X光拍片为什么要等【影像科普】拍片为什么会要求脱衣服?

新闻资讯2026-04-17 12:32:59

X光拍片为什么要等【影像科普】拍片为什么会要求脱衣服?_https://www.jmylbn.com_新闻资讯_第1张


X光拍片为什么要等【影像科普】拍片为什么会要求脱衣服?_https://www.jmylbn.com_新闻资讯_第2张

X线具有穿透力,但并非能穿透所有物质,对于X线不能穿透的物质,其影像会遮挡在器官或病变前面,产生伪影,影响检查。常见的一些金属饰品、金属拉链、纽扣等,甚至松紧带都会产生伪影。

DAY
01
做x线检查时我们对服饰的注意事项

01
做头部检查

我们要去除头部的金属饰品,比如:发夹、耳环等。


02
做胸部检查

不穿有带金属拉链、纽扣、挂钩的衣物。


03
做腹部检查

不穿有腰带、松紧带及带挂钩的裤子。


04
做四肢检查

应去除手表、戒指、手链等。固定石膏的患者尽量去除石膏。


我们为了保证检查结果准确,提高照片质量,再根据不同的检查部位,不同的检查方法,对图像有不同的要求。有时内衣、牛仔裤等衣物上的金属扣在不影响诊断的基础上,是可以存在的。但在拍胸片时穿有带金属拉链、纽扣、挂钩的衣服时会产生伪影,从而对诊断造成一定影响,所以你会被放射科医生要求脱掉有产生干扰的衣服。这时你听医生的就对了。

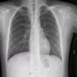
01
这是一张标准胸片

X光拍片为什么要等【影像科普】拍片为什么会要求脱衣服?_https://www.jmylbn.com_新闻资讯_第3张

一张合格的胸片是不允许有任何体外异物的,因为任何异物的存在都会影响诊断。

我们来看看一些反面例子。


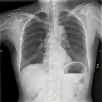
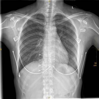
02
这是带有伪影干扰的胸片

①这个文胸结构比较复杂……

X光拍片为什么要等【影像科普】拍片为什么会要求脱衣服?_https://www.jmylbn.com_新闻资讯_第4张


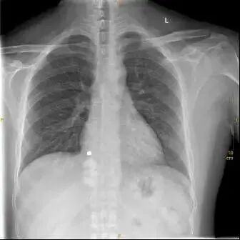
②这个好像简单一点。

X光拍片为什么要等【影像科普】拍片为什么会要求脱衣服?_https://www.jmylbn.com_新闻资讯_第5张


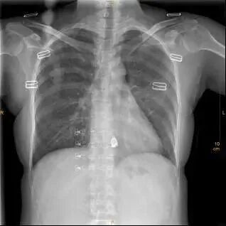
③这个文胸虽然没有钢圈,但也有很多扣子。

X光拍片为什么要等【影像科普】拍片为什么会要求脱衣服?_https://www.jmylbn.com_新闻资讯_第6张


④这已经不只是文胸的问题,外套都没脱。

X光拍片为什么要等【影像科普】拍片为什么会要求脱衣服?_https://www.jmylbn.com_新闻资讯_第7张


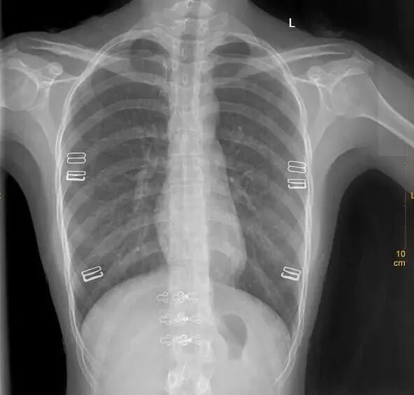
⑤这个文胸比较简单,而且外衣上还有个饰物。

X光拍片为什么要等【影像科普】拍片为什么会要求脱衣服?_https://www.jmylbn.com_新闻资讯_第8张


⑥文胸的问题暂时忽略,右上肺野有一条大辫子。

X光拍片为什么要等【影像科普】拍片为什么会要求脱衣服?_https://www.jmylbn.com_新闻资讯_第9张


⑦衣服上有很多珠珠,两上肺尖很多点点,一不小心会以为是结核的钙化。

X光拍片为什么要等【影像科普】拍片为什么会要求脱衣服?_https://www.jmylbn.com_新闻资讯_第10张


⑧两上肺尖重叠的条索,其实是衣领的重叠,不注意会以为是纤维灶。

X光拍片为什么要等【影像科普】拍片为什么会要求脱衣服?_https://www.jmylbn.com_新闻资讯_第11张


⑨挂了个大玉坠,不小心会以为是纵隔病变。

X光拍片为什么要等【影像科普】拍片为什么会要求脱衣服?_https://www.jmylbn.com_新闻资讯_第12张

放射科简介 
X光拍片为什么要等【影像科普】拍片为什么会要求脱衣服?_https://www.jmylbn.com_新闻资讯_第13张

放射影像科是医院集放射影像诊疗、教学、科研为一体的优势科室。承担着全院的放射影像检查及诊疗工作。拥有先进设备:引进美国GE公司 64排螺旋CT机-GE Optima680、数字化X线摄影系统—万东DR机、锐珂DR机、GE公司Hispeed Dual双排螺旋CT机、全景牙片机等;可开展儿科及成人胸部、骨关节等各系统疾病X线及CT诊断,开展骨关节三维重建、三维成像等项目;可满足针灸科、骨伤科、内科、外科、妇科、儿科、五官科及口腔科等各种疾病的检查需求。

科室注重人才的培养和人才梯队的建设,拥有一批高素质的影像诊疗队伍。形成了科学管理模式的“数字化放射影像科”。

我们的服务理念:“透视健康 片片真情”。

      址:门诊大楼一楼放射影像科

咨询电话:0833-4237432


X光拍片为什么要等【影像科普】拍片为什么会要求脱衣服?_https://www.jmylbn.com_新闻资讯_第14张


X光拍片为什么要等【影像科普】拍片为什么会要求脱衣服?_https://www.jmylbn.com_新闻资讯_第15张

X光拍片为什么要等【影像科普】拍片为什么会要求脱衣服?_https://www.jmylbn.com_新闻资讯_第16张

来 源 | 放射影像科   刘云峰

策 划 | 张吉维

监 制 | 张孝祥

审 稿 | 邹   波

编 辑 | 王若芊

发 布 | 刘世帆

联系邮箱:263695656@qq.com

X光拍片为什么要等【影像科普】拍片为什么会要求脱衣服?_https://www.jmylbn.com_新闻资讯_第17张
X光拍片为什么要等【影像科普】拍片为什么会要求脱衣服?_https://www.jmylbn.com_新闻资讯_第18张


喜欢,就点个“在看”

X光拍片为什么要等【影像科普】拍片为什么会要求脱衣服?_https://www.jmylbn.com_新闻资讯_第19张