钛针是什么材料儿童骨折不用慌,小小钛针来帮忙!

新闻资讯2026-04-24 09:11:41
钛针是什么材料儿童骨折不用慌,小小钛针来帮忙!_https://www.jmylbn.com_新闻资讯_第1张

每当假期的时候,小儿骨科的患者都会较平时明显增多,主要原因是假期间孩子们的活动量大、但保护意识又较差,受伤几率高。有研究显示,骨折现已经成为威胁儿童健康和安全的重要公共卫生问题,每年约有2.5%~6.25%的儿童发生骨折,其中儿童的长骨骨折占比最高。



孩子发生骨折后,家长往往非常焦虑紧张,既想骨折复位好、固定牢,还想孩子少受罪、创伤小。传统治疗方案常常为手法整复结合夹板或石膏外固定,需要手术者常用切开复位钢板或螺钉内固定,前者常常有复位不满意,复位后常出现移位风险,且固定时间很长,治疗体验差,可能带来功能恢复有限;后者创伤较大,遗留较长的手术瘢痕影响美观,常为患儿及家长不能接受。面对这种困境,一种既能达到良好复位,又能实现微创治疗方案应运而生,它就是“弹性髓内针”。


钛针是什么材料儿童骨折不用慌,小小钛针来帮忙!_https://www.jmylbn.com_新闻资讯_第2张

钛制弹性髓内钉系统(弹性髓内针)

Titanium Elastic Nail System(TEN)

弹性髓内针(TEN)是一种由钛合金制作,带有镰刀状弯头的专门治疗儿童长骨骨折的内固定器械。由法国的Nancy医院的Ligier医师最早报道采用了TEN固定治疗儿童股骨骨折的临床结果。随后TEN在欧洲和北美洲地区得到了流行,成为处理儿童长骨骨折中普遍采用的一种治疗方法和技术。TEN在国外甚至有“上帝送给儿童的礼物”之美誉。

钛针是什么材料儿童骨折不用慌,小小钛针来帮忙!_https://www.jmylbn.com_新闻资讯_第1张



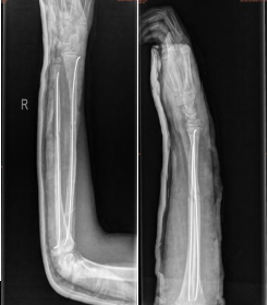
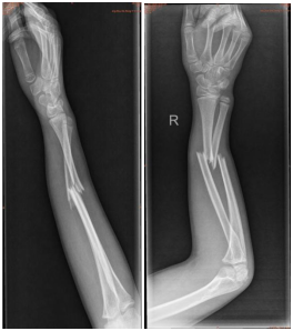
我科典型病例:
5岁男童,尺桡骨双骨折


钛针是什么材料儿童骨折不用慌,小小钛针来帮忙!_https://www.jmylbn.com_新闻资讯_第4张

术前

钛针是什么材料儿童骨折不用慌,小小钛针来帮忙!_https://www.jmylbn.com_新闻资讯_第5张
术后


手术切口

钛针是什么材料儿童骨折不用慌,小小钛针来帮忙!_https://www.jmylbn.com_新闻资讯_第6张     

需要说明的是弹性髓内针治疗儿童骨折虽然具有诸多优势,但不是所有儿童长骨骨折都可以使用弹性髓内针进行固定治疗,应该由小儿骨科专科医师根据患儿年龄、骨折类型和部位来决定。


钛针是什么材料儿童骨折不用慌,小小钛针来帮忙!_https://www.jmylbn.com_新闻资讯_第7张


钛针是什么材料儿童骨折不用慌,小小钛针来帮忙!_https://www.jmylbn.com_新闻资讯_第8张


马晓飞:农工党员,副主任医师,硕士研究生,中国中医药研究促进会疑难杂病分会理事,中国中医药研究促进会针刀专委会委员,中国民族医药学会教育分会理事,荆州市中医药学会骨伤专业委员会委员。曾赴华中科技大学附属同济医院骨科、协和医院小儿骨科进修,师从SICOT中国部儿童骨科专业委员会副主席、武汉协和医院小儿骨科主任李进教授。擅长微创治疗各类儿童骨折创伤,对儿童先天性及发育性畸形、成人骨折外伤、颈肩腰腿疼疾患的中西医结合治疗亦有丰富临床经验。


专家门诊时间:周三下午101诊室



有骨科问题可扫下方二维码,

荆州市中医医院专业骨科医生为您解答

钛针是什么材料儿童骨折不用慌,小小钛针来帮忙!_https://www.jmylbn.com_新闻资讯_第9张 


疫情尚未结束,防疫不可松懈

钛针是什么材料儿童骨折不用慌,小小钛针来帮忙!_https://www.jmylbn.com_新闻资讯_第10张


钛针是什么材料儿童骨折不用慌,小小钛针来帮忙!_https://www.jmylbn.com_新闻资讯_第11张