X光拍片为什么要等都是拍片,DR、CT、MRI,到底啥区别?

新闻资讯2026-04-17 12:33:45


 随着科学技术的发展与现代医学检查技术的不断提高,患者去医院治疗疾病时,医生会开各种各样的检查。例如DR、CT、MRI,很多患者对于这样多种多样的检查项目表示不理解,这些检查是什么?为什么要选这个?有什么区别吗?


X光拍片为什么要等都是拍片,DR、CT、MRI,到底啥区别?_https://www.jmylbn.com_新闻资讯_第1张
X光拍片为什么要等都是拍片,DR、CT、MRI,到底啥区别?_https://www.jmylbn.com_新闻资讯_第2张


什么是DR


X光拍片为什么要等都是拍片,DR、CT、MRI,到底啥区别?_https://www.jmylbn.com_新闻资讯_第3张

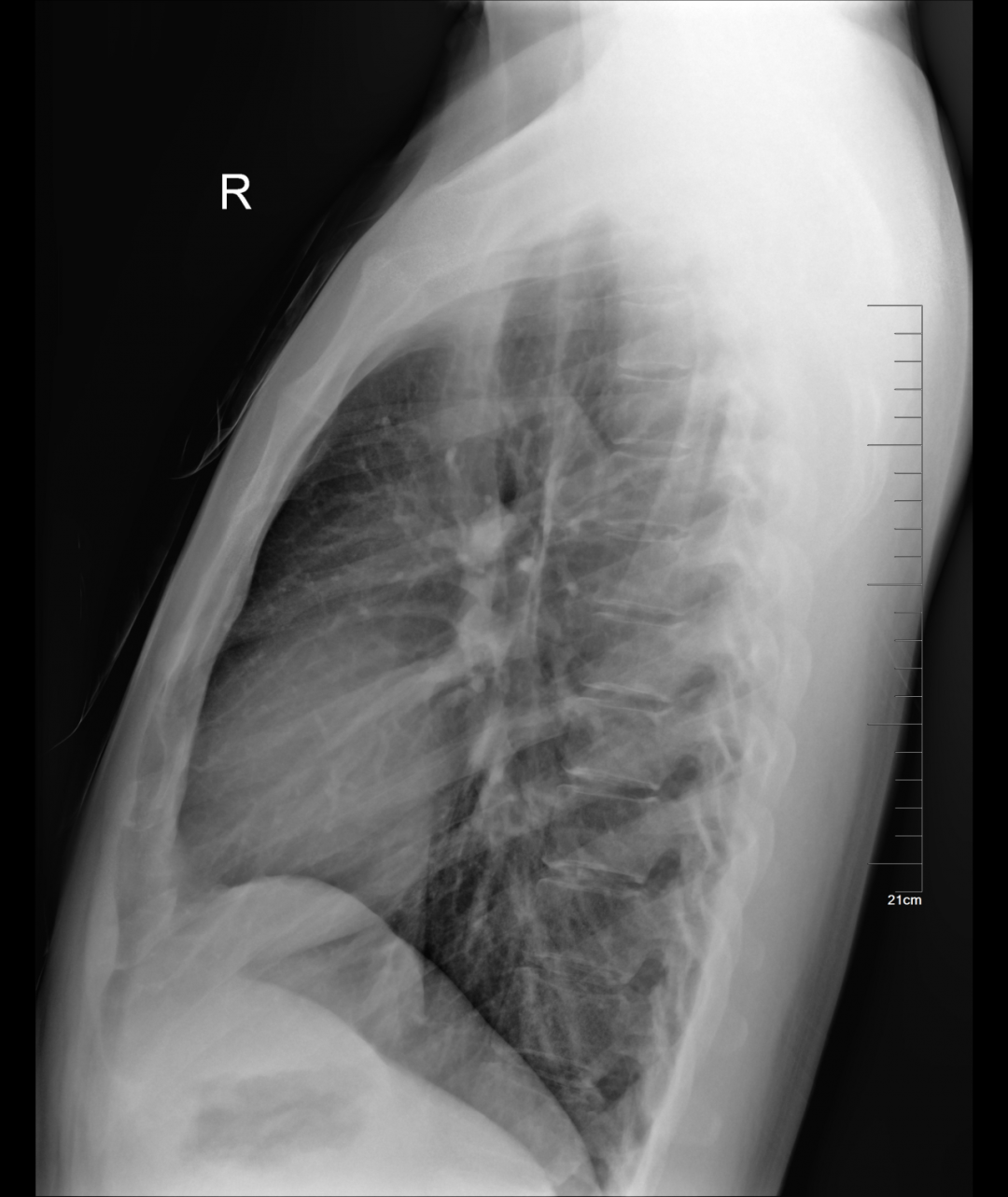
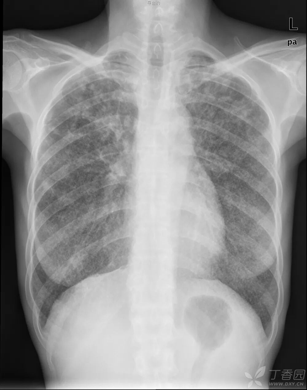
 一、DR检查是在普通X光拍片的基础上,发展成为数字化X线拍片,通俗一点来理解,就是传统X光的进阶版,但本质还是差不多的,主要还是利用X射线的穿透性原理。虽然检查部位和普通X光拍片都一样,但DR的图像分辨率明显比X光高,放射线辐射剂量也降低了非常多。人体组织结构由不同元素组成,单位体积内的各种元素的总量就是密度,例如骨骼、钙化灶等听起来较为厚重的组织,所吸收的X光较多,穿透人体中余下的X线量较少,因此形成白色影像,也就是传说中的“高密度影”,像是呼吸道、胃肠道等听起来质地疏松的部位,所吸收的X光较少,在影像学上呈现的是黑色影像,即“低密度影”。DR成像环节少,速度也快,图像清晰细腻,医生可根据根据自身需要,获得更多的诊断信息。DR图像动态范围广,有很宽的曝光宽容度,因而容许拍摄中的技术误差,即使在一些曝光条件难以掌握的部位,也能获得很好的图像。总体来说,DR是最传统也是最低价的影像检查,是很多疾病的首选检查。

X光拍片为什么要等都是拍片,DR、CT、MRI,到底啥区别?_https://www.jmylbn.com_新闻资讯_第4张
X光拍片为什么要等都是拍片,DR、CT、MRI,到底啥区别?_https://www.jmylbn.com_新闻资讯_第5张

 DR最常用于人体胸部及骨骼摄片,也可拍摄其他部位,例如腹部、牙齿、头颅等。使用人群较广,可以进行全身各部位检查,曝光后10秒就可获得数字影像,成像速度快,且价格便宜,极大提高了工作效率,方便临床重症、急症患者的诊治。但DR受制于深浅组织影响的互相重叠和隐藏,有时需要多次或多角度的拍摄才能看清。

X光拍片为什么要等都是拍片,DR、CT、MRI,到底啥区别?_https://www.jmylbn.com_新闻资讯_第6张


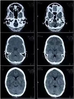
什么是CT


X光拍片为什么要等都是拍片,DR、CT、MRI,到底啥区别?_https://www.jmylbn.com_新闻资讯_第7张

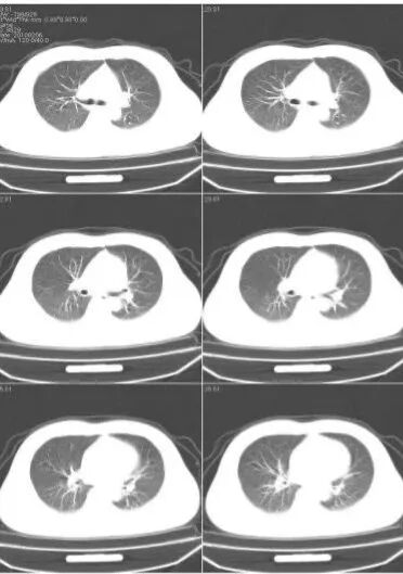
 二、CT在临床上也称为电子计算机断层扫描,CT实质上与DR很相似,都是X线检查的分支之一,密度上的概念依然适用。CT对人体部位进行断层扫描,就好像把体检者横向 “切分”成了统一厚度、统一间距的“片”,经过放射线穿透,留下一幅幅相似又不同的影像。这些断层影像通过计算机进行三维重建,医生读片时就能立体把握体检人的情况了。与DR相比,CT扫描出来的是断层图像,器官之间无重叠且显示清晰,密度分辨率更高。所以,CT可以更好地显示由软组织构成的器官,例如脑、脊髓、肺、胆、纵膈以及盆部器官等,并可以在良好的解剖图像背景上显示出病变的影像。

X光拍片为什么要等都是拍片,DR、CT、MRI,到底啥区别?_https://www.jmylbn.com_新闻资讯_第8张
X光拍片为什么要等都是拍片,DR、CT、MRI,到底啥区别?_https://www.jmylbn.com_新闻资讯_第9张

 CT检查适用于头部、胸部、腹部、盆腔、脊柱、四肢、骨骼等处,CT诊断由于它的特殊诊断价值,已经广泛应用于临床,特别是在肿瘤的诊断上更是具有很高的应用价值。但由于CT设备较为昂贵,检查费用也会偏高,对于某些部位的检查和诊断价值,尤其是定性诊断,还有一定限度,所以在临床上并没有将CT检查视为常规诊断手段。应在了解其优势的基础上,合理选择应用,此外,CT诊断辐射量大于DR,所以怀孕或备孕期女性不宜进行CT检查。

X光拍片为什么要等都是拍片,DR、CT、MRI,到底啥区别?_https://www.jmylbn.com_新闻资讯_第6张


什么是MRI


X光拍片为什么要等都是拍片,DR、CT、MRI,到底啥区别?_https://www.jmylbn.com_新闻资讯_第11张

 三、MRI也就是磁共振成像,属于断层成像的一种,它是利用磁共振现象从人体中获得电磁信号,并重建出人体信息。通过检查可获得横断面、矢状面、冠状面的影像,空间分辨率高,是神经系统、脊柱脊椎部分检测的第一选择,核磁共振仪器启动后可以对人体施加特定频率的射频脉冲,使人体中的氢质子受到激励,从而发生磁共振现象,产生某种能够生成图像的信号。无论是DR还是CT,由于对部分软组织的分辨率不足,所以软组织疾病的排查便成了它们的短板,而磁共振的长处恰恰就是清晰显示软组织疾病,对于膀胱、直肠、子宫及关节肌肉的检查优于CT。

X光拍片为什么要等都是拍片,DR、CT、MRI,到底啥区别?_https://www.jmylbn.com_新闻资讯_第12张
X光拍片为什么要等都是拍片,DR、CT、MRI,到底啥区别?_https://www.jmylbn.com_新闻资讯_第13张

 MRI检查适用于神经系统病变、心血管系统、胸部病变、全身软组织病变等。MRI的优点就是对人体不会产生电离辐射的伤害,可获得原生三维断面成像而无需重建就可以获得多方位的图像。但MRI的缺点和CT一样,很多病变单凭MRI仍然难以确诊,不像内窥镜可以同时获得影像和病理两方面的诊断,带有心脏起搏器、动脉瘤夹、人工金属心脏瓣膜、幽闭恐惧症患者、重症患者以及正在备孕期或已怀孕的女性都不能进行MRI检查。


(供稿人:放射线科 崔焌毅)

X光拍片为什么要等都是拍片,DR、CT、MRI,到底啥区别?_https://www.jmylbn.com_新闻资讯_第14张


X光拍片为什么要等都是拍片,DR、CT、MRI,到底啥区别?_https://www.jmylbn.com_新闻资讯_第15张