动物怎么麻醉手术环境、对象和物种差异对异宠麻醉的影响【长文预警】

新闻资讯2026-04-21 02:49:12
动物怎么麻醉手术环境、对象和物种差异对异宠麻醉的影响【长文预警】_https://www.jmylbn.com_新闻资讯_第1张


感谢宠医客邀请我来中国给大家分享异宠麻醉与急诊的相关知识。在这里我感觉受到了非常热情的接待。


首先我来做一个自我介绍,我的名字是Margarita Galka,来自于西班牙,在西班牙南部有一个我的医院。同时也在西班牙科尔多瓦大学教书,我主要教授的就是异宠的这个麻醉学。我的课程跟大家分享的也是这部分的内容。


个人上,我不太喜欢开固定的处方。


关于什么是处方呢?就是我举个例子,在鸟上的这个处方,比如你要镇静它,那就是米达和布托的一个药物混合。同时这个给他肠外的药物,包括氯胺酮和甲苯噻嗪去注射。然后最后吸入麻醉。我们去这个药典里去看它的剂量。同样的爬行动物麻醉,就是给它注射的阿法沙龙,然后静脉给的丙泊酚诱导,然后吸入麻醉的维持。这样的一个药物的组合剂量,在药典中也都有。


同样在小型哺乳动物,我们镇定组合是布托加美托咪定,然后给它氯胺酮进行诱导,吸入麻醉异氟烷进行维持。剂量也同样在这个药典有。


所以我们的课就讲完了。(笑)

动物怎么麻醉手术环境、对象和物种差异对异宠麻醉的影响【长文预警】_https://www.jmylbn.com_新闻资讯_第2张

Margarita Galka

动物怎么麻醉手术环境、对象和物种差异对异宠麻醉的影响【长文预警】_https://www.jmylbn.com_新闻资讯_第3张

正式上课

动物怎么麻醉手术环境、对象和物种差异对异宠麻醉的影响【长文预警】_https://www.jmylbn.com_新闻资讯_第4张



我们提到麻醉,我们需要知道我们在做什么。随着新的技术进展,包括不同的物种研究的深入,这些麻醉的方法都有所变化。另外我发现很多在我能用到的药物,目前在国内是没有办法用在动物身上的。

 

在这个课程的过程中,有任何部分大家有疑问或者希望跟更多的解释,随时的去打断我。我希望有更多跟大家互动的时间。

 

我们这个去异宠的麻醉跟犬猫是否一样?我们在麻醉异宠的时候是不是对猫和狗的这个麻醉一样?那我们就是在麻醉犬猫的时候,它的方法一样吗?我们麻醉这些爬行动物都会一样的方案吗?所有不同的鸟类?所有这些哺乳动物?他们的麻醉方案都一样吗?我希望大家在这次课程能够了解到,我们对所有的动物的麻醉方案。

 

我们了解了麻醉的原理,我们就可以麻醉。比如一个小的小狗,一个友好的猫,一个龙猫,雪貂,虎皮鹦鹉,鬃狮蜥、异形。所有的他的工作流程都是一致的。


动物怎么麻醉手术环境、对象和物种差异对异宠麻醉的影响【长文预警】_https://www.jmylbn.com_新闻资讯_第5张


只要我们知道我们做这件事情的背后的机理是什么,我们就知道怎么去做了。在急诊的这个病例,有可能有各种各样的情况。包括一些急诊的外伤,包括摄入异物等等这样的问题。


这个在急重症和麻醉,它实际上有非常大的一个相关性。很多急重症的病例,你在处置的时候可能都需要进行一个麻醉


接下来就是问大家的问题了,大家认为什么是异宠呢?


这个问题不是说问这个异宠都是什么?就是大家在接诊兔子的时候,那你碰到的主要的问题是什么?就你麻醉的时候碰到这个兔子可能出现什么主要的问题?(学员回答:兔子很应激,很难插管。)


动物怎么麻醉手术环境、对象和物种差异对异宠麻醉的影响【长文预警】_https://www.jmylbn.com_新闻资讯_第6张


大家在兔子麻醉中觉得有困难或者有挑战的地方,还有雪貂呢?


动物怎么麻醉手术环境、对象和物种差异对异宠麻醉的影响【长文预警】_https://www.jmylbn.com_新闻资讯_第7张


金丝雀大家有麻醉过吗?


动物怎么麻醉手术环境、对象和物种差异对异宠麻醉的影响【长文预警】_https://www.jmylbn.com_新闻资讯_第8张


你们喜欢蛇吗?他们的呼吸都都好吗?那大家麻醉蛇吗?可以举下手。不光是蛇,还有其他爬行动物。


动物怎么麻醉手术环境、对象和物种差异对异宠麻醉的影响【长文预警】_https://www.jmylbn.com_新闻资讯_第9张


大家有碰到这个作为宠物饲养的吗?


动物怎么麻醉手术环境、对象和物种差异对异宠麻醉的影响【长文预警】_https://www.jmylbn.com_新闻资讯_第10张


蜘蛛、浣熊、刺猬、两栖动物、臭鼬、蜜袋鼯……灵长类、蟑螂。似乎大家感兴趣的是插管。

 

动物怎么麻醉手术环境、对象和物种差异对异宠麻醉的影响【长文预警】_https://www.jmylbn.com_新闻资讯_第11张

什么是麻醉?

动物怎么麻醉手术环境、对象和物种差异对异宠麻醉的影响【长文预警】_https://www.jmylbn.com_新闻资讯_第12张




现在,什么是麻醉?麻醉它不光是让他动物没有知觉了,他还需要有其他几个因素,包括镇痛、镇静,还有肌松。麻醉并不是睡觉,像海豚,它总是有一只眼睁着睡觉,他有一半的脑子还是工作的.

 

在1932年有位叫Langworthy的人第一次尝试用醚滴到呼吸道里去尝试麻醉这个动物。这个患者不呼吸,然后死掉了。后面也尝试了不同的药物,都还是效果不是特别好。直到人们发现给它进行正压通气,才发现麻醉效果会好很多。

 

另外就是急诊的描述,急诊就是他的症状非常严重。任何一个理性人都会觉得这个症状是需要立刻就医的情况。急诊的这个重要的一步,就是我们要有一个准确的诊断。如果我没有办法治疗他的这个原发的原因,你很难解决这个问题。我们可能碰到各种各样的急症,包括消化系统、心血管系统、生殖系统,甚至是多系统的问题。

 

这里我们更多的是关注于跟麻醉有关的急症。不管是什么类型的急症,重要的就是维持它的体内的一个平衡。体内的平衡是这个动物生物体它对这个环境的一个自我调节的一个稳定性。有的时候我们希望这个身体到达这样一个情况,然而这个身体可能变成了另一个状态,但是我们总想让这个指标回到正常。

 

这里面有很多关于这些动物的一些信息,我们需要知道这些信息的来源。


动物怎么麻醉手术环境、对象和物种差异对异宠麻醉的影响【长文预警】_https://www.jmylbn.com_新闻资讯_第13张动物怎么麻醉手术环境、对象和物种差异对异宠麻醉的影响【长文预警】_https://www.jmylbn.com_新闻资讯_第14张


鸟类,包括各种金丝雀,包括鹦鹉等等,这些信息都非常多。小型哺乳动物,包括仓鼠这些等等。接下我们更多的是关注于兽医临床的信息。实际上很多我们觉得学习的时候最无聊的这部分的信息可能是最重要的。

 

解剖学和生理学,这是非常重要的。如果我们不知道这个动物的它正常的一些数据是什么,我很难去看异常。我们也有关于异宠方面的一些书籍。爬行动物,鸟类的,小型哺乳动物的。


我们想加入这种国际的这种机构,就有专门的针对小型哺乳动物、鸟类和爬行两栖爬行动物的。

 

这最下面这个异宠兽医的这个曾经是一个杂志,现在它变成一个网上的一个论坛。这个是一个很好的一个网站,有很多人会在上面提问,有很多专业的医生会回答。如果大家对麻醉这个相关感兴趣,有很多的书籍,包括动物园的动物,野生动物和伴侣动物,那每本书都会有一些参考剂量。如果你想要更多,你可以找到药典。


动物怎么麻醉手术环境、对象和物种差异对异宠麻醉的影响【长文预警】_https://www.jmylbn.com_新闻资讯_第15张


接下来我们有两个病例,一个是这个兔子它在麻醉中出现了一个严重的心动过缓。另外一个是急诊的病例,就诊的这个鸭子,有严重的呼吸窘迫。


动物怎么麻醉手术环境、对象和物种差异对异宠麻醉的影响【长文预警】_https://www.jmylbn.com_新闻资讯_第16张


关于动物的麻醉,我们知道第一个问题就是我们现在处于什么样的环境。第二个是我们要麻醉谁,我们怎么样去麻醉他, 我们用怎么样的途径给药?


接下来就是麻醉的一个标准程序,包括术前用药维持麻醉监护和苏醒。意料之外的事情,就是这麻醉的一些相关并发症。


另外就是麻醉未来发展的一些方向,那大家准备开始上课了吗?


动物怎么麻醉手术环境、对象和物种差异对异宠麻醉的影响【长文预警】_https://www.jmylbn.com_新闻资讯_第17张

麻醉环境

动物怎么麻醉手术环境、对象和物种差异对异宠麻醉的影响【长文预警】_https://www.jmylbn.com_新闻资讯_第18张




我们知道周围环境怎么样,就决定我们可以获得什么。在院内去手术,我们知道我们有很多的耗材可以获得。


在这里(指宠医客实训中心),我们有很好很多的麻醉的设备,也有很多的药物选择。


同样,我们在这有一个非常好的一个团队。


动物怎么麻醉手术环境、对象和物种差异对异宠麻醉的影响【长文预警】_https://www.jmylbn.com_新闻资讯_第19张

这是讲师之前在野外麻醉狮子的一个场景。


在野外可能你会有足够的针头注射器,但是可能关于麻醉监控的设备就是一个听诊器。然后麻醉可能就是这个麻醉枪,这里面能拿到的这个麻醉药就只有这种。但是同样你还是有一个很好的团队。


动物怎么麻醉手术环境、对象和物种差异对异宠麻醉的影响【长文预警】_https://www.jmylbn.com_新闻资讯_第20张


谈到这个麻醉的地点,我们考虑爬行动很重要的就是温度。在爬行动物中的温度决定了一切,包括药物的摄取,它的分配,药物的代谢和排泄。温度环境温度越高,它这个麻醉速度越快,如果温度越低,它苏醒的越慢。


动物怎么麻醉手术环境、对象和物种差异对异宠麻醉的影响【长文预警】_https://www.jmylbn.com_新闻资讯_第21张


这个是研究了阿法沙龙在巴西龟上注射的一个维持的时间和作用时间。不同的温度我们可以看到作用时间和维持起效时间和维持时间都有很大的差别。


刚才有医生问到,我们是否可以用这个降低温度,然后来延长麻醉时间?不是这样的,我们还是这正常的一个温度。爬行动有一个最适温度区间,我们应该把每个动物的不同物种的动物放到它的一个最适温度区间内。在这个条件下,他的所有的脏器,肝肾什么都正常会工作。


另外当然有些会有难度,比如说有来自热带的动物,那在我们非热带环境的医院内可能很难达到一个它最适合的一个温度。


所以我们需要知道我们这个的差异,我们需要知道这个动物最适温度,我们的院内的温度是多少,它出现相应的变化可能会跟这个有关系。


动物怎么麻醉手术环境、对象和物种差异对异宠麻醉的影响【长文预警】_https://www.jmylbn.com_新闻资讯_第22张

麻醉对象

动物怎么麻醉手术环境、对象和物种差异对异宠麻醉的影响【长文预警】_https://www.jmylbn.com_新闻资讯_第23张




我们接下来看麻醉谁。


在犬猫上,我们大部分的麻醉就是为了手术。对于异宠来说,很多时候麻醉的目的是为了他的诊断。对于普通动物来说,我们需要麻醉之前的知道这个动物的情况。但对于这一种来说,我们的麻醉才是去检查它的问题所在。


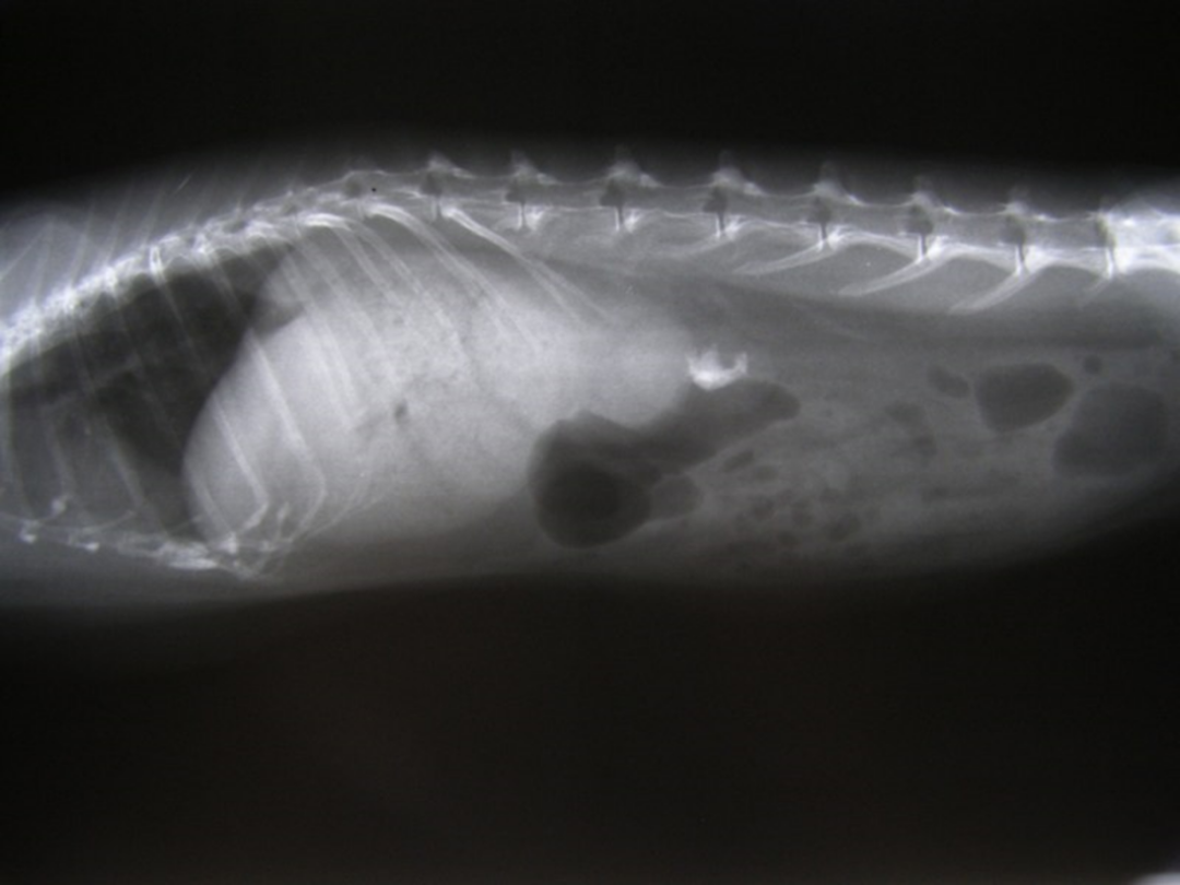
下图是一只仓鼠,身上可能看到有异常的地方,实际上它可能完全是一个正常的结构。


动物怎么麻醉手术环境、对象和物种差异对异宠麻醉的影响【长文预警】_https://www.jmylbn.com_新闻资讯_第24张


也不要把这个过长指甲的巴西龟把它指甲剪了,因为它可能是正常的一个雄性。

动物怎么麻醉手术环境、对象和物种差异对异宠麻醉的影响【长文预警】_https://www.jmylbn.com_新闻资讯_第25张


在鸟类的肌胃里,你发现这些砂砾通常可能也是正常的。有专门的这些砂砾产品。当然最新的观点对于这个鹦鹉可能不建议去喂这个保健砂。

动物怎么麻醉手术环境、对象和物种差异对异宠麻醉的影响【长文预警】_https://www.jmylbn.com_新闻资讯_第26张


还有这个花枝鼠,它的眼睛可能会这种凸起的这种表现,它实际上也是一个正常的行为,它是表现的很开心的一个的情况。


动物怎么麻醉手术环境、对象和物种差异对异宠麻醉的影响【长文预警】_https://www.jmylbn.com_新闻资讯_第27张


首先我们就需要做的就是正确的认识这个物种。只有知道它正确的正常的一些表现,我们才能对这个正确的判断。即使对相近的物种,它可能也存在很大的差别。比如说变色龙,有些是卵生,有些直接就生出这个卵胎生的胎儿。


另外我举个例子,在鸟类上他们也经常碰到羽毛缺失这种情况。很多时候人们给点维生素它可能就好了。


这只狗它也掉毛了,大家会给它维生素吗?


动物怎么麻醉手术环境、对象和物种差异对异宠麻醉的影响【长文预警】_https://www.jmylbn.com_新闻资讯_第28张


你会给它什么?


我们需要先确诊到底是什么问题,因为我没有办法在不确定的时候就给他治疗,我觉得是很多人会想跳过这一步。因为可能遇见没见过的物种,大家会觉得他可能是什么问题,就跳过了这前面的检查诊断。所以那对无毛猫要治疗吗?


动物怎么麻醉手术环境、对象和物种差异对异宠麻醉的影响【长文预警】_https://www.jmylbn.com_新闻资讯_第29张

物种麻醉差异

动物怎么麻醉手术环境、对象和物种差异对异宠麻醉的影响【长文预警】_https://www.jmylbn.com_新闻资讯_第30张



鸟类完全不是哺乳动物。


鸟类有很大的区别。这里提到的主要是跟麻醉相关的一些问题了。这里面就是它会容易出现这种低体温的倾向。不但是鸟类,小的小型哺乳动物和两爬也会。他们的残气量非常小,心率很高,代谢率也很高,容易出现捕捉性肌病。鸟的骨骼非常的薄和脆弱,很多鸟类体内里面是有气囊的。在鸟出现骨折的时候做手术,吸入麻醉的药物有可能会通过这个骨折断端泄露出来。羽毛对鸟类非常重要,它不但是帮助鸟类飞行的,也用来保温。在术前如果我们要给这个鸟去拔毛,可能造成它去没有办法保护自己,保护体温。


这个皮肤鳞片也不一样。有些时候让注射变得比较难,当然能打针,但是会变得困难。

动物怎么麻醉手术环境、对象和物种差异对异宠麻醉的影响【长文预警】_https://www.jmylbn.com_新闻资讯_第31张


另外在鸟类上会有产蛋前出现的一些生理性的多骨性的骨增生。


动物怎么麻醉手术环境、对象和物种差异对异宠麻醉的影响【长文预警】_https://www.jmylbn.com_新闻资讯_第32张


爬行动物他们并不是真正的冷血动物,他们也是恒温动物,但是它是通过行为来调节温度的。


动物怎么麻醉手术环境、对象和物种差异对异宠麻醉的影响【长文预警】_https://www.jmylbn.com_新闻资讯_第33张


在1944年之后,我们知道爬行动物的体温的是跟室温一致的。


爬行动物的体温,这个还处在一个研究的阶段。我们知道爬行动物在高环境温度下,它体温就高,处在低环境温度下体温就低。但是爬行动物在小范围内,它也能够通过行为去调整。有两种它调节体温的模式,一个是靠晒背晒太阳,通过背部调节温度,还有一个是靠地面传导过来的热来调节温度的。


爬行动物大多是三腔室的心,大家知道什么爬行动物是四腔心吗?

动物怎么麻醉手术环境、对象和物种差异对异宠麻醉的影响【长文预警】_https://www.jmylbn.com_新闻资讯_第34张

鳄鱼有四腔心。


这意味着这个肺循环和体循环功能上是隔离的。在这个爬行动物麻醉上可能比较挑战的就是我们不知道它这个体循环、肺循环的控制是如何调节。这是我们出口,他们有两个心房和一个心室。在爬行动物上,一切都取决于温度。气体交换它在肺部进行,但是不同的物种它也会通过其他的部位去做气体交换。这些爬行动物,它的粘液纤毛系统发育很不好。如果说他们有呼吸道的分泌物,那很难把它排出来。所以在我们操作前一定要三思,就是我们在操作的时候一定要避免动物遭到伤害。


我们知道在哺乳动物中,促进呼吸依靠二氧化碳浓度。在鸟类中主要是氧气浓度调节这个动物的呼吸。在爬行动物它可能介于两者中间,高碳酸血症时增加它的呼吸,缺氧会增加它的呼吸频率。可能并不是所有的爬行动物都是这样,但是这一个大的趋势是这样。


鸟类麻醉前我不会预吸氧,苏醒之后也不会让它一直吸氧,因为鸟我们苏醒之后,因为它恢复自主呼吸,所以但是如果会苏醒之后,我们给它高纯度的氧,它可能呼吸会变得不好。


在哺乳动物,我们都在苏醒的时候给它去吸氧,但是在鸟类和爬行动物都不会。


动物怎么麻醉手术环境、对象和物种差异对异宠麻醉的影响【长文预警】_https://www.jmylbn.com_新闻资讯_第35张


我通常不会用到百分之百的氧气。


在因为空气中,我们知道氧气浓度是21%,对这些动物来说,高浓度氧短时间可能没有问题,长时间可能会造成氧中毒。有一些机器会允许我们把氧气和空气混合。


在犬类中,有些品种是短鼻犬,它可能有些呼吸困难的情况。比如说一个斗牛犬,它本身呼吸会有点问题。插管之后,因为它醒的时候有插管在,它反而很开心,呼吸的很好。在不同的动物,包括有一些犬猫上,如果说百分之百的氧浓度,它可能也没有办法适应或者接受。


可以使用氧气,但是需要关注它可能造成的一些影响。还有问题吗?


鸟类的呼吸系统,它是通过肺去换气的那它的气管交换的这个位置,就像一个泵。它的这个气体交换不是在肺泡,而是在毛细血管的空气支气管。它有一个非常高效的一个交叉系统,虽然它的这个气体交换效率很高,我们也还是依然建议给他去做一个辅助通气。


它有很多气囊系统在呼吸,在一次呼吸运动中,气体会两次通过肺。无论鸟在吸气还是呼吸过程中,气体在肺内的流向是一样的。基于这个原理,我们可以通过它的气囊对这个动物进行麻醉。鸟的肺非常高效。


这就为什么最初在矿井中会用到这些鸟探测毒气,如果这鸟死了,那矿工们就开始往外逃。

动物怎么麻醉手术环境、对象和物种差异对异宠麻醉的影响【长文预警】_https://www.jmylbn.com_新闻资讯_第36张


我提到了解剖很重要的,其中一个重要的就是这个系统。所以它的解剖改变了OK。


因为我们最初学的就是因为这些动物有这个肾的门脉系统,我们不要给他身体的后1/3去注射药物。人们做了一些研究,在有些物种中有些造影剂会先进入肝脏,而不是先进入肾。在不管是什么动物,我们在注射之前我们都要谨慎的去考虑。


可能在我们注射到后面去,它可能会有这个肾门系总会影响到。


所以这里面选择是尽量不要用有肾毒性的以及通过肾脏代谢的药物,它可能会造成肾毒性或者就在发挥作用前先被代谢掉了。


动物怎么麻醉手术环境、对象和物种差异对异宠麻醉的影响【长文预警】_https://www.jmylbn.com_新闻资讯_第37张

在鸟类,它也有这个肾门脉系统,但是它有时候工作,有时候不工作,我们不知道它什么时候起效。


关于小型哺乳动物,它不是小型的狗。关于兔子的一个描述就是它很容易紧张,它的肺很小,但肠道非常大。兔子就是总觉得我们会把它吃掉,所以它会上有这个应激反应,即便是它的主人。兔子跟其他物种比,它的这个肺的空间非常小。

动物怎么麻醉手术环境、对象和物种差异对异宠麻醉的影响【长文预警】_https://www.jmylbn.com_新闻资讯_第38张

这是雪貂,我们可以看到它这个膈就是肺和胸腔腹腔大抵1比1的大小。

动物怎么麻醉手术环境、对象和物种差异对异宠麻醉的影响【长文预警】_https://www.jmylbn.com_新闻资讯_第39张


兔子的肺非常小,心脏在这儿。所以在麻醉中我没有办法像其他犬一样期待这个兔子有一个很深的呼吸。它通常是一个比较浅表的呼吸,常见有胃肠道的并发症,非常小的肺 是不是?它的肠道非常大。


关于这些啮齿动物,它们都很小,它小的另一个特征是拥有非常高的代谢。


他对低血氧的耐受很差,甚至缺氧不到30秒可能就有脑损伤。它有一个高的需氧量,它的这个互换交换效率非常高,那就意味着这个麻醉气体进入很快,逃出来的也很快。


他们很多是草食动物,它有一个很高的代谢率。同时它们会因为食草会有一些解毒的能力。它很小,它这个糖原储备会很少。体型很小造成了它体表面积体重比很大,容易让它失温。我们需要非常谨慎。可能会失血。


我们知道它的这个气管直径很细,那在里面去插气管插管可能需要插更细的一个管。我们知道在气道这个气流上,就是它的直径的减小,它是呈指数级的下降,气流下降非常快。


非常小的动物,它的呼吸频率可能非常的高,气体进入到肺里。那这个就是你在给他通气的时候,可能这个鼠就飞了。


雪貂的麻醉,我们可以把它当做一个长体型的猫来麻醉。

动物怎么麻醉手术环境、对象和物种差异对异宠麻醉的影响【长文预警】_https://www.jmylbn.com_新闻资讯_第40张


它的心脏非常靠近尾侧,这个对采血来说比较方便。他的很多病都写在书里了,还有一些额外的。



动物怎么麻醉手术环境、对象和物种差异对异宠麻醉的影响【长文预警】_https://www.jmylbn.com_新闻资讯_第41张


不管你喂的是否正确,这个迷你猪都会长得比较大。


他们的心脏很小,他的这个血管很难找到,插管也比较难,这里面如果要插的话,可能需要一个有特殊的喉镜。可能需要我们有专门的设备去进行插管。另外控制体温也很重要,因为他们不能出汗,可能会出现体温过高的情况。


蜜袋鼯属于有袋类,它的营养需求非常复杂。这些动物,它的是有泄殖腔的。所以我们在测体温的时候,如果是测的泄殖腔体温,那它可能是32摄氏度左右。如果你量到了直肠,也很低,也是比较低的36摄氏度。


刺猬,它是吃虫的动物,那它可能很容易就变成一个刺球。他们也容易肥胖。他们的直肠温度也是相对比较低的。


接下来看灵长动物,灵长动物跟我们一样,我们也是灵长动物,但不能把他们当做小型的人类来对待,但、它营养需求跟人不一样,不要给它喂人的食物。


灵长类的物种差异都非常大。他的麻醉方案接近人的,而不是像犬猫。


因为灵长类跟人的亲缘关系非常近,很多疾病可能是共患的,但是他们的发病可能跟人不一样。比如说疱疹病毒,在猴子上可能只是一些比较轻微的症状,但在人上可能会造成很严重的症状甚至死亡。所以在我们处理接种的这个动物上,我们需要按个体差异的去考虑。


以上内容来自ISVPS GPCert Exotic 异宠专科系列课程-M5 麻醉模块,2024年ISVPS 认证GPCert 异宠专科课程火热招生中,详情扫图中二维码咨询:

动物怎么麻醉手术环境、对象和物种差异对异宠麻醉的影响【长文预警】_https://www.jmylbn.com_新闻资讯_第42张