病历夹什么径技·第151期|串联营病历夹:京广连营

新闻资讯2026-04-24 05:49:48

病历夹什么径技·第151期|串联营病历夹:京广连营_https://www.jmylbn.com_新闻资讯_第1张


2022年5月24日19:00-20:30,“神经介入广义串联病变诊疗技巧操演——京广联营” 成功举办,可谓是:南北大咖学术丰,实例要点缤纷呈。

病历夹什么径技·第151期|串联营病历夹:京广连营_https://www.jmylbn.com_新闻资讯_第2张

扫码回顾精彩时刻


本次活动由天坛医院霍晓川教授主持。
病历夹什么径技·第151期|串联营病历夹:京广连营_https://www.jmylbn.com_新闻资讯_第3张


天坛医院缪中荣教授、深圳医院刘亚杰教授担任大会主席。
病历夹什么径技·第151期|串联营病历夹:京广连营_https://www.jmylbn.com_新闻资讯_第4张

北京朝阳医院汪阳教授、天坛医院孙瑄教授、孙逸仙纪念医院杨新光教授、深圳医院贺雄军教授作为讨论点评嘉宾

病历夹什么径技·第151期|串联营病历夹:京广连营_https://www.jmylbn.com_新闻资讯_第5张


特邀请京煤集团总医院王登宇教授、揭阳市人民医院罗世炜教授、丰台右安门医院白志峰教授、化州市人民医院李志亮教授带来四例不尽相同的串联病变进行了精彩报告。
病历夹什么径技·第151期|串联营病历夹:京广连营_https://www.jmylbn.com_新闻资讯_第6张


现在让我们一起重温这一场注重实战实用的学术活动吧。
第一节

拨开动雾见天日

来自北京京煤集团总医院的王登宇教授分享了一例前循环串联病变的病例。

病历夹什么径技·第151期|串联营病历夹:京广连营_https://www.jmylbn.com_新闻资讯_第7张




患者基本情况


患者:男,76岁,主因"进行性右侧肢体无力伴言语不能10小时余"入院。
患者今晨起4点左右自觉头晕不适,无明显特意表现,未给予重视,并于早6点半左右自行进食,进餐后自觉右侧肢体活动不佳,并摔倒于家中,被家属发现后打120送至我院急诊,救护车中,患者病情出现好转,上肢抬举及下肢负重均改善,查头颅CT考虑新发脑梗死,给予办理入院手续,午1130患者家属欲办理住院手续过程中,突发言语不能,同时右侧肢体出现活动不能,病情明显加重;
给予安排脑血管造影评估颅脑情况;做术前准备。
既往史:血糖波动病史1年余,平素空腹血糖7mmol/L,未系统就诊治疗。10余年前曾就诊考虑心绞痛,平素间断应用拜阿司匹林、硝酸甘油;
查体:嗜睡状态,完全运动性失语,双眼左侧凝视,左侧肢体可见自主活动,肌力约4+级,右侧肢体未见自主活动,肌力约0级。




影像诊断




DSA

病历夹什么径技·第151期|串联营病历夹:京广连营_https://www.jmylbn.com_新闻资讯_第8张
病历夹什么径技·第151期|串联营病历夹:京广连营_https://www.jmylbn.com_新闻资讯_第9张
<<滑动查看下一张图片>>


结论:左侧颈动脉起始部位出现断流,右侧颈动脉没有明显代偿,血管形态较光滑。




手术方案




手术方案

病历夹什么径技·第151期|串联营病历夹:京广连营_https://www.jmylbn.com_新闻资讯_第10张
病历夹什么径技·第151期|串联营病历夹:京广连营_https://www.jmylbn.com_新闻资讯_第11张
病历夹什么径技·第151期|串联营病历夹:京广连营_https://www.jmylbn.com_新闻资讯_第12张
病历夹什么径技·第151期|串联营病历夹:京广连营_https://www.jmylbn.com_新闻资讯_第13张
<<滑动查看下一张图片>>


  • 球囊4*30mm打开通道后进行造影,发现远端闭塞,考虑到其因局部血栓逃逸至远端。

  • 在球囊半扩张的状态下,输送Guiding至C2段,可明显看到血栓存在。

  • 将5F中间导管伸至闭塞处,抽吸泵1次抽出4cm左右血栓。

  • 但在复查造影过程中发现大脑起始部位有微小血栓,选用微导管:贴近血栓处抽吸成功,且造影结果较为理想。

  • 导丝回撤时发现“真凶”——颈动脉开口处C1段夹层样改变。

  • 选用覆盖率较高的Carotid Wallstent支架覆盖夹层全段,维持血管重建,持续替罗非班6ml/H。




手术总结




  • 相对于机械取栓,动脉导管抽吸术在时间与空间解剖上似乎更明显。
  • 新鲜血栓存在逃逸潜在风险,近段抽吸可能一定程度解除。
  • Carotid Wallstent支架覆盖率高,对于夹层样覆盖优选。



病历夹什么径技·第151期|串联营病历夹:京广连营_https://www.jmylbn.com_新闻资讯_第14张


问答


病历夹什么径技·第151期|串联营病历夹:京广连营_https://www.jmylbn.com_新闻资讯_第15张
病历夹什么径技·第151期|串联营病历夹:京广连营_https://www.jmylbn.com_新闻资讯_第16张
贺雄军教授

该患者发病机制是什么?夹层是原发的还是继发的?

王登宇教授
病历夹什么径技·第151期|串联营病历夹:京广连营_https://www.jmylbn.com_新闻资讯_第17张

该患者是由于自身原发性血管问题,有外伤病史,起始部位可能有重度狭窄,由于侧位显影比正位显影更明显,故考虑外伤后导致的夹层样改变。
病历夹什么径技·第151期|串联营病历夹:京广连营_https://www.jmylbn.com_新闻资讯_第16张
贺雄军教授

为跟进指引管,首选球囊大小如何选择?

王登宇教授
病历夹什么径技·第151期|串联营病历夹:京广连营_https://www.jmylbn.com_新闻资讯_第17张

首先使用2.0导管预扩,以判断远端血管形态,但跟进微导管后发现远端滞留表现,考虑到远端也有栓塞,怀疑血栓是由近段直接脱落到远端,故使用4*30mm球囊。导管回撤时使用Carotid Wallstent支架,未使用保护伞是考虑到保护伞会对血管有牵拉,并减少操作流程以保证手术时间。




专家建议

#贺雄军 教授#

首选小球囊跟进。处理远端病变后,应考虑在远端放置保护伞(FilterWire等)再回撤导管。

第二节

一台串联病变取栓病例分享

来自揭阳市人民医院的罗世炜教授分享了一例前循环串联病变的病例。

病历夹什么径技·第151期|串联营病历夹:京广连营_https://www.jmylbn.com_新闻资讯_第20张




患者基本情况



病历夹什么径技·第151期|串联营病历夹:京广连营_https://www.jmylbn.com_新闻资讯_第21张





影像诊断




影像诊断

病历夹什么径技·第151期|串联营病历夹:京广连营_https://www.jmylbn.com_新闻资讯_第22张
病历夹什么径技·第151期|串联营病历夹:京广连营_https://www.jmylbn.com_新闻资讯_第23张
病历夹什么径技·第151期|串联营病历夹:京广连营_https://www.jmylbn.com_新闻资讯_第24张
病历夹什么径技·第151期|串联营病历夹:京广连营_https://www.jmylbn.com_新闻资讯_第25张
<<滑动查看下一张图片>>

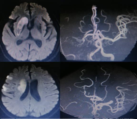
结论:左侧大脑半球多发梗死灶,T2 flair高信号区域小,左侧颈内-大脑中闭塞,T1 flair提示小出血灶后通过CT排除出血,初步确认为梗死/坏死。




手术方案




手术方案

病历夹什么径技·第151期|串联营病历夹:京广连营_https://www.jmylbn.com_新闻资讯_第26张
病历夹什么径技·第151期|串联营病历夹:京广连营_https://www.jmylbn.com_新闻资讯_第27张
病历夹什么径技·第151期|串联营病历夹:京广连营_https://www.jmylbn.com_新闻资讯_第28张
病历夹什么径技·第151期|串联营病历夹:京广连营_https://www.jmylbn.com_新闻资讯_第29张
<<滑动查看下一张图片>>


  • 首先放置1型弓,排除左侧颈源系统嫌疑,右侧颈源系统由右向左通过软脑膜部分代偿,后循环向前循环少许代偿。
  • 左颈总造影显示C1远端逆流,提示串联病变。
  • 输送微导丝与中间管,中间管抽吸后在C7段冒烟(A),遂进行微导管造影(B)
  • 将中间管送至AB段进行抽吸,中间管只能在M1中段抽吸。
  • 抽吸后正位造影显示颅内操作效果良好。
  • 输送保护伞,保护伞下撤指引造影侧位C1狭窄。
  • 4*30球囊预扩后,将7*40 Carotid Wallstent支架植入后正位,血流得到明显恢复。




术后评估




术后评估

病历夹什么径技·第151期|串联营病历夹:京广连营_https://www.jmylbn.com_新闻资讯_第30张
病历夹什么径技·第151期|串联营病历夹:京广连营_https://www.jmylbn.com_新闻资讯_第31张
病历夹什么径技·第151期|串联营病历夹:京广连营_https://www.jmylbn.com_新闻资讯_第32张
病历夹什么径技·第151期|串联营病历夹:京广连营_https://www.jmylbn.com_新闻资讯_第33张
<<滑动查看下一张图片>>


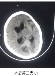
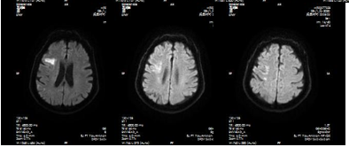
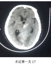
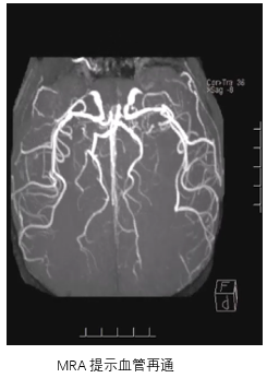
  • 术后即刻:去碘CT排除出血风险,梗死灶出现。
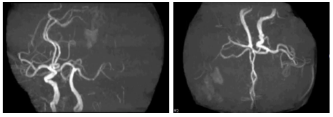
  • 术后一天:DWI显示梗塞面积没有明显增大,MRA提示血管再通,发现存在LMCA动脉瘤。
  • 术后四天:CT显示没有出血表现,梗死灶已经形成。
  • 术后3个月:复查CT显示恢复情况良好。



病历夹什么径技·第151期|串联营病历夹:京广连营_https://www.jmylbn.com_新闻资讯_第34张


问答


病历夹什么径技·第151期|串联营病历夹:京广连营_https://www.jmylbn.com_新闻资讯_第35张


病历夹什么径技·第151期|串联营病历夹:京广连营_https://www.jmylbn.com_新闻资讯_第36张
孙瑄教授

针对串联病变颅内段如MCA,直接ADAPT和SWIM对比,哪个更好?

罗世炜教授
病历夹什么径技·第151期|串联营病历夹:京广连营_https://www.jmylbn.com_新闻资讯_第37张

因为不知道患者是否存在动脉瘤,而SWIM需要使用微导管和微导丝,易捅破动脉瘤,使用ADAPT会减小这种风险。

病历夹什么径技·第151期|串联营病历夹:京广连营_https://www.jmylbn.com_新闻资讯_第38张
孙瑄教授

处理窦部狭窄,保护伞到位后,先退指引还是先退中间管,哪个更合理?

罗世炜教授
病历夹什么径技·第151期|串联营病历夹:京广连营_https://www.jmylbn.com_新闻资讯_第39张

如果颈动脉狭窄内有大量血栓,指引管边退边抽吸,可能会堵住指引,因此先退指引管更合理。
病历夹什么径技·第151期|串联营病历夹:京广连营_https://www.jmylbn.com_新闻资讯_第38张
孙瑄教授

如果颈动脉起始段病变较长、合并不稳定血栓,还会采取同样策略吗?

罗世炜教授
病历夹什么径技·第151期|串联营病历夹:京广连营_https://www.jmylbn.com_新闻资讯_第39张

如果近端闭塞病变比较长,合并不稳定血栓,会在保护伞的保护下,先回撤指引,再在保护伞的保护下,用中间管反复抽吸,再放支架。
病历夹什么径技·第151期|串联营病历夹:京广连营_https://www.jmylbn.com_新闻资讯_第42张
霍晓川教授

处理串联病变时,Guiding或长鞘时是否通过狭窄病变?

杨新光教授
病历夹什么径技·第151期|串联营病历夹:京广连营_https://www.jmylbn.com_新闻资讯_第43张

会选择球囊(2.5-3)BAT技术,在8F指引下通过近端病变,相当于球囊Guiding。




专家建议

#孙瑄 教授#

首选ADAPT是由于串联病变远端血栓负荷量不大,如果一次再通会大大缩短血管开通时间,同时减少反复的机械操作,利于后面处理近端狭窄。但血管路径较迂曲,血栓负荷量较大,抽吸导管不能很好地接触血栓,则需要使用SWIM,SWIM可以将“抽”和“拉”结合起来。


#罗世炜 教授#

为C1段迂曲的患者跟进8F指引较困难。输送微导管微导丝后,判断闭塞的路径,如果路径较为顺畅,则推进中间管。


#孙瑄 教授#

无论是“先远后近”还是“先近后远”,在近端闭塞病变比较长,合并不稳定血栓的情况下,建议采取先铺CarotidWallstent支架。
第三节

急诊取栓病例汇报

来自北京市丰台右安门的白志峰教授分享了三例前循环串联病变的病例。

病历夹什么径技·第151期|串联营病历夹:京广连营_https://www.jmylbn.com_新闻资讯_第44张


01
病例一
病历夹什么径技·第151期|串联营病历夹:京广连营_https://www.jmylbn.com_新闻资讯_第45张




患者基本情况




患者:马**,男,74岁,发作性左侧肢体无力3天。

入院前3天出现左侧肢体无力后自行缓解,后症状多次出现,20分钟内缓解均能缓解,当地医院CT未见出血,给予阿司匹林肠溶片100mg/日,症状仍有反复,自觉右侧肢体力弱。

入院查体:神清,言语流利,能独立行走,双侧肢体肌力5级,肌张力正常。NHISS 0分。

既往史:慢性阻塞性肺疾病20余年,平素无明显喘憋。

实验室检查:血小板331*109L,尿酸474umol/L,余未见明显异常。

患者于入院后约11小时左右再次出现左侧肢体无力症状。

查体:神清,言语流利,左侧肢体肌力0级,伸舌居中,无凝视。NHISS:9分。

给予静脉替罗非班。8ml推注,6ml/小时持续泵入。

患者症状30分钟无缓解。




影像诊断




影像诊断

病历夹什么径技·第151期|串联营病历夹:京广连营_https://www.jmylbn.com_新闻资讯_第46张
病历夹什么径技·第151期|串联营病历夹:京广连营_https://www.jmylbn.com_新闻资讯_第47张
病历夹什么径技·第151期|串联营病历夹:京广连营_https://www.jmylbn.com_新闻资讯_第48张
<<滑动查看下一张图片>>



结论:DWI高信号,患者无明显症状(额颞梗死),前交通动脉开放,右侧大脑中动脉显影,考虑右侧颈内动脉慢性闭塞,不除外急性闭塞及急性血栓栓塞。患者于入院后约11小时左右再次出现左侧肢体无力症状,给予静脉替罗非班8ml推注,6ml/小时持续泵入,30分钟症状无缓解。




手术方案




手术方案

病历夹什么径技·第151期|串联营病历夹:京广连营_https://www.jmylbn.com_新闻资讯_第49张
病历夹什么径技·第151期|串联营病历夹:京广连营_https://www.jmylbn.com_新闻资讯_第50张
病历夹什么径技·第151期|串联营病历夹:京广连营_https://www.jmylbn.com_新闻资讯_第51张
病历夹什么径技·第151期|串联营病历夹:京广连营_https://www.jmylbn.com_新闻资讯_第52张
<<滑动查看下一张图片>>


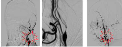
  • 急诊造影发现右侧颈内慢性闭塞,颈内起始部位光滑,基本不见残端。颈内动脉末端有显影,右侧大脑中动脉不显影,考虑病因是右侧颈内动脉慢性闭塞导致血流淤滞进而形成血栓,致使大脑中动脉闭塞。

  • 先疏通右侧颈内,放置Carotid Wallstent支架后,输送中间导管和Guiding取大脑中血栓,术后替罗非班持续泵入。


02
病例二
病历夹什么径技·第151期|串联营病历夹:京广连营_https://www.jmylbn.com_新闻资讯_第53张




患者情况




患者:男,71岁,言语不利伴左侧肢体无力6小时入院。外院CT未见异常高密度灶。
入院查体:嗜睡,运动性失语,左侧肢体肌力1级。NHISS:16分
既往史:冠心病数年,口服倍他乐克。入院血压144/74mmHg。
诊断:急性脑梗死(右侧大脑中动脉闭塞)





影像情况





影像情况

病历夹什么径技·第151期|串联营病历夹:京广连营_https://www.jmylbn.com_新闻资讯_第54张




手术方案




手术方案

病历夹什么径技·第151期|串联营病历夹:京广连营_https://www.jmylbn.com_新闻资讯_第55张
病历夹什么径技·第151期|串联营病历夹:京广连营_https://www.jmylbn.com_新闻资讯_第56张
病历夹什么径技·第151期|串联营病历夹:京广连营_https://www.jmylbn.com_新闻资讯_第57张
病历夹什么径技·第151期|串联营病历夹:京广连营_https://www.jmylbn.com_新闻资讯_第58张
<<滑动查看下一张图片>>


  • 急诊造影提示右侧颈内动脉起始部位光滑,没有残端。右侧颈内动脉末段显影,大脑中动脉未显影,考虑是血栓导致的大脑中动脉栓塞。

  • 首先找到颈内动脉起始处的开口,输送微导管并造影,跟进中间导管与Guiding,使用3*20球囊扩张,CATLYST6导管负压吸引取栓。

  • 栓后,右侧大脑中动脉取栓正常显影。

  • 颈内动脉起始仍闭塞,撤回导丝,前交通开放,代偿显影。前后交通动脉开放,右侧大脑中动脉代偿显影结束手术。


03
病例三
病历夹什么径技·第151期|串联营病历夹:京广连营_https://www.jmylbn.com_新闻资讯_第53张




患者情况




患者:杨** 男 68岁,言语不利伴左侧肢体无力3小时

既往史:高血压、糖尿病数年,未规律服药

查体:意识清楚,部分运动失语,左侧肢体肌力2级,NHISS:11分

诊断:急性脑梗死,右侧大脑中动脉闭塞

家属拒绝静脉溶栓,同意动脉取栓





影像情况




影像情况

病历夹什么径技·第151期|串联营病历夹:京广连营_https://www.jmylbn.com_新闻资讯_第60张


结论:急诊MRI提示大脑右侧中动脉闭塞




手术方案




手术方案

病历夹什么径技·第151期|串联营病历夹:京广连营_https://www.jmylbn.com_新闻资讯_第61张
病历夹什么径技·第151期|串联营病历夹:京广连营_https://www.jmylbn.com_新闻资讯_第62张
病历夹什么径技·第151期|串联营病历夹:京广连营_https://www.jmylbn.com_新闻资讯_第63张
病历夹什么径技·第151期|串联营病历夹:京广连营_https://www.jmylbn.com_新闻资讯_第64张
<<滑动查看下一张图片>>


  • 造影提示颈内起始部位闭塞,隐约有残端出现,大脑中动脉未显影,考虑大脑中动脉闭塞。

  • 球囊扩张颈内起始部位,跟进中间管与Guiding后进行大脑中动脉取栓。

  • 回撤导丝,大脑中动脉显影良好,术后继续抗血小板、补液。




病历夹什么径技·第151期|串联营病历夹:京广连营_https://www.jmylbn.com_新闻资讯_第34张


问答


病历夹什么径技·第151期|串联营病历夹:京广连营_https://www.jmylbn.com_新闻资讯_第35张


病历夹什么径技·第151期|串联营病历夹:京广连营_https://www.jmylbn.com_新闻资讯_第67张
杨新光教授

第一个病例是使用多大的球囊?

白志峰教授
病历夹什么径技·第151期|串联营病历夹:京广连营_https://www.jmylbn.com_新闻资讯_第68张

选用的是4*30球囊。

病历夹什么径技·第151期|串联营病历夹:京广连营_https://www.jmylbn.com_新闻资讯_第69张
汪阳教授

您觉得是慢性闭塞基础上突然再形成血栓,还是高度狭窄基础上的急性闭塞?

白志峰教授
病历夹什么径技·第151期|串联营病历夹:京广连营_https://www.jmylbn.com_新闻资讯_第68张

在选择是否撤导丝的问题上,处理完远端,近端再造影的时候发现颈内已经闭塞。



专家建议

#杨新光 教授#

如果植入支架后的残余狭窄情况较为严重,后扩可以让血流情况更好。
如果担心诊疗费用过高,将取栓支架摆在远端胜过于使用一个单导丝。利用支架对导丝的支撑,可以使用波科的Sterling球囊。即使在闭塞的前提下,也可以保留通道,将近端再扩开,对预后有益。


第四节

基底动脉串联病变一例

来自化州市人民医院的李志亮教授分享了一例后循环串联病变一例。

病历夹什么径技·第151期|串联营病历夹:京广连营_https://www.jmylbn.com_新闻资讯_第71张




患者基本情况


患者:老年女性,76岁,急性发病。

主诉:被发现不省人事4小时。

现病史:患者于4小时前被家人发现不省人事,呼之不应,肢体无自主活动,伴呕吐非咖啡样胃内容物1次,大小便失禁,无抽搐。未予诊治,症状无好转,遂来诊。

发病前mRS:0分。

既往史:有“高血压3级”病史,无规律控制。

入院体查:血压:140/98mmHg,昏迷状,压眶肢体过伸,双侧眼球下视固定,双侧瞳孔直径1.5mm,对光反射迟钝,四肢刺激下肌力1级。

NIHSS评分:30分;GCS评分:4分。





影像诊断



影像诊断

病历夹什么径技·第151期|串联营病历夹:京广连营_https://www.jmylbn.com_新闻资讯_第72张
病历夹什么径技·第151期|串联营病历夹:京广连营_https://www.jmylbn.com_新闻资讯_第73张
病历夹什么径技·第151期|串联营病历夹:京广连营_https://www.jmylbn.com_新闻资讯_第74张
<<滑动查看下一张图片>>


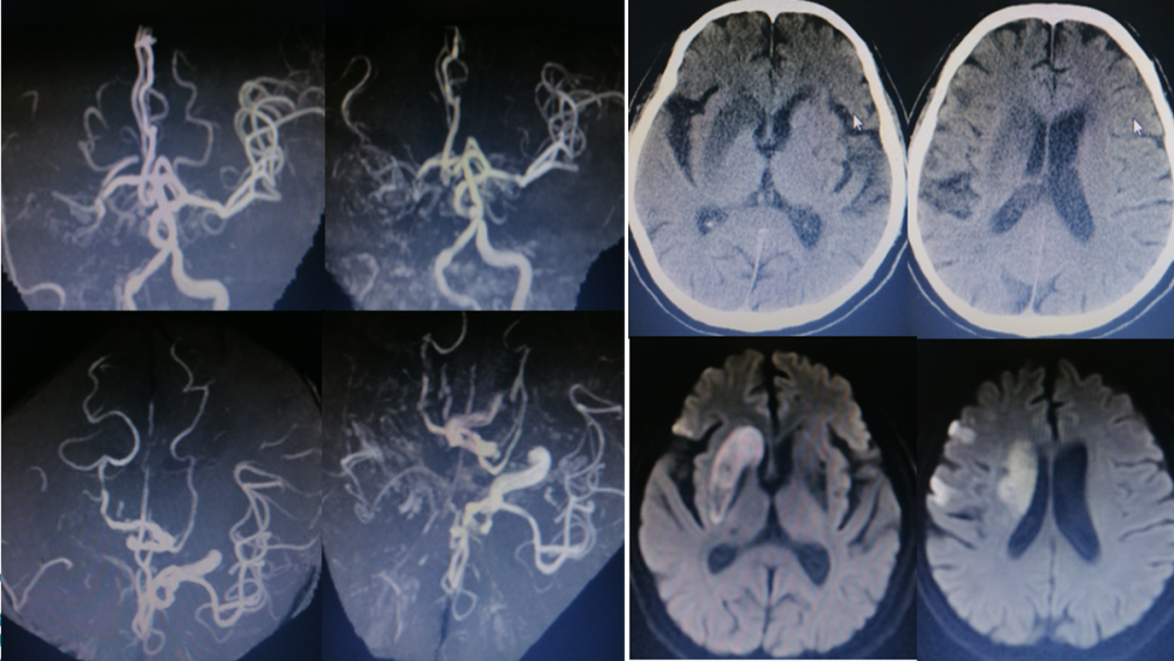
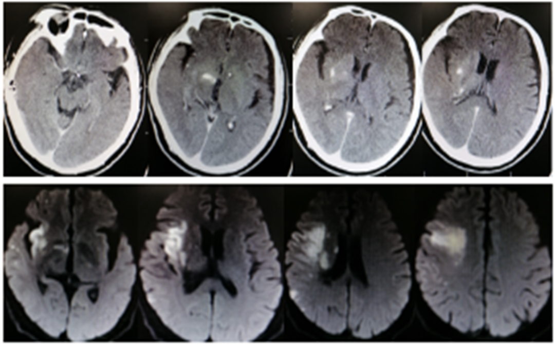
结论:颅脑CT提示左侧基底节、放射冠区腔隙样软化灶。颅脑DWI提示双侧小脑、桥脑、中脑、双侧海马、双侧枕叶、右侧丘脑及右侧胼胝体多发急性脑梗塞。颅脑MRA提示基底动脉及双侧大脑后动脉未见显示;右侧大脑中动脉中-重度狭窄;脑动脉硬化。初步诊断为急性后循环脑梗死,基底动脉闭塞。




手术方案




手术方案

病历夹什么径技·第151期|串联营病历夹:京广连营_https://www.jmylbn.com_新闻资讯_第75张
病历夹什么径技·第151期|串联营病历夹:京广连营_https://www.jmylbn.com_新闻资讯_第76张
病历夹什么径技·第151期|串联营病历夹:京广连营_https://www.jmylbn.com_新闻资讯_第77张
<<滑动查看下一张图片>>


  • 左侧椎动脉造影见基底动脉起始处闭塞。

  • 微导管造影,见基底动脉尖及左侧大脑后动脉显影不良,考虑栓塞。

  • 基底动脉近端打开支架,支架形态尚可,局部发白,左侧大脑前动脉P1段栓塞。

  • 支架取栓取出一小块栓子,造影见基底动脉起始处重度狭窄。

  • 狭窄处予球囊扩张成形,球扩后造影见基底动脉狭窄有所改善。

  • 微导管送至左侧大脑后动脉P2段,造影确认真腔后,释放支架,并支架取栓1次。

  • 血栓成功取出,基底动脉侧位造影,左侧大脑后动脉再通。

  • 正位造影,左侧大脑后动脉再通,无血栓逃逸,基底动脉狭窄改善,未回缩,前向血流正常,观察后结束手术。




手术评估




手术评估

病历夹什么径技·第151期|串联营病历夹:京广连营_https://www.jmylbn.com_新闻资讯_第78张
病历夹什么径技·第151期|串联营病历夹:京广连营_https://www.jmylbn.com_新闻资讯_第79张
病历夹什么径技·第151期|串联营病历夹:京广连营_https://www.jmylbn.com_新闻资讯_第80张
<<滑动查看下一张图片>>
  • 患者术后转入重症医学科,症状一直未有改善,昏迷状,术后第5天家属放弃治疗自动出院。





病历夹什么径技·第151期|串联营病历夹:京广连营_https://www.jmylbn.com_新闻资讯_第34张


问答


病历夹什么径技·第151期|串联营病历夹:京广连营_https://www.jmylbn.com_新闻资讯_第35张
病历夹什么径技·第151期|串联营病历夹:京广连营_https://www.jmylbn.com_新闻资讯_第83张
李志亮教授

患者病情危重,在手术治疗效果不确定情况下,是否有手术价值?

汪阳教授
病历夹什么径技·第151期|串联营病历夹:京广连营_https://www.jmylbn.com_新闻资讯_第84张

目前还没有指南针对后循环取栓,但已经有一些研究表明后循环的患者是可以从取栓中获益。就我个人的实践经验而言,应该积极进行后循环取栓,如果不进行,死亡率较高,可达75%-99%。能够在取栓中获益的患者,往往是NIHSS20分以下的患者,这例患者NIHSS已达30分,可能获益不大。预后不好的原因主要有以下两点:第一,患者病程进展非常快;第二,术后核心梗死较大。

病历夹什么径技·第151期|串联营病历夹:京广连营_https://www.jmylbn.com_新闻资讯_第83张
李志亮教授

患者为基底动脉串联病变,治疗策略是否恰当?在各区域损害严重情况下,左侧大脑后动脉有无必要开通?一旦基底动脉狭窄成形后不能维持,是否需要支架植入?

汪阳教授
病历夹什么径技·第151期|串联营病历夹:京广连营_https://www.jmylbn.com_新闻资讯_第84张

基底动脉狭窄成形后,能不放支架就不放支架,这与颈动脉的病例不同。对于颅内的狭窄,用球囊维持,观察半小时后如果情况良好,就尽量不放支架。左侧大脑后动脉一定要开通。




专家建议

#霍晓川 教授#

国外的一些研究认为急性期颈动脉支架没有额外增加出血的风险,整体预后良好,但是缺少随机对照的证据。

#杨新光 教授#

主要看两点,一是看血流是否能维持住,一般以30分钟为限制;第二点是残余狭窄的程度,如果残余狭窄大于30%,可以考虑处理,还是需要结合其他血管代偿的情况。如果是多血管的病变,会更偏保守地保留残余狭窄,如果是单纯狭窄,则倾向于进一步成型,以保证术后血压调控。


病历夹什么径技·第151期|串联营病历夹:京广连营_https://www.jmylbn.com_新闻资讯_第87张
线上对话



Q
观众:放置支架后,是否双抗?

霍晓川 教授
  • 通常需要桥接双抗,但是一定要在24h复查影像,如果有出血情况,单抗也要停止,稳定后可以添加单抗,再添加双抗。常规情况下,放置支架后是要桥接双抗。

  • 对于串联病变,操作复杂,又需要抗血小板,开通后灌注风险较高。如果放置支架后,不停药或者短期内停药,术中出血的风险对于手术操作有多大影响是值得关注的。



汪阳 教授
  • 双抗的量不会一次负荷,会突破24h,但前提也是不能出血。


 
汪阳 教授
  • 如果是拉断了动脉而出血,往往在术后会形成较大的血肿,这种患者死亡率较高。如果是因为过度灌注导致出血,即使出血量较大,处理方法也比较多,微创或内镜均可以处理。所以,只要不是拉断动脉,对后期手术影响均不太大。


 
孙瑄 教授
  • 2b3a的使用已成为一种常规,它不仅有持续抗血栓的效应,也会对术中微栓的溶解、改善微循环灌注有一定的好处。替罗非班桥接取栓是否能比单纯取栓获益,目前还没有相关的随机对照研究。北京天坛医院的常规做法是术中给予欣维宁或替罗非班等,术后维持24h,与双抗药物重叠4-6h,一般按照公斤体重给药,也要根据术后24h的头颅CT判断出血类型。








病历夹什么径技·第151期|串联营病历夹:京广连营_https://www.jmylbn.com_新闻资讯_第88张




扫码观看回放




串联病变术后抗栓药物的选择与使用方案

这把烽火将传递给由郑洪波教授、韩建峰教授领衔的川陕大营进行一步的思考和讨论。





病历夹什么径技·第151期|串联营病历夹:京广连营_https://www.jmylbn.com_新闻资讯_第89张
病历夹什么径技·第151期|串联营病历夹:京广连营_https://www.jmylbn.com_新闻资讯_第90张

神经介入在线作为中国卒中学会神经介入分会的官方公众号,现已成立六年。作为最早创建的神经介入专业的学术交流平台,秉承合作、创新、交流的宗旨,为医务工作者提供国内外神经介入领域最新资讯、指南,聚焦难点深度评论,引领学术前沿。2022年致力搭建神经介入领域国内外最新医学资讯、研究进展、病例讨论、趣味科普等各项学术交流互动共享平台,整合医疗资源,发挥联盟优势,风雨共济,守候健康,我们在这里等你!




病历夹什么径技·第151期|串联营病历夹:京广连营_https://www.jmylbn.com_新闻资讯_第91张
神经介入在线投稿:sjjrzx@hh-medic.com
病历夹什么径技·第151期|串联营病历夹:京广连营_https://www.jmylbn.com_新闻资讯_第92张