为什么负压引流【前沿技术】负压封闭引流联合Masquelet技术治疗“不死癌症”——骨髓炎

新闻资讯2026-04-17 14:32:03


为什么负压引流【前沿技术】负压封闭引流联合Masquelet技术治疗“不死癌症”——骨髓炎_https://www.jmylbn.com_新闻资讯_第1张

点击上方蓝字关注我们吧

为什么负压引流【前沿技术】负压封闭引流联合Masquelet技术治疗“不死癌症”——骨髓炎_https://www.jmylbn.com_新闻资讯_第2张

为什么负压引流【前沿技术】负压封闭引流联合Masquelet技术治疗“不死癌症”——骨髓炎_https://www.jmylbn.com_新闻资讯_第3张


骨髓炎是指化脓性细菌感染骨髓、骨皮质和骨膜而引起的炎症性疾病,多数由血源性引起,也可由外伤或手术感染等因素引起。中医上骨髓炎称为附骨疽,民间俗称铁骨瘤。

骨髓炎目前整体发病率不高,却是骨科领域中的疑难杂症。病程时间长、治疗难度大,且控制后容易复发,甚者导致截肢,从而残疾,有骨科“不死的癌症”之称。由于病情迁延不愈,给患者及其家属带来沉重的经济压力和精神负担,漫长的病程和反复发作的病情更会让患者失去治疗的信心,导致终生忍受病痛的折磨,而很多骨科医生也因治疗效果差,不愿收治骨髓炎患者。




患者病情介绍:


近期,我院骨伤科采用先进的Masquelet技术为主成功治愈一例胫骨骨髓炎病例,获得好评!

6月前,62岁的胡阿姨因为反复右小腿肿胀、疼痛5天就诊于我院,经方伟医师细致检查后诊断为“右胫骨骨髓炎伴胫骨病理性骨折”,同时合并有膝关节骨关节炎、骨质疏松症等多种疾病。病初予以止痛消肿抗感染、石膏制动等保守治疗未见明显好转。

为什么负压引流【前沿技术】负压封闭引流联合Masquelet技术治疗“不死癌症”——骨髓炎_https://www.jmylbn.com_新闻资讯_第4张

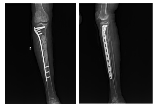
何国军主任知晓病情后,立即组织科室全体医生展开讨论,最终一致认为右胫骨骨髓炎伴胫骨病理性骨折,保守治疗效果欠佳,有手术指征。针对该病手术治疗方案主要包括:Ilizarov 技术、带血管蒂骨移植技术、Masquelet技术等,但患者术前检查提示病灶范围广,术中清创后骨缺损较大,遂制定了以负压封闭引流联合Masquelet技术为主的“三步走”治疗方案。经过充分的准备后,于2022年8月实施第一步治疗方案:骨感染、坏死彻底清创+负压封闭引流+及病理性骨折外支架固定术。

为什么负压引流【前沿技术】负压封闭引流联合Masquelet技术治疗“不死癌症”——骨髓炎_https://www.jmylbn.com_新闻资讯_第5张

术后恢复良好,按计划于20229月实施第二步治疗方案:再次清创+抗生素骨水泥髓腔内填充术+去除外固定支架更改为钢板内固定

为什么负压引流【前沿技术】负压封闭引流联合Masquelet技术治疗“不死癌症”——骨髓炎_https://www.jmylbn.com_新闻资讯_第6张

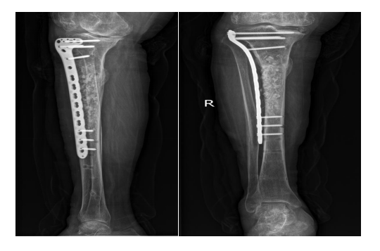
术后经随访复查见骨折断端愈合可,未见明显感染征象。于20232月返院按计划实施3治疗方案:骨水泥取出术、取右髂骨植骨术、人工骨植骨术+钢板、螺钉再固定术。

为什么负压引流【前沿技术】负压封闭引流联合Masquelet技术治疗“不死癌症”——骨髓炎_https://www.jmylbn.com_新闻资讯_第7张

经过以上三步骤之后,患者各项指标恢复良好,感染控制,骨缺损及病理性骨折均得到修复。


骨伤科主任何国军介绍:

      与传统治疗技术相比,Masquelet技术又称骨诱导膜技术,是修复长骨创伤性骨缺损的一项新技术,以分期治疗骨缺损为特点。Masquelet手术具有操作简便、并发症少、骨愈合快、愈合率高等优点。Masquelet技术中骨水泥不仅起机械支持作用,更为重要的是作为异物,刺激机体形成膜结构。骨水泥诱导膜有利于维持骨缺损区丰富的血管化;并创造封闭环境,使骨祖细胞及其相关因子得以富集保留。而在本病例中,我们在骨水泥中加入了专用抗生素,可以持续释放抗生素以达到持久抗菌的作用,大大减少了静脉用药时间,既高效又廉价。确保了感染及时控制,保住了患者的小腿。





为什么负压引流【前沿技术】负压封闭引流联合Masquelet技术治疗“不死癌症”——骨髓炎_https://www.jmylbn.com_新闻资讯_第8张



多年来,我院骨伤科坚持传统与现代医学两手抓,继承发扬传统医学优势的同时,持续学习吸收骨科前沿技术,每年派出骨干医师前往新桥医院、重医附院、洛阳正骨医院、文登正骨医院学习引进先进技术。科室始终秉承大医精诚之心,不断提升自身技术水平,将高新技术运用于临床,充分践行“当好骨科先锋、做好健康卫士的誓言,全心全意为云阳县老百姓提供优质高效的医疗服务


供          稿:谭  小  飞

编          辑:王       丹

终          审:余  荣  华

为什么负压引流【前沿技术】负压封闭引流联合Masquelet技术治疗“不死癌症”——骨髓炎_https://www.jmylbn.com_新闻资讯_第9张