动脉长鞘怎么置入【CNIT专栏】经桡动脉入路难以移除的6F导管鞘:病例报告

新闻资讯2026-04-21 02:52:29

动脉长鞘怎么置入【CNIT专栏】经桡动脉入路难以移除的6F导管鞘:病例报告_https://www.jmylbn.com_新闻资讯_第1张





Brief Introduce

由于神经血管内治疗(包括血栓切除术、颈动脉支架植入和弹簧圈栓塞)的微创性,对此类干预的需求和频率正在增加。神经血管内治疗通常经股动脉进行,作为一种创伤较小的冠状动脉手术,股动脉已被桡动脉入路显著取代。


最近,使用桡动脉入路进行神经血管内治疗的研究数量在增加。这种方法的主要优点是低并发症风险。然而,在这里我们报告了一例从桡动脉中移除6F导管鞘时出现困难的病例。我们相信报告这个案例是相关的,因为以前没有研究描述过这种困难,即使在冠状动脉领域,我们希望引起人们对在进行神经血管内治疗时应当小心的意识。

病例报告


一名60岁的女性患者在我们医院就诊,主诉头晕。患者有高血压病史,每日服用5毫克氨氯地平。家族病史无异常。磁共振血管造影显示在基底动脉尖处约7毫米直径的未破裂脑动脉瘤(图1)。在与患者及其家人商议后,我们决定进行弹簧圈栓塞术以预防破裂。


动脉长鞘怎么置入【CNIT专栏】经桡动脉入路难以移除的6F导管鞘:病例报告_https://www.jmylbn.com_新闻资讯_第2张

图1:动脉瘤血管造影结果。(A,B,C)基底动脉顶端可见动脉瘤。


治疗过程

我们在治疗前3周开始给患者口服两种抗血小板药物(分别是每天100毫克阿司匹林和75毫克氯吡格雷)。我们在全麻和肝素化下进行治疗,以达到激活凝血时间250-300秒。


我们将4F鞘(Medikit, Tokyo, Japan)置入右侧桡动脉。我们在直径为1.86mm血管进行了一次的后侧血管穿刺术。我们确认尺动脉到远端有足够的回流。桡动脉分叉发生在肱部区而非肘部(图2A和2B)。


我们交换置入6F Axcelguide(Medikit),没有进行任何动脉内扩张剂注射。我们在置入时没有检测到阻力,只有在引导到右侧锁骨下动脉的椎动脉起始处附近才出现阻力(图2C)。


我们将AXS Vecta71(Stryker, Kalam- azoo, MI, USA)中间导管引导至右侧椎动脉。我们使用双导管技术对动脉瘤进行栓塞,两根SL-10 (Stryker)微导管共输送10个圈,长度为63cm。


由于我们获得了满意的栓塞效果,我们决定结束治疗。距离穿刺后已经过去80分钟。在拔除SL-10(Stryker)和Vecta71(Stryker)导管时,我们注意到在拔除Axcelguide时出现了强烈的阻力,并发现其头端未从其位置移动至锁骨下动脉内。


我们在前臂动脉内和皮下注射维拉帕米、硝酸异山梨醇、硝化甘油和罂粟碱,同时进行臂丛神经阻滞。然而,导管阻力保持不变。我们试图缓慢拔除导管,逐渐使得Axcelguide被拉长,但仍未成功。


最终,我们用力拔出Axcelguide,取出了附着在上面的血管物质。由于桡动脉可能被切断,我们做了一个小切口,在进行止血的同时取出Axcelguide(图3)。随后在右侧股动脉置入了4F鞘(Medikit)。


动脉长鞘怎么置入【CNIT专栏】经桡动脉入路难以移除的6F导管鞘:病例报告_https://www.jmylbn.com_新闻资讯_第3张

图2:桡动脉造影(A,B)和锁骨下动脉造影(C)。(A)穿刺部位血管直径1.86mm。(B)桡动脉在肱动脉区域分叉。(C)6F Axcelguide(Medikit)引导至椎动脉起始处附近(箭头)。


动脉长鞘怎么置入【CNIT专栏】经桡动脉入路难以移除的6F导管鞘:病例报告_https://www.jmylbn.com_新闻资讯_第4张

图3:导管移除时的大块病理组织。(A)血管块(箭头)附着在Axcelguide上。(B)小切口后,继续缓慢拔除导管并止血。(C)在切除过程中,血管块被切断,而它仍然与Axcelguide相连(箭头)。(D)Axcelguide被拉长,从血管块附着部位到置入部位颜色变为白色。


肱动脉造影显示桡动脉已被切断,造影剂渗漏。我们确保了尺动脉侧支循环;然而,我们无法实现压迫止血。我们将SL-10(Stryker)导管引导至桡动脉,并向动脉内注射N-羟丁基2-氰基丙烯酸酯,最终实现止血(图4)。


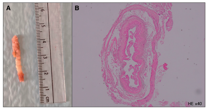
附着的血管物质包括整个动脉层(图5)。尽管术后患者出现了数天的皮下血肿和疼痛,但随着时间的推移,情况有所改善并出院回家(图6)。我们没有观察到永久性神经障碍或缺血。


动脉长鞘怎么置入【CNIT专栏】经桡动脉入路难以移除的6F导管鞘:病例报告_https://www.jmylbn.com_新闻资讯_第5张

图4:图4导管拔除后的血管造影结果。(A)取出后观察到桡动脉外渗(箭头)。(B)动脉内注射N-羟丁基2-氰基丙烯酸酯。(C)止血后,外渗消失。观察尺动脉的侧支循环(箭头)。


动脉长鞘怎么置入【CNIT专栏】经桡动脉入路难以移除的6F导管鞘:病例报告_https://www.jmylbn.com_新闻资讯_第6张

图5:脱落的血管。(A)大体病理。(B)病理结果(苏木精和伊红染色)。脱落的血管包含了整个动脉层。


动脉长鞘怎么置入【CNIT专栏】经桡动脉入路难以移除的6F导管鞘:病例报告_https://www.jmylbn.com_新闻资讯_第7张

图6:术后前臂所见。(A)手术后立即。(B)手术后三天。虽然皮肤变色扩散,患者感到疼痛,但没有神经损伤。


患者在提交本研究时同意发表。该研究已获得我们机构审查委员会的批准。





讨论





在这里呈现的病例中,我们使用经桡动脉入路进行弹簧圈栓塞术,随后进行6F导管鞘的移除术,但手术困难。尽管神经血管内治疗通常通过股动脉入路进行,但许多研究报告了通过上肢,包括桡动脉入路,以减少主动脉弓的解剖问题和穿刺部位并发症。


然而,介入治疗已经转向经桡动脉入路冠状动脉治疗。在当前病例中,当靠近椎动脉时,桡动脉手术是有用的。这种方法的优势包括术后卧床休息时间缩短和并发症减少(例如假性动脉瘤和术后出血),从而减轻患者负担。其中一个缺点是在某些情况下由于穿刺引起的血管痉挛,可能需要更换穿刺部位。


尽管已有报告称术后出现闭塞,但几乎所有描述的病例都是无症状的。假性动脉瘤、动静脉瘘和导丝穿孔桡动脉等相关并发症可能需要额外治疗。我们不知道有任何由于拔除导管困难而造成桡动脉损伤的研究,包括冠状动脉领域,正如前述病例中所经历的情况。


导致拔除困难的第一个潜在因素是穿刺部位的血管直径(1.86毫米)小于置入导管鞘的外径(2.7毫米)。观察到的血管直径低于2.7±0.41毫米,即桡动脉平均直径。


当血管直径小于器械直径时,如本例中,必要的措施包括使用较小直径的器械和在不同位置进行穿刺。在制定治疗策略之前,建议通过血管造影或超声检查测量穿刺部位的血管直径,采取这样的方法可能是明智的。


第二,我们使用导管作为长鞘而不是短鞘。在心血管领域,通常在桡动脉放置短鞘后操纵导管。相比之下,在神经血管区域通常需要使用多个器械和较大直径的导管。据报道,随着鞘直径增加,桡动脉闭塞的风险会增加。


因此,为了进一步减小穿刺部位所需的直径,通常将导管用作长鞘而不是使用短鞘。短鞘大多具有亲水性涂层,而导管鞘仅在头端具有亲水性涂层。在这种情况下使用的Axcelguide在置入后可能存在导管接触桡动脉的区域没有涂层的情况,尽管头端起始的30厘米部分有涂层。非亲水性涂层可引起血管痉挛,因为据报道,桡动脉痉挛的发生率因亲水性涂层的存在或缺失而显著不同。


第三,桡动脉在肘部以上的上臂部分分叉。通过较小直径的椎动脉路径可能导致更高水平的摩擦并诱发血管痉挛。上臂出现的肱桡动脉型,即桡动脉在上臂部分分叉,出现在4.7%–15.6%的病例中。


此外,缺乏术前动脉内扩张剂注射、性别和治疗时间可能潜在地影响了结果。上述描述的因素可能共同导致了本例中导管拔除相关困难的出现。


减少困难导管拔除风险的可能对策包括使用涂层更具亲水性的导管鞘,对于肱桡动脉型或穿刺部位直径较窄的情况,更换穿刺部位,以及术前进行动脉内扩张剂注射。


尽管这里呈现的病例罕见,但即使桡动脉被切断,通过在出现筋膜室综合征之前迅速实施止血,可以减少永久后遗症,因为桡动脉闭塞大多数情况下是无症状的。


在这种情况下,我们通过动脉内注射N-羟丁基2-氰基丙烯酸酯实现了止血。然而,在进行这种干预时应当小心,因为这种化合物在进入健康血管时可能会导致皮下组织坏死。因此,最好通过机械压迫、直接应用止血材料或弹簧圈栓塞来实现止血。


总结


经桡动脉途径预计会减少患者负担,因为与股动脉途径相比,它与更少的并发症和术后卧床休息时间较短相关。然而,类似于这个病例,从桡动脉拔除6F导管鞘可能会是困难的,因此,需要足够的谨慎。










动脉长鞘怎么置入【CNIT专栏】经桡动脉入路难以移除的6F导管鞘:病例报告_https://www.jmylbn.com_新闻资讯_第8张


*注:文章源自 CNIT神经医学创新与转化联盟
动脉长鞘怎么置入【CNIT专栏】经桡动脉入路难以移除的6F导管鞘:病例报告_https://www.jmylbn.com_新闻资讯_第9张

长按识别二维

进入CNIT神经医学创新与转化联盟学术主页,查看更多文章


动脉长鞘怎么置入【CNIT专栏】经桡动脉入路难以移除的6F导管鞘:病例报告_https://www.jmylbn.com_新闻资讯_第10张

声明:脑医汇旗下神外资讯、神介资讯、脑医咨询所发表内容之知识产权为脑医汇及主办方、原作者等相关权利人所有。未经许可,禁止进行转载、摘编、复制、裁切、录制等。经许可授权使用,亦须注明来源。欢迎转发、分享。

投稿/会议发布,请联系400-888-2526转3

动脉长鞘怎么置入【CNIT专栏】经桡动脉入路难以移除的6F导管鞘:病例报告_https://www.jmylbn.com_新闻资讯_第11张

脑医汇App(原神介资讯App“手术复盘”全新板块上线,全方位学习术中操作技巧,点击“阅读原文”抢先体验!

动脉长鞘怎么置入【CNIT专栏】经桡动脉入路难以移除的6F导管鞘:病例报告_https://www.jmylbn.com_新闻资讯_第12张

点分享

动脉长鞘怎么置入【CNIT专栏】经桡动脉入路难以移除的6F导管鞘:病例报告_https://www.jmylbn.com_新闻资讯_第13张

点点赞

动脉长鞘怎么置入【CNIT专栏】经桡动脉入路难以移除的6F导管鞘:病例报告_https://www.jmylbn.com_新闻资讯_第14张

点在看