病历夹什么径技·第152期|串联营病历夹:川陕大营

新闻资讯2026-04-24 05:49:50

病历夹什么径技·第152期|串联营病历夹:川陕大营_https://www.jmylbn.com_新闻资讯_第1张


蜀秦共话串联病,神经介入操演赢!

2022年6月11日9:00-11:30 “神经介入广义串联病变诊疗技巧操演——川陕大营” 成功举办。

病历夹什么径技·第152期|串联营病历夹:川陕大营_https://www.jmylbn.com_新闻资讯_第2张

扫码回顾精彩时刻


本次活动由四川大学华西医院郑洪波教授主持。
病历夹什么径技·第152期|串联营病历夹:川陕大营_https://www.jmylbn.com_新闻资讯_第3张


四川大学华西医院郑洪波教授、西安交通大学第一附属医院韩建峰教授共同担任大会主席。
病历夹什么径技·第152期|串联营病历夹:川陕大营_https://www.jmylbn.com_新闻资讯_第4张

西南医科大学李经纶教授、川北医学院附属医院孙祥荣教授、西安交通大学第二附属医院张茹教授、延安大学咸阳医院宋波教授作为讨论点评嘉宾。

病历夹什么径技·第152期|串联营病历夹:川陕大营_https://www.jmylbn.com_新闻资讯_第5张


特邀请仁寿县人民医院谭小林教授、西安交通大学第二附属医院高震教授、延安大学咸阳医院王琨教授、崇州市人民医院梁世福教授带来四个各有特色的串联病变精彩报告。
病历夹什么径技·第152期|串联营病历夹:川陕大营_https://www.jmylbn.com_新闻资讯_第6张


现在让我们一起重温这一场注重实战实用的学术活动吧。
第一节

后循环串联病变取栓病例分享

来自仁寿县人民医院的谭小林教授分享了一例椎-基底动脉后循环串联病变病例。

病历夹什么径技·第152期|串联营病历夹:川陕大营_https://www.jmylbn.com_新闻资讯_第7张




患者基本情况


患者:男,48岁

主诉:突发呼之不应3小时12分

查体:3小时12分前患者在吃饭后突发出现呼之不应,倒在桌上,右肢无活动,左肢可见不自主运动,且有小便失禁,遂到我院就诊,急诊行头CT及血常规、肾功电解质、凝血试验以“脑卒中”收入院。

既往史:吸烟20支/日。

查体:T .36.8℃ P. 68次/分 R. 20次/分 B.P. 166/72mmHg spo2 96% 昏迷状,呼之不应、双瞳等大形圆直径1mm,光反射迟钝,双眼向右凝视,伸舌不能,颈强直,胸廓对称,双侧呼吸运动对称,未闻及干湿罗音,心前区无隆起,心率68次/分,心律齐,未闻及病理性杂音,腹软,无压痛、无反跳痛及肌紧张,四肢肌力0级,四肢肌张力均增高,以右侧肢体明显,双侧病理征阳性。NIHSS评分38分(意识3分+意识水平提问2分+意识水平指令2分+凝视2分+视野2分+面瘫3分+上下肢运动16分+感觉2分+语言3分+构音障碍2分+忽视2分)。院前mRS评分0分

辅助检查:心电图为窦性心律,随机血糖5.2mmol/L




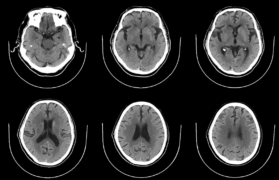
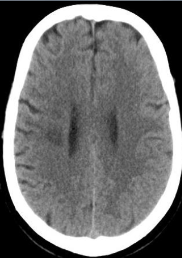
影像诊断




急诊头颅CT

病历夹什么径技·第152期|串联营病历夹:川陕大营_https://www.jmylbn.com_新闻资讯_第8张


急诊头颈部CTA

病历夹什么径技·第152期|串联营病历夹:川陕大营_https://www.jmylbn.com_新闻资讯_第9张
病历夹什么径技·第152期|串联营病历夹:川陕大营_https://www.jmylbn.com_新闻资讯_第10张
<<滑动查看下一张图片>>


定位:后循环,定性:缺血性脑卒中

诊断:急性脑梗死(TOAST分型,大动脉粥样硬化型?心源性栓塞?),高血压病2级,极高危




手术方案




  • 予以阿替普酶静脉溶栓,DNT:16分钟

  • 抽吸(+支架)取栓

  • 器械选择:Aperio支架、微导管、中间导管 、微导丝,sofia导管等

  • 备颈动脉支架(WALLSTENT)、椎动脉支架(SD等)、颅内支架、球囊等

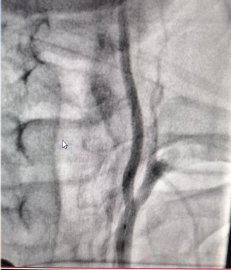
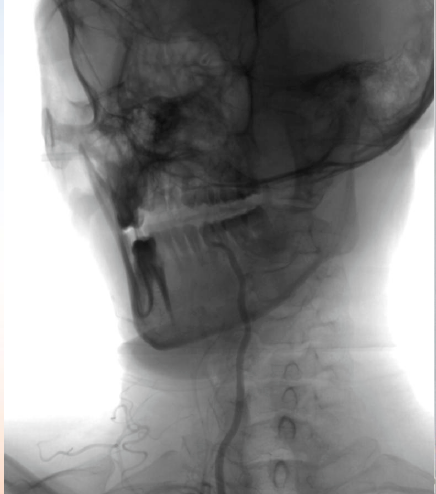
术前右侧椎动脉造影

病历夹什么径技·第152期|串联营病历夹:川陕大营_https://www.jmylbn.com_新闻资讯_第11张
病历夹什么径技·第152期|串联营病历夹:川陕大营_https://www.jmylbn.com_新闻资讯_第12张
病历夹什么径技·第152期|串联营病历夹:川陕大营_https://www.jmylbn.com_新闻资讯_第13张<<滑动查看下一张图片>>


术前左侧椎动脉造影

病历夹什么径技·第152期|串联营病历夹:川陕大营_https://www.jmylbn.com_新闻资讯_第14张
病历夹什么径技·第152期|串联营病历夹:川陕大营_https://www.jmylbn.com_新闻资讯_第15张
病历夹什么径技·第152期|串联营病历夹:川陕大营_https://www.jmylbn.com_新闻资讯_第16张
<<滑动查看下一张图片>>


左侧颈总动脉造影

病历夹什么径技·第152期|串联营病历夹:川陕大营_https://www.jmylbn.com_新闻资讯_第17张


右侧颈总动脉造影

病历夹什么径技·第152期|串联营病历夹:川陕大营_https://www.jmylbn.com_新闻资讯_第18张
病历夹什么径技·第152期|串联营病历夹:川陕大营_https://www.jmylbn.com_新闻资讯_第19张
病历夹什么径技·第152期|串联营病历夹:川陕大营_https://www.jmylbn.com_新闻资讯_第20张
<<滑动查看下一张图片>>


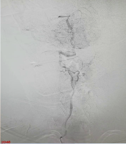
左侧椎动脉起始部成形

病历夹什么径技·第152期|串联营病历夹:川陕大营_https://www.jmylbn.com_新闻资讯_第21张
病历夹什么径技·第152期|串联营病历夹:川陕大营_https://www.jmylbn.com_新闻资讯_第22张
<<滑动查看下一张图片>>


确认血栓远近端

病历夹什么径技·第152期|串联营病历夹:川陕大营_https://www.jmylbn.com_新闻资讯_第23张


血管再通后造影

病历夹什么径技·第152期|串联营病历夹:川陕大营_https://www.jmylbn.com_新闻资讯_第24张


血管再通及左椎支架植入

病历夹什么径技·第152期|串联营病历夹:川陕大营_https://www.jmylbn.com_新闻资讯_第25张
病历夹什么径技·第152期|串联营病历夹:川陕大营_https://www.jmylbn.com_新闻资讯_第26张
病历夹什么径技·第152期|串联营病历夹:川陕大营_https://www.jmylbn.com_新闻资讯_第27张
<<滑动查看下一张图片>>


左椎支架植入后造影

病历夹什么径技·第152期|串联营病历夹:川陕大营_https://www.jmylbn.com_新闻资讯_第28张




术后情况


呼之能应,言语欠清,四肢可见肢体活动。

查体:神志嗜睡状,言语欠清,双瞳等大形圆直径1.5mm,光反射迟钝,双眼可见眼球活动,伸舌居中,四肢肌力2+级,四肢肌张力不高,双侧病理征阳性。NIHSS评分15分(意识1分+意识水平提问1分+意识水平指令1分+凝视1分+视野1分+面瘫0分+上下肢运动6分+感觉2分+语言1分+构音障碍1分)。


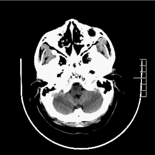
术后即刻、14小时与18小时复查头颅CT

病历夹什么径技·第152期|串联营病历夹:川陕大营_https://www.jmylbn.com_新闻资讯_第29张
病历夹什么径技·第152期|串联营病历夹:川陕大营_https://www.jmylbn.com_新闻资讯_第30张
病历夹什么径技·第152期|串联营病历夹:川陕大营_https://www.jmylbn.com_新闻资讯_第31张
病历夹什么径技·第152期|串联营病历夹:川陕大营_https://www.jmylbn.com_新闻资讯_第32张
<<滑动查看下一张图片>>




病历夹什么径技·第152期|串联营病历夹:川陕大营_https://www.jmylbn.com_新闻资讯_第33张


问答


病历夹什么径技·第152期|串联营病历夹:川陕大营_https://www.jmylbn.com_新闻资讯_第34张
病历夹什么径技·第152期|串联营病历夹:川陕大营_https://www.jmylbn.com_新闻资讯_第35张
张茹教授

双侧椎动脉起始部闭塞,右侧椎动脉颅内段显影良好,左侧椎动脉颅内段显影不佳,选择哪一侧取栓更合适?

谭小林教授
病历夹什么径技·第152期|串联营病历夹:川陕大营_https://www.jmylbn.com_新闻资讯_第36张

在术中发现右侧椎动脉存在弯曲,手术尝试无法进入,因此选择左侧取栓,属于术中临时选择左侧。
病历夹什么径技·第152期|串联营病历夹:川陕大营_https://www.jmylbn.com_新闻资讯_第35张
张茹教授

术后14小时小脑梗死灶水肿,四脑室显影不佳,是否需要急诊后颅去骨瓣减压?

谭小林教授
病历夹什么径技·第152期|串联营病历夹:川陕大营_https://www.jmylbn.com_新闻资讯_第36张

认为去骨瓣更好,但该患者进行去骨瓣选择时家属选择不去骨瓣,结果发现患者预后不佳。




专家建议

#张茹 教授#

术前评估核心梗死灶是必要的,对于后循环急性脑梗死患者,急诊DWI应该作为取栓前的前提,可以有效预测患者预后。

第二节

颈动脉次全闭塞负性重构的介入选择

来自西安交通大学第二附属医院的高震教授分享了一例颈内动脉串联的病例。

病历夹什么径技·第152期|串联营病历夹:川陕大营_https://www.jmylbn.com_新闻资讯_第39张




患者基本情况


患者:55岁,女性,于2021年11月15日入院。

主诉:左下肢无力2周

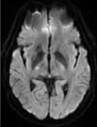
现病史:2周前劳动时出现左下肢无力,行走拖曳,伴头痛,以枕部为著,伴头晕,昏沉感,伴吞咽异物感,伴气短,无饮水呛咳,无视物旋转,无言语含糊,无肢体麻木,无视物重影等,就诊于我院,行DWI示:右侧放射冠性脑梗死。发病来,精神、食纳、夜休可,小便正常,大便稍干燥,体重无明显改变。

既往史:高血压8年,血压最高145/107mmHg,口服“苯磺酸左氨氯地平片2.5mgQD””,血压控制;糖尿病6年,现口服“达格列净10mgQD”,“西格列汀100mgQD”,血糖控制可。5月前因左上肢无力当地医院诊断为“急性脑梗死脑血管造影示右侧颈内动脉眼动脉段以远闭塞,给予阿司匹林、氯吡格雷、阿托伐他汀口服,后自行改为中药口服;婚育史、个人史、家族史无特殊。

查体:体温36.3℃,脉搏79次/分,呼吸18次分,血压133/89mmHg。心肺腹查体大致正常。

神经系统查体:意识清楚,言语流利,高级智能正常,颅神经查体未见明显异常。四肢肌张力正常,左下肢肌力IV级,左上肢及右侧肢体肌力V级,左上肢腱反射增强,右上肢及双下肢腱反射对称活跃,双侧共济运动稳准,双侧浅深感觉正常,病理征未引出,脑膜刺激征阴性。NIHSS评分1分。





影像诊断




颅脑DWI

病历夹什么径技·第152期|串联营病历夹:川陕大营_https://www.jmylbn.com_新闻资讯_第40张
病历夹什么径技·第152期|串联营病历夹:川陕大营_https://www.jmylbn.com_新闻资讯_第41张
<<滑动查看下一张图片>>


诊断:右侧放射冠区急性脑梗死。


颈部血管高分辨

病历夹什么径技·第152期|串联营病历夹:川陕大营_https://www.jmylbn.com_新闻资讯_第42张


诊断:右侧颈内动脉近端腔内异常改变,考虑夹层可能,右侧颈内动脉C1-C4管壁弥漫性增厚,管腔窄。


脑灌注成像 

病历夹什么径技·第152期|串联营病历夹:川陕大营_https://www.jmylbn.com_新闻资讯_第43张
病历夹什么径技·第152期|串联营病历夹:川陕大营_https://www.jmylbn.com_新闻资讯_第44张
病历夹什么径技·第152期|串联营病历夹:川陕大营_https://www.jmylbn.com_新闻资讯_第45张
<<滑动查看下一张图片>>


诊断:右侧额顶颞叶及基底节区局部血流灌注减低,请结合临床。




手术方案




  • 手术指征:

    临床症状:右侧颈内动脉脑梗死,药物治疗效果欠佳

    DSA示右侧颈内动脉眼动脉段次全闭塞

    CTP示右侧大脑半球低灌注改变

  • 拟行术式:右侧颈内动脉眼动脉段球囊扩张支架成形术

  • 麻醉方式:全身麻醉

  • 手术风险:全麻风险、斑块脱落、过度灌注综合征、血管夹层、血管破裂、眼动脉闭塞失明等

  • 器械准备:通路系统:8F导引导管、5F中间导管;支撑系统Synchor2-微导丝、SL-10球囊扩张:Gateway2.0×20mm;支架系统:Selectplus微导管、Enterprise4.5×28mm




术后




右侧颈总动脉造影

病历夹什么径技·第152期|串联营病历夹:川陕大营_https://www.jmylbn.com_新闻资讯_第46张
病历夹什么径技·第152期|串联营病历夹:川陕大营_https://www.jmylbn.com_新闻资讯_第47张
<<滑动查看下一张图片>>


  • 出院时,患者意识清楚,精神可,夜休可,食纳可,大小便正常。
  • 查体:生命体征平稳,心肺腹查体大致正常。神经系统查体基本同术前。(NIHSS评分1分)



病历夹什么径技·第152期|串联营病历夹:川陕大营_https://www.jmylbn.com_新闻资讯_第48张


问答


病历夹什么径技·第152期|串联营病历夹:川陕大营_https://www.jmylbn.com_新闻资讯_第49张


病历夹什么径技·第152期|串联营病历夹:川陕大营_https://www.jmylbn.com_新闻资讯_第50张
李经纶教授

串联病变患者远端次全闭塞导致近段血管塌陷细小,还是负性重构导致细小?常规的检查方法有哪些是术前要明确的?

高震教授
病历夹什么径技·第152期|串联营病历夹:川陕大营_https://www.jmylbn.com_新闻资讯_第51张

冠脉负性重构一般只是指狭窄位置血管病变,关于颈动脉的负性重构烟雾病更多一些。目前对于颈动脉,有的观点认为内膜增厚增生、血管缩窄都是负性重构,目前颈动脉负性重构并未有准确观点。术前要明确的常规的检查方法是血管B超,高端一些检查包括高分辨磁共振,最精确的检查是血管内超声。

病历夹什么径技·第152期|串联营病历夹:川陕大营_https://www.jmylbn.com_新闻资讯_第52张
李经纶教授

远端C5-6次全闭塞要不要放支架?再狭窄率如何?

高震教授
病历夹什么径技·第152期|串联营病历夹:川陕大营_https://www.jmylbn.com_新闻资讯_第53张

该患者C-6段是放了支架的,是由于在做手术的过程中发现患者并不是自旋闭塞,担心形成夹层导致完全闭塞,因此使用支架并术后使用替罗非班。
病历夹什么径技·第152期|串联营病历夹:川陕大营_https://www.jmylbn.com_新闻资讯_第52张
李经纶教授

处理方式球囊扩张+多支架?

高震教授
病历夹什么径技·第152期|串联营病历夹:川陕大营_https://www.jmylbn.com_新闻资讯_第53张

术后并未使用球囊扩张,术中由于高分辨检查结果报告夹层,因此使用保护伞,由于病变较长,因此使用多支架覆盖。



专家建议

#李经纶 教授#

在人体上较难确认炎症与动脉硬化,动物实验可以考虑进行离体动脉试验设计研究,高血压造成血管管壁的变化可以通过该类试验得到确认。

第三节

右侧颈内动脉起始部急性闭塞并右侧大脑中动脉急性血栓

来自延安大学咸阳医院的王琨教授分享了一例右侧颈内动脉急性闭塞并大脑中动脉血栓的病例。

病历夹什么径技·第152期|串联营病历夹:川陕大营_https://www.jmylbn.com_新闻资讯_第56张




患者基本情况




患者:女,57岁

主诉:突发言语不利伴左侧肢体活动不灵3小时

现病史:患者3小时前出现言语不利,左侧肢体麻木无力,无头痛恶心、呕吐,至当地医院,治疗后症状持续加重,为进一步诊治,急来我院。病程中无发热,无肢体抽搐,无大小便失禁。

既往史:否认高血压、糖尿病、冠心病等病史,无吸烟喝酒等不良嗜好。

入院查体:体温:36.1℃℃,心率60次分,呼吸:19次分,血压140/86mmHg,意识呈模糊状,刺痛睁眼,言语不利。双侧瞳孔等大等圆,直径约3.0mm,对光反射灵敏。鼻唇沟左浅,口角左低,伸舌偏左,左侧肢体肌力II级,左侧Babinski症(++),右侧阴性。GCS评分:10分,NIHSS评分:15分,MRS4分。




影像诊断




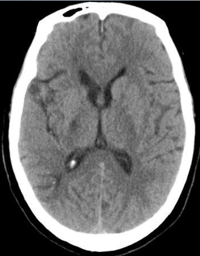
入院CT

病历夹什么径技·第152期|串联营病历夹:川陕大营_https://www.jmylbn.com_新闻资讯_第57张
病历夹什么径技·第152期|串联营病历夹:川陕大营_https://www.jmylbn.com_新闻资讯_第58张
<<滑动查看下一张图片>>


术前检查

病历夹什么径技·第152期|串联营病历夹:川陕大营_https://www.jmylbn.com_新闻资讯_第59张
病历夹什么径技·第152期|串联营病历夹:川陕大营_https://www.jmylbn.com_新闻资讯_第60张
病历夹什么径技·第152期|串联营病历夹:川陕大营_https://www.jmylbn.com_新闻资讯_第61张
<<滑动查看下一张图片>>


初步诊断:1.脑梗死(右)急性期2.右侧颈内动脉起始部次全闭塞3.右侧大脑中动脉M1段血栓形成




手术方案




  • 术前评估:患者发病3小时,头颅CT排除颅内出血,急性起病,突然出血言语不利,左侧肢体麻木无力,鼻唇沟左浅,口角左低,伸舌偏左,左侧Babinski症(++),右侧阴性。患者急性脑梗死诊断明确,发病后症状持续加重,考虑大血管事件。患者无急诊DSA禁忌,建议行DSA检查,必要时介入治疗。经过与家属充分沟通,家属理解手术风险,同意手术治疗。故选择右侧股动脉穿刺置管,先行脑血管造影术,之后再明确下一步治疗方案。

  • 药物准备:1、术前顿服300mg阿司匹林+300mg硫酸氢氯吡格雷2、术中充分肝素化

  • 手术方案:急诊右侧颈动脉起始部球囊扩张+支架置入术+取栓术

  • 术中涉及介入器械材料:8F动脉鞘、5F单弯导管、6F抽吸导管、8F导引导管、0.017in微导管、0.035in泥鳅导丝、0.018in交换导丝、0.014in微导丝、球囊Boston Scientific Sterling MR、支架Boston Scientific Carotid WALLSTENT、保护伞Boston Scientific FilterWireEZ




手术过程


1、8F导引导管到位后造影,见右侧颈内动脉起始部闭塞,微导丝及微导管穿过闭塞端,微导管造影确认真腔后,交换出微导管。

手术过程

病历夹什么径技·第152期|串联营病历夹:川陕大营_https://www.jmylbn.com_新闻资讯_第62张

2、将BostonScientificSterlingMR2.5*20mm球囊置于右侧颈内动脉起始部,将压力打至8个大气压。

手术过程

病历夹什么径技·第152期|串联营病历夹:川陕大营_https://www.jmylbn.com_新闻资讯_第63张

3、小球囊扩张后见右侧颈内动脉起始部重度狭窄,右侧大脑中动脉分叉处血栓形成。

手术过程

病历夹什么径技·第152期|串联营病历夹:川陕大营_https://www.jmylbn.com_新闻资讯_第64张

4、使用6F中间导管抽吸后,右侧大脑中动脉血流通畅。

手术过程

病历夹什么径技·第152期|串联营病历夹:川陕大营_https://www.jmylbn.com_新闻资讯_第65张
病历夹什么径技·第152期|串联营病历夹:川陕大营_https://www.jmylbn.com_新闻资讯_第66张
<<滑动查看下一张图片>>

5、保护伞到位后,使用BostonScientificSterling MR4.0*30mm球囊扩张,将压力打至14个大气压,造影见右侧颈内动脉起始部狭窄扩张满意。

手术过程

病历夹什么径技·第152期|串联营病历夹:川陕大营_https://www.jmylbn.com_新闻资讯_第67张

6、右侧颈内动脉起始部置入Carotid WALLSTENT7*40mm自膨式支架,造影见:支架贴壁良好,斑块完全覆盖,血流通畅,管腔打开良好,右侧大脑中动脉血流通畅。支架置入后观察30分钟,支架内血流通畅。

手术过程

病历夹什么径技·第152期|串联营病历夹:川陕大营_https://www.jmylbn.com_新闻资讯_第68张




术后情况


  • 术后第一日情况:患者意识呈清醒状,自动睁眼,言语不利。双侧瞳孔等大等圆,直径约3.0mm,对光反射灵敏。左侧肢体肌力IV级。

  • 术后第二天复查CT,外渗造影剂吸收。

  • 术后第三天复查CT,外渗造影剂进一步吸收。

  • 术后第九日情况:患者意识呈清醒状,自动睁眼,言语基本流利。双侧瞳孔等大等圆,直径约3.0mm,对光反射灵敏。左侧肢体肌力IV级。





病历夹什么径技·第152期|串联营病历夹:川陕大营_https://www.jmylbn.com_新闻资讯_第48张


问答


病历夹什么径技·第152期|串联营病历夹:川陕大营_https://www.jmylbn.com_新闻资讯_第49张


病历夹什么径技·第152期|串联营病历夹:川陕大营_https://www.jmylbn.com_新闻资讯_第71张
孙祥荣教授

发病3小时在溶栓时间窗内没有溶栓的原因是什么?

王琨教授
病历夹什么径技·第152期|串联营病历夹:川陕大营_https://www.jmylbn.com_新闻资讯_第72张

病人发病时间较短仅为3小时,考虑大血管事件未进行溶栓。

病历夹什么径技·第152期|串联营病历夹:川陕大营_https://www.jmylbn.com_新闻资讯_第73张
孙祥荣教授

手术过程中,大脑中开始是否有血栓?是否是颈动脉栓子的迁移造成抽出的血栓较多? 

王琨教授
病历夹什么径技·第152期|串联营病历夹:川陕大营_https://www.jmylbn.com_新闻资讯_第72张

血栓较多可能是由于出现了颈动脉的血栓逃逸。



专家建议

#孙祥荣 教授#

神经功能评分具体到评分项mRS急性期可以不评估。术前不建议使用负荷量的双抗,不然容易造成出血。


第四节

右侧前循环串联病变的开通

来自崇州市人民医院的梁世福教授分享了一例颈C1-大脑中动脉前循环串联病变的病例。

病历夹什么径技·第152期|串联营病历夹:川陕大营_https://www.jmylbn.com_新闻资讯_第75张




患者基本情况


患者:男性,82岁,因左侧肢体无力3+小时入院,发病时间05点50分,到院时间09点28分

既往:高血压、糖尿病病史8+年。

查体BP 178/76mmHg,意识清楚、构音障碍、左侧面瘫、左侧肢体肌力5-级。NIHSS 5分MRS 1分。

随机血糖:12.4mmol/L

心电图:窦性心律,电轴不偏

血常规血小板计数106×10^9/L

头颅CT:右侧大脑中动脉高密度征,未见出血




影像诊断




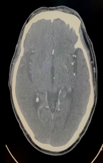
急诊头颅CT 

病历夹什么径技·第152期|串联营病历夹:川陕大营_https://www.jmylbn.com_新闻资讯_第76张

定位诊断:右侧大脑半球

定性诊断:急性缺血性脑梗死

TOAST 分型:小动脉粥样硬化型


CTA:右侧颈内动脉、大脑中动脉未显影

病历夹什么径技·第152期|串联营病历夹:川陕大营_https://www.jmylbn.com_新闻资讯_第77张
病历夹什么径技·第152期|串联营病历夹:川陕大营_https://www.jmylbn.com_新闻资讯_第78张
病历夹什么径技·第152期|串联营病历夹:川陕大营_https://www.jmylbn.com_新闻资讯_第79张
<<滑动查看下一张图片>>


CTP:右侧大脑半球低灌注

病历夹什么径技·第152期|串联营病历夹:川陕大营_https://www.jmylbn.com_新闻资讯_第80张


初始造影RICA起始位

病历夹什么径技·第152期|串联营病历夹:川陕大营_https://www.jmylbn.com_新闻资讯_第81张


初始造影后循环+LICA正位

病历夹什么径技·第152期|串联营病历夹:川陕大营_https://www.jmylbn.com_新闻资讯_第82张




手术方案


初始治疗:rtPA静脉溶栓0.9mg/Kg

进一步治疗:溶栓后2小时候复查头颅CT检查未见出血,使用替罗非班静脉泵入治疗

入院后31小时病情加重

查体:嗜睡,构音障碍,双眼向右凝视,左侧面瘫,左侧肢体上下肢均为0级,NIHSS 15(+10)

复查头颅CT未见出血




手术过程


在Synchro微导丝与Rebar-18支架导管的辅助下顺利超选上去,借助Transend导丝使用球囊穿梭技术将Sprinter(3*15)球囊装入血管真腔中。

过程影像

病历夹什么径技·第152期|串联营病历夹:川陕大营_https://www.jmylbn.com_新闻资讯_第83张
病历夹什么径技·第152期|串联营病历夹:川陕大营_https://www.jmylbn.com_新闻资讯_第84张
<<滑动查看下一张图片>>

由于guiding通过失败所以先处理近端,将Spider FX(5)保护伞置入进行了远端保护,近端放置了WALLSTENT支架,然后收伞,顺势将guider通过,结果其无法到达远端。

过程影像

病历夹什么径技·第152期|串联营病历夹:川陕大营_https://www.jmylbn.com_新闻资讯_第85张
病历夹什么径技·第152期|串联营病历夹:川陕大营_https://www.jmylbn.com_新闻资讯_第86张
<<滑动查看下一张图片>>

狭窄段用四个球囊后扩张,将cat6推过狭窄段,发现可能存在远端栓塞,因此将guider退了一下。

过程影像

病历夹什么径技·第152期|串联营病历夹:川陕大营_https://www.jmylbn.com_新闻资讯_第87张

对侧造影显示,右侧大脑前动脉供血区血流较好。

过程影像

病历夹什么径技·第152期|串联营病历夹:川陕大营_https://www.jmylbn.com_新闻资讯_第88张

接下来处理远端,Synchro微导丝与Rebar微导管的辅助下,选择置入Solitaire(4-20)支架,支架打开后使用抽拉结合的方式使血管再通。

过程影像

病历夹什么径技·第152期|串联营病历夹:川陕大营_https://www.jmylbn.com_新闻资讯_第89张

取栓后造影如下:

手术评估

病历夹什么径技·第152期|串联营病历夹:川陕大营_https://www.jmylbn.com_新闻资讯_第90张
病历夹什么径技·第152期|串联营病历夹:川陕大营_https://www.jmylbn.com_新闻资讯_第91张
病历夹什么径技·第152期|串联营病历夹:川陕大营_https://www.jmylbn.com_新闻资讯_第92张
<<滑动查看下一张图片>>




术后情况


  • 术后治疗:

    1.替罗非班24小时

    2.停替罗非班前6小时桥接阿司匹林肠溶片、氯吡格雷

    3.严格控制血压

    4.连续3天双侧大脑中动脉TCD监测血流

  • 术后24小时,左侧肢体肌力4级,凝视消失,NIHSS 6





病历夹什么径技·第152期|串联营病历夹:川陕大营_https://www.jmylbn.com_新闻资讯_第48张


问答


病历夹什么径技·第152期|串联营病历夹:川陕大营_https://www.jmylbn.com_新闻资讯_第49张
病历夹什么径技·第152期|串联营病历夹:川陕大营_https://www.jmylbn.com_新闻资讯_第95张
宋波教授

这种重度的原位狭窄,CTP有大面积的一个缺血带的话,是否一期急诊治疗,还是等到病人逐渐加重时,进行二期治疗?

梁世福教授
病历夹什么径技·第152期|串联营病历夹:川陕大营_https://www.jmylbn.com_新闻资讯_第96张

基于初步影像结果并未形成有效的手术方案,因此未进行一期急诊治疗。





专家建议

#韩建峰 教授#

建议重度的原位狭窄、CTP有大面积的一个缺血带的患者,若溶栓后没有完全恢复正常要积极进行开通。但此类病人并不急于进行一期急诊治疗,可以首先进行双抗治疗,间隔1小时后再进行急诊处理,这样处理可以保证充裕的治疗时间。








病历夹什么径技·第152期|串联营病历夹:川陕大营_https://www.jmylbn.com_新闻资讯_第97张




扫码观看回放




串联病变术后抗栓药物的选择与使用方案

对于抗血小板抗栓的双抗药物的使用方面,王琨教授分享的后循环病例中术前顿服300mg阿司匹林+300mg硫酸氢氯吡格雷,但使用此双抗药物患者出现出血可能会影响手术比较棘手,孙祥荣教授与张茹教授分享的前循环病例均不建议术前口服使用双抗药物,但替罗非班不太一样,其代谢结束较快半衰期短,因此可静脉使用替罗非班。在梁世福教授分享的前循环病例中术前静脉使用替罗非班,术后24小时继续使用替罗非班,桥接双抗。韩建峰教授在实践中一般遵循溶栓超过1小时可正常使用替罗非班,溶栓未超过1小时考虑减量,但大部分患者做完手术已超过1小时,因此减量情况较少。

下一期


烽火话题



基于术前影像提前选择通路产品,比如栓塞/狭窄型病变、前/后循环病变,选择什么样的通路产品?

“悠悠洞庭情,逶迤岭南梦”,串联的路上我们一直在努力,串联的路上我们一直在创新,砥砺前行。烽火相传,下一场“串联营-百越洞庭行营”大会将于2022年6月20日举行,届时,我们乔宏宇教授、李先锋教授将与大家进一步思考和讨论。





病历夹什么径技·第152期|串联营病历夹:川陕大营_https://www.jmylbn.com_新闻资讯_第98张
病历夹什么径技·第152期|串联营病历夹:川陕大营_https://www.jmylbn.com_新闻资讯_第99张

神经介入在线作为中国卒中学会神经介入分会的官方公众号,现已成立六年。作为最早创建的神经介入专业的学术交流平台,秉承合作、创新、交流的宗旨,为医务工作者提供国内外神经介入领域最新资讯、指南,聚焦难点深度评论,引领学术前沿。2022年致力搭建神经介入领域国内外最新医学资讯、研究进展、病例讨论、趣味科普等各项学术交流互动共享平台,整合医疗资源,发挥联盟优势,风雨共济,守候健康,我们在这里等你!




病历夹什么径技·第152期|串联营病历夹:川陕大营_https://www.jmylbn.com_新闻资讯_第100张
神经介入在线投稿:sjjrzx@hh-medic.com
病历夹什么径技·第152期|串联营病历夹:川陕大营_https://www.jmylbn.com_新闻资讯_第101张