首页
品牌排行榜
产品评测
品牌对比
选购指南
新闻资讯
关于我们
联系我们
首页
品牌排行榜
产品评测
品牌对比
选购指南
新闻资讯
关于我们
联系我们
当前位置:
首页
>
新闻资讯
rbc直方图怎么看遇到异常标本,血常规怎么做?看这篇就够了
新闻资讯
2026-04-21 00:33:06
血常规检查是评估血液状况、辅助诊断疾病的重要手段。操作中常遇异常标本,如溶血、冷凝集、乳糜血、EDTA 致假性血小板减少、有核红细胞增多等。应对这些异常,需准确识别并采取相应措施,如重新采样、调整抗凝剂或采用特殊技术,确保检测结果的准确性,并与临床人员及时沟通,共同制定精准诊疗方案。为了更直观地展示如何处理异常标本,下面将通过一系列具体实例进行说明。
病例 1 溶血
图 1.溶血标本血象结果与标本图
分析:图 1所示该样本的 RBC 与 HGB 值减低,RBC 直方图峰值左移,左边靠近纵坐标,PLT 直方图右侧抬高,报警「碎片?」,研究参数 FRC% 为 8.40。通过血常规有效信息推测,该样本为溶血样本,查看血样,溶血样本根据情况进行让步检验。
影响参数:PLT 假性增高,RBC 假性减低。
采取措施:①PLT 采取 PLT-O 进行报告。②采用镜检估算。
报告备注:「溶血标本,红细胞相关参数检测结果仅供参考」。
病例 2 冷凝集
图 2.冷凝集标本初次检测结果、标本状态与镜检图
分析:图 2 结果 RBC 减低并且与 HGB 比例明显异常,MCH 与 MCHC 异常增高,MCHC 高达 462,报警:「红细胞凝集?」。样本检查,可见红细胞呈沙粒状。
影响参数:RBC、HCT 假性减低,MCV、MCH、MCHC 假性增高。
采取措施:
① 放置 37 ℃ 温育至少 30 min 直至肉眼无可见的凝集后立即上机检测。
② 温育法无法纠正的重度冷凝集标本,可温育后稀释检测,可直接采用仪器预稀释功能检测。
③ 血浆置换,置换过程离心,可能会导致血小板丢失,其余参数参考首次结果。
④RET 通道检测,采用 RBC-O(光学通道 RBC 数目)、HF-MCV(直方图主峰的 MCV)进行报告。
⑤报告应备注「可见红细胞凝集,并说明结果为温育和/或稀释和/或血浆等量置换后的校正值,仅供参考」。
图 3.冷凝标本温育后检测结果
报告图 3 的结果,并备注:「可见红细胞凝集现象,此结果为温育后纠正结果,仅供参考」。
病例 3 乳糜血
图 4.脂血标本初次结果与两次置换后结果
分析:图 4 中初次结果 RBC 与 Hb 不成比,MCH、MCHC异常高,MCHC高达460,RBC未见明显减低,报警:「脂质颗粒?」,怀疑脂血。
影响参数:Hb、MCH、MCHC 及电阻抗法 PLT 等测定结果假性增高。
采取措施:①离心见牛奶状血浆,置换血浆后检测,重复置换纠正。或②公式法:HGB(真值)=HGB(全血)-HGB(血浆)*(1-HCT)。PLT 复核采用PLT-O,或者 PLT/RBC(统计值)*RBC 总数进行估算。
报告备注「乳糜血标本,此结果为纠正后结果,仅供参考。」
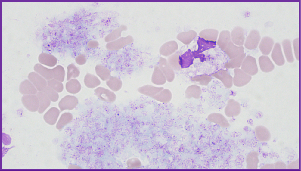
病例 4 EDTA 抗凝引起的 PLT 聚集
患者入院前血常规 PLT 结果 28 × 10
9
/L,镜检备注:「可见血小板聚集成团,疑为灰色血小板,建议进一步检查」。入院后查血常规结果如图 5 所示。
图 5.患者血常规结果及镜检示血小板聚集
分析:PLT 偏低,报警血小板聚集?确认标本没有肉眼可见的凝块后进行血涂片镜检确认(多注意观察血膜边缘),如图 5 发现 PLT 呈大片聚集。推测患者血小板聚集不是抽血的偶然失误引起的血液微凝,而是 EDTA 依赖性假性血小板减少症(
EDTA-PTCP
),联系医生建议患者次日至实验室进行抽血。
影响参数:PLT 假性降低,偶发白细胞假性升高
采取措施:
① 换用枸橼酸钠管采血,三系结果乘以 1.1。
②样本 37℃ 温育,涡旋高速震荡或加阿米卡星/硫酸镁解聚后测。
③用验证过的血小板解聚血液分析仪检测。
④ 即采非抗凝静脉或末梢血,即刻上机测验。
⑤ 非抗凝末梢血以血小板稀释液稀释,镜检计数。
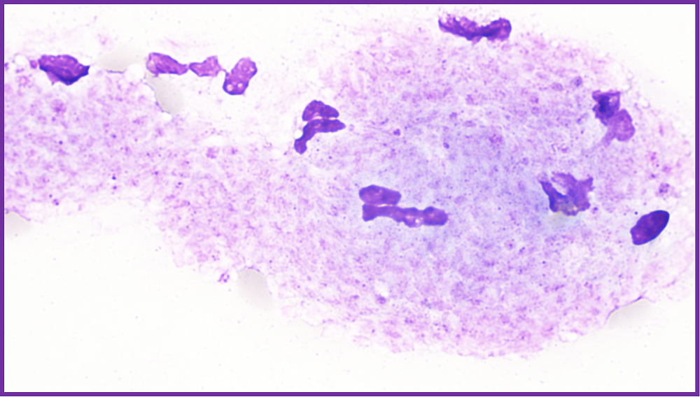
次日患者至实验室采用 EDTA-K
2
抗凝采血,立即上机检测,如图 6 所示。
图 6.EDTA 诱聚标本抽血后即刻检测与推片镜检结果
报告备注:EDTA-K
2
抗凝血中血小板呈聚集状态,PLT为EDTA-K
2
抗凝血纠正结果,仅供参考。
光学法检测的激光流式法因采用了 RNA 核酸荧光染色,提高了 PLT 计数的准确性。虽然光学法检测的 PLT(PLT-O)能够在一定程度上纠正PLT聚集引起的假性 PLT 减少,图 6 的 PLT 聚集可被纠正,图 5 的 PLT 大量成团成片聚集时,不能通过光学法检测完全纠正其数值,说明纠正效果与 PLT 的聚集程度相关。
病例 5 有核红细胞增多
图 7.WNB 通道能够识别 NRBC 且对 WBC 进行纠正
分析:图 7 血象结果提示有大量有核红细胞,仪器的 WNB 通道直接准确识别有核红细胞并且自动对 WBC 计数进行纠正。
采取措施:
①若分析仪无 NRBC 检测通道或试剂无法自动校正其干扰,当血涂片中每 100 个白细胞含 5 个及以上 NRBC 时,需对白细胞计数进行校正,校正公式:实际 WBC=X×100/(100 + Y),式中 X 为校正前 WBC(或外周血有核细胞总数)、Y为分类 100 个 WBC 过程中所见有核红细胞数。
②采用含有 NRBC 通道的血液分析仪进行纠正。
总结
异常标本的识别、处理及报告不仅关系到检验结果的准确性,还直接影响到临床医生的诊断和治疗决策。检验人员应详细描述标本的异常情况及处理措施,并注明哪些指标可能受到干扰而无法准确检测。这有助于临床医生更好地理解检验结果,并结合患者的临床表现和其他检查结果进行综合判断,从而做出正确的诊断和治疗决策。
编辑 | Bree(jiamei sun)
投稿 | sunjiamei@dxy.cn
排版 | 姣姣
题图 | 视觉中国
首发 |
丁香园检验时间
参考文献
[1]中华医学会检验医学分会血液学与体液学学组.血细胞分析报告规范化指南[J].中华检验医学杂志 2020年43卷6期, 619-627.
上一篇
rbc直方图怎么看这样的“白血病”,你见过吗?
下一篇
resmed公司怎么样BMC公司积极应对与ResMed的专利战 维护合法权益
相关推荐
鼻饲胃管什么牌子的好鼻饲饮食患者需要注意什么?
鼻饲胃管什么牌子的好鼻饲管和胃管的区别
鼻饲胃管什么牌子的好鼻饲管与胃管有什么不同
鼻饲胃管什么牌子的好鼻饲竟然有这么多并发症!如何预防及处理?
鼻饲胃管什么牌子的好鼻饲法考核标准及操作流程
鼻饲胃管什么牌子的好鼻饲发生误吸怎么办?预防与护理请做好这6点
鼻饲胃管什么牌子的好鼻胃管鼻饲管操作并发症
鼻饲胃管什么牌子的好鼻胃管鼻饲法操作并发症
鼻饲胃管什么牌子的好长期鼻饲病人胃管更换时间为
鼻饲胃管什么牌子的好脑卒中后胃管鼻饲,最常见的三个护理问题
热门文章
鼻饲胃管什么牌子的好鼻饲饮食患者需要注意什么?
鼻饲胃管什么牌子的好鼻饲管和胃管的区别
鼻饲胃管什么牌子的好鼻饲管与胃管有什么不同
鼻饲胃管什么牌子的好鼻饲竟然有这么多并发症!如何预防及处理?
鼻饲胃管什么牌子的好鼻饲法考核标准及操作流程
鼻饲胃管什么牌子的好鼻饲发生误吸怎么办?预防与护理请做好这6点
鼻饲胃管什么牌子的好鼻胃管鼻饲管操作并发症
鼻饲胃管什么牌子的好鼻胃管鼻饲法操作并发症
鼻饲胃管什么牌子的好长期鼻饲病人胃管更换时间为
鼻饲胃管什么牌子的好脑卒中后胃管鼻饲,最常见的三个护理问题