gore医疗怎么样【戈调·髂到好处】GORE VIABAHN VBX 球囊扩张血管内覆膜支架联合VIABAHN治疗长段髂动脉闭塞性病变的探索

新闻资讯2026-04-20 23:43:00
gore医疗怎么样【戈调·髂到好处】GORE VIABAHN VBX 球囊扩张血管内覆膜支架联合VIABAHN治疗长段髂动脉闭塞性病变的探索_https://www.jmylbn.com_新闻资讯_第1张
gore医疗怎么样【戈调·髂到好处】GORE VIABAHN VBX 球囊扩张血管内覆膜支架联合VIABAHN治疗长段髂动脉闭塞性病变的探索_https://www.jmylbn.com_新闻资讯_第2张
gore医疗怎么样【戈调·髂到好处】GORE VIABAHN VBX 球囊扩张血管内覆膜支架联合VIABAHN治疗长段髂动脉闭塞性病变的探索_https://www.jmylbn.com_新闻资讯_第3张

GORE® VIABAHN® VBX 球囊扩张血管内覆膜支架联合VIABAHN® 血管内覆膜支架治疗长段髂动脉闭塞性病变的探索


1

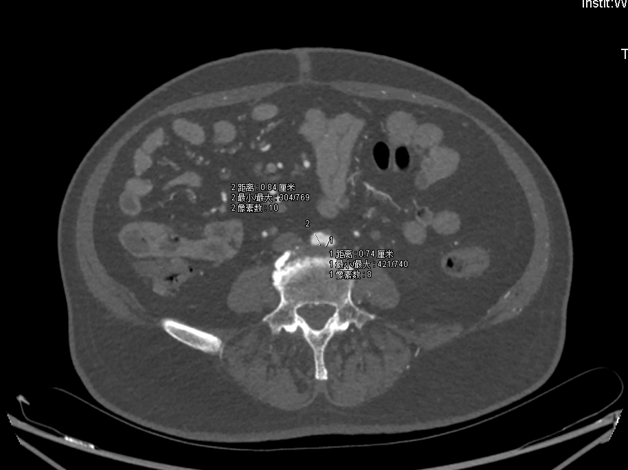
病例基本情况

68岁男性,双下肢间跛4+年多,长期吸烟史,高血压,糖尿病。

查体:左侧足背A(-),左侧股A(-) , 右侧足背A(+),右侧股A(+);

ABI:右=0.93,左=0.47;

免疫全套(-),血沉、CRP正常(排除炎性病变);

腹主动脉重度狭窄, 多发钙化伴附壁血栓;

RCA=8.4mm,LCA=7.4mm。


2

术前详解

(1)髂总动脉开口处病变,需要支架能够精准定位,既不能覆盖腹主动脉分叉型处遮挡对侧血流,又不能向髂总动脉内移牺牲有效锚定区。

(2)病变全长约115mm,预计覆盖血管全长约135mm。LCA=7.4mm,LEIA=5.7mm,要实现6mm到8mm的直径渐变。

(3)LIIA起始部重度狭窄,RIIA完好,双侧股深动脉,股浅动脉均正常。

gore医疗怎么样【戈调·髂到好处】GORE VIABAHN VBX 球囊扩张血管内覆膜支架联合VIABAHN治疗长段髂动脉闭塞性病变的探索_https://www.jmylbn.com_新闻资讯_第4张
gore医疗怎么样【戈调·髂到好处】GORE VIABAHN VBX 球囊扩张血管内覆膜支架联合VIABAHN治疗长段髂动脉闭塞性病变的探索_https://www.jmylbn.com_新闻资讯_第5张

影像1:术前测量及三维影像


3

手术方案选择

右侧股动脉翻山入路,做2次预扩张,翻山释放支架。远端用VIABAHN 6X100mm的型号。近端用VBX支架 8Lx59mm。


4

手术过程

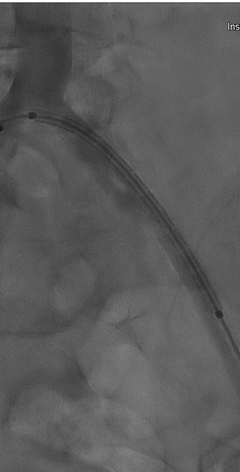
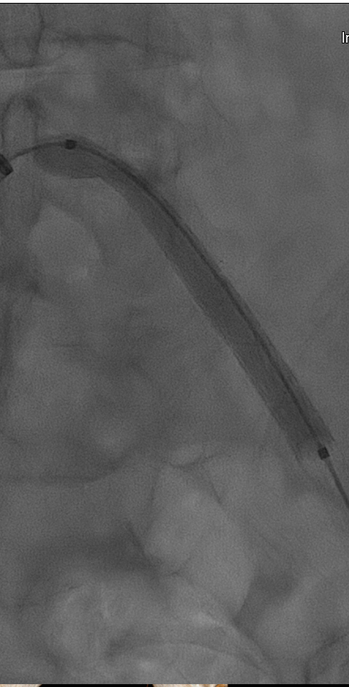
术前造影显示左髂总动脉起始部闭塞,支撑导管辅助翻山成功后,用4X150mm,6X150mm球囊分别做预扩。

gore医疗怎么样【戈调·髂到好处】GORE VIABAHN VBX 球囊扩张血管内覆膜支架联合VIABAHN治疗长段髂动脉闭塞性病变的探索_https://www.jmylbn.com_新闻资讯_第6张

  (术前造影及4x150mm球囊预扩)

gore医疗怎么样【戈调·髂到好处】GORE VIABAHN VBX 球囊扩张血管内覆膜支架联合VIABAHN治疗长段髂动脉闭塞性病变的探索_https://www.jmylbn.com_新闻资讯_第7张

  (6x150mm球囊预扩)


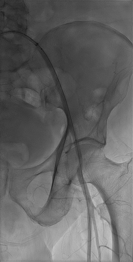
预扩后造影显示管腔打开。导入8F长鞘,通过长鞘输送并植入6X100mm 的VIABAHN 支架。继续通过8F长鞘导入VBX 支架,VBX支架近端定位在髂总动脉开口处,远端重叠在VIABAHN 支架内25mm左右。通过长鞘造影判断VBX支架位置后开始释放支架。根据产品外包装提示,当压力泵压力在6atm时,VBX 支架直径为7.1mm,此时支架会完全展开。故第一次加压6atm,支架顺利展开后排空并回撤球囊。调整球囊位置避开支架重叠区,在髂总动脉开口处再次给球囊加压到11atm,观察到支架直径随球囊的增大发生了扩张。根据产品信息提示此时已到达目标直径8mm。撤出球囊后在腹主动脉做整体造影,髂动脉开通良好。但发现VBX 支架近端与左侧腹主动脉分叉处贴壁不完全,判断是由于球囊后扩张是翻山的形式,使支架跟随了球囊的形态导致,故左侧股动脉入路上8mm直径的球囊在VBX开口处进行贴壁性后扩。支架形态被成功纠正,贴壁良好。

gore医疗怎么样【戈调·髂到好处】GORE VIABAHN VBX 球囊扩张血管内覆膜支架联合VIABAHN治疗长段髂动脉闭塞性病变的探索_https://www.jmylbn.com_新闻资讯_第8张

释放6x100mm VIABAHN 支架

gore医疗怎么样【戈调·髂到好处】GORE VIABAHN VBX 球囊扩张血管内覆膜支架联合VIABAHN治疗长段髂动脉闭塞性病变的探索_https://www.jmylbn.com_新闻资讯_第9张

导入VBX 支架

gore医疗怎么样【戈调·髂到好处】GORE VIABAHN VBX 球囊扩张血管内覆膜支架联合VIABAHN治疗长段髂动脉闭塞性病变的探索_https://www.jmylbn.com_新闻资讯_第10张

6atm压力释放

gore医疗怎么样【戈调·髂到好处】GORE VIABAHN VBX 球囊扩张血管内覆膜支架联合VIABAHN治疗长段髂动脉闭塞性病变的探索_https://www.jmylbn.com_新闻资讯_第11张

释放VBX支架,11atm的压力


gore医疗怎么样【戈调·髂到好处】GORE VIABAHN VBX 球囊扩张血管内覆膜支架联合VIABAHN治疗长段髂动脉闭塞性病变的探索_https://www.jmylbn.com_新闻资讯_第12张

8mm*6cm P3球囊


5

术后造影结果

术后造影显示,支架呈现8mm-7mm-6mm的梯度锥形,管腔打开完全,定位精准,贴壁良好。

gore医疗怎么样【戈调·髂到好处】GORE VIABAHN VBX 球囊扩张血管内覆膜支架联合VIABAHN治疗长段髂动脉闭塞性病变的探索_https://www.jmylbn.com_新闻资讯_第13张

术后造影

gore医疗怎么样【戈调·髂到好处】GORE VIABAHN VBX 球囊扩张血管内覆膜支架联合VIABAHN治疗长段髂动脉闭塞性病变的探索_https://www.jmylbn.com_新闻资讯_第14张


6

病例经验总结

重点注意事项:

  1. 先释放 VIABAHN支架,再释放VBX支架,让VBX 重叠在VIABAHN内,避免球囊扩张时 VBX支架过度扩张对狭窄的血管壁带来损伤的风险;

  2. 第二根支架尽量不要全程穿过第一根支架去释放,尤其是当选择两根VBX支架时。以避免对第一根支架带来变形的风险。

  3. 8mm直径的VBX支架,其自带球囊可实现6.7-8.3mm之间的直径范围。使用VBX支架不用更换二級球囊即可实现锥形。

    由于球扩覆膜支架会顺着球囊的方向来塑型,所以翻山进行球囊的二次扩张,支架在腹主动脉分叉处会无法完全贴壁。此时需要从同侧再上一个相同直径的非顺应性球囊进行贴壁性扩张,帮助支架贴壁。


经验教训及感悟

  • 主髂疾病的治疗建议常备覆膜支架准备;覆膜支架可通过从管腔中隔绝斑块及内膜,一定程度上限制了新生内膜增生对动脉管腔的侵袭,减少再狭窄的风险;尤其可减少主髂动脉破裂风险。

  • VIABAHN支架的高柔顺性及高径向支撑力可以适用于扭曲的髂动脉,跨关节区域

  • 对于主髂开口病变的处理,球扩覆膜支架具有支撑力度大,定位精准等优势。

  • VBX支架在髂总动脉开口处定位非常准确,可控性强,可实现0误差,有效避免支架移位。

  • 球扩覆膜支架释放前必须要有良好的管腔准备且需长鞘完全通过病变区域。

  • VBX支架拥有可调节直径的性能,能够实现长段髂动脉病变渐进型锥度改变,为整体主髂病变提供更卓越的临床疗效。

手术专家


黄斌 教授

四川大学华西医院血管外科

gore医疗怎么样【戈调·髂到好处】GORE VIABAHN VBX 球囊扩张血管内覆膜支架联合VIABAHN治疗长段髂动脉闭塞性病变的探索_https://www.jmylbn.com_新闻资讯_第15张

副主任医师,硕士研究生导师,四级专家,医学博士,2015年赴美国北卡罗来纳州州立医院(夏洛特)访问学习。四川大学华西医院血管外科,主要从事血管外科及肝移植血管重建专业工作。参编专业论著8部,参译2部,文章30多篇。通过近17年的血管外科学习与研究,熟悉血管外科常见病的诊断及治疗,主要从事主动脉疾病的诊治,擅长胸/腹主动脉瘤的外科及腔内治疗,对于累及血管的腹膜后肿瘤及颈动脉体瘤、颈动脉狭窄、糖尿病足及周围血管疾病等的手术治疗有丰富经验,目前可以完成血管外科常规手术,包括破裂腹主动脉瘤等大型手术;完成肝脏移植肝动脉吻合及腔静脉、门静脉重建等1000多例;台上协助处理血管损伤超过500例等。对腹主动脉瘤传统开腹手术及腔内修复术远期疗效及肝移植血管重建具有较深研究。目前作为主要负责人,负责多个国家及省部级课题。第十三批四川省学术和技术带头人后备人选,四川省专家服务团专家,四川省华西天使医疗救助基金会第二届理事会成员。

学术任职:中国医师协会血管外科医师分会第一届委员会胸主动脉学组委员;中国医疗保健国际交流促进会血管外科专业委员会委员;中国医疗保健国际交流促进会肝脏移植分会委员;国际静脉学联盟中国静脉学会委员;国际血管联盟(IUA)中国分部专家委员会血管修复与重建专家委员会副主任委员;国际血管联盟(IUA)中国分部专家委员会弓上动脉疾病专家委员会委员;四川省医师协会第一届血管外科医师分会委员;四川省中西医结合学会第三届烧伤与创面修复专业委员会副主任委员;四川省医学会内分泌暨糖尿病专业委员会第五届周围血管病变与足病学组副组长;四川省糖尿病足病委员会委员;四川省医学会介入医学专业委员会第三届委员会委员;四川省康复医学会加速康复外科分会委员。




陈熹阳 教授

四川大学华西医院血管外科

gore医疗怎么样【戈调·髂到好处】GORE VIABAHN VBX 球囊扩张血管内覆膜支架联合VIABAHN治疗长段髂动脉闭塞性病变的探索_https://www.jmylbn.com_新闻资讯_第16张

四川大学华西医院血管外科副主任医师,硕士研究生导师。主要研究方向为腹主动脉瘤相关基础及临床研究。任职以来以第一作者发表SCI学术论文共计16篇,发表Medline等论文3篇。负责四川省科技厅重点项目一项,作为课题主要参与人承担国家自然科学青年基金一项。获得四川省科学技术进步奖二等奖一项,华夏医学科技奖三等奖一项。参编教材/著作2部,共10.5万字。2011年于美国麻省总医院呼吸内科及影像科进行了为期3个月的学术交流访问;2017年于美国华盛顿大学附属Harborview Medical Center血管外科中心进行了为期6个月的学术交流访问。作为核心成员参与国际临床研究“近肾动脉腹主动脉瘤的PMEG的临床治疗。

学术任职:国际脉管联盟(IUA)血管重建与修复委员会委员兼秘书;中国医师协会腔内血管专业委员会血管创伤分委会委员。

学术奖励:提高复杂颈动脉体瘤外科治疗有效性和安全性的基础及临床研究, 四川省人民政府, 四川省科技进步奖, 二等奖, 2015;提高复杂颈动脉体瘤外科治疗有效性和安全性的基础及临床研究, 中国医疗保健国际交流促进会, 华夏医学科技奖, 三等奖, 2016。



杜晓炯 教授

四川大学华西医院血管外科

gore医疗怎么样【戈调·髂到好处】GORE VIABAHN VBX 球囊扩张血管内覆膜支架联合VIABAHN治疗长段髂动脉闭塞性病变的探索_https://www.jmylbn.com_新闻资讯_第17张

四川大学华西医院血管外科,副教授,医学博士,博士后。中国医师协会血管外科分会血管与肿瘤学组委员,中国医促会软组织肿瘤分会青年委员,国际血管联盟中国分部血透通路委员会委员,四川省医学会血管外科学组委员兼秘书,四川省医师协会血管外科专业委员会委员,四川省肿瘤协会皮肤与软组织肿瘤专委会委员。从事血管外科常见疾病的临床及科研工作,具有良好的血管外科手术技术和血管腔内治疗技术。国家自然科学基金负责1项,主研3项,省部级课题负责2项,国内外公开发表论文10余篇。


gore医疗怎么样【戈调·髂到好处】GORE VIABAHN VBX 球囊扩张血管内覆膜支架联合VIABAHN治疗长段髂动脉闭塞性病变的探索_https://www.jmylbn.com_新闻资讯_第18张
gore医疗怎么样【戈调·髂到好处】GORE VIABAHN VBX 球囊扩张血管内覆膜支架联合VIABAHN治疗长段髂动脉闭塞性病变的探索_https://www.jmylbn.com_新闻资讯_第18张
gore医疗怎么样【戈调·髂到好处】GORE VIABAHN VBX 球囊扩张血管内覆膜支架联合VIABAHN治疗长段髂动脉闭塞性病变的探索_https://www.jmylbn.com_新闻资讯_第18张

版权声明:本平台旨在帮助医疗卫生专业人士更好地了解相关疾病领域最新进展。本平台对发布的资讯内容,并不代表同意其描述和观点,仅为提供更多信息。若涉及版权问题,烦请权利人与我们联系,我们将尽快处理。仅供医疗卫生专业人士为了解资讯使用,该等信息不能以任何方式取代专业的医疗指导,也不应被视为诊疗建议。如该等信息被用于了解资讯以外的目的,本平台及作者不承担相关责任。合作联系邮箱:vascular@edoctor.cn。

gore医疗怎么样【戈调·髂到好处】GORE VIABAHN VBX 球囊扩张血管内覆膜支架联合VIABAHN治疗长段髂动脉闭塞性病变的探索_https://www.jmylbn.com_新闻资讯_第21张