牙胶尖什么颜色MTA的临床应用——陈志平教授

新闻资讯2026-04-24 05:04:52



随着21世纪口腔临床手术显微镜和超声装置的运用,我们逐步突破了现代根管治疗可处理的病例难度,加上无机三氧化物聚合物(Mineral Trioxide Aggregate, MTA)的问世,经临床应用证实可以有效地促使根尖周组织(attachment apparatus)愈合,如此增加了更多患牙成功留存的机会。





作者:陈志平
加拿大全球口腔医疗中心


MTA的适应证与优势


近年来运用MTA 进行修复或再生性根管治疗(regenerative endodontics)时,其适应证并不局限于有活髓的年轻恒牙,反倒有更多的病例报告,将MTA 用在已经出现根尖病变或牙髓坏死而根尖尚未完全发育闭合的年轻恒牙上,惊喜地发现MTA 可以成功诱导牙根继续成长、闭合根尖、增加管壁厚度。这些病例在经过适当的根管清创之后,将根管锉针深入牙槽骨中,刻意造成出血,随后引导混含有许多年轻未分化干细胞的血液流进清洁的根管中,当新鲜血液充满到一定高度时,就进行止血,再将MTA 覆盖上去,如同执行盖髓治疗,随后严谨地逐步完成冠部密合充填即可。日后定期复查并且拍摄X 线片,检验治疗结果。
由于MTA 具备了绝佳的生物兼容性,固化后不易被吸收,同时拥有理想的密封性,加上其高碱性的抗菌能力以及低溶解度,在临床各方面表现都胜过氢氧化钙材料,于是便一举取代过去氢氧化钙在前述所提及各式根管治疗病例中的应用。只不过,MTA于上市初期,因受到专利权保障,同类材质商品在市场上并没有太多的选择性,加上初期MTA所需固化时间较长,而固化强度又受到所在环境(如酸性或湿度)的影响较大,材质本身还会有造成牙体变色的问题。因而整体治疗的成效,往往受到口腔医生操作技巧的娴熟度不同,而呈现出明显的落差,目前出现的各式各样MTA 商品,在一定程度上改善了上述缺陷。




病例展示
MTA结合牙胶尖诱导根尖闭合一例


 基本信息   患者女,25岁。就诊时自述平常牙齿无异常,只是按压11牙根部黏膜时觉得不太舒适。
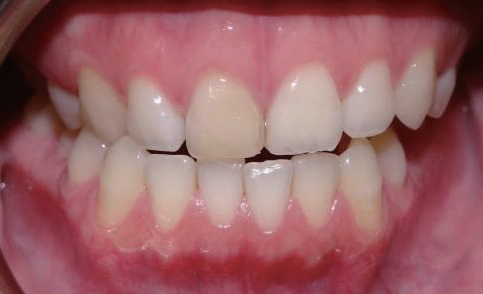
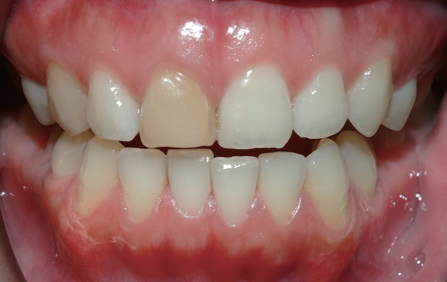
 口腔检查   触、扣 诊时,患者表示11较邻牙相比敏感,牙周探诊无异常,肉眼可见11牙冠颜色泽确实和邻牙有所差异(图1),且其唇侧面有数条明显裂纹,而在11的敲扣声音也不像邻牙那般清脆响亮。

牙胶尖什么颜色MTA的临床应用——陈志平教授_https://www.jmylbn.com_新闻资讯_第1张
图1 11 牙冠颜色相较邻牙暗黄,患者自述按压根部牙龈时略感不适

 影像学检查   X线片显示11根尖尚未闭合(或根尖已经吸收),且根管宽大,可见根尖有一约8×10 mm的放射性阴影,周边牙槽骨明显缺损。询问患者自述曾经摔倒过,11受到撞击,不记得具体细节。
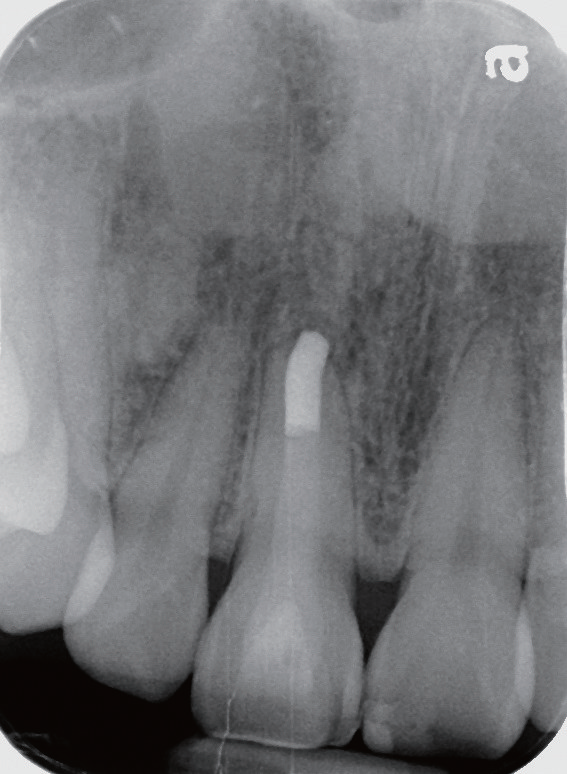
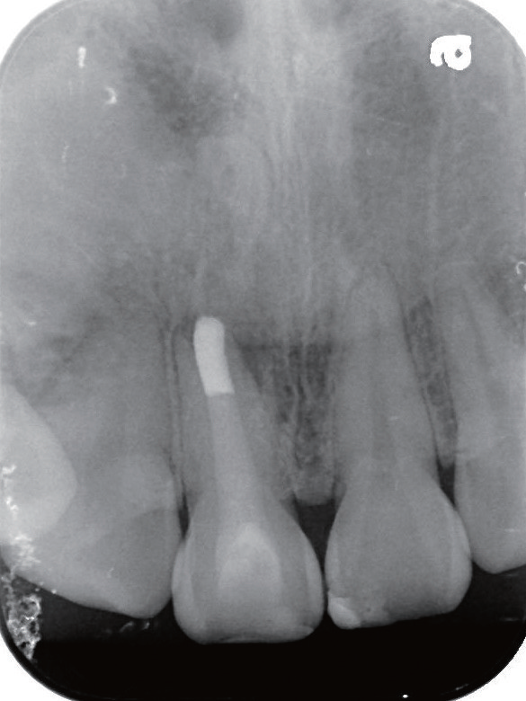
 诊断与治疗计划   对比11 和12(图2)以及11和21(图3),11 的牙根长度较短,其根尖已出现阴影,按正常发育,11的根管应该不会如此宽大。因而推测患者在7~8 岁时,11应该曾经受到强烈撞击,导致牙髓坏死,使得根管没有继续钙化沉积,造成如今管壁相对较为单薄、根尖仍未完全闭合的情形。因而建议可在不给予局部麻醉下进行11开髓,进一步检查根管内部牙髓组织的实际状态。同时借助显微镜辅助进行根管治疗。

牙胶尖什么颜色MTA的临床应用——陈志平教授_https://www.jmylbn.com_新闻资讯_第2张
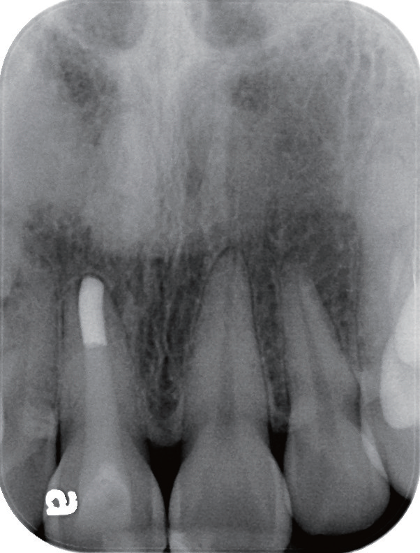
图2 对照12,11 根尖未闭合,牙根发育不全,且根尖周出现放射性阴影

牙胶尖什么颜色MTA的临床应用——陈志平教授_https://www.jmylbn.com_新闻资讯_第3张
图3 11 根管过于宽大,管壁略显薄弱,牙根长度较短

 治疗过程   显微镜下可见11牙冠唇侧(图4)和腭侧(图5)存在数个大小深浅不一的裂纹,开髓至牙本质层(图6),患者表示无任何不适,开髓后就闻到髓腔内有臭味溢出,但患者依然无疼痛,经确认11牙髓已坏死(图7)。随后进行根管预备、次氯酸钠溶液冲洗、纸尖干燥(图8)、试主尖(图9),因根尖呈开口状,决定将牙胶尖四周覆盖MTA进行根尖封闭(图10~12),X线片显示根充密合,后续封闭根管中部和冠部(图13),并用光固化复合树脂充填11牙冠(图14),调磨抛光,再次拍摄根尖X线片确认治疗结果(图15),嘱患者定期复查,观察患牙。

牙胶尖什么颜色MTA的临床应用——陈志平教授_https://www.jmylbn.com_新闻资讯_第4张
图4 11 牙冠唇面有数条明显可见的裂纹和一粗糙树脂充填物

牙胶尖什么颜色MTA的临床应用——陈志平教授_https://www.jmylbn.com_新闻资讯_第5张
图5 11牙冠腭面也有深浅不一的裂痕

牙胶尖什么颜色MTA的临床应用——陈志平教授_https://www.jmylbn.com_新闻资讯_第6张
图6 未给予局部麻醉下,施行11 开髓,深达牙本质层,患者无任何不适

牙胶尖什么颜色MTA的临床应用——陈志平教授_https://www.jmylbn.com_新闻资讯_第7张
图7 11 髓腔一经打开即有臭味溢出,显微镜检查后确认11牙髓组织已坏死

牙胶尖什么颜色MTA的临床应用——陈志平教授_https://www.jmylbn.com_新闻资讯_第8张
图8 11根管预备后用牙胶尖探出根尖口,发现根尖病灶区里虽无脓液也无新鲜血液

牙胶尖什么颜色MTA的临床应用——陈志平教授_https://www.jmylbn.com_新闻资讯_第9张
图9 由于11 根尖未闭合,试主尖时始终得不到理想回拉阻力

牙胶尖什么颜色MTA的临床应用——陈志平教授_https://www.jmylbn.com_新闻资讯_第10张
图10 以自制MTA 覆满的牙胶尖,尝试封闭呈喇叭状开口的根尖

牙胶尖什么颜色MTA的临床应用——陈志平教授_https://www.jmylbn.com_新闻资讯_第11张
图11 运用施德氏根充法,将特制牙胶尖压实

牙胶尖什么颜色MTA的临床应用——陈志平教授_https://www.jmylbn.com_新闻资讯_第12张
图12 不断重复加热、软化覆满MTA 的牙胶尖,以垂直加压法将其填满根尖

牙胶尖什么颜色MTA的临床应用——陈志平教授_https://www.jmylbn.com_新闻资讯_第13张
图13 确认11 根尖密封充填后,运用纤维桩搭配复合树脂充填根管冠部

牙胶尖什么颜色MTA的临床应用——陈志平教授_https://www.jmylbn.com_新闻资讯_第14张
图14 再以少量多次的光固化复合树脂完成对11的牙冠部的充填

牙胶尖什么颜色MTA的临床应用——陈志平教授_https://www.jmylbn.com_新闻资讯_第15张
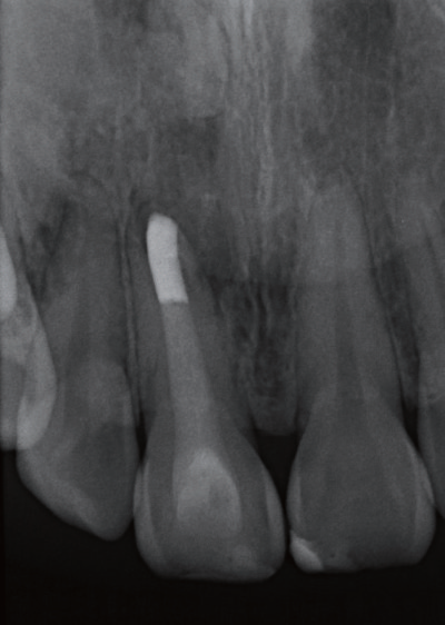
图15 X 线片显示11 根充密合,同时根管中段牙冠部充填完好

 预后   根管治疗后半年(图16)、两年半(图17~18)、三年半(图19)患者前来复诊,可见11根尖恢复良好,已完全愈合,随后进行全冠修复,完成患牙的全部治疗。

牙胶尖什么颜色MTA的临床应用——陈志平教授_https://www.jmylbn.com_新闻资讯_第16张
图16 根充半年后,患者自觉按压11 根部牙龈时,虽无不适但改善并不明显;X线片显示11 根尖放射性阴影边界变模糊,这是病灶开始愈合的表现

牙胶尖什么颜色MTA的临床应用——陈志平教授_https://www.jmylbn.com_新闻资讯_第17张
图17 根充两年半后,患者自觉11 牙冠颜色较暗,复诊咨询是否可以进行美白治疗;鉴于治疗前11 唇侧已有数条裂纹,建议用全瓷冠修复较为合适

牙胶尖什么颜色MTA的临床应用——陈志平教授_https://www.jmylbn.com_新闻资讯_第18张
图18 根充两年半后,患者自觉按压和敲击11时无明显不适,X 线片显示原根尖骨组织缺损逐步愈合,可见根尖牙槽骨板重现

牙胶尖什么颜色MTA的临床应用——陈志平教授_https://www.jmylbn.com_新闻资讯_第19张
图19 根充三年半后,X 线片可见11 根尖牙槽骨板完整,覆盖突出的牙胶尖,原开口的根尖于治疗后已经闭合




总结


氢氧化钙放入根管内,首先它不易被清除干净,其次残留在根管壁上的氢氧化钙将会溶解破坏所触及的网状胶原纤维支架,从而弱化了牙根钙化结构,使牙根容易发生脆裂。因此,不建议将氢氧化钙长时间留置于根管内。

临床诸多案例的成功可以证实MTA的治疗效果,让“ 再生性根管治疗(Regenerative Endodontics)”的适应证不再局限于根尖开放和牙根尚未完全发育成形的年轻恒牙。即使患者的年龄再大、根尖周病灶范围较大,甚至根管出现内外吸收、根管壁穿孔、髓腔底部穿孔等等,只要患者愿意尝试,肯给患牙再一次留存的机会,同时口腔医生具有高超的诊疗技术,并善于使用MTA,非常有可能顺利留住患牙。





作者简介


牙胶尖什么颜色MTA的临床应用——陈志平教授_https://www.jmylbn.com_新闻资讯_第20张

陈志平教授
陈志平,教授,美国波士顿大学齿髓病学博士暨根管治疗专科医师,加拿大皇家牙医学院专科院士,中国台湾桃园全方位口腔医疗中心主任教授,全方圆教育训练中心5D 显微根管治疗系列课程主讲人。致力于推广可预期且成功的根管治疗技术,讲授传承施德氏技术(Schilder’s Technique)。




--------我是广告---------
牙胶尖什么颜色MTA的临床应用——陈志平教授_https://www.jmylbn.com_新闻资讯_第21张


牙胶尖什么颜色MTA的临床应用——陈志平教授_https://www.jmylbn.com_新闻资讯_第22张