激光和电刀区别是什么为什么要剪舌系带?

新闻资讯2026-04-24 04:51:25
激光和电刀区别是什么为什么要剪舌系带?_https://www.jmylbn.com_新闻资讯_第1张

为什么要剪舌系带?

激光和电刀区别是什么为什么要剪舌系带?_https://www.jmylbn.com_新闻资讯_第2张


激光和电刀区别是什么为什么要剪舌系带?_https://www.jmylbn.com_新闻资讯_第3张
激光和电刀区别是什么为什么要剪舌系带?_https://www.jmylbn.com_新闻资讯_第4张
激光和电刀区别是什么为什么要剪舌系带?_https://www.jmylbn.com_新闻资讯_第5张

如果宝宝吃奶时

频繁呛奶,

常常哭闹,

喂奶困难,

甚至吸奶时乳头疼痛,

可能是宝宝舌系带过短惹的祸。

激光和电刀区别是什么为什么要剪舌系带?_https://www.jmylbn.com_新闻资讯_第6张

什么是舌系带短?



激光和电刀区别是什么为什么要剪舌系带?_https://www.jmylbn.com_新闻资讯_第7张


激光和电刀区别是什么为什么要剪舌系带?_https://www.jmylbn.com_新闻资讯_第8张



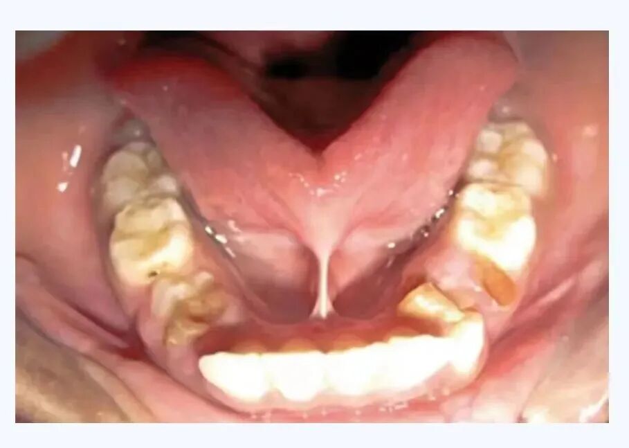
舌系带是舌头正下方那个细长的粘膜组织,翘起舌头时可以见到,用老百姓通俗的话讲,就是舌筋。

激光和电刀区别是什么为什么要剪舌系带?_https://www.jmylbn.com_新闻资讯_第9张

舌系带过短是先天发育性疾病,属于发育性异常,是舌系带附着于舌腹部近舌尖处,导致伸舌受限。

激光和电刀区别是什么为什么要剪舌系带?_https://www.jmylbn.com_新闻资讯_第10张
激光和电刀区别是什么为什么要剪舌系带?_https://www.jmylbn.com_新闻资讯_第11张

导致舌不能自由前伸并且舌尖上抬比较困难,如前伸舌时舌尖呈“W”型(正常人前伸时舌尖呈“V”型)

激光和电刀区别是什么为什么要剪舌系带?_https://www.jmylbn.com_新闻资讯_第12张

发现舌功能严重受限,即BTAT评分<3分,存在对母乳喂养、创伤性溃疡及颌面部发育等有影响的情况下宜实施早期手术,早发现早治疗。



激光和电刀区别是什么为什么要剪舌系带?_https://www.jmylbn.com_新闻资讯_第6张

舌系带过短有哪些危害?



激光和电刀区别是什么为什么要剪舌系带?_https://www.jmylbn.com_新闻资讯_第7张



1.哺乳困难 

正常喂奶时宝宝的正确衔乳姿势是用舌头垫在牙床上吸奶。吮吸母乳时需要舌和上颚对乳头形成良好的封闭并形成一定的负压将乳汁吸出。过短的舌系带会造成宝宝乳汁吮吸困难和频繁呛奶,同时可能引起母亲乳头疼痛和受伤。出现这种情况,建议早发现早治疗。

激光和电刀区别是什么为什么要剪舌系带?_https://www.jmylbn.com_新闻资讯_第15张


2.发音不清 

舌系带短不影响孩子说话的早晚,只是针对对某些卷舌音的发音不清。舌系带短使得宝宝舌上卷时明显受限。

激光和电刀区别是什么为什么要剪舌系带?_https://www.jmylbn.com_新闻资讯_第16张


3.舌系带溃疡 (Riga-Fede病)

初萌的下切牙切缘比较锐利,当吸吮、伸舌时,舌系带易受下切牙切缘刺激导致溃疡。多见于舌系带过短的婴儿。下颌乳中切牙萌出后不断地摩擦舌腹所致。

激光和电刀区别是什么为什么要剪舌系带?_https://www.jmylbn.com_新闻资讯_第17张


4.口腔卫生问题 

舌头有清洁口腔的功能。若舌系带过短,舌头运动被舌系带限制,无法用舌头清除牙齿上的食物,可能会导致龋坏、牙周病。

激光和电刀区别是什么为什么要剪舌系带?_https://www.jmylbn.com_新闻资讯_第18张

激光和电刀区别是什么为什么要剪舌系带?_https://www.jmylbn.com_新闻资讯_第19张


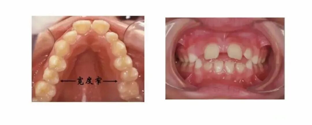
5.错合畸形 

目前有观点认为舌系带过短或异常舌位,会造成错合畸形。正常的吞咽时,舌尖在上门牙后约5毫米的位置,舌体上抬,舌头贴在上腭。当舌系带过短,导致舌体无法上抬,容易形成习惯性舌低位,导致上颌牙弓狭窄。

激光和电刀区别是什么为什么要剪舌系带?_https://www.jmylbn.com_新闻资讯_第20张

舌系带短的孩子,舌体活动受限,吞咽时舌头抬不到上腭,而是抵着下前牙,导致地包天。

激光和电刀区别是什么为什么要剪舌系带?_https://www.jmylbn.com_新闻资讯_第21张

或者舌尖从上下门牙之间出来,导致开合。

激光和电刀区别是什么为什么要剪舌系带?_https://www.jmylbn.com_新闻资讯_第22张


激光和电刀区别是什么为什么要剪舌系带?_https://www.jmylbn.com_新闻资讯_第6张

舌系带短如何治疗呢?



激光和电刀区别是什么为什么要剪舌系带?_https://www.jmylbn.com_新闻资讯_第7张


1.舌系带修整术

舌系带修整术是在表面麻醉或局麻下进行舌系带的剪断,使舌头的运动不再受限制。操作过程快,不出血或微渗血、不缝合,几分钟后正常进食。
激光和电刀区别是什么为什么要剪舌系带?_https://www.jmylbn.com_新闻资讯_第25张


舌系带修整术一定要用激光或电刀吗?

激光和电刀都具有止血作用,并且效果相似,但使用激光或电刀进行舌系带修整,增加了治疗的费用。其实是否需要使用呢,应该根据患儿自身的情况来定。
①如果舌系带较薄(软组织中的血管神经较少)单纯使用无菌小剪刀也不会引起明显出血。
激光和电刀区别是什么为什么要剪舌系带?_https://www.jmylbn.com_新闻资讯_第26张
激光和电刀区别是什么为什么要剪舌系带?_https://www.jmylbn.com_新闻资讯_第27张
②如果舌系带短、厚(组织中血管、神经较多),建议配合激光或电刀进行舌系带修整术。
激光和电刀区别是什么为什么要剪舌系带?_https://www.jmylbn.com_新闻资讯_第28张
每个患儿的情况不同,还是需要家长带宝宝面诊医生进行操作方案的确定。建议预约专业的医生,专业的医生更加熟悉舌系带的解剖结构,在进行舌系带修整术时效果更好,创伤更小。

舌系带修整术前后对比:

激光和电刀区别是什么为什么要剪舌系带?_https://www.jmylbn.com_新闻资讯_第29张
激光和电刀区别是什么为什么要剪舌系带?_https://www.jmylbn.com_新闻资讯_第30张


2、语音训练

并不是剪舌系带后发音就能变准确,后天语音训练非常重要。 

人类发音需要中枢系统、口、鼻、喉等多器官参与,一旦补偿性语音习惯养成就很难纠正。因此,即便剪了舌系带,还是要对孩子进行语音训练,才能让孩子养成良好的发音习惯。

激光和电刀区别是什么为什么要剪舌系带?_https://www.jmylbn.com_新闻资讯_第31张


大部分舌系带短的新生儿、系带比较薄(组织中血管、神经较少),随着孩子的生长发育,舌系带也会变肥厚,因此不论是从舌系带的危害或者手术的创伤来看,越早进行舌系带修整术越好。






往期文章推荐:

为什么我认真刷牙了还是不干净?—口腔清洁秘诀大全

关于牙齿,你所不知道的事

正畸治疗是12岁吗?骨性反合要等到18岁吗?儿童正畸是白费力气吗?……这些误区早明白少吃亏!



特别推荐

激光和电刀区别是什么为什么要剪舌系带?_https://www.jmylbn.com_新闻资讯_第32张


口腔科主任

激光和电刀区别是什么为什么要剪舌系带?_https://www.jmylbn.com_新闻资讯_第33张


激光和电刀区别是什么为什么要剪舌系带?_https://www.jmylbn.com_新闻资讯_第34张


科室介绍

      山东省妇幼保健院口腔科是山东省妇幼保健院的特色科室之一,集口腔临床医疗、教学、科研为一体,现分为南、北及玉函三大院区,诊疗面积达3000多平。口腔科以全科口腔疾病的预防及治疗为理念,在孕期口腔疾病的预防及保健以及儿童牙病、儿童错合畸形早期预防和矫治、种植修复、老年口腔等方面极具特色。开展诊疗项目包括:儿童口腔、备孕及孕期女性专场、正畸、口内、口外、修复、种植等。

科室现有人员27名,其中主任医师1名,副主任医师2名,主治医师13名,医师2名,放射及护理人员9名。



山东省妇幼保健院口腔科(玉函院区)
电话:0531-68795959
地址:山东省济南市市中区玉函路69号
可乘坐k34路、k42路、k54路、k129路、k155路至张安站下车。

山东省妇幼保健院口腔科(南区A座三楼)
电话:0531-68795976
地址:济南市经十东路238号
(燕山立交桥东与浆水泉路交叉口)

山东省妇幼保健院口腔科(北区C210)
电话:0531-68795883
地址:济南市历下区经十路12675号
(经十路浆水泉路交叉口西北角,向西300米)激光和电刀区别是什么为什么要剪舌系带?_https://www.jmylbn.com_新闻资讯_第35张
可乘坐k31路、k139路、303路、305路、317路、BRT5号线、K59路、K96路、K131路、K145路、K115路、K152路、K171路、K187路、K202路公交车至经十路浆水泉路站下车。
注:
火车站可乘坐K18路公交车至窑头小区站下车,东行100米至浆水泉路,南行200米到达。
长途汽车站可乘坐K53路公交车至终点站下车,南行300米到达。

扫描二维码关注我们

激光和电刀区别是什么为什么要剪舌系带?_https://www.jmylbn.com_新闻资讯_第36张


山东省妇幼保健院
青岛大学附属山东省妇幼保健院
山东省妇产医院
山东省生物制品研究所
山东省生殖医院