胎儿mt是什么检查什么疼吗ASE胎儿超声心动图检查指南及建议(更新)IV. 针对特定疾病的解剖、生理和功能胎儿超声心动图评估指南-C.结构性心脏病-iv

新闻资讯2026-04-24 07:22:03

胎儿mt是什么检查什么疼吗ASE胎儿超声心动图检查指南及建议(更新)IV. 针对特定疾病的解剖、生理和功能胎儿超声心动图评估指南-C.结构性心脏病-iv_https://www.jmylbn.com_新闻资讯_第1张

胎儿超声心动图检查指南及建议

-美国超声动图协会(2023更新)




C.结构性心脏病(Structural Heart Disease)


iv. 进展性、梗阻性和反流性病变。

  •  最初看似轻微的胎儿心脏病可能会演变为更严重的结构和功能性疾病(表13和14)。产前进展程度显著的病变包括室间隔完整的半月瓣膜狭窄和伴有明显瓣膜反流的瓣膜病。


  • 对此类病变进行胎儿心动图评估需要全面确定节段和瓣膜的特异性解剖结构以及双心室和房室瓣的功能。 而且,鉴于其渐进性,必须进行连续评估。随着病情的发展,这些病变可能导致心血管损害;因此,对全身静脉、静脉导管、脐动静脉和大脑中动脉血流进行常规多普勒检查至关重要。

室间隔完整的半月瓣狭窄:

  •  胎儿主动脉瓣和肺动脉瓣狭窄的严重程度范围很广。严重的梗阻,尤其是在妊娠早期,可能导致进行性心室发育不良全,或在对侧充盈受 损的情况下导致胎儿水肿。


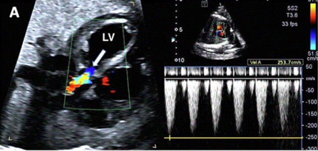
  •  评估半月瓣的形态、大小、通畅性和功能,包括使用彩色、PW 和 CW 多普勒,对于诊断和确定病变的严重程度非常重要(图 27)。

  • 狭窄远端大动脉的生长可能受到影响,导致狭窄时间较长的大动脉扩张或发育不良,因此需要重复测量。

  • 同侧大动脉弓的逆流预示着任何妊娠年龄 的半月瓣严重狭窄,如果在初次评估时未出现逆流,则应在妊娠期反复随诊(图 28)。

  • 通过评估心室大小(舒张末期直径和长度)、确定心尖形成的心室以及是否存在肥厚和/或心内膜纤维增生、并评估同侧心室的收缩和舒张功能,来确定狭窄的严重程度、瓣膜进行性发育不良的可能性以及是否需要进行产前干预。


  • 二尖瓣和三尖瓣反流的 CW 多普勒检查分别为了解主动脉和肺动脉狭窄的严重程度提供了关键的血液动力学信息,例如:

    ①如心室功能,在狭窄较重的情况下,较高的速度表明心室功能尚可。

    ②反之,反流速度低可能表明狭窄不严重、心肌功能障碍严重,或表明原发病变是心肌病变或与严重房室严重反流有关(见下文),而不是由于流出道狭窄。

    ③评估对侧心室和房室瓣膜功能对于预测心血管损害的可能性至关重要。


  • 除了共同的特征外,胎儿主动脉瓣和肺动脉瓣狭窄也有其特点:

    ①主动脉狭窄时,应评估卵圆孔的大小和通过卵圆孔的血流情况。狭窄较严重时,左心房和左心室充盈压较高,导致左心房向右心房分流,并可能导致心房收缩和左心房高压,最终影响肺静脉多普勒血流。

    ②在严重肺流出道狭窄时,特别是在瓣膜闭锁或右心室狭小的近闭锁情况下,可能会出现冠状动脉瘘。如果右心室游离壁和室间隔出现来回血流,则可能存在冠状动脉瘘。


胎儿mt是什么检查什么疼吗ASE胎儿超声心动图检查指南及建议(更新)IV. 针对特定疾病的解剖、生理和功能胎儿超声心动图评估指南-C.结构性心脏病-iv_https://www.jmylbn.com_新闻资讯_第2张

胎儿mt是什么检查什么疼吗ASE胎儿超声心动图检查指南及建议(更新)IV. 针对特定疾病的解剖、生理和功能胎儿超声心动图评估指南-C.结构性心脏病-iv_https://www.jmylbn.com_新闻资讯_第3张

胎儿mt是什么检查什么疼吗ASE胎儿超声心动图检查指南及建议(更新)IV. 针对特定疾病的解剖、生理和功能胎儿超声心动图评估指南-C.结构性心脏病-iv_https://www.jmylbn.com_新闻资讯_第4张

胎儿mt是什么检查什么疼吗ASE胎儿超声心动图检查指南及建议(更新)IV. 针对特定疾病的解剖、生理和功能胎儿超声心动图评估指南-C.结构性心脏病-iv_https://www.jmylbn.com_新闻资讯_第5张


图27进展性主动脉狭窄。一例23周胎儿的严重主动脉狭窄,伴有扩张和低动力性左心室(LV)伴心内膜弹性纤维变性。(A) 彩色多普勒显示,主动脉瓣(箭头)开始出现花彩血流(左),频谱多普勒显示阶差为 25 毫米汞柱(右(B) 二尖瓣(MV)流入是单相的,持续时间短(左),二尖瓣反流提示左心室收缩压高(46毫米汞柱压力梯度加左心房压力;右图)。(C)存在逆行主动脉弓流(红色,左)和左至右心房流(红色、右)是预测由于通过左心的流量减少而在妊娠期间发展的进行性左心发育不全的额外发现。(D)LV逐渐变为球状,长度缩短,到36周时不再形成心尖。

胎儿mt是什么检查什么疼吗ASE胎儿超声心动图检查指南及建议(更新)IV. 针对特定疾病的解剖、生理和功能胎儿超声心动图评估指南-C.结构性心脏病-iv_https://www.jmylbn.com_新闻资讯_第6张

胎儿mt是什么检查什么疼吗ASE胎儿超声心动图检查指南及建议(更新)IV. 针对特定疾病的解剖、生理和功能胎儿超声心动图评估指南-C.结构性心脏病-iv_https://www.jmylbn.com_新闻资讯_第7张

胎儿mt是什么检查什么疼吗ASE胎儿超声心动图检查指南及建议(更新)IV. 针对特定疾病的解剖、生理和功能胎儿超声心动图评估指南-C.结构性心脏病-iv_https://www.jmylbn.com_新闻资讯_第8张

胎儿mt是什么检查什么疼吗ASE胎儿超声心动图检查指南及建议(更新)IV. 针对特定疾病的解剖、生理和功能胎儿超声心动图评估指南-C.结构性心脏病-iv_https://www.jmylbn.com_新闻资讯_第9张

图28半月瓣狭窄同侧弓的逆流。(上图)严重右心室流出道梗阻,其中3VT看起来有些正常,但彩色多普勒显示动脉导管逆行(蓝色)。(下图)主动脉弓的矢状在2D图像上看起来正常,但彩色多普勒成像显示导管弓的逆(蓝色)流。

另请参阅视频17  :

   右心室流出道狭窄,其中 3VT 显示正常,但彩色多普勒显示动脉导管内有逆流(蓝色)。

胎儿mt是什么检查什么疼吗ASE胎儿超声心动图检查指南及建议(更新)IV. 针对特定疾病的解剖、生理和功能胎儿超声心动图评估指南-C.结构性心脏病-iv_https://www.jmylbn.com_新闻资讯_第10张


要点(Key Points):

  • 如果怀疑存在瓣膜狭窄,则应对心脏进行连续评估、 包括评估心室的大小和功能,以及是否存在心内膜弹性纤维增生。


  • 每次检查时,必须记录导管和主动脉弓的血流方向;异常的流向预示着严重的产后梗阻。


  • 多普勒压力差可以被测量和报告,但不一定表示狭窄的严重程度。


  • 每次检查时都必须记录心房间隔的血流方向。


  • 建议对主动脉瓣和肺动脉瓣狭窄的双心室功能进行评估,包括但不限于多普勒静脉和心室流入模式、时间间隔、瓣膜反流的存在、部分面积变化、部分缩短和心胸比率。






严重的房室和半月瓣膜反流

  •  严重的房室瓣或半月瓣反流与容量负荷增加有关,表现为进行性心脏增大,胎儿循环不能很好地承受。 


  • 容量负荷和随之而来的双心室功能障碍会导致无法重新分配心脏前负荷,从而导致血流动力学不稳定、充盈压升高和水肿。


  • 胎儿TV疾病(TVD)和 APVS 是具有此类病理生理学的最常见病变,尽管常见的房室瓣反流也可能是进行性的,并可能影响预后,尤其是在左心房或右心房异位(异位)的患者中。


评估方法:

TVD(三尖瓣病变)

  • TVD 存在的第一条线索是明显的右侧结构异常,如Ebstein异常和TV发育不良,是伴有或不伴有RV扩张的显著右心房扩张。通过四腔切面和短轴切面对TV解剖进行评估,可以明确诊断(表 13)。


  • TV反流的严重程度可以通过测量收缩静脉相对于瓣环的宽度来评估。


  • 对射流速度不足进行多普勒检查(PW 和 CW)对于排除原发性肺动脉狭窄(高速)和确定右心室产生收缩压的能力至关重要。


  • 评估肺动脉瓣流量和通畅性至关重要,因为这种病变可能与解剖性或假性肺动脉闭锁(功能性)有关。后者肺动脉瓣闭锁,是因为 RV 压力比全身压力低有关(图 29)。

  • 严重的结构性或功能性肺动脉闭锁 TVD 总是与动脉导管逆流有关。因此,必须在妊娠期间连续记录动脉导管的流向。

  • 由于RV流出减少,肺动脉瓣和主肺动脉发育不良很常见。

  • 肺动脉分支应进行成像和测量,因为动脉发育不良与相关的肺发育不良相关。必须确定肺动脉分支的起源,因为不连续性、节段性狭窄和主要的主动脉肺侧支血管可与明显通畅的流出道和/或动脉导管同时存在,并对管理和长期结果产生影响(表 13)。 

  • TV反流的严重程度可通过以下方法进行评估测量相对于瓣环的收缩静脉宽度可评估 TV 返流的严重程度。多普勒检查(PW 和 CW)反流速度不足对于排除原发性肺狭窄(高速)和确定右心室产生收缩压的能力至关重要。


  • 应评估左心室形态(偏心率、有无压迫)、大小和功能,因为TVD中的左心室功能障碍可导致心血管损害。缺乏增大的径向位移、周向应变减少和左心室不同步也是严重 TVD 的主要特征,这可能反映了心室与心室相互作用的不理想状态, 尽管这些模式仍被认为是研究性的。


  • 应评估心律,以排除常见的心房异位和室上性心律失常。


  • 最后,重要的是评估其他结构性缺陷,包括主动脉缩窄和 VSD。


胎儿mt是什么检查什么疼吗ASE胎儿超声心动图检查指南及建议(更新)IV. 针对特定疾病的解剖、生理和功能胎儿超声心动图评估指南-C.结构性心脏病-iv_https://www.jmylbn.com_新闻资讯_第11张

胎儿mt是什么检查什么疼吗ASE胎儿超声心动图检查指南及建议(更新)IV. 针对特定疾病的解剖、生理和功能胎儿超声心动图评估指南-C.结构性心脏病-iv_https://www.jmylbn.com_新闻资讯_第12张

胎儿mt是什么检查什么疼吗ASE胎儿超声心动图检查指南及建议(更新)IV. 针对特定疾病的解剖、生理和功能胎儿超声心动图评估指南-C.结构性心脏病-iv_https://www.jmylbn.com_新闻资讯_第13张

胎儿mt是什么检查什么疼吗ASE胎儿超声心动图检查指南及建议(更新)IV. 针对特定疾病的解剖、生理和功能胎儿超声心动图评估指南-C.结构性心脏病-iv_https://www.jmylbn.com_新闻资讯_第14张

图29胎儿Ebstein异常和TV发育不良。(A)在该胎儿中,严重的三尖瓣反流与进行性心脏增大有关,尤其是右心房(RA)扩张,如这些在19周和34周时的系列图像所示,并且可能与心力衰竭/水肿的演变有关。(B-D)四腔切面中胎儿严重Ebstein异常显示严重心脏扩大的图像。(C)从矢状切面可见广泛的三尖瓣反流(箭头),由于室间隔瓣叶移位,反流起源于TV瓣环下方,甚至向 RV 流出道射流。彩色多普勒和 CW 多普勒显示也有连续的肺动脉反流。(D) 后一项发现表明,右心室无法产生足够的压力来打开肺动脉瓣


肺动脉瓣缺如综合征APVS

  • APVS最常与主动脉瓣下VSD的TOF相关,但也可能发生在室间隔完整的情况下。考虑到对手术管理的影响以及相关的22q11.2缺失,区分两者至关重要。进行性RV功能障碍可预测围产期死亡率。


  • 除了评估肺动脉分支的大小和心胸比例外,心脏位置的评估也很重要,因为 APVS 的改变表明存在气道阻塞,且阻塞气道同侧的肺充气过度。

  • 动脉导管很少出现,但可能与不连续的肺动脉或没有VSD的胎儿有关。

  • 应评估左心解剖结构和左心室功能,因为左心室功能障碍也已被证明可以独立预测胎儿死亡。


  • 对 TOF 或 APVS 患者主动脉弓位置的评估非常重要,因为当主动脉弓一侧的肺动脉分支出现动脉瘤时,主动脉弓位置可能会导致气道受压。


要点(Key Points):

  • 应对瓣膜反流进行一系列评估,因为它可能会随着妊娠的进展而加重。

  • 进行性心脏扩大是伴有明显的房室和半月瓣膜反流胎儿心脏病的常见特征。

  • 在严重的Ebstein异常或严重的TV发育不良中,三尖瓣反流的PW和/或CW多普勒检查应作为RV功能的测量,因为它可用于预测临床结果。

  • 应对APVS中TOF中的心脏位置进行评估,考虑到节段性肺积液引起的异常轴位可能与出生后严重的气道阻塞有关,并可用于预测结果。


Table 13Guidance for disease-specific anatomic, physiologic, and functional evaluation for commonly encountered fetal CHD lesions

胎儿mt是什么检查什么疼吗ASE胎儿超声心动图检查指南及建议(更新)IV. 针对特定疾病的解剖、生理和功能胎儿超声心动图评估指南-C.结构性心脏病-iv_https://www.jmylbn.com_新闻资讯_第15张

胎儿mt是什么检查什么疼吗ASE胎儿超声心动图检查指南及建议(更新)IV. 针对特定疾病的解剖、生理和功能胎儿超声心动图评估指南-C.结构性心脏病-iv_https://www.jmylbn.com_新闻资讯_第16张

胎儿mt是什么检查什么疼吗ASE胎儿超声心动图检查指南及建议(更新)IV. 针对特定疾病的解剖、生理和功能胎儿超声心动图评估指南-C.结构性心脏病-iv_https://www.jmylbn.com_新闻资讯_第17张

胎儿mt是什么检查什么疼吗ASE胎儿超声心动图检查指南及建议(更新)IV. 针对特定疾病的解剖、生理和功能胎儿超声心动图评估指南-C.结构性心脏病-iv_https://www.jmylbn.com_新闻资讯_第18张

1.不平衡 AVSD

①病变(类别 - SV 和心室比例失调):不平衡 AVSD(右侧或左侧优势)

②主要表现:(疑似表现 -胸部横断面显示明显缺乏两个对称心室):存在AVSD特征,单个AV瓣膜,±原始房间隔缺损,±入口室间隔缺损。

③常见静脉异常:SVC 和 IVC 的走向和偏侧性、原始的奇静脉系统、分离静脉连接;TAPVR

④特定的房室瓣问题:  常见的瓣膜反流;可能需要对AV瓣进行渐进式EN正面成像。

⑥流出道成像: 确定心室动脉连接发育不良的心室流出道可能狭窄或闭锁;可能需要连续评估.

⑦附加测量 :

 测量左右房室瓣直径或面积(图 23), 科恩指数 ,AVVI RV/LV 流入角。

⑧其它要点  :评估平衡性房室瓣见下文("共同房室瓣),考虑右房或左房异构/异位


2.三尖瓣闭锁

①病变(类别 - SV 和心室比例失调):三尖瓣闭锁

②主要表现:(疑似表现 -胸部横断面显示明显缺乏两个对称心室):无AV连接,右心室小,VSD

③常见静脉异常:双侧SVC DVA波反向

④特定的房室瓣问题:   二尖瓣脱垂、扩张或反流

⑤流出道成像: 确定心室与动脉的连接,可能是转位的形态右心室流出道可能存在瓣下或瓣膜狭窄;评估动脉弓的血流,看是否可能存在动脉导管依赖性。

⑥附加测量 :可以在两个正交平面中测量VSD大小。

⑦其它要点  :VSD 障碍可呈进行性发展,损害右心室流出道的血流(导致肺动脉狭窄、肺动脉闭塞)

3.HLHS

①病变(类别 - SV 和心室比例失调):三尖瓣闭锁

②主要表现:(疑似表现 -胸部横断面显示明显缺乏两个对称心室):二尖瓣和主动脉狭窄或闭锁的四腔左心室小。

③常见静脉异常:双侧SVC 

④特定的房室瓣问题:   TR伴RV功能障碍可能增加胎儿死亡和产后发病率/的风。

⑤流出道成像: 评估主动脉瓣的通畅性,升主动脉的大小,肺动脉的彩色多普勒检查主动脉横弓远端的血流方向

⑥附加测量 :测量升主动脉直径,该直径可预测诺伍德手术后的产后结果。

⑦其它要点  :评估房间隔受限情况--肺静脉多普勒 VTI 正向/反向比值<3,预示左心房出口不足,新生儿急诊房间隔成形术的可能性增加。闭塞)

4.双入口左心室

①病变(类别 - SV 和心室比例失调):双入口左心室

②主要表现:(疑似表现 -胸部横断面显示明显缺乏两个对称心室):两个AV瓣膜均通向形态上的左心室,四腔切面显示“大”VSD或室间隔缺失。

③常见静脉异常:双侧SVC 

④特定的房室瓣问题:   评估每个房室瓣的大小(一个瓣膜可能狭窄或闭锁)以及瓣膜反流的程度 房室瓣可能骑跨跨入出口腔。

⑤流出道成像:确定房室和心室动脉连接(可能存在 D 型或 L 型环状心室,DORV),评估与形态右心室相连的流出道是否通畅,是否存在瓣下或瓣膜狭窄。

⑥附加测量 :

⑦其它要点  :L 型心室有完全性心脏传导阻滞的风险 ,如果左房室瓣发育不良或闭锁,评估房间隔缺损是否足够。

5.共同AV瓣,AVSD

①病变(类别 - 复杂房室交界异常):共同AV瓣,AVSD

②主要表现:(疑似表现 -横切面四腔切面未显示两个明显分离的AV瓣,且crux点偏移):crux补偿区缺少或房室瓣出现在同一水平面上,心房或 VSD 较大。

③常见静脉异常:双侧SVC、IVC中断、TAPVR。

④特定的房室瓣问题:  形态、平衡、反流;乳头肌形态。

⑤流出道成像:正常相关或转位、瓣膜下梗阻或瓣膜发育不良、导管或主动脉弓反向流动。

⑥附加测量 :  Cohen指数AVVI  RV/LV 流入角

⑦其它要点  : 如果没有特别查找,可能会遗漏其他VSD.

6.十字交叉的心

①病变类别 - 复杂房室交界异常):十字交叉的心

②主要表现:疑似表现 -横切面四腔切面未显示两个明显分离的AV瓣,crux偏移):两个独立的AV瓣膜,但在同一平面上看不见。单个心室与两个心室的混淆(横断面上右心室或左心室缩短)。

③常见静脉异常:内脏心房位置异常 双侧 SVC

④特定的房室瓣问题:   TR 或 MR、跨立、骑跨。

⑤流出道成像:仔细确定连接方式,可能是 DORV/d-TGA,l-TGA(当存在L-looping),流出道狭窄。

⑥附加测量 :AV瓣环环大小。

⑦其它要点  : 如果成像不是专门用于确定连接而非关系,则难以预测出生后的生理机能。

7.跨瓣

①病变(类别 - 复杂房室交界异常):跨瓣

②主要表现:(疑似表现 -横切面四腔切面未显示两个明显分离的AV瓣,crux偏移):四腔切面显示VSD或主动脉骑跨

③常见静脉异常:双侧SVC

④特定的房室瓣问题:   大小、反流、瓣膜跨度和弦分布。

⑤流出道成像:D环心室与L环心室与心脏传导阻滞的风险,瓣膜下和瓣膜狭窄,主动脉错位。

⑥附加测量 :

⑦其它要点  :如果左房室瓣发育不良,有左心房高压的风险 。


8.二尖瓣狭窄:降落伞,发育不全

①病变(类别 - 复杂房室交界异常):二尖瓣狭窄:降落伞,发育不全

②主要表现:(疑似表现 -疑似表现 -横切面四腔切面未显示两个明显分离的AV瓣,crux偏移):RV>LV不对称

③常见静脉异常LSVC  主动脉瓣狭窄、缩窄

特定的房室瓣问题:   形态学,乳头肌;Z分数测量

⑤流出道成像:如果存在VSD且升主动脉大小和流量正常,则考虑DORV。

⑥附加测量 :卵圆孔大小 肺静脉正/反比率

⑦其它要点  : 卵圆孔血流方向对确定二尖瓣是否合适至关重要型心室有完全性心脏传导阻滞的风险 ,如果左房室瓣发育不良或闭锁,评估房间隔缺损是否足够。


9.TOF

①病变(类别 - 流出道病变,4-腔心 正常):TOF

②主要表现:(疑似表现 -心轴异常<30° 或 >60)心轴或左心室流出道异常,伴有 VSD 和骑跨血管;3VV 异常。

③常见静脉异常:双侧SVC、主动脉后无名静脉、右主动脉弓、血管环、主动脉肺窗。

④特定的房室瓣问题:   罕见的二尖瓣或三尖瓣异常与AVSD的关系。室,DORV),评估与形态右心室相连的流出道是否通畅,是否存在瓣下或瓣膜狭窄。

⑤流出道成像:3VV:肺动脉口径较小,气管切面:存在有流动方向的导管,动脉导管 缺失 肺动脉分支的连续。

⑥附加测量 :肺动脉分支、连续肺动脉环、漏斗测量 、主要主动脉肺侧支血管。

⑦其它要点  : 28 wk 时的动脉导管方向预示着新生儿干预的必要性 、Ao/PV 瓣膜比值小于 0.6 和 PV Z 评分小于-5,且无动脉导管未闭,预示需要进行新生儿干预。

10.动脉干(共同动脉)

①病变(类别 - 流出道病变,4-腔心 正常):动脉干(共同动脉)

②主要表现:(疑似表现 -轴异常<30° 或 >60)


③常见静脉异常:双侧SVC双侧 SVC、右主动脉弓,血管环主动脉后无名静脉。

④特定的房室瓣问题:   TR, MR

⑤流出道成像:主动脉vs肺动脉优势、单弓与双弓、主动脉中断(类型) PA 起源.

⑥附加测量 :总干瓣速度、反流近端分支、 PA 大小

⑦其它要点  :右主动脉弓与del22q11风险>50%相关 


11.DORV

①病变(类别 - 流出道病变,四腔心正常):DORV

②主要表现:(疑似表现 -轴异常(<30° 或 >60)左心室流出道切面异常或无法获得3VV 异常):

③常见静脉异常:双侧SVC

④特定的房室瓣问题:  大小、反流、二尖瓣跨入右心室、TV跨过入口 VSD

、AVSD。AV瓣膜:短轴或矢状位成像最佳。

⑤流出道成像:正常相关或转位、瓣膜下阻塞或瓣膜发育不良、导管或主动脉弓反向血流、AP 窗口、肺动脉分支的通畅性和连续性。

⑥附加测量 :VSD 与大血管的关系确定左心室到主动脉的通路:VSD 的大小和任何可能排除双心室修复的房室瓣附件


⑦其它要点  :心室环、关系和发育不全。


12.d-TGA

①病变(类别 - 流出道病变,4-ch 正常):d-TGA

②主要表现:(疑似表现 -轴异常(<30° 或 >60)3VV 异常,左心室流出切面异常,平行流出。

③常见静脉异常None

④特定的房室瓣问题:   d-TGA 伴有 VSD ± 肺动脉狭窄,可出现MV骑跨和异常:MV裂。

⑤流出道成像:主动脉瓣和肺动脉瓣应为正常大小;主动脉发育不全伴TV发育不全和肺动脉瓣可能为二叶瓣。

⑥附加测量 : 卵圆孔大小(矢状面最佳定义)间隔偏移指数.

⑦其它要点  :主动脉瓣大于正常值的常见。


13.l-TGA

①病变(类别 - 流出道病变,4-ch 正常):l-TGA

②主要表现:(疑似表现 -胸部横断面显示明显缺乏两个对称心室):

③常见静脉异常None

④特定的房室瓣问题:   四腔切面可见 crux异常;TV 偏移、TR 常见并影响预后。

⑤流出道成像:肺或肺下部狭窄评估 肺弓发育不良。

⑥附加测量 : AV间隔VSD的存在和大小。


⑦其它要点  :心轴可能异常、 中位或右位心、 对心脏传导阻滞进行连续监测。

14.主动脉瓣狭窄

①病变(类别 - 进行性半月瓣狭窄):主动脉瓣狭窄

②主要表现:(疑似表现 -3VV异常;四腔不对称):左心室流出道切面上可见收缩期增厚的瓣膜,3VV 上可见± 扩张的升主动脉,四腔切面上可见左心室肥厚或扩张/功能障碍。

③常见静脉异常:肺静脉多普勒在心房收缩时发生逆转

④特定的房室瓣问题:   二尖瓣异常包括瓣膜发育不全、弧形瓣、瓣膜畸形和瓣膜狭窄。MR速度可用于评估左心室收缩压和功能。

⑤流出道成像:主动脉弓、横弓血流逆转可预测严重狭窄;主动脉瓣多普勒检查可能无法反映严重左心室功能障碍的严重程度。

⑥附加测量 : 主动脉弓和峡部(发生缩窄的风险)二尖瓣流入时间 MR峰值速度(如果存在)。

⑦其它要点  :必须记录卵圆孔血流方向,评估是否因房间隔受限导致 LA 压力升高。

15.肺动脉瓣狭窄

①病变(类别 - 进行性半月瓣狭窄):肺动脉瓣狭窄

②主要表现:(疑似表现 -3VV异常;四腔不对称):四腔切面异常,右心房增大,RV 小于 LV,RV 肥大且功能减退;可能显示正常,但 3VV 导管/主 PA 彩色血流反转。

③常见静脉异常:体静脉中的 A 波反转增加很常见。

④特定的房室瓣问题:   三尖瓣环大小、按 PW 计的流入持续时间 TR(按颜色)> 轻度与sinusoids冠状动脉窦隙的低风险有关。

⑤流出道成像:导管解剖由于导管插入异常导致左肺动脉狭窄,流出道解剖(漏斗狭窄/闭锁)导管血流逆转提示导管依赖性。

⑥附加测量 : 分支 PA 大小 TR 峰值速度(如果存在)。

⑦其它要点  :用低速彩色多普勒评估游离壁和室间隔的冠状动脉-窦状瘘



16.Ebstein异常与TV发育不良

①病变(类别 - 进行性半月瓣狭窄):Ebstein异常与TV发育不良

②主要表现:(疑似表现 -3VV异常;四腔不对称):右心房增大和心脏肥大,TV 间隔和后叶发育不良或叶片受牵引移位 通过房室沟水平的 "环 "的往返血流

③常见静脉异常:IVC、静脉导管和UA中A波逆转增加。

④特定的房室瓣问题:  三尖瓣环大小可预测病情进展 三尖瓣反流峰值速度也可预测病情发展。


⑤流出道成像:肺动脉狭窄或闭锁,功能性闭锁; PR 肺动脉分支发育不良 导管分流方向  罕见的与缩窄相关性。

⑥附加测量 :连续测量 TV环、TR峰值速度、肺动脉流量、PR、左心室功能评估、UA和MCA多普勒

⑥附加测量 :

⑦其它要点  :

17.APVS

①病变(类别 - 进行性半月瓣狭窄):APVS

②主要表现:(疑似表现 -3VV异常;四腔不对称):与 TOF 合并或单独存在  肺动脉瓣环发育不良,瓣叶变小,彩色多普勒在肺动脉上往返  PA 主干和分支扩张 RA 和 RV 扩张。


③常见静脉异常:随着 RA 压力的增加,可能会在 IVC 和静脉导管中看到 A 波逆转。

④特定的房室瓣问题:  评估 TR 和 PW 以及 TR 速度的 CW 多普勒,以评估 RV 收缩压/功能 。

⑤流出道成像:动脉导管通常不存在,但应评估其存在是否影响预后。

⑥附加测量 :对 PA 分支大小、双心室功能、CTR UA 和 MCA 多普勒进行连续测量。


⑦其它要点  :



18.主动脉缩窄

①病变(类别 - 动脉弓异常):主动脉缩窄

②主要表现:(疑似表现 -3VV或3VT异常):RV > LV 差异,升主动脉小于 SVC,横向和降主动脉/峡部较小。

③常见静脉异常:LSVC 至冠状窦

④特定的房室瓣问题:   二尖瓣解剖结构、房间隔血流方向。

⑤流出道成像:主动脉瓣狭窄,双叶主动脉瓣。

⑥附加测量 :主动脉峡部

⑦其它要点  :假阳性和假阴性率相当高。

18.主动脉缩窄

①病变(类别 - 动脉弓异常):主动脉缩窄

②主要表现:(疑似表现 -3VV或3VT异常):RV > LV 差异,升主动脉小于 SVC,横向和降主动脉/峡部较小。

③常见静脉异常:LSVC 至冠状窦

④特定的房室瓣问题:   二尖瓣解剖结构、房间隔血流方向。

⑤流出道成像:主动脉瓣狭窄,双叶主动脉瓣。

⑥附加测量 :主动脉峡部

⑦其它要点  :假阳性和假阴性率相当高。

18.主动脉缩窄

①病变(类别 - 动脉弓异常):主动脉缩窄

②主要表现:(疑似表现 -3VV或3VT异常):RV > LV 差异,升主动脉小于 SVC,横向和降主动脉/峡部较小。

③常见静脉异常:LSVC 至冠状窦

④特定的房室瓣问题:   二尖瓣解剖结构、房间隔血流方向。

⑤流出道成像:主动脉瓣狭窄,双叶主动脉瓣。

⑥附加测量 :主动脉峡部


⑦其它要点  :假阳性和假阴性率相当高。


19.血管环

①病变(类别 - 3VV或3VT异常):血管环

②主要表现:(疑似表现 -胸部横断面显示明显缺乏两个对称心室):3VT 在食管和气管周围呈 "U "形,而不是气管左侧的 "V "形。

③常见静脉异常None

④特定的房室瓣问题:   None

⑤流出道成像:排除锁骨下动脉异常、双主动脉弓。

⑥附加测量 :根据需要

⑦其它要点  :气管异常、气管环的风险增加型


20.动脉导管

①病变(类别 - 3VV或3VT异常):动脉导管

②主要表现:(疑似表现 -3VV或3VT异常):妊娠晚期,3VV、3VT 或矢状弓图像异常,伴有搏动性迂曲外观。

③常见静脉异常

④特定的房室瓣问题:   None

⑤流出道成像:None

⑥附加测量 :主动脉峡部动脉导管最宽处的直径

⑦其它要点  :一般为正常变异,新生儿无临床相关性。




文献来源

胎儿mt是什么检查什么疼吗ASE胎儿超声心动图检查指南及建议(更新)IV. 针对特定疾病的解剖、生理和功能胎儿超声心动图评估指南-C.结构性心脏病-iv_https://www.jmylbn.com_新闻资讯_第19张

Practice Guideline J Am Soc Echocardiogr. 2023 Jul;36(7):679-723.  Epub 2023 May 24.

Guidelines and Recommendations for Performance of the Fetal Echocardiogram: An Update from the American Society of Echocardiography

PMID: 37227365 DOI: 10.1016/j.echo.2023.04.014





胎儿mt是什么检查什么疼吗ASE胎儿超声心动图检查指南及建议(更新)IV. 针对特定疾病的解剖、生理和功能胎儿超声心动图评估指南-C.结构性心脏病-iv_https://www.jmylbn.com_新闻资讯_第20张




胎儿mt是什么检查什么疼吗ASE胎儿超声心动图检查指南及建议(更新)IV. 针对特定疾病的解剖、生理和功能胎儿超声心动图评估指南-C.结构性心脏病-iv_https://www.jmylbn.com_新闻资讯_第21张

长按以上图片,识别图中二维码,加关注


坚持是一种信念。专注是一种态度!


点一下在看鼓励一下哟!胎儿mt是什么检查什么疼吗ASE胎儿超声心动图检查指南及建议(更新)IV. 针对特定疾病的解剖、生理和功能胎儿超声心动图评估指南-C.结构性心脏病-iv_https://www.jmylbn.com_新闻资讯_第22张