X光拍片为什么要等【围观】刚拍完X线,又让你拍CT,医生为什么要这样做

新闻资讯2026-04-17 12:32:58

X光拍片为什么要等【围观】刚拍完X线,又让你拍CT,医生为什么要这样做_https://www.jmylbn.com_新闻资讯_第1张X光拍片为什么要等【围观】刚拍完X线,又让你拍CT,医生为什么要这样做_https://www.jmylbn.com_新闻资讯_第2张X光拍片为什么要等【围观】刚拍完X线,又让你拍CT,医生为什么要这样做_https://www.jmylbn.com_新闻资讯_第3张



X光拍片为什么要等【围观】刚拍完X线,又让你拍CT,医生为什么要这样做_https://www.jmylbn.com_新闻资讯_第4张
X光拍片为什么要等【围观】刚拍完X线,又让你拍CT,医生为什么要这样做_https://www.jmylbn.com_新闻资讯_第5张


为什么刚拍完X线

又让我拍CT?

X光拍片为什么要等【围观】刚拍完X线,又让你拍CT,医生为什么要这样做_https://www.jmylbn.com_新闻资讯_第6张


当我们到医院检查,可能会遇到这样的情况

X光拍片为什么要等【围观】刚拍完X线,又让你拍CT,医生为什么要这样做_https://www.jmylbn.com_新闻资讯_第7张

医生,我咳嗽几天了

先拍个X光片看情况,后续再看要不要拍个CT

X光拍片为什么要等【围观】刚拍完X线,又让你拍CT,医生为什么要这样做_https://www.jmylbn.com_新闻资讯_第8张


每当遇到这种情况患者总是会疑问,不都是“拍片”,有什么区别呢?为什么拍了X光片还要再拍CT呢?为什么不一步到位?













X光拍片为什么要等【围观】刚拍完X线,又让你拍CT,医生为什么要这样做_https://www.jmylbn.com_新闻资讯_第9张

为什么拍了片还要做CT?




X线摄影,俗称拍片子。它的原理是“拍扁了”看,这样就有可能造成组织或器官的重叠,导致病变部位隐藏或显示不清。

CT扫描是一层一层的看,还可以重建冠状位、矢状位更仔细的观察。避免组织间的重叠,大大提高确诊率,降低漏诊的可能性。

X光拍片为什么要等【围观】刚拍完X线,又让你拍CT,医生为什么要这样做_https://www.jmylbn.com_新闻资讯_第10张
X光拍片为什么要等【围观】刚拍完X线,又让你拍CT,医生为什么要这样做_https://www.jmylbn.com_新闻资讯_第11张



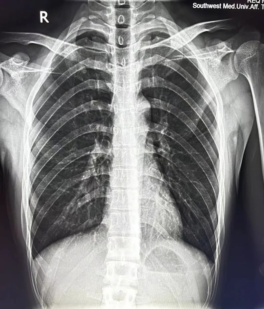
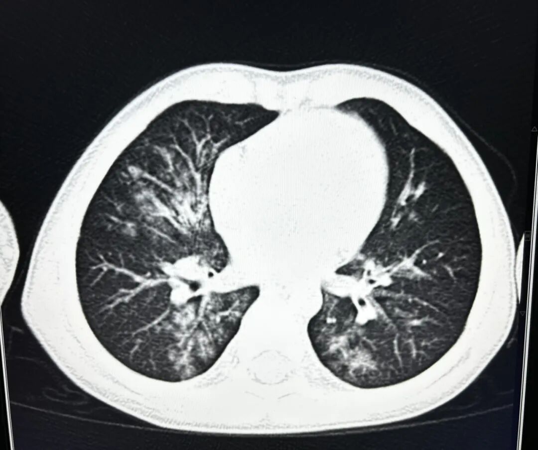
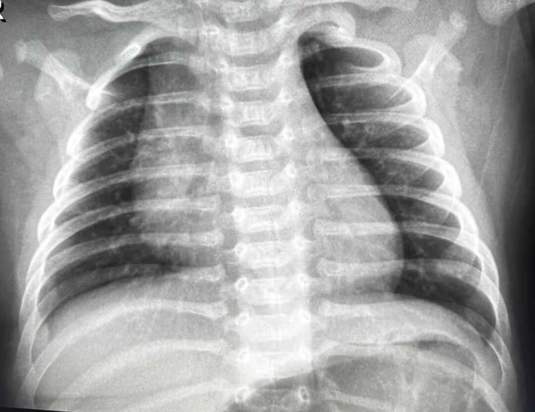
案例1、3岁的患儿平片未能明确显示肺部炎症,CT扫描显示双肺多发炎症。

X光拍片为什么要等【围观】刚拍完X线,又让你拍CT,医生为什么要这样做_https://www.jmylbn.com_新闻资讯_第12张
X光拍片为什么要等【围观】刚拍完X线,又让你拍CT,医生为什么要这样做_https://www.jmylbn.com_新闻资讯_第13张




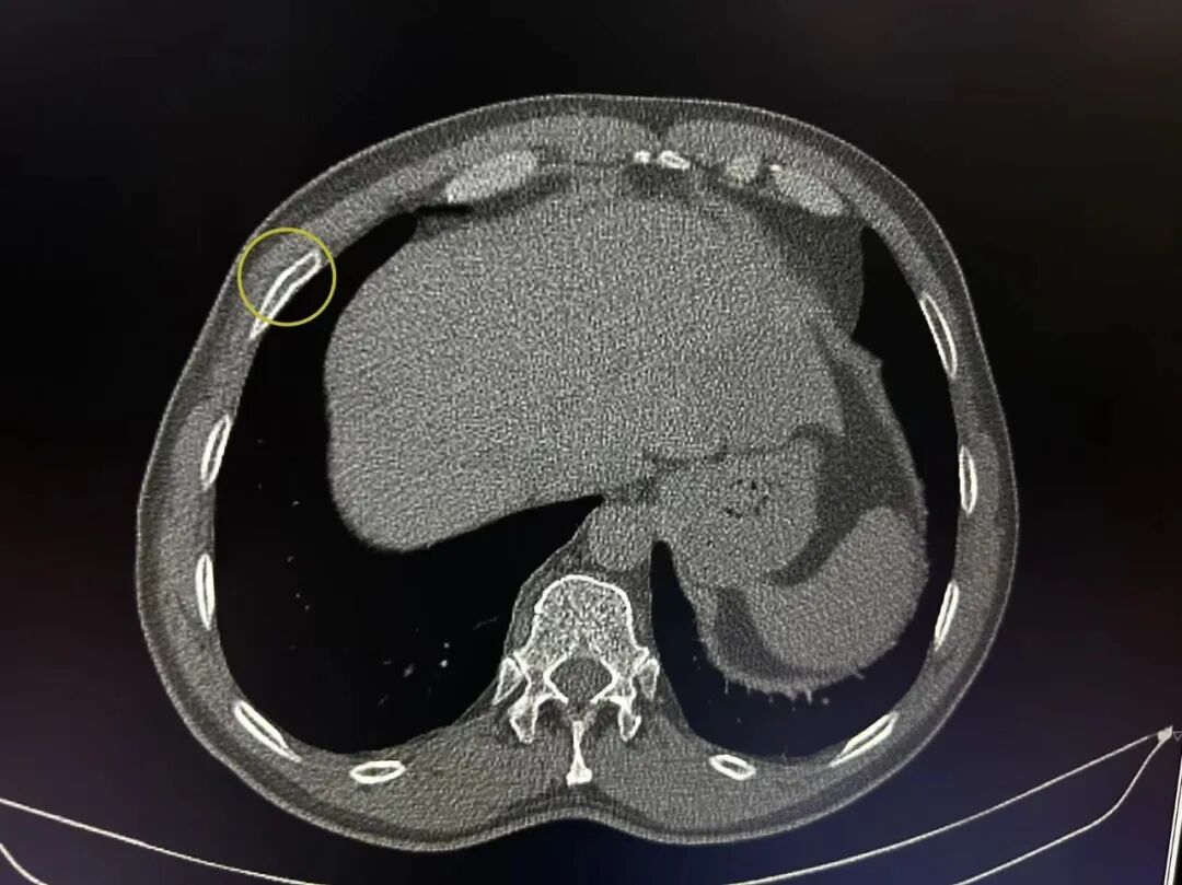
案例2、30岁患者被撞后到院检查,平片显示未见异常,CT扫描显示右侧第六肋骨不全性骨折。

X光拍片为什么要等【围观】刚拍完X线,又让你拍CT,医生为什么要这样做_https://www.jmylbn.com_新闻资讯_第14张
X光拍片为什么要等【围观】刚拍完X线,又让你拍CT,医生为什么要这样做_https://www.jmylbn.com_新闻资讯_第15张





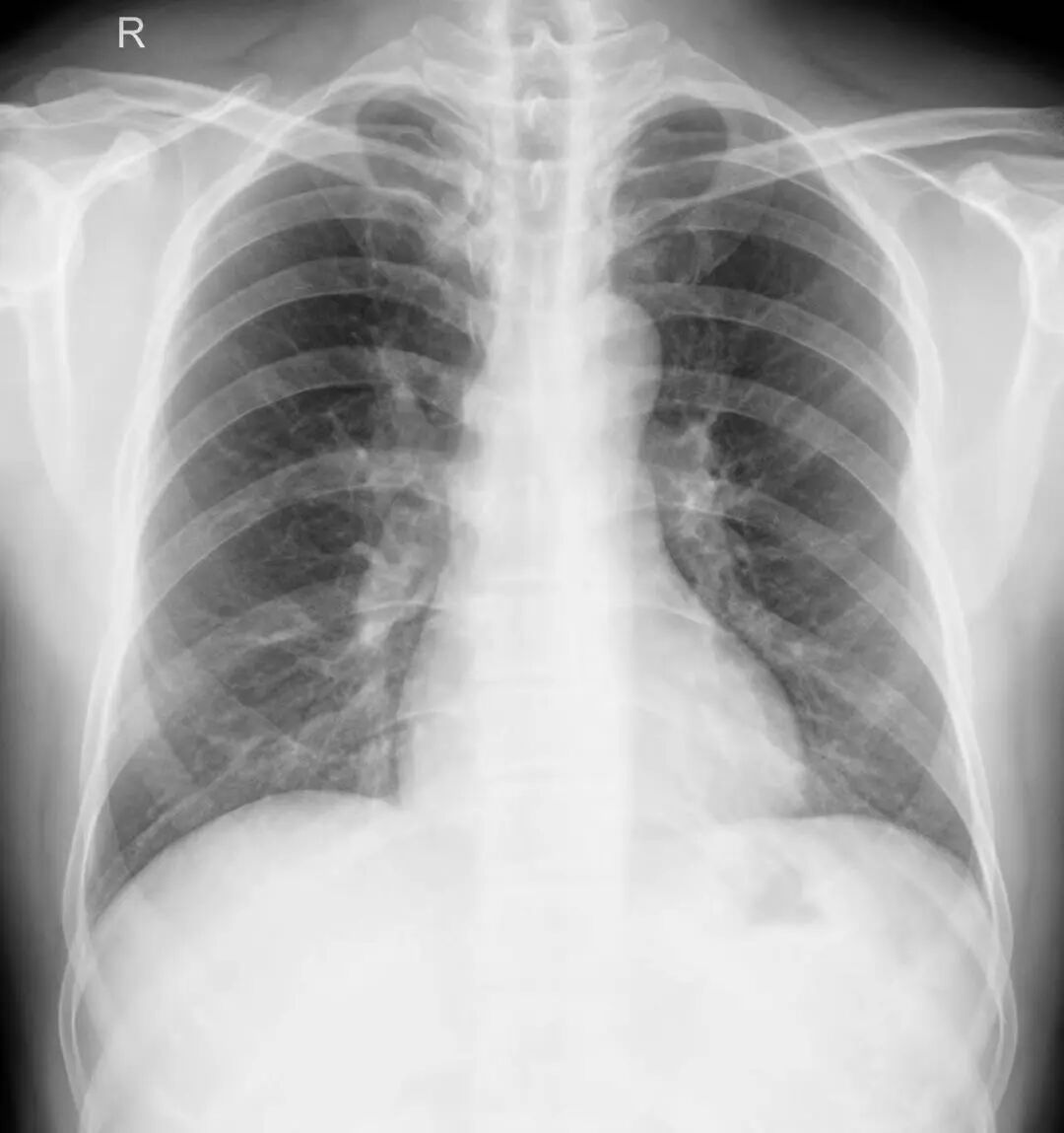
案例3、44岁的患者肋骨骨折复查平片未能明确显示骨折部位,CT扫描显示左侧第五前肋骨皮质不规则、边缘骨痂形成。

X光拍片为什么要等【围观】刚拍完X线,又让你拍CT,医生为什么要这样做_https://www.jmylbn.com_新闻资讯_第16张
X光拍片为什么要等【围观】刚拍完X线,又让你拍CT,医生为什么要这样做_https://www.jmylbn.com_新闻资讯_第17张


X光拍片为什么要等【围观】刚拍完X线,又让你拍CT,医生为什么要这样做_https://www.jmylbn.com_新闻资讯_第18张





X光拍片为什么要等【围观】刚拍完X线,又让你拍CT,医生为什么要这样做_https://www.jmylbn.com_新闻资讯_第9张

为什么不直接做CT?




首先你要知道

检查价格

X线<CT

辐射剂量

X线<CT

X光拍片为什么要等【围观】刚拍完X线,又让你拍CT,医生为什么要这样做_https://www.jmylbn.com_新闻资讯_第20张

/西门子双板DR/

X光拍片为什么要等【围观】刚拍完X线,又让你拍CT,医生为什么要这样做_https://www.jmylbn.com_新闻资讯_第21张


X线检查作为常规检查方法,费用低、辐射量小,能够对疾病迅速定位。

在就诊过程中,临床医生会根据实际病情首选X线检查。

平片发现了病变,但不能定性、定位,无法观察其具体形态时。需进行CT扫描对病灶进行定性,同时了解病变与周围组织的关系,进而确定下一步的治疗方案。

外伤患者进行了X线检查后,平片上发现异常,但对病灶观察不够全面时。需通过CT检查的后期重建进行多方位观察。


X光拍片为什么要等【围观】刚拍完X线,又让你拍CT,医生为什么要这样做_https://www.jmylbn.com_新闻资讯_第22张


X光拍片为什么要等【围观】刚拍完X线,又让你拍CT,医生为什么要这样做_https://www.jmylbn.com_新闻资讯_第23张






X光拍片为什么要等【围观】刚拍完X线,又让你拍CT,医生为什么要这样做_https://www.jmylbn.com_新闻资讯_第24张

综上所述,两种检查各有优势、互相补充、不可替代。具体做什么检查,需要根据病情而定。


X光拍片为什么要等【围观】刚拍完X线,又让你拍CT,医生为什么要这样做_https://www.jmylbn.com_新闻资讯_第11张
X光拍片为什么要等【围观】刚拍完X线,又让你拍CT,医生为什么要这样做_https://www.jmylbn.com_新闻资讯_第26张

预约挂号


点击下面关键词,了解更多健康资讯:

挂号方法 胃肠镜检查 | 内分泌失调 | 止痛药不能乱吃
胆囊结石 | 毒蛇咬伤 | 蘑菇中毒 | 中医药特色产品


供稿:放射影像科 唐兴星

审稿/马艳萍

编辑/蒲   凡
校对/梁龙杰
投稿邮箱:XNYDZYYXCB@126.COM
部分图片来源于网络,如有侵权请联系删除

X光拍片为什么要等【围观】刚拍完X线,又让你拍CT,医生为什么要这样做_https://www.jmylbn.com_新闻资讯_第27张

X光拍片为什么要等【围观】刚拍完X线,又让你拍CT,医生为什么要这样做_https://www.jmylbn.com_新闻资讯_第28张