牙胶尖什么颜色​牙齿“晓”“技”|最全根管治疗的标准步骤,以及细节把握

新闻资讯2026-04-24 05:04:55

牙胶尖什么颜色​牙齿“晓”“技”|最全根管治疗的标准步骤,以及细节把握_https://www.jmylbn.com_新闻资讯_第1张

根管治疗术是医生用根管治疗专用器械通过彻底去除感染的牙髓以及感染的牙本质和毒性分解产物,经过根管冲洗、消毒和严密填塞根管,隔绝细菌进入根管再感染,防止根尖周病变的发生或促进根尖周病的愈合。


牙胶尖什么颜色​牙齿“晓”“技”|最全根管治疗的标准步骤,以及细节把握_https://www.jmylbn.com_新闻资讯_第2张




1、开髓去腐质

根管治疗开髓前必须去净腐质,然后换用另一根新的车针(裂钻或金刚砂车针均可,但金刚砂车针开髓震动感少,开髓稳)进入髓腔,穿通髓腔后换高速球钻揭顶,揭顶一定要全,以能看清整个髓室底为准,然后换用裂钻或金刚砂车针修整髓壁。


这一步质控的标准是:

①去净腐质和原有充填物。

②揭净髓顶,看到整个髓底解剖结构。

③髓壁与根管壁连续流畅。

④没有牙颈部台阶,没有过度切割髓壁和髓底。




二、髓腔预备(根管冠上段预备)

这一步其实包含了冠上段预备,根管的疏通和工作长度测定三个内容。髓腔预备我们一般常用三种方法:标准法,逐步后退法,冠向深入法。无论采用哪种方法,我们建议都要把冠上段根管预备放在根管预备的第一步,冠上段预备推荐下面两种方法:


①10#k挫疏通根管(疏通到10#可到达的最大而不超过工作长度即可),15#k挫初预备已疏通的的长度,GG钻1#2#3#号预备根管上段 (没有protaper的采用)。


②10#k挫疏通和15#初预备同上,然后使用SX,S1来敞开根管上段(有protaper用这个方法,难度小,不易形成台阶)敞开根管上段后,再用10#k挫(当然对于粗大的根管另当别论)




三、根管长度测定

测定根管长度用以下三种方法结合:x片法、根测仪测量、手感法。建议首要以根测仪(COXO宇森医疗根测仪个人体验和进口的没什么区别,测量数据很准确,稳定性不错,支持国货)为准。


但是对于以下三种情况根测仪可能出现不准确,所以建议拍初挫片:

a、根尖孔破坏或根尖孔较大的患牙。

b、根尖暗影较大的患牙。

c、经过一次不彻底拔髓后有残髓的患牙。




四、根管预备

根管预备的方法无非是采用上面提到的三种(标准法,逐步后退法,冠向深入法)中的哪一种或者或联合法,器械常用而推荐的大致有以下的种类:k挫(10#~40#),c挫(6#,8#,10#),G钻,protaper手用两套不同器械不同的预备方法:


①不锈钢k挫,这套系统常规使用逐步后退法,预备的手法使用平衡力法。


②protaper器械使用逐步深入法,根管系统是很复杂的,任何器械和任何方法的预备都不能到达整个根管系统,所以机械预备和化学预备的结合非常重要(采用尽量小的针头,上下移动轻压冲洗,并防止针头卡住)。


预备标准化的质控标准:

a、根尖狭窄区无破坏,有明显的停顿。

b、主牙胶尖可以顺利到达长度而且有卡抱感。

c、侧压器可以到达距离工作长度1~2mm处。

d、根管锥度连续,上段敞开。

e、预备没有发生偏移,根尖拉开,侧穿,台阶等。




五、根管消毒

良好、彻底的机械和化学预备后的根管,消毒是否必要,专家目前持不同意见。我们的国情是:建议活髓牙或感染仅限于冠髓的患牙可以采用一次法,其他的可以行根管封药。


目前先进牙体牙髓病学专家认可的封药有四大类:

a,氢氧化钙(包括各种成品和调制的)

b,碘仿

c,抗生素类

d,洗必泰类。四类可以单独使用,也可联合。




六、根管充填

充填时机,无自觉症状,无明显叩疼,根管内无异味,无渗出,无急性尖周炎症状即可充填,不必等到所有症状消失,反复的封药容易对尖周造成大大刺激。充填的方法,质控标准:

a、充填物距根尖小于等于2mm。

b、充填致密,连续,锥度合适。

c、充填完毕烫牙胶尖根管口下2~3mm,小号充填器冷加压。

d、对于欠充患者需重新预备充填,而超充原则上不建议重做,随访,必要时根尖手术治疗。目前研究表明,在其他因素相同的前提下,超充的预后差于欠充。


根管治疗 ( 根管预备和根管充填 ) 有多种方式,根据现有的知识和器械材料,本着高质量、快速度、低消耗的原则,设定了一种常规的根管治疗术式。


根管治疗包括根管预备、根管冲洗和根管充填。本节将介绍根管预备。

一、根管预备的含义

根管预备是通过机械方式配合化学药物去除、清理根管里面的污染物,使根管成为一定形态,利于冲洗和充填。

根管预备需开髓孔大小标准的确认的基础上,应注意根管预备的形态 ( 便宜形态 保持形态 抵抗形态 ) 。

根管治疗的思路:

( 1 )要预知根管多少、走向、形态。

( 2 )要想到采用的预备步骤。

( 3 )要想到最终预备形态。

( 4 )要充分认知和选用器械。

二、根管预备后形态

牙体缺损的修复需要将剩余牙体组织制备成一定形态,以利修复体的良好固位。根管充填为了致密封闭根管系统也需要良好的根管预备后形态。

常规概念的根管预备后形态有:( 1 )便宜形态( convenience form )。( 2 )保持形态( retention form )。

牙体缺损的修复需要将剩余牙体组织制备成一定形态,以利修复体的良好固位。根管充填为了致密封闭根管系统也需要良好的根管预备后形态。

常规概念的根管预备后形态有:

( 1 )便宜形态( convenience form )。( 2 )保持形态( retention form )

牙胶尖什么颜色​牙齿“晓”“技”|最全根管治疗的标准步骤,以及细节把握_https://www.jmylbn.com_新闻资讯_第3张

( 3 )抵抗形态( resistance form )。

1. 便宜形态

便宜形态是自切端或咬颌面朝向根尖的直线开扩尖锥形态,减少污染物推出根尖孔,方便冲洗、根管充填和侧壁施压。

2. 保持形态

保持形态是根尖狭窄部内 1 — 2mm 的一段距离,由扩大器回转切割而不贴根管壁提拉切割制成,是扩大器的原始形态(近似平行)。在测试主牙胶尖时给测试者有一个牵引抵抗 (tugback) 的感觉。

3. 抵抗形态

抵抗形态是根管预备的根尖形态,它是由扩大器或根管锉尖端 75 度角自然切割而成。其目的是防止根管充填材超出根尖孔,并且使根尖封闭更加严密。

( 3 )抵抗形态( resistance form )。

1. 便宜形态

便宜形态是自切端或咬颌面朝向根尖的直线开扩尖锥形态,减少污染物推出根尖孔,方便冲洗、根管充填和侧壁施压。

2. 保持形态

保持形态是根尖狭窄部内 1 — 2mm 的一段距离,由扩大器回转切割而不贴根管壁提拉切割制成,是扩大器的原始形态(近似平行)。在测试主牙胶尖时给测试者有一个牵引抵抗 (tugback) 的感觉。

3. 抵抗形态

抵抗形态是根管预备的根尖形态,它是由扩大器或根管锉尖端 75 度角自然切割而成。其目的是防止根管充填材超出根尖孔,并且使根尖封闭更加严密。

三、开髓孔

1. 正常开髓孔的位置和大小

左图为正常开髓孔的大小和位置。左边图为下颚,右边图为上颚。

2. 根管治疗中开髓孔的设计标准

根管治疗需去除髓腔内容物(去除髓室顶),建立所有根管的入路,允许冲洗液大量冲洗。开髓孔的设计标准以建立通路为目的,从而建立良好的视野和术野。

( 1 )直线通路:根管治疗时需要一个直线通路,直线通路能够达到根尖三分之一

牙胶尖什么颜色​牙齿“晓”“技”|最全根管治疗的标准步骤,以及细节把握_https://www.jmylbn.com_新闻资讯_第4张

测量标准:以允许根管器械直线并直接进入根尖 1/3 且不接触冠方各壁为标准。

( 2 )髓腔其他改变:如髓室顶、继发性牙本质、修复性或增龄性牙本质。见左图。

右图中有继发性牙本质,切削后获得直线通路。

牙胶尖什么颜色​牙齿“晓”“技”|最全根管治疗的标准步骤,以及细节把握_https://www.jmylbn.com_新闻资讯_第5张

四、根管预备步骤

根管预备步骤包括:( 1 )橡皮障的使用。( 2 )X片共四张 (术前、诊断丝 、主牙胶尖确认、术后)。( 3 )开、确认工作长度( WL )。全程疏通到 20 号(从 08K-10K 、 H-15K 、 H-20K )。( 4 )根管上段(冠方 1/3—1/2 )的预备。( 5 )根管

中段(距狭窄部 2mm 以上)的预备。( 6 )根管下段(狭窄部 2m)

1. 橡皮障的使用

橡皮障能够防控感染,并且防控意外。有条件时应该使用。根管治疗第一步是使用橡皮障。

2. X 线片

共有 4 张 X 线片,分别是术前、诊断丝 、主牙胶尖确认、术后。

( 1 )术前:术前 X 线片用来了解牙齿的大概情况。术前预期为多根牙时 X 线片应偏头拍摄。

( 2 )诊断丝:根据术前 X 线片进行开髓、根管的初步预备后,需要插入诊断丝,用来指示工作器械位置。常用 10 号或 15 号扩大器作为诊断丝插入牙髓腔。

( 3 )主牙胶尖确认:通过术前预期和诊断丝诊断,明确工作长度、牙根走向,进行根管预备。之后应进行主牙胶尖(中锉)确认,已明确根管是否适合充填。

( 4 )术后:观察治疗效果。

3. 工作长度( WL )测量

应采用长度测量仪和诊断丝两种评估手段测量工作长度,减少误差。

测量过程中需要对根管进行全程初步疏通,从8号器械逐步疏通到20号器械, 08号 K → 10号 K → 10H → 15号K → 15 号 H → 20 号 K 。20号器械即根管的工作长度尖端直径是 0.20mm 。然后进行根管成形。

4. 根管上段预备

根管上段(冠方 1/3—1/2 )的预备需进行根管口开扩。打开根管口多使用尖锥形金刚砂或保护尖进行根管口的成形和开放。可辅助使用化学药剂。

根管口打开后使用扩孔钻做根管口。

5. 根管中段预备

根管中段指距根管狭窄部 2mm 以上范围。根管弯曲时中段指弯曲以上范围。常使用扩孔钻进行根管中部预备。此外还有根管锉、化学药剂等。

右图为扩孔钻。扩孔钻的尖端直径是这个位置的最大直径。常用的扩孔钻为 1 号、 2 号、 3 号和 4 号,对应的尖端直径见下表。

型号

1#

2#

3#

4#

尖端最大直径

0.50 mm

0.70 mm

0.90 mm

1.10 mm

6. 根管下段预备

根管下段即根尖段(狭窄部 2mm )。根管下段的预备使用常规扩大器或根管锉做出保持形态。

操作方法:器械的尖端形态插到根管中,轻轻旋转,获得根尖形态。 

7. 工作长度( WL )再确认

根管初步预备完毕后用 H 锉提拉,之后进行工作长度再确认。插上牙胶尖,拍摄 X 线片,观察主牙胶尖位置。

根管预备的一般要求:

牙胶尖什么颜色​牙齿“晓”“技”|最全根管治疗的标准步骤,以及细节把握_https://www.jmylbn.com_新闻资讯_第6张

回顾:本节介绍的是最初步、最简单的根管预备方式,应注意下面几点:

( 1 )开髓孔要好。

( 2 )根管要做一个准确、全程疏通。

( 3 )要做冠方的根管预备,根段的根管预备,根尖的根管预备,得出形态非常合适的大锥度的根管形态。

一、根管充填的步骤

1. 主牙胶尖的确认

由于器械磨损或生产误差影响,主牙胶尖与实际型号可能存在一定偏差,需要进行测量确认。 

( 1 )通过带有孔径的量尺选择主牙胶尖。

1 )器械的选择:选择器械作为中锉,插入量尺孔中。器械正好插入小孔,下面刚刚能够触到,该小孔为器械合适直径的小孔。

2 )牙胶尖的选择:选用稍微细点的牙胶尖插入,孔背面切平,获得的牙胶尖端直径和中锉直径一致。

牙胶尖什么颜色​牙齿“晓”“技”|最全根管治疗的标准步骤,以及细节把握_https://www.jmylbn.com_新闻资讯_第7张

( 2 )牙胶直径合适后确认长度,获得主牙胶,然后选择主牙胶尖。

主牙胶尖插不进去表明主牙胶尖有些粗;插到外面去表明主牙胶尖有些细。通过反复筛选,选择刚好可以卡在里面的牙胶尖,完成主牙胶尖的确认。

牙胶尖什么颜色​牙齿“晓”“技”|最全根管治疗的标准步骤,以及细节把握_https://www.jmylbn.com_新闻资讯_第8张

左图为 ISO 标准 20 号牙胶尖,黄颜色。图中从左向右依次为 02 、 04 、 06 锥度。

牙胶尖什么颜色​牙齿“晓”“技”|最全根管治疗的标准步骤,以及细节把握_https://www.jmylbn.com_新闻资讯_第9张

右图为 ISO 标准 25 号牙胶尖,红颜色,尖端直径为 0.25mm 。图中从左向右依次为 02 、 04 、 06 锥度。

牙胶尖什么颜色​牙齿“晓”“技”|最全根管治疗的标准步骤,以及细节把握_https://www.jmylbn.com_新闻资讯_第10张

左图为 ISO 标准 30号牙胶尖,蓝颜色。图中从左向右依次为 02 、04 、06 锥度。

牙胶尖什么颜色​牙齿“晓”“技”|最全根管治疗的标准步骤,以及细节把握_https://www.jmylbn.com_新闻资讯_第11张

2. 糊剂的导入

选好牙胶尖后开始根管充填,侧方加压术中可使用螺旋充填器导入糊剂。不要把螺旋充填器一直放在根尖狭窄部位置,避免糊剂超填,造成治疗失败。

牙胶尖什么颜色​牙齿“晓”“技”|最全根管治疗的标准步骤,以及细节把握_https://www.jmylbn.com_新闻资讯_第12张

螺旋充填器正确的使用步骤:螺旋充填器固定在距根尖孔 4-5mm 位置,进行旋转输送。然后用牙胶尖或光环 C 针做全长轻轻提拉,再使用螺旋充填器进行输送,保证根尖下端的填充。

牙胶尖什么颜色​牙齿“晓”“技”|最全根管治疗的标准步骤,以及细节把握_https://www.jmylbn.com_新闻资讯_第13张

3. 主牙胶尖的插入

主牙胶尖应提拉插入,以避免超填。

主牙胶尖常选择 02 锥度主牙胶尖,有下面几个优点:( 1 )能够很好地到达根尖狭窄部。( 2 )侧方加压时有较大空间,封闭型好。

4. 辅牙胶尖的插入

主牙胶尖插后选择侧方加压器进行侧方加压根管充填。

   

牙胶尖什么颜色​牙齿“晓”“技”|最全根管治疗的标准步骤,以及细节把握_https://www.jmylbn.com_新闻资讯_第14张

( 1 )侧方加压器的选择:

术前应选择好,直径为到达距根尖狭窄部2 -3mm 位置,避免将主牙胶尖挤压出根尖狭窄部。

( 2 )操作:加压时冲牙胶位置挤压,拿出侧方加压器后立即插入辅牙胶尖。

金属器械取出时牙胶尖有回弹,如果辅牙胶尖放置时间过长,不能到达侧方加压位置,可能造成中间空隙。可在牙胶尖上蘸一些糊剂送入。关键是迅速插入辅牙胶尖。

牙胶尖什么颜色​牙齿“晓”“技”|最全根管治疗的标准步骤,以及细节把握_https://www.jmylbn.com_新闻资讯_第15张

5. 致密加压

插入辅牙胶尖后,去除多余牙胶,使用垂直加压器垂直致密加压。

操作:进行完根管充填、牙胶放好后,使用垂直加压器,从根管口向根管方向垂直加压,压入 1-2mm 。

优点 :封闭冠,预防牙冠方的的细菌感染。

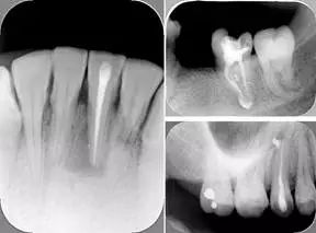
6. 术后 X 线片

术后 X 线片用来评定根管充填 长度、致密度(管壁清晰、侧枝)等指标。

牙胶尖什么颜色​牙齿“晓”“技”|最全根管治疗的标准步骤,以及细节把握_https://www.jmylbn.com_新闻资讯_第16张

左图为根管充填术后 X 线片。图中可见,根管充填较好。右下图有白色小点,为侧方加压导致糊剂挤出所致,表明根管充填比较致密。

致密、恰到好处的充填可去除干净根管里感染灶,机体逐渐恢复。

牙胶尖什么颜色​牙齿“晓”“技”|最全根管治疗的标准步骤,以及细节把握_https://www.jmylbn.com_新闻资讯_第17张

多根牙时候需进行偏移投照,正位投照无法说明具体哪根牙根管充填效果。        二、根管预备及充填要求

根管预备及充填要求见下表。

牙胶尖什么颜色​牙齿“晓”“技”|最全根管治疗的标准步骤,以及细节把握_https://www.jmylbn.com_新闻资讯_第18张

三、根管充填的注意事项

1. 尽量不破坏根尖狭窄部

保持根尖狭窄部 0.20mm 最小直径,有利于术后的的愈合。

如果存在慢性根尖炎,需要破坏根尖狭窄部清楚细菌,然后进行根部狭窄部再造。

2. EDTA

无机物溶解剂 EDTA 会造成根管壁的软化,因此不能用于根管不通的疏通。EDTA 可用于根管可通不畅时, EDTA 软化根管壁,利于切削成形。

牙胶尖什么颜色​牙齿“晓”“技”|最全根管治疗的标准步骤,以及细节把握_https://www.jmylbn.com_新闻资讯_第19张

3. 根管预备工具

扩孔钻价格低廉,使用比较普遍。扩孔钻比较坚硬,使用时易造成原始根管偏移,形成的根管不够平滑。

镊钛锉价格相对较为昂贵。镊钛锉不会造成原始根管偏移,形成的根管也比较流畅。

根管治疗常见问题一

根管治疗常见问题有丢失工作长度、偏离正常的解剖形态和不适当的根管预备。本节主要介绍丢失工作长度。一、堵塞(blockage)

( 1 )定义:堵塞指根管内的阻塞物阻挡器械到达根尖孔。

( 2 )原因:牙本质碎屑、组织碎屑、棉花、纸捻、充填物、折断器械在根管中的堆积。

1. 棉花、纸捻

棉花、纸捻异物可造成堵塞。解决方法:使用橡皮障。

2. 牙本质碎屑

堵塞最常见的情况是锉的型号递增过快,将碎屑向下挤入,或是对弯曲根管切割过度最终造成根尖 1/3 处碎屑过量沉积。

解决方法:( 1 )器械换号应按梯次更换,尽量避免跳号,如 10、15、20、25、30 号依次更换。( 2 )NaCl 液频繁冲洗。( 3 )重复使用小号锉并经常检验工作长度。

3. 锉的标志点改变

少数情况下工作长度丢失见于锉的标志点改变,也见于止动片没有插正。 牙胶尖什么颜色​牙齿“晓”“技”|最全根管治疗的标准步骤,以及细节把握_https://www.jmylbn.com_新闻资讯_第20张

解决方法:设立明显的可重复的参照点,进行经常检测。

4. 未进行器械预弯

止动片用来指示根尖弯曲情况。做根管预备时,由于根管在根尖 1/3 可能开始弯曲,器械不提前预弯容易造成侧壁刺入,形成台阶,后期根管预备时每次都到达同样位置,出现根 管预备不足,造成长度丢失。

解决方法:器械探查根管应在根尖 1/3 做小的预弯。器械到达根尖 1/3 时不要强力拧入,选择左右摆动旋转,保证沿原始通路下探。

有时根管弯曲幅度过大,达到 90 度或呈 “V” 字型,器械无法下去。

解决方法:应首先选择细小器械进入,避免台阶出现。如果器械还未达到工作长度已经无法下探,应更换一个更细小器械。到达工作长度后用测量仪测量,取出时器械可发现器械本身存在异常弯曲,提示根管治疗比较复杂。

5. 不良根管充填物

常见不良根管充填物有干髓、塑化、塑化 + 根充和不良根充。

牙胶尖什么颜色​牙齿“晓”“技”|最全根管治疗的标准步骤,以及细节把握_https://www.jmylbn.com_新闻资讯_第21张

( 1 )干髓。

干髓治疗时,开髓后髓腔里注入甲醛甲酚 FC 灌髓,三聚甲醛固定,髓室底放置三聚甲醛缓慢释放,进行根管无害化处理。髓腔缓慢坏死,机体代偿出现根管钙化。如果患者在封闭腔出现出现病变,由于髓腔钙化,根管堵塞严重,检查治疗比较困难。

解决方法:1 )彻底去除坏死的牙髓组织。2 )借助化学性药剂,如 EDTA 等。3 )初锉选用8#或10#K 锉,平衡力法探察到工作长度 , H锉上下提拉法使根管扩大,提高工作效率。

牙胶尖什么颜色​牙齿“晓”“技”|最全根管治疗的标准步骤,以及细节把握_https://www.jmylbn.com_新闻资讯_第22张

左图和上图为干髓治疗后牙齿,龋齿疏通后进行根管充填。

( 2 )塑化。

传统的治疗思维:塑化治疗后患者需将塑化液清理干净,达到彻底根管治疗目的。 牙胶尖什么颜色​牙齿“晓”“技”|最全根管治疗的标准步骤,以及细节把握_https://www.jmylbn.com_新闻资讯_第23张

目前的治疗思维:以前塑化治疗效果好时不必清理干净塑化液。对于根尖没有病变的患者,可借助溶解剂建立通路;根尖存在病变的患者往往是塑化治疗不理想患者,需要彻底打通通路。

解决方法:

1 )借助化学性药剂,如塑化液溶解剂、EDTA 等。

2 )通常选用细小的又有一定韧性的 15#K锉。

 3 )锉进入根管后以转动的方式寻找切入点。一旦找到,要小心转动器械,轻微的向下压并向上提的手法通过阻碍物,达到工作长度。

 4 )应注意反复经常的冲洗根管,以便将塑化物及碎屑清理出根管。

注意:清理塑化根管时要欺软怕硬。探到比较硬的地方不可再强行摊入,否则可能造成侧穿。

( 3 )塑化 + 根充。

如图为塑化加根充处理后牙齿 X 线片。

牙胶尖什么颜色​牙齿“晓”“技”|最全根管治疗的标准步骤,以及细节把握_https://www.jmylbn.com_新闻资讯_第24张

牙胶尖什么颜色​牙齿“晓”“技”|最全根管治疗的标准步骤,以及细节把握_https://www.jmylbn.com_新闻资讯_第25张

器械已经预弯但仍阻力很大,推测根管弯曲呈“V”字型,应如何处理?更换器械常规探查时根管应在根尖1/3做小的预弯。器械到达根尖1/3时不要强力拧 入,选择左右摆动旋转,保证沿原始通路下探。根管弯曲呈“V”字型时器械即使左右摆动旋转也无法插入,还可能造成台阶。此时应更换更为细小的器械插入,因 为更为细小的器械依从性更好。到达工作长度后用测量仪测量,取出时观察器械弯曲程度。

解决方法:1 )彻底去除根充物。2 )使用塑化液溶解剂或 EDTA ,保持根管湿润。

3 )通常先使用 15#K 锉,将锉的根尖 3 -4mm 处预弯,若尚未到达工作长度而出现锉的螺纹拧紧,应立即换用小号的锉,如 10# 、8# 的K锉。4 )使用 H锉锉平台阶。5 )反复经常的冲洗根管。

注意:没有病变,叩疼阴性,没有阳性体征,X 线片示不理想的根管治疗状态,根尖没有异常,根周膜影像正常时,表明疗效较好,不要强行治疗。文献报道根管治疗再治疗成功率 50% ,进行再次治疗应慎重。

( 4 )不良根充。

不良填充与操作有关,采用辅助放大设备可有效预防不良填充.解决方法:

1 )提倡使用 G-G bur 或旋转镍钛锉系统等机用方法去除根管内充填物。

2 )也可以使用过氯仿溶液溶解牙胶后常规根管预备。

3 )若根管内的充填物为水门汀,须借助超声振荡的方法去除根管内的不良充填物。

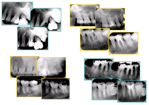
6. 钙化

常见有修复性钙化和增龄性钙化。下面为根管钙化 X 线片。

牙胶尖什么颜色​牙齿“晓”“技”|最全根管治疗的标准步骤,以及细节把握_https://www.jmylbn.com_新闻资讯_第26张

解决方法:( 1 )清楚根管系统解剖形态。( 2 )安全头的金刚砂钻开髓,低速球钻磨除钙化牙本( ET20 ,ET40 ,DG-16 )。( 3 )彻底去除髓腔周壁的牙本质龄。( 4 )借助化学性药剂,如EDTA 等。

( 5 )初锉选用 8# 或 10#K 锉,平衡力法探察到工作长度 , H锉上下提拉法使根管扩大,提高工作效率

7. 器械折断

右图及下图为器械折断的 X 线片。箭头处示折断器械。

牙胶尖什么颜色​牙齿“晓”“技”|最全根管治疗的标准步骤,以及细节把握_https://www.jmylbn.com_新闻资讯_第27张 牙胶尖什么颜色​牙齿“晓”“技”|最全根管治疗的标准步骤,以及细节把握_https://www.jmylbn.com_新闻资讯_第28张

解决方法:( 1 )取出。( 2 )通过。( 3 )重新确定工作长度,充填。( 4 )根尖手术。

器械折断可以不用取出,取出的原因多是患者心理因素。留在里面的器械关键是进行消毒,预防性使用抗感染药物,预防感染。

二、台阶

定义:根管内壁上人为产生的不规则形状阻止器械顺利进入根尖。

原因:器械没有预弯,根向压力过大。

右图箭头处示台阶形成。

牙胶尖什么颜色​牙齿“晓”“技”|最全根管治疗的标准步骤,以及细节把握_https://www.jmylbn.com_新闻资讯_第29张

解决方法:( 1 )器械预弯。( 2 )若出现锉的螺纹拧紧,立即换用小号锉。( 3 )一旦到达WL,即按照从小到大顺序预备根管。( 4 ) H锉帮助提高切割效率。

根管治疗问题二
 一、偏离正常解剖形态

1. 根尖拉开

( 1 )定义:弯曲根管根尖拉直造成根尖位置的改变。

出现台阶可造成根尖拉开,根管治疗需进行根管填充时根管三维充填占满困难。

( 2 )原因:器械没有预弯,弯曲根管过多使用旋转力。

根管治疗时插入困难,采取硬顶的方法易造成根尖拉开,出现台阶。根管治疗时器械插入困难正确的方法更换更细小的器械,轻轻探查,预弯。

( 4 )解决方法:1 )器械预弯。2 )短距离,上下提拉法扩锉。3 )不要旋转器械或改变其倾向。4 )勿使用直且粗的锉预备弯曲根管。

2. 侧穿

( 1 )定义:根管侧壁过度切削过薄以至穿孔。( 2 )原因:根中区域的过度切削,特别是上颌磨牙的近中颊根和下颌磨牙的近中根 。牙胶尖什么颜色​牙齿“晓”“技”|最全根管治疗的标准步骤,以及细节把握_https://www.jmylbn.com_新闻资讯_第30张

根管治疗时插入困难,采取硬顶的方法易造成根尖拉开,出现台阶。根管治疗时器械插入困难正确的方法更换更细小的器械,轻轻探查,预弯。

( 3 )实例。 

( 4 )解决方法:

1 )使用小器械。

2 )避免使用直径大的器械或机用器械在薄弱区过分预备;建议用 20# ~ 25#H 锉进行特殊牙根的冠方的预备。

二、不适当的根管预备

1. 过度切削  1 )定义:器械过分切削以至破坏根尖狭窄区。2 )危害:①增加超充的可能性;②造成根尖不充足的封闭;③造成患者治疗后疼痛。3)解决方法:根尖病变的牙齿需要破坏根尖狭窄部,清除根尖狭窄部细菌,使用更大号的器械距根尖 1-2mm 处建立新的抵抗形态。

2. 过度预备 1 )定义:过度地切削根管的近远中向或颊舌向管壁组织(上颌磨牙的近中颊根和下颌磨牙的近中根)。( 2 )危害:造成侧穿( 4 )解决方法:1 )熟悉根管解剖形态。2 )根尖及根管口的大小参照“标准”,注意适度。

3. 预备不足( 1 )定义:未完全清除牙髓组织、牙本质碎屑、微生物,根管未得到良好塑形。( 2 )危害:造成根管充填三维不满,是根尖病变发生的隐患(     3)解决方法:认真遵照根管预备的技术方法。制备理想的预期形态。1 )防止出现台阶,如果器械在里面遇到阻力,应该立刻换小号的器械,不要用蛮力。2 )防止器械折断。旋转进行操作器械折断的可能性大,提拉方案进行治疗比较理想。3 )使用大锥度的镍钛锉应掌握器械使用的次数。4 )使用无机物溶解剂,使得根管壁软化,防止器械折断。

小结:

器械预弯 —— 防止出现台阶、根尖拉开、侧穿。

若出现器械螺纹拧紧,提示立即换用小号器械 —— 防止出现器械折断。

尽量少使用旋转法,多使用提拉法 —— 防止器械折断,提高工作效率。

频繁冲洗 —— 防止术后疼痛反应。

疑难根管的治疗

一、评估

1 、操作前评估 :

2 、直视观察:牙位、牙齿扭转或倾斜、冠部修复体。

3 、X 片分析:判断初次治疗或是再次治疗。

4 、根管弯曲或过长,有无根管钙化。既往不良根管治疗的情况,有无残留异物,原根管充填材料、根管桩情况如何,等等。

5 、据此评估难度和操作程序及器械的选择 。

二、问题的应对

可以采取开髓术野;找到全部根管口;疏通全部根管;正向阻力和侧向阻力;切削位点和工作深度;防止迷路。

(一)开髓术野

牙胶尖什么颜色​牙齿“晓”“技”|最全根管治疗的标准步骤,以及细节把握_https://www.jmylbn.com_新闻资讯_第31张

(二)找到全部根管口

1 、髓腔和临床冠的关系

( 1 )在釉牙骨质界( CEJ )水平髓腔通常在牙齿的中心。

( 2 )髓室壁往往与牙齿外壁呈同心性。

( 3 )在CEJ的水平从外壁到髓腔的距离是相同的。

牙胶尖什么颜色​牙齿“晓”“技”|最全根管治疗的标准步骤,以及细节把握_https://www.jmylbn.com_新闻资讯_第32张

( 4 )结论:① 中心法则:髓室底通常位于釉牙骨质界水平的牙齿的中心。② 同心法则:髓壁经常在 CEJ 的水平与牙齿外形呈同心性。③ CEJ 法则:CEJ 是最确切的可重复利用的髓腔定位标志。

2 、 根管口与髓室底的关系

牙胶尖什么颜色​牙齿“晓”“技”|最全根管治疗的标准步骤,以及细节把握_https://www.jmylbn.com_新闻资讯_第33张

( 7 )现象回顾:

① 颜色变化现象:髓室底的颜色通常较髓壁深。

②根管口位置现象 1 :根管口通常位于髓室底与髓壁的交接线上。

③根管口位置现象 2 :根管口通常位于髓室底与髓壁的交接线的拐角处。

④根管口位置现象 3 :根管口通常位于牙根发育融合线的终点。

3 、全部根管的发现

牙胶尖什么颜色​牙齿“晓”“技”|最全根管治疗的标准步骤,以及细节把握_https://www.jmylbn.com_新闻资讯_第34张

(三)对称性的现象

切割样本显示对称性,下后磨牙近远中中线两侧根管口对称现象。

对称性现象 1 :除上颌后磨牙外,根管口距离近远中向穿过髓室底的连线的距离相等。

对称性现象 2 :除上颌后磨牙外,根管口位于近远中向穿过髓室底中心连线的垂直线上。

(四)防止迷路

根管预备理念(疏通和成型),首先建立通路,全程疏通到 #15 、20 器械以后再进行冠向下预备术可以最大限度的避免预备中的方向和长度的迷失。

(五)正向阻力与侧向阻力

牙胶尖什么颜色​牙齿“晓”“技”|最全根管治疗的标准步骤,以及细节把握_https://www.jmylbn.com_新闻资讯_第35张



声明:本文来源网络,版权归原作者所有,仅用于学习交流,如有侵权,请联系删除!内容仅代表作者个人观点,望大家理性判断及应用。


往期精彩点击阅读


早读 | 根管化学冲洗的四种药物和六大误区

早读 | 关于干槽症的治疗方案分享

早读 | 牙体充填治疗的一些实用技巧的分享!


牙胶尖什么颜色​牙齿“晓”“技”|最全根管治疗的标准步骤,以及细节把握_https://www.jmylbn.com_新闻资讯_第36张

关注好医术口腔课堂

精彩课程,绝不错过!


⬇️ 更多精彩,请点击下方“阅读原文”,开启学习之旅!