前列腺机器怎么治疗机器人切除大型前列腺囊肿并显微解剖睾丸精子提取术治疗原发性不育症:病例报告
尿道下裂病史,婴儿期曾分两期手术矫正。此后,他一直患有复发性睾丸炎和尿路感染约10年。他的症状包括排尿困难、排尿不尽、尿频和复发性阴囊瘘。最初,患者对抗菌治疗反应良好;然而,症状频繁复发。复发症状最初被归因于尿道下裂修复术后阴茎尿道狭窄。患者采用颊黏膜移植矫正了狭窄。尽管狭窄得到矫正,但患者仍然持续出现复发性尿路感染和睾丸炎。 2018年进行的下腹部磁共振成像显示,一个大的中线囊性结构占据了整个前列腺,其大小为1.6 cm × 1.5 cm × 4.4 cm,未见弥漫受限的离散灶,提示为前列腺囊肿(图1)。阴囊纤维化,内容物为瘢痕组织和肉芽组织。双侧鞘膜积液很可能是继发于反复感染。患者被建议接受手术干预,但家属选择了最大程度的保守治疗。
图1

MRI T2加权矢状面显示,巨大的前列腺囊肿与直肠和膀胱的关系。
一年后,患者与其26岁的女性伴侣尽管进行了充分的尝试,但仍未能怀孕。患者没有相关的不孕症病史。进一步调查显示,没有不孕不育家族史,没有职业风险,也没有可能导致不孕不育的社会经济背景。体格检查总体正常,没有阴囊压痛。在生育力检查中,精液分析显示无精子症。FSH、LH 和睾酮水平分别为 7.72 mIU/ml、6.25 mIU/ml 和 8.06 ng/ml,在正常范围内。性传播感染诊断筛查为阴性。因此,该患者被治疗为继发于前列腺囊肿继发阻塞性无精子症的原发性不孕症病例。患者选择接受机器人辅助腹腔镜 PUC 切除手术。术前实验室检查包括性传播疾病检查、不孕不育检查和常规实验室检查(例如全血细胞计数、凝血检查、尿液分析、胸部 X 光检查)。
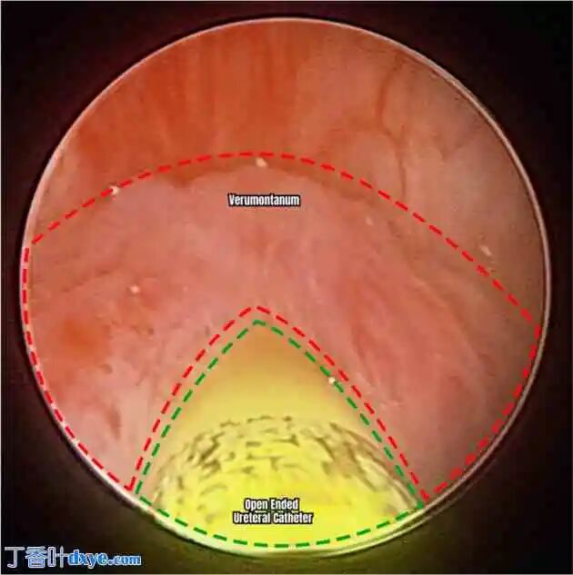
手术当天,患者接受全身麻醉。初始膀胱镜检查发现 PUC 开口于精阜中线。使用 French 5 开口导管将插管插入通向 PUC 腔的精阜。插入儿童膀胱镜直接观察和评估囊肿及其内容物,囊肿内少量充满沉积物。将开口导管置于 PUC 内以便于腹腔内识别(图 2、图 3)。其他关于前列腺囊肿切除术的研究表明,将膀胱镜留在囊肿内,因为膀胱镜末端的光线可作为其位置的视觉引导,以及在切除过程中在腹腔内操纵囊肿的一种方法。将 12 毫米机器人摄像头端口插入脐上区域,同时在每个半腹部放置另外两个端口以形成 W 形配置。采用经腹后入路进行腹膜剥离,暴露精囊和输精管。仔细识别双侧输精管,并将其从侧面插入 PUC 的顶端。作者之前在腹腔镜手术中完成的两例病例也出现过这种情况。此外,由于输精管插入,必须结扎输精管才能切除。沿环状剥离并游离 PUC。沿尾部剥离 PUC 底部最终将其插入尿道。在膀胱镜检查中,将 PUC 的顶部掀开,露出先前插入的开口导管,随后将其切除(图 4)。仔细剥离,确保留下至少 1 厘米的囊肿,以防止损伤和扭曲尿道和膀胱颈。用连续 Vicryl 缝线修复缺损。通过摄像端口送入切除的标本(图 5)。术后留置Foley导尿管。随后关闭腹腔镜端口。手术持续122分钟,估计失血量为20毫升(补充视频)。
图2

膀胱镜视图:使用5Fr开口导管插入精阜,进入前列腺囊肿腔。
图3

使用5Fr开口导管插入前列腺囊肿开口后,膀胱镜视图:前列腺囊肿内部。
图4

腹腔镜视图:无顶前列腺囊肿,显示膀胱镜检查过程中插入的开口输尿管导管。
图 5

切除的前列腺囊肿照片。
咨询/定制请联系:
江经理手机15916763572(微信同号)

点击最左下角“阅读原文”查看原文/视频
所有分享及看法仅限专业人士交流及参考
参考及图片等来源于网络,版权专利归原作者所有
仅限模拟训练使用,不得用于临床