、配饰伪影等。

曲面断层片怎么看口腔精读 | 一次性教你看懂曲面断层片!_https://www.jmylbn.com_新闻资讯_第12张
曲面断层片怎么看口腔精读 | 一次性教你看懂曲面断层片!_https://www.jmylbn.com_新闻资讯_第13张
曲面断层片怎么看口腔精读 | 一次性教你看懂曲面断层片!_https://www.jmylbn.com_新闻资讯_第14张

(伪影及体位变化)


下图的患者牙弓整体排列呈一字型,一般认为机器伸的过高,头仰起来了,导致硬腭下降和牙根发生了重叠。

曲面断层片怎么看口腔精读 | 一次性教你看懂曲面断层片!_https://www.jmylbn.com_新闻资讯_第15张


二次拍摄时使机器降低,不要让患者的头仰起来,患者的面平面与地面形成垂直型夹角,大面积重叠消失。

曲面断层片怎么看口腔精读 | 一次性教你看懂曲面断层片!_https://www.jmylbn.com_新闻资讯_第16张


下面是位小患者,在前牙区发黑,证明X线平均能量过高,穿透力过强。

曲面断层片怎么看口腔精读 | 一次性教你看懂曲面断层片!_https://www.jmylbn.com_新闻资讯_第17张


当电压从70降到60时,得到了第二张曲面断层片,上颌显影比第一张好多了。

曲面断层片怎么看口腔精读 | 一次性教你看懂曲面断层片!_https://www.jmylbn.com_新闻资讯_第18张


上颌前牙区、下颌前牙区牙位辨认

患者处于混合牙列期,可以看到右侧前牙区有多生牙,下颌有融合牙的存在。

曲面断层片怎么看口腔精读 | 一次性教你看懂曲面断层片!_https://www.jmylbn.com_新闻资讯_第19张


4. 了解常见疾病在曲断片中的表现


比如龋坏、智齿在片中的位置关系,能够进行评估;常见颌骨的炎症(中央型颌骨骨髓炎、边缘型颌骨骨髓炎)、囊肿、多生牙、颌面部肿瘤、良性占位性病变,需要能在片中及时发现及辨别,指导患者进行下一步的临床检查和影像学检查。


5. 曲断片的指导意义以及下一步检查的方向


(四)优点

  1. 较全面的显示颌面骨和牙

  2. 相对较为方便的检查

  3. 片子相对易懂、好读

  4. 能对患者进行教育和病例展示


(五)缺点

  1. 分辨率较差

    根管、根尖周及牙周不易发现小病损

  2. 片子变形

    与周围结构的重叠、伪影


常用于全面口腔检查,观察外伤、炎症、畸形、肿瘤等病变及其周围组织的关系,第三磨牙定位,牙列变化(尤其混合牙列),种植治疗前后评估等。


值得注意的是,对已有曲面断层片的患者在常见病诊断上并不能排除对口内片的需要。


【病例展示】


32岁,男性,因咬物不适来院就诊。

查:14残根,牙龈红肿;35叩诊(+),45叩诊(+),牙颌面见畸形中央尖。

曲面断层片怎么看口腔精读 | 一次性教你看懂曲面断层片!_https://www.jmylbn.com_新闻资讯_第20张

35叩诊(+)


二次拍根尖片确认可看到根尖低密度炎症,临床检查与影像学检查相符,是根尖周炎。

曲面断层片怎么看口腔精读 | 一次性教你看懂曲面断层片!_https://www.jmylbn.com_新闻资讯_第21张


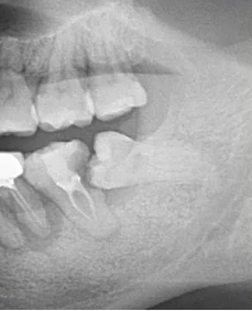
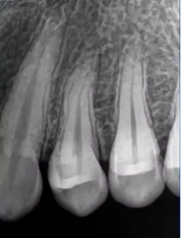
临床检查时发现14残根,牙龈红肿。曲面断层片上由于前磨牙转角问题,看不到残根,无法明确到底有没有残根,无法通过曲面断层片进行确诊或评估。

曲面断层片怎么看口腔精读 | 一次性教你看懂曲面断层片!_https://www.jmylbn.com_新闻资讯_第22张


这时需要加拍根尖片,很明显能看到残根。这就说明,有曲面断层片也不能排除情况。

曲面断层片怎么看口腔精读 | 一次性教你看懂曲面断层片!_https://www.jmylbn.com_新闻资讯_第23张
曲面断层片怎么看口腔精读 | 一次性教你看懂曲面断层片!_https://www.jmylbn.com_新闻资讯_第24张


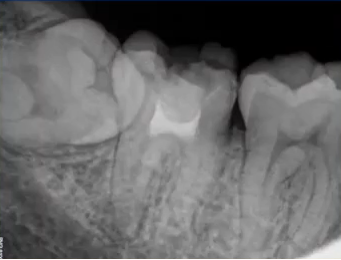
临床检查45叩诊(+),牙颌面见畸形中央尖。加拍根尖片可看到,右下5根方有低密度影,并且右下5的牙根较短小,和曲面断层片上显示的大小不同,所以右下5是舌向倾斜的牙齿。

曲面断层片怎么看口腔精读 | 一次性教你看懂曲面断层片!_https://www.jmylbn.com_新闻资讯_第25张
曲面断层片怎么看口腔精读 | 一次性教你看懂曲面断层片!_https://www.jmylbn.com_新闻资讯_第26张



四、曲断片的读片分析



【病例1】

9岁,男孩,因右上面颊部肿胀来源就诊

55深龋→根尖炎→面颊肿胀

曲面断层片怎么看口腔精读 | 一次性教你看懂曲面断层片!_https://www.jmylbn.com_新闻资讯_第27张


根尖片视野范围较小,曲断检查结果:乳5颌骨根方有含牙囊肿的存在。

曲面断层片怎么看口腔精读 | 一次性教你看懂曲面断层片!_https://www.jmylbn.com_新闻资讯_第28张


 【病例2】

张XX,女,34岁

曲面断层片怎么看口腔精读 | 一次性教你看懂曲面断层片!_https://www.jmylbn.com_新闻资讯_第29张


1、牙槽骨水平性吸收,个别有垂直性吸收


2、全口结石影

治疗:洁刮治

检查:牙周探诊、咬合检查

正畸治疗考虑及设计

曲面断层片怎么看口腔精读 | 一次性教你看懂曲面断层片!_https://www.jmylbn.com_新闻资讯_第30张


3、牙缺失

治疗:种植治疗

检查:CBCT,对合牙

牙周治疗及维护

正畸治疗考虑及设计

曲面断层片怎么看口腔精读 | 一次性教你看懂曲面断层片!_https://www.jmylbn.com_新闻资讯_第31张


4、智齿阻生

治疗:拔除

检查:颌骨评估、阻生齿评估、邻牙评估

曲面断层片怎么看口腔精读 | 一次性教你看懂曲面断层片!_https://www.jmylbn.com_新闻资讯_第32张
曲面断层片怎么看口腔精读 | 一次性教你看懂曲面断层片!_https://www.jmylbn.com_新闻资讯_第33张


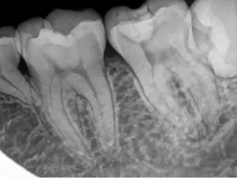
5、根尖周炎

治疗:根管治疗,冠修复

检查:CBCT,根管及牙槽骨评估;临床,桩核冠修复条件。

曲面断层片怎么看口腔精读 | 一次性教你看懂曲面断层片!_https://www.jmylbn.com_新闻资讯_第34张
曲面断层片怎么看口腔精读 | 一次性教你看懂曲面断层片!_https://www.jmylbn.com_新闻资讯_第35张
曲面断层片怎么看口腔精读 | 一次性教你看懂曲面断层片!_https://www.jmylbn.com_新闻资讯_第36张


楔状缺损的临床检查

曲面断层片怎么看口腔精读 | 一次性教你看懂曲面断层片!_https://www.jmylbn.com_新闻资讯_第37张
曲面断层片怎么看口腔精读 | 一次性教你看懂曲面断层片!_https://www.jmylbn.com_新闻资讯_第38张
曲面断层片怎么看口腔精读 | 一次性教你看懂曲面断层片!_https://www.jmylbn.com_新闻资讯_第39张
曲面断层片怎么看口腔精读 | 一次性教你看懂曲面断层片!_https://www.jmylbn.com_新闻资讯_第40张


颞下颌关节的检查

曲面断层片怎么看口腔精读 | 一次性教你看懂曲面断层片!_https://www.jmylbn.com_新闻资讯_第41张
曲面断层片怎么看口腔精读 | 一次性教你看懂曲面断层片!_https://www.jmylbn.com_新闻资讯_第42张
曲面断层片怎么看口腔精读 | 一次性教你看懂曲面断层片!_https://www.jmylbn.com_新闻资讯_第43张
曲面断层片怎么看口腔精读 | 一次性教你看懂曲面断层片!_https://www.jmylbn.com_新闻资讯_第44张


【病例3】

女,27岁,牙疼来院就诊

曲面断层片怎么看口腔精读 | 一次性教你看懂曲面断层片!_https://www.jmylbn.com_新闻资讯_第45张


18残根、38牙根方高密度影、36根尖炎、46根尖炎

48水平阻生

42根管内充填影,未到根尖

曲面断层片怎么看口腔精读 | 一次性教你看懂曲面断层片!_https://www.jmylbn.com_新闻资讯_第46张



其他问题:14、24、34、44牙缺失,为什么?

45根尖有阴影,是不是炎症?那35根尖呢?

36、46只是根尖炎?

42根尖有没有囊肿?

曲面断层片怎么看口腔精读 | 一次性教你看懂曲面断层片!_https://www.jmylbn.com_新闻资讯_第47张


进一步检查:口腔CBCT的应用

36、46根管评估,45根尖颏孔鉴别诊断

曲面断层片怎么看口腔精读 | 一次性教你看懂曲面断层片!_https://www.jmylbn.com_新闻资讯_第48张
曲面断层片怎么看口腔精读 | 一次性教你看懂曲面断层片!_https://www.jmylbn.com_新闻资讯_第49张


42根尖区低密度影鉴别诊断

曲面断层片怎么看口腔精读 | 一次性教你看懂曲面断层片!_https://www.jmylbn.com_新闻资讯_第50张


38根尖区高密度影鉴别诊断

曲面断层片怎么看口腔精读 | 一次性教你看懂曲面断层片!_https://www.jmylbn.com_新闻资讯_第51张


进一步检查:临床病史询问——正畸

临床检查——关节、面型等(曲断片读片)

曲面断层片怎么看口腔精读 | 一次性教你看懂曲面断层片!_https://www.jmylbn.com_新闻资讯_第52张


【病例4】

29岁,女性,自感牙体不适来院就诊

主要诊断:牙体——47龋坏伴根尖炎

牙列——35、45牙缺失,乳牙滞留,38、48智齿埋伏阻生

曲面断层片怎么看口腔精读 | 一次性教你看懂曲面断层片!_https://www.jmylbn.com_新闻资讯_第53张


根尖片进一步诊断

47龋坏伴根尖炎

曲面断层片怎么看口腔精读 | 一次性教你看懂曲面断层片!_https://www.jmylbn.com_新闻资讯_第54张
曲面断层片怎么看口腔精读 | 一次性教你看懂曲面断层片!_https://www.jmylbn.com_新闻资讯_第55张


37继发龋!根尖炎?

曲面断层片怎么看口腔精读 | 一次性教你看懂曲面断层片!_https://www.jmylbn.com_新闻资讯_第56张
曲面断层片怎么看口腔精读 | 一次性教你看懂曲面断层片!_https://www.jmylbn.com_新闻资讯_第57张


 25远中邻面浅龋

曲面断层片怎么看口腔精读 | 一次性教你看懂曲面断层片!_https://www.jmylbn.com_新闻资讯_第58张
曲面断层片怎么看口腔精读 | 一次性教你看懂曲面断层片!_https://www.jmylbn.com_新闻资讯_第59张


【病例5】

71岁,女性,右下颌后牙缺失要求种牙

曲断片:全面了解患者口腔情况

种植:缺牙位置、上颌窦、下颌神经管

牙周:牙槽骨、牙结石

牙体:龋坏、根尖炎、楔缺、合面磨耗

曲面断层片怎么看口腔精读 | 一次性教你看懂曲面断层片!_https://www.jmylbn.com_新闻资讯_第60张


上颌前牙区阴影:舌头位置不对→重拍?

下颌神经管显示不清:影响种植设计→进一步检查?



拍摄配合程度——年龄

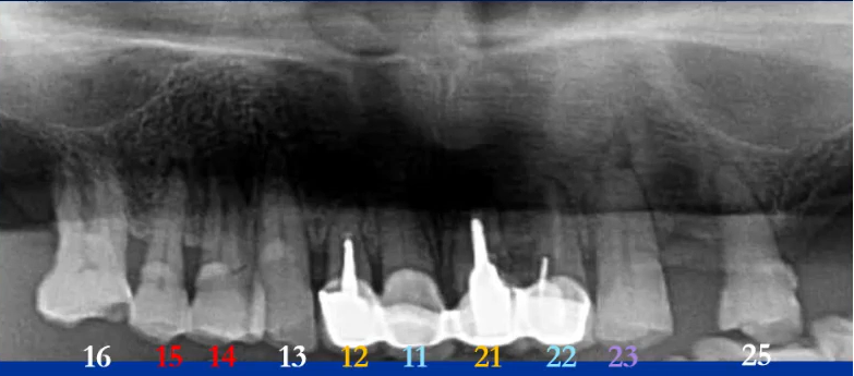
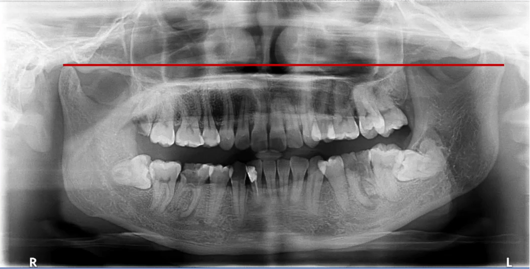
初步诊断及预判:结合临床检查,哪些重点检查;影像经验,14、15,12、21,23,11、22

曲面断层片怎么看口腔精读 | 一次性教你看懂曲面断层片!_https://www.jmylbn.com_新闻资讯_第61张
曲面断层片怎么看口腔精读 | 一次性教你看懂曲面断层片!_https://www.jmylbn.com_新闻资讯_第62张


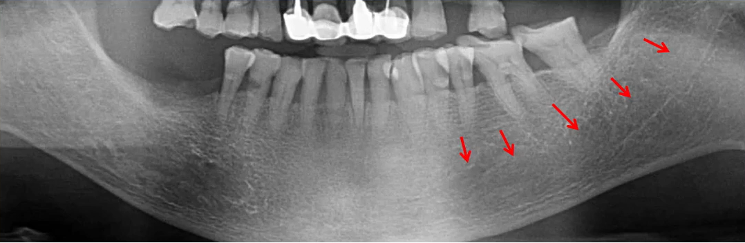
下颌种植主要判断:神经管走行及位置

左侧神经管下壁显示清晰,但上壁右侧神经管不清晰,前段疑似膨大。

曲面断层片怎么看口腔精读 | 一次性教你看懂曲面断层片!_https://www.jmylbn.com_新闻资讯_第63张
曲面断层片怎么看口腔精读 | 一次性教你看懂曲面断层片!_https://www.jmylbn.com_新闻资讯_第64张


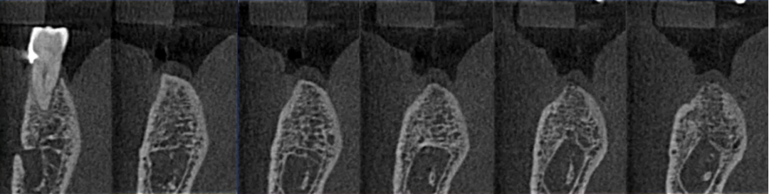
局部小视野CBCT检查

曲面断层片怎么看口腔精读 | 一次性教你看懂曲面断层片!_https://www.jmylbn.com_新闻资讯_第65张


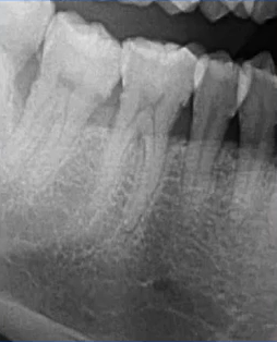
神经管位于46、47位置膨大,上壁不清。

曲面断层片怎么看口腔精读 | 一次性教你看懂曲面断层片!_https://www.jmylbn.com_新闻资讯_第66张
曲面断层片怎么看口腔精读 | 一次性教你看懂曲面断层片!_https://www.jmylbn.com_新闻资讯_第66张
曲面断层片怎么看口腔精读 | 一次性教你看懂曲面断层片!_https://www.jmylbn.com_新闻资讯_第68张
曲面断层片怎么看口腔精读 | 一次性教你看懂曲面断层片!_https://www.jmylbn.com_新闻资讯_第69张


 内容来源于极周在线

曲面断层片怎么看口腔精读 | 一次性教你看懂曲面断层片!_https://www.jmylbn.com_新闻资讯_第70张

应对牙齿楔状缺损,老外是这么干的!
 嵌体的临床应用,最全总结!
不同牙体制备肩台相比,孰优孰劣?高下立现!

点击下方名片,快速关注我们


曲面断层片怎么看口腔精读 | 一次性教你看懂曲面断层片!_https://www.jmylbn.com_新闻资讯_第71张
点击阅读原文,

下载德医学院APP!